[Äquivalente menschlicher Haut als Alternative zum Tierversuch]
Heike Mertsching 1Michaela Weimer 1
Silke Kersen 1
Herwig Brunner 1
1 Fraunhofer Institute of Interfacial Engineering and Biotechnology, Department Cell Systems, Stuttgart, Germany
Zusammenfassung
3-D-Hautäquivalente sind physiologisch vergleichbar mit natürlicher Haut und deshalb eine Alternative zum Tierversuch. Das hoch differenzierte in-vitro Modell menschlicher Haut wird zur Prüfung der Wirksamkeit und des Wirkungsmechanismus neuer Wirkstoffe eingesetzt. Es wird aus primären menschlichen Keratinozyten auf einem Kollagensubstrat, das menschliche dermale Fibroblasten enthält, generiert und wächst an einer Luft-Wasser-Grenzschicht, die eine komplette epidermale Stratifikation und epidermal-dermale Interaktion gewährleistet.
Zukünftiger Schwerpunkt ist die Etablierung verschiedener Testsysteme zum Studium der Wundheilung, der Melanomforschung und der Infektionsbiologie. Das Schlüsselmerkmal des Hautmodells ist seine alternative Nutzbarkeit für in-vivo-Studien; Spendergewebe können auf die spezifische Fragestellung zugeschnitten werden und es sind multiple Analysen an mRNA und Proteinen möglich.
Sowohl unter ethischen als auch unter ökonomischen Gesichtspunkten ergibt sich damit eine grundlegende Veränderung in der Teststrategie der Pharmazeutischen Industrie im frühen Entwicklungsstadium der Arzneimittelentwicklung mit erweiterten Möglichkeiten zur Anwendung zellbasierter Assays. Das 3-D-Hautäquivalent ist ferner zur Erfassung einer großen Breite sog. Endpunkte geeignet wie Zellviabilität, Freisetzung proinflammatorischer Mediatoren, Permeationsrate, Proliferation und biochemische Veränderungen.
Introduction
Tissue engineering is an interdisciplinary field that applies the principles of engineering and the life sciences toward the development of biological substitutes that restore, maintain, or improve tissue function. It offers the potential to create replacement structures from biodegradable scaffolds and autologous cells for reconstructive surgery.
The living skin equivalent, a three-dimensional organotypic model, has been widely used to investigate many aspects of cutaneous biology. Reconstructed human skin equivalents are the models that most closely mimic normal human skin. They allow the topical application and skin irritancy testing of a great variety of products used in daily life. The major requirements for skin penetration screening are the presence of a competent skin barrier. In native skin the first barrier function is carried out by the outside layer of the skin, the stratum corneum. The second barrier is the basement membrane In studies with skin equivalent cultures, it has become evident that this two barrier function is affected. It is until now unclear whether nanoparticles will penetrate the skin.
Some manufacturers of consumer products, particularly cosmetics, and perhaps in the future foodstuffs, may utilise the advantages derived from including particulate materials in nano size in these products to give improved or additional functionality. These nanoparticles will be free rather than fixed, although their reactivity (and thus toxicity) may be influenced by coatings. Basically cosmetic products is an area where nanoparticles of oxides of zinc, titanium and iron are being used, and where there are concerns that they might penetrate through the protective layers of the skin and cause reactions with UV light that result in damage to DNA in skin cells. And these corrosion causes in higher irritation potential of cosmetic products or in early skin aging.
Methods
Design of the basic 3-D skin model
The development of a skin model requires firstly the isolation and growth of dermal fibroblasts and epidermal keratinocytes from human bioptic tissues. This highly differentiated in vitro human skin equivalent model is used to assess the efficacy and mode of action of novel agents. The skin equivalent is generated from primary human keratinocytes on a collagen gel substrate containing human dermal fibroblasts. It is grown at the air-liquid interface which allows full epidermal stratification and epidermal-dermal interactions to occur.
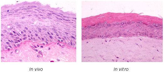
Figure 1 [Fig. 1] demonstrates the natural skin in comparison with the skin equivalent.
Figure 1: Histological cross section of human skin, and of the three dimensional skin equivalent with
stratum corneum

Immunohistochemical staining for cell characterization was performed by use of the avidin-biotin-peroxidase technique. Keratinocytes were characterized by the expression of Keratin 10, 14, 19, Filaggrin and Involucrin. Streptavidin-peroxidase conjugate was applied, and final staining was performed with diaminobenzidine.
Results and discussion
We applied our skin equivalent in many different areas such as:
1. Using the skin equivalent for in-vitro toxicity tests
The irritation effect of different test substances was examined after topical application of the samples on the surface of the skin equivalent. A cell damage which can be attributed to the substance was photometrically quantified over the reduction from non toxic Tetrazolium salt to water-soluble Formazan (Figure 2 [Fig. 2]).
Figure 2: Histological cross section: control (A) after 20% SDS-application for 2 sec (B), 30 sec (C) and 90 sec (D)

2. Using the skin equivalent as an in-vitro tumor model
The invasion of malignant cells in normal tissues is a fundamental characteristic for progressing and the formation of metastases. In order to simulate the invasion in vitro, different tumor cell lines are co-cultivated. Therefore it is possible to analyze the same influencing variables such as growth factors on the invasion behavior of tumors and to test possible therapeutics (e.g. inhibitors) (Figure 3 [Fig. 3]).
Figure 3: Different aggressive tumor cells on the 3-D skin equivalent

3. Using the skin equivalent for testing in-vitro infection
Infection of the reconstituted skin (A) with a clinical isolate of C. albicans (B) and an avirulent strain (C). The clinical strain penetrates the protective layer of keratinocytes and invades through the epithelial cell layers into the matrix, leading to disintegration of the model system after 48 h (B). The avirulent mutants do not form hyphae and show no ability to invade the tissue. Candida albicans was only detected on the tissue surface (C). The infection models can also be applied for drug screening [1] (Figure 4 [Fig. 4]).
Figure 4: Different strains of
Candida albicans
and their potential to penetrate the skin

4. Using the skin equivalent as an in-vitro wound healing model
A wound could be initiated by mechanical effect of an Erb:YAG laser in the artificial skin. The defective region was activated by stimulated keratinocytes of the epidermis to refill the wound (Figure 5 [Fig. 5]). Parallel the IL-1α expression was measured during the wound healing in the medium by ELISA (Figure 6 [Fig. 6]). Uninjured skin equivalents served as controls.
Figure 5: Wound healing process after injury with a laser

Figure 6: Analyzing of Interleukin 1α in the supernatant of the medium during wound healing process

By the physiological similarity with the natural skin the 3-D human skin equivalent is suitable as a test system for:
- determination of the irritation potential of different substances
- pharmacological analysis (e.g. wound healing)
- analysis of infection and invasion of different pathological microorganisms
- target screening
- immunological, histological and molecular-biological analysis
- proof of efficacy and quality control
- penetration- und permeation studies
- development of bio-chips for tumor diagnostics or other skin diseases
- development of medical devices, e.g. laser assisted diagnostic device for melanoma
Pharmaceutical research is hampered by limited predictive value of routinely applied in vitro and in vivo drug screening models for clinical efficacy. In drug development, the common approach of pharmaceutical industry is to screen small-molecule libraries for function and toxicity in biochemical based or ligand binding high throughput essays [2]. In general enzymes and 2-dimensional cell lines are used in those cell-based assays. The obtained results are of limited biological relevance, since the 2-dimensional cell systems do not adequately mimic the 3-dimensional environment in healthy and tumour tissues [3].
This model offers the possibility to simulate physiological drug application and a human 3-D test system to established nanomaterials/systems for cancer research/therapy.
References
[1] Dieterich C, Schandar M, Noll M, Johannes FJ, Brunner H, Graeve T, Rupp S. In vitro reconstructed human epithelia reveal contributions of Candida albicans EFG1 and CPH1 to adhesion and invasion. Microbiology. 2002:497-506.[2] Sundberg SA. High-throughput and ultra- high-throughput screening: solution and cell based approaches. Curr Opin Biotechnol. 2000;11:47-53.
[3] Balis FM. Evolution of anticancer drug discovery and the role of cell-based screening. J Nat Cancer Inst. 2002;94:78-9.



