[Zirkulation multiresistenter Pseudomonas aeruginosa und Klebsiella pneumoniae in einem Krankenhaus für Verbrennungspatienten in Teheran, Iran]
Leila Azimi 1Reza Alaghehbandan 2
Mahla Asadian 3
Faranak Alinejad 4
Abdolaziz Rastegar Lari 5
1 Pediatric Infectious Research Center, Research Institute for Children's Health, Shahid Beheshti University of Medical Sciences, Tehran, Iran
2 Department of Pathology, University of British Columbia, Royal Columbian Hospital, Vancouver, BC, Canada
3 Division of Microbiology, Department of Pathobiology, School of Public Health, Tehran University of Medical Sciences, Tehran, Iran
4 Burn Research Center, Iran University of Medical Sciences, Tehran, Iran
5 Department of Microbiology, Iran University of Medical Sciences, Tehran, Iran
Zusammenfassung
Pseudomonas (P.) aeruginosa und Klebsiella (K.) pneumoniae gehören zu den wichtigsten Gram-negativen Erregern nosokomialer Infektionen speziell bei Verbrennungspatienten. Zur Identifizierung der Infektionsquelle ist es wichtig, die genetische Verwandtschaft zwischen Proben des Patienten und aus der patientennahen Umgebung zu bestimmen.
Zielsetzung der Studie war die Analyse der Ausbreitung multiresistenter Pseudomonas aeruginosa und Klebsiella pneumoniae Stämme in einem Krankenhaus für Verbrennungspatienten in Teheran. Nach der mikrobiologischen Differenzierung wurde das Antibiogramm gemäß Richtlinie des Clinical Laboratory Standards Institute bestimmt. Die molekulare Typisierung erfolgt mit der Pulsfeld-Gel-Elektrophorese (PFGE).
Es wurden 97 Stämme von Patienten und 33 aus der Umgebung analysiert. 40 (55%) Patientenstämme von P. aeruginosa und K. pneumoniae Patientenstämme erwiesen sich als multiresistent bzw. extensiv resistent. Die PFGE zeigte ähnliche genetische Merkmale bei multiresistenten und extensiv resistenten Stämmen beider Species aus klinischen und Umgebungsisolaten. Die Unterbrechung der Erregerausbreitung im Krankenhaus ist eine wichtige Maßnahme zur Prävention nosokomialer Infektionen speziell bei Verbrennungspatienten mit eingeschränkter Immunantwort.
Schlüsselwörter
nosokomiale Infektion, P. aeruginosa, K. pneumoniae, Antibiotikaresistenz, genetische Verwandtschaft, Pulsfeld-Gel-Elektrophorese
Introduction
Pseudomonas aeruginosa and Klebsiella pneumoniae are the most common causes of nosocomial infections in burn patients [1], [2], [3]. P. aeruginosa is able to survive in the hospital environment and survive chemical cleaners consistently used in the hospital [4], [5], [6], [7]. Since P. aeruginosa has the potential to develop resistance to many effective antibiotics, treatment of infections with these Gram-negative organisms can be very challenging [4], [5], [6], [7]. Similarly, the resistance of K. pneumoniae to antibiotics is an increasing problem in burn units in Iran [8], [9]. Multi-drug resistant (MDR) and/or extensively drug resistant (XDR) Gram-negative bacteria have proven to cause significant problems in burn care settings in Iran [6], [7], [8], [9]. On the other hand, because they are immune-suppressed, burn patients are at high risk of nosocomial infections by environmental bacteria [1], [2], [10], [11]. In the case of burns and skin damage, the skin is one of the most susceptible areas for bacterial colonization, which can lead to infections [1], [2], [11], [12]. This is where proper control of environmental factors such as patients’ surroundings in hospitals could play a critical role in reducing and preventing opportunistic infections [10], [11], ultimately decreasing associated morbidity and mortality [13].
Molecular epidemiological studies are necessary to detect the source of infections and develop preventative strategies in order to control the transmission of bacteria among patients and even between wards [13], [14]. Molecular typing methods such as restriction fragment length polymorphism (RFLP), random amplified polymorphic DNA (RAPD), multilocus enzyme electrophoresis and pulsed-field gel electrophoresis (PFGE) are utilized for molecular typing [10], [15]. PFGE of restricted genomic DNA fragments is commonly considered the most appropriate technique available, due to its high discriminatory power to type closely related isolates of Gram-negative bacteria [14].
The aim of this study was to investigate the genetic relationships between clinical and environmental MDR isolates of the most important and common Gram-negative bacteria among burn patients. Further, we molecularly typed P. aeruginosa and K. pneumoniae isolated from different clinical and environmental samples.
Materials and methods
Sampling and bacterial analysis
130 bacterial isolates (n=97 clinical, n=33 environmental) were collected from the laboratory of a teaching hospital in Tehran during a six-month period in 2013. The environmental specimens were collected simultaneously from areas such as the patient’s file, water from the washbasin, chair, shower, soap dispenser and refrigerator’s handle (Table 1 [Tab. 1]) from different wards pertinent to hospitalized patients. All samples were cultured in nutrient agar and MacConkey agar. P. aeruginosa and K. pneumoniae were identified by specific biochemical and microbiological tests [16]. P. aeruginosa ATCC® 27853 and K. pneumoniae ATCC® BAA-1705 were used as standard strains.
Table 1: Genus, frequency and location of environmental isolates
Antibiotic susceptibility testing
Antibiotic susceptibility testing was performed according to the CLSI 2013 [17] by disk-diffusion agar methods against imipenem (10 µg), meropenem (10 µg), cefepime (30 µg), cefotaxime (30 µg), ceftazidime (30 µg), ticarcillin (75 µg), ticarcillin-clavulanic acid (75/10 µg), piperacillin (100 µg), piperacillin-tazobactam (100/10 µg), ciprofloxacin (5 µg), gentamicin (10 µg), tobramycin (10 µg), amikacin (30 µg), tetracycline (30 µg), trimethoprim (5 µg) and trimethoprim-sulfamethoxazole (1.25/23.75). Susceptibility to colistin was examined using the Epsilometer test (E. test). Each isolated bacterial strain that was resistant to three or more antibiotic families was considered as MDR. P. aeruginosa ATCC® 27853 was used as control strain in the antibiotic susceptibility testing. All strains resistant to all tested antibiotics were considered extensively drug resistant (XDR) strains.
Molecular typing of strains using PFGE
P. aeruginosa and K. pneumoniae specimens that showed similar antibiotic resistant patterns in clinical and environmental specimens were selected for PFGE. XbaI-digested genomic DNA was prepared from P. aeruginosa. DNA fragments were separated into two blocks program included; block 1: 13 h at 6 V/cm at induced angle 120° with initial and final pulse times of 2 s and 10 s, respectively; block 2: 6 h at 6 V/cm at induced angle 120° with initial and final pulse times of 20 s and 25 s, respectively. XbaI digested DNA was prepared for K. pneumoniae. DNA fragments were separated with program included; block 1: 20 h at 6 V/cm at induced angle 120° with initial and final pulse times of 2.2 s and 63.8 s, respectively by using a CHEF-DR II System (Bio-Rad, Hercules, CA, USA).
Salmonella braenderup was used as a DNA size marker. Banding patterns were analyzed with special gene-comparing software to generate a dendrogram based on the unweighted pair group method using arithmetic averages from the Dice coefficient.
Results
In this study, 97 clinical MDR strains include 64 P. aeruginosa and 33 K. pneumoniae were collected from 79 patients (62 men, 17 women) with bacterially colonized burn wounds. Eighteen patients had more than one specimen with different antibiotic resistance patterns. The age range of patients was between one to 73 years old.
33 environmental specimens were collected from different areas of the hospital, such as water, shower etc. (Table 1 [Tab. 1]). P. aeruginosa was the most prevalent environmental bacterium, followed by K. pneumoniae. The desired bacteria were isolated from the following environmental sources: washing liquid, ventilator, serum antibiotic cover, tap water, refrigerator handles, chlorhexidine solution, patient’s file and patient’s mobile phone.
The antibiotic resistance patterns of both clinical and environmental specimens are presented in Table 2 [Tab. 2]. 43% and 10% of P. aeruginosa isolated from clinical and environmental samples, respectively, were resistant to all tested antibiotics except for colistin and tetracycline. 40% and 50% of P. aeruginosa isolated from clinical and environmental samples, respectively, were resistant to all tested antibiotics except for colistin and were considered XDR. On the other hand, 55% and 44% of clinical and environmental isolates of K. pneumoniae, respectively, were resistant to all tested antibiotics except for colistin, were deemed as XDR (Table 2 [Tab. 2]). Colistin, followed by tetracycline, was the most effective antibiotics.
Table 2: Antibiotic resistance patterns of both clinical and environmental specimens
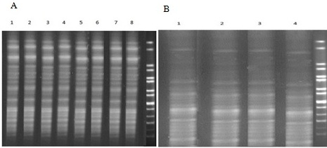
The results of PFGE showed that all clinical and environmental P. aeruginosa as well as K. pneumoniae have similar clonal groups in PFGE (Figure 1 [Fig. 1]).
Figure 1: PFGE pulsotypes algorithm
A: 1-8; different clinical and environmental isolates of P. aeruginosa
B: 1-4; different clinical and environmental isolates of K. pneumoniae
Discussion
Burn patients are at high risk for nosocomial infections with opportunistic environmental bacteria [1], [2], [10], [11]. As such, prevention of bacterial transmission from hospital environments to patients or directly from one patient to another, especially MDR strains, can decrease morbidity and mortality in burns [13], [14]. Genotyping is an important technique to determine infection routes and to aid in developing preventative strategies [3], [14].
This study showed that there is a strong association between genetic relationships of P. aeruginosa and K. pneumoniae isolated from different patients and in different wards. Further, it should be noted that genetic relationships between clinical and environmental specimens is of paramount importance clinically. This is because MDR bacteria can be transferred from one patient to another via hospital staff [10], [11]. The transfer can also occur from hospital environment to patients [10], [11]. Such bacterial cycling in a hospital system is a crucial factor to recognize, especially in burn care units with opportunistic bacterial colonizations and infections [1], [2], [10], [11]. Furthermore, such bacterial transfer can complicate patient management and increase mortality and morbidity. Salimi et al. [14] also reported the genetic relationship in P. aeruginosa isolated from different burn patients in a burn hospital and even between clinical and environmental specimens in Iran. In France, Petit et al. [18] investigated that P. aeruginosa isolated from waste-water treatment lagoons was related to similar lineages of major clinical clones. Finnan et al. [12] showed similarity between clusters of P. aeruginosa isolate from cystic fibrosis patients and the hospital environment. Tofteland et al. [19] reported an outbreak of KPC-producing K. pneumoniae in a general hospital chain located in three different cities in southern Norway in 2015. Voulgari et al. [20] also showed an outbreak of OXA-48-producing K. pneumoniae in Greece.
Overall, the findings of our study as well as those mentioned above highlight the importance of outbreak and bacterial circulation in hospitals. The existence of the antibiotic-resistant bacteria in hospitals can easily lead to therapeutic complications, longer hospital stays, high mortality and morbidity, and increased treatment costs. Molecular typing is one of the first and most important steps in determining the source of bacteria isolated from hospitals. The hospital infection control authorities would not be able to effectively stop bacterial circulation in the hospital without applying the basic rules of sanitation and efficient use of disinfectants.
Notes
Funding
This study was supported by a grant (M/T 91-04-134-20187) from Iran University of Medical Sciences, Tehran, Iran.
Competing interests
The authors declare that they have no competing interests.
References
[1] Azimi L, Motevallian A, Ebrahimzadeh Namvar A, Asghari B, Lari AR. Nosocomial infections in burned patients in motahari hospital, tehran, iran. Dermatol Res Pract. 2011;2011:436952. DOI: 10.1155/2011/436952[2] Alaghehbandan R, Azimi L, Rastegar Lari A. Nosocomial infections among burn patients in Teheran, Iran: a decade later. Ann Burns Fire Disasters. 2012 Mar 31;25(1):3-7.
[3] Lari AR, Alaghehbandan R. Nosocomial infections in an Iranian burn care center. Burns. 2000 Dec;26(8):737-40. DOI: 10.1016/S0305-4179(00)00048-6
[4] Zanetti G, Blanc DS, Federli I, Raffoul W, Petignat C, Maravic P, Francioli P, Berger MM. Importation of Acinetobacter baumannii into a burn unit: a recurrent outbreak of infection associated with widespread environmental contamination. Infect Control Hosp Epidemiol. 2007 Jun;28(6):723-5. DOI: 10.1086/517956
[5] Naze F, Jouen E, Randriamahazo RT, Simac C, Laurent P, Blériot A, Chiroleu F, Gagnevin L, Pruvost O, Michault A. Pseudomonas aeruginosa outbreak linked to mineral water bottles in a neonatal intensive care unit: fast typing by use of high-resolution melting analysis of a variable-number tandem-repeat locus. J Clin Microbiol. 2010 Sep;48(9):3146-52. DOI: 10.1128/JCM.00402-10
[6] Azimi L, Talebi M, Pourshafie MR, Owlia P, Rastegar Lari A. Characterization of Carbapenemases in Extensively Drug Resistance Acinetobacter baumannii in a Burn Care Center in Iran. Int J Mol Cell Med. 2015;4(1):46-53.
[7] Lari AR, Azimi L, Soroush S, Taherikalani M. Low prevalence of metallo-beta-lactamase in Pseudomonas aeruginosa isolated from a tertiary burn care center in Tehran. Int J Immunopathol Pharmacol. 2015 Sep;28(3):384-9. DOI: 10.1177/0394632015578343
[8] Rastegar Lari A, Azimi L, Rahbar M, Fallah F, Alaghehbandan R. Phenotypic detection of Klebsiella pneumoniae carbapenemase among burns patients: first report from Iran. Burns. 2013 Feb;39(1):174-6. DOI: 10.1016/j.burns.2012.02.025
[9] Azimi L, Nordmann P, Lari AR, Bonnin RA. First report of OXA-48-producing Klebsiella pneumoniae strains in Iran. GMS Hyg Infect Control. 2014 Mar 7;9(1):Doc07. DOI: 10.3205/dgkh000227
[10] Fazeli H, Akbari R, Moghim S, Narimani T, Arabestani MR, Ghoddousi AR. Pseudomonas aeruginosa infections in patients, hospital means, and personnel’s specimens. J Res Med Sci. 2012 Apr;17(4):332-7.
[11] Beheshti S, Zia M. Bacteriology of burns and antibiogram in an Iranian burn care center. Afr J Pharm Pharmacol. 2011;5(4):538-41. DOI: 10.5897/AJPP10.375
[12] Finnan S, Morrissey JP, O’Gara F, Boyd EF. Genome diversity of Pseudomonas aeruginosa isolates from cystic fibrosis patients and the hospital environment. J Clin Microbiol. 2004 Dec;42(12):5783-92. DOI: 10.1128/JCM.42.12.5783-5792.2004
[13] Lanini S, D’Arezzo S, Puro V, Martini L, Imperi F, Piselli P, Montanaro M, Paoletti S, Visca P, Ippolito G. Molecular epidemiology of a Pseudomonas aeruginosa hospital outbreak driven by a contaminated disinfectant-soapdispenser. PLoS One. 2011 Feb 16;6(2):e17064. DOI: 10.1371/journal.pone.0017064
[14] Salimi H, Owlia P, Yakhchali B, Martini L. Characterization of Pseudomonas aeruginosain burn patients using PCR- restriction fragment length polymorphism and random amplified polymorphic DNA analysis. Iran J Med Sci. 2010;35(3):236-41.
[15] Salimi H, Yakhchali B, Owlia P. Molecular epidemiology and drug susceptibility of Pseudomonas aeruginosa strains isolated from burn patients. Lab Med. 2010;41(9):540-4. DOI: 10.1309/LMNIJE31EDC1WAMP
[16] Azimi L, Talebi M, Owlia P, Rastegar-Lari A. Investigated of ampC in Carbapenem Resistant Gram-Negative Bacteria Isolated from Burned Patients. J Med Bacteriol. 2014;3(3-4):20-5.
[17] Clinical Laboratory Standards Institute. Performance standards for antimicrobial susceptibility testing: nineteenth informational supplement M100–S21. Wayne, PA: CLSI; 2013.
[18] Petit SM, Lavenir R, Colinon-Dupuich C, Boukerb AM, Cholley P, Bertrand X, Freney J, Doléans-Jordheim A, Nazaret S, Laurent F, Cournoyer B. Lagooning of wastewaters favors dissemination of clinically relevant Pseudomonas aeruginosa. Res Microbiol. 2013 Oct;164(8):856-66. DOI: 10.1016/j.resmic.2013.06.007
[19] Tofteland S, Naseer U, Lislevand JH, Sundsfjord A, Samuelsen O. A long-term low-frequency hospital outbreak of KPC-producing Klebsiella pneumoniae involving Intergenus plasmid diffusion and a persisting environmental reservoir. PLoS ONE. 2013;8(3):e59015. DOI: 10.1371/journal.pone.0059015
[20] Voulgari E, Zarkotou O, Ranellou K, Karageorgopoulos DE, Vrioni G, Mamali V, Themeli-Digalaki K, Tsakris A. Outbreak of OXA-48 carbapenemase-producing Klebsiella pneumoniae in Greece involving an ST11 clone. J Antimicrob Chemother. 2013 Jan;68(1):84-8. DOI: 10.1093/jac/dks356



