Community-associated methicillin-resistant Staphylococcus aureus infective endocarditis in a tennis player: an emerging pathogen in infectious disease
Ozcan Basaran 1Nesrin Filiz Basaran 2
Derya Kaskari 3
Hamdi Sozen 4
1 Mugla University, Education and Research Hospital, Cardiology Clinic, Mugla, Turkey
2 Mugla University, Medical Faculty, Department of Pharmacology, Mugla, Turkey
3 Mugla University, Education and Research Hospital, Rheumatology Clinic, Mugla, Turkey
4 Mugla University, Medical Faculty, Department of Infectious Diseases, Mugla, Turkey
Abstract
In the 2000s, the Center for Disease Control and Prevention has defined community-associated methicillin-resistant Staphylococcus aureus (CA-MRSA) disease which is a disease of healthcare unrelated patients. We report here on a 39-year-old female patient who was admitted to our institution without any medical history. She was a tennis player and had been suffering from ankle pain for a month. She was diagnosed with infective endocarditis according to modified Duke criteria. Blood cultures were taken to BD BACTEC Blood Culture System, gram positive bacteria were isolated and identified as methicillin-resistant Staphylococcus aureus with BD Phoenix Automated Microbiology System. She was treated with gentamicin plus linezolid. The patients’ pathogen was thought to be CA-MRSA which is an emerging pathogen in infective endocarditis.
Introduction
Methicillin-resistant Staphylococcus aureus (MRSA) is a bacteria that is resistant to all available penicillins and other beta-lactam antimicrobial drugs except for ceftobiprol. It has been a problem for hospitalized patients between 1960 and 1990. In the mid 1990s there was an explosion in the number of MRSA infections in patients who were not hospitalized or did not have any risk factors. This increase has been associated with the recognition of new MRSA strains, often called community-associated MRSA (CA-MRSA) strains [1]. The Center for Disease Control and Prevention (CDC) has distinguished CA-MRSA by the following criteria: Diagnosis of MRSA in an outpatient setting or by a culture positive for MRSA within 48 hours after admission, no history of MRSA infection or colonization, no medical history of hospitalization, admission to a long term care facility, dialysis, surgery in the past year and no percutaneous device or indwelling catheter [2]. Patients were classified as CA-MRSA if they fulfilled these criteria and if they did not, they were classified as healthcare-associated MRSA (HA-MRSA). Although HA-MRSA has been the leading pathogen, CA-MRSA has gained an acceleration since 1990. The prevalence of CA-MRSA varies from 0 to 5% in Turkey [3], [4], [5]. CA-MRSA is an emerging pathogen also in infective endocarditis [6]. We present here a tennis player who had a wound infection a month ago and was not referred to a health-care facility before.
Case description
A 39-year-old female patient was admitted to our institution with fever and fatigue. She was a tennis player and had been suffering from ankle pain for a month and her GP initiated painkiller treatment. She was pale and her temperature was 39.1°C. A physical examination revealed decreased breathing sounds, her heart sounds were regular without murmur. Her blood pressure was 110/70 mmHG, pulse was 96 bpm and oxygen saturation was 94% on room air. Hematological tests showed leukocytosis (WBC: 15.93x103/L) and anemia (Hemoglobin: 8.3 g/dL). Her blood urea and creatinine were 94.8 and 1.55 g/dL, respectively. Liver enzymes were found elevated (AST: 131 U/L ALT: 96 U/L). Her CRP level was found 24.6 mg/dL. Three blood cultures were drawn to BD BACTEC Blood Culture System. Thorax CT was performed and bilateral pleural effusion was noted. She was diagnosed with atypical pneumonia and empirical therapy with ceftriaxone (1x2 gr) and ciprofloxacin (2x200 mg) was started. Afterwards she had pain and erythema on her right ankle. An ultrasonography revealed fluid collection on her ankle. The fluid was aspirated under ultrasonography. A part of the aspirated fluid was sent to a microbiology laboratory. Direct microscopy showed gram positive cocci and sheep blood agar culture was done.
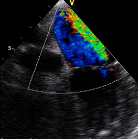
On the second day of her hospitalization, she had melena and gastroenterology adviced proton pump inhibitor. Her hemoglobin was 7.1 g/dL and 2 units of erythrocyte suspension were given. The patient had diffuse myalgia, palpitations and sinus tachycardia on electrocardiography. Her heart sounds were regular without murmur. During a physical examination, painless hemorrhagic cutaneous lesions were noted on her feet (Figure 1 [Fig. 1]). She was directed to cardiology and on echocardiography mild mitral regurgitation was noted. Transesophageal echocardiography (TEE) was planned in order to detect mitral regurgitation etiology. TEE showed mild mitral regurgitation and a vegetation on posterior mitral valve (Figure 2 [Fig. 2]). She was diagnosed with infective endocarditis and therapy was changed. Gentamicin (2x80 mg) plus ampicillin (4x3 gr) was started. On follow-up the patient still had fever, myalgia and discomfort. Two blood cultures revealed gram positive bacteria resistant to methicillin and the bacteria was identified as Staphylococcus aureus with BD Phoenix Automated Microbiology System. Also fluid sample (the fluid sample taken from her ankle) culture done in sheep blood agar revealed gram positive bacteria resistant to methicillin and the bacteria was identified as Staphylococcus aureus with BD Phoenix Automated Microbiology System. Both of the cultures’ isolates were resistant to methicillin and sefoxitine and susceptible to vancomycin, linezolid and teicoplanin. Although gentamicin plus vancomycin therapy was planned for the patient, vancomycin was not available so her therapy was changed to gentamicin (2x80 mg) plus linezolid (2x600 mg) according to culture antibiogram. The patient began to improve after medical therapy with linezolid and gentamicin. She had no fever anymore and her hemoglobin level was 9 g/dL. Blood urea and creatinine were in normal ranges 30 and 1 g/dL, respectively. In the third day her CRP-level began to decrease (20.1 mg/dL). Her CRP course was 12.6 mg/dL in the first week, 5.8 mg/dL in the second week, 3.2 mg/dL in the fourth week and 0.5 mg/dL in the sixth week. Control TEE showed mild to moderate mitral regurgitation and vegetation (Figure 3 [Fig. 3], Figure 4 [Fig. 4]). After six weeks of antibiotherapy (six week linezolid and two week gentamicin) she was free of infection and a control transthoracic echocardiography showed no mitral regurgitation or vegetation.
Figure 1: Hemorrhagic cutaneous lesions
Figure 2: Vegetation on posterior mitral valve
Figure 3: Vegetation on posterior mitral valve (control)
Figure 4: Mild to moderate mitral regurgitation
Discussion
Over the past 30 years the incidence of infective endocarditis remained stable between 2–6/100,000 individuals in the general population per year [7]. Although rheumatic heart disease was the leading cause of infective endocarditis, patients with prostetic valves, intravenous drug users, patients with intravenous catheters, elderly patients with degenerative valves are at risk for the disease nowadays. In this new high risk population Staphylococcus spp. is isolated more than Streptococcus spp. There are at least two pathophysiological mechanisms for infective endocarditis. In the first type mechanical damaged endothelium facilitates infection. In the second type endothelial inflammation without valve lesions triggers integrin expression and fibronectin binding. This leads to S. aureus and some other pathogens’ adhesion by fibronectin binding proteins [8].
According to Duke criteria our patient had two major (positive echocardiogram, positive blood culture) and three minor (fever, Janeway lesions, glomerulonephritis) criteria for the diagnosis of infective endocarditis. MRSA was isolated from her blood culture and fluid sample (the fluid sample taken from her ankle) culture which were drawn when she was admitted to hospital. CA-MRSA diagnosis was put according to CDC criteria [2].
Conclusion
CA-MRSA was associated with infective endocarditis among HIV patients, intravenous drug users and furunculosis. This is one of the rare reports of CA-MRSA in healthy individuals.
Notes
Competing interests
The authors declare that they have no competing interests.
References
[1] David MZ, Daum RS. Community-associated methicillin-resistant Staphylococcus aureus: epidemiology and clinical consequences of an emerging epidemic. Clin Microbiol Rev. 2010 Jul;23(3):616-87. DOI: 10.1128/CMR.00081-09[2] Buck JM, Como-Sabetti K, Harriman KH, Danila RN, Boxrud DJ, Glennen A, Lynfield R. Community-associated methicillin-resistant Staphylococcus aureus, Minnesota, 2000–2003. Emerging Infect Dis. 2005 Oct;11(10):1532-8. DOI: 10.3201/eid1110.050141
[3] Erdenizmenli M, Yapar N, Senger SS, Ozdemir S, Yuce A. Investigation of colonization with methicillin-resistant and methicillin-susceptible Staphylococcus aureus in an outpatient population in Turkey. Jpn J Infect Dis. 2004 Aug;57(4):172-5.
[4] Karabay O, Otkun MT, Yavuz MT, Otkun M. Nasal carriage of methicillin-resistant and methicillin-susceptible Staphylococcus aureus in nursing home residents in Bolu, Turkey. West Indian Med J. 2006 Jun;55(3):183-7.
[5] Kilic A, Mert G, Senses Z, Bedir O, Aydogan H, Basustaoglu AC, Appelbaum PC. Molecular characterization of methicillin-resistant Staphylococcus aureus nasal isolates from Turkey. Antonie Van Leeuwenhoek. 2008 Nov;94(4):615-9. DOI: 10.1007/s10482-008-9273-8.
[6] Millar BC, Prendergast BD, Moore JE. Community-associated MRSA (CA-MRSA): an emerging pathogen in infective endocarditis. J Antimicrob Chemother. 2008 Jan;61(1):1-7. DOI: 10.1093/jac/dkm410
[7] Moreillon P, Que YA. Infective endocarditis. Lancet. 2004 Jan;363(9403):139-49. DOI: 10.1016/S0140-6736(03)15266-X
[8] Habib G, Hoen B, Tornos P, Thuny F, Prendergast B, Vilacosta I, Moreillon P, de Jesus Antunes M, Thilen U, Lekakis J, Lengyel M, Mller L, Naber CK, Nihoyannopoulos P, Moritz A, Zamorano JL; ESC Committee for Practice Guidelines. Guidelines on the prevention, diagnosis, and treatment of infective endocarditis (new version 2009): the Task Force on the Prevention, Diagnosis, and Treatment of Infective Endocarditis of the European Society of Cardiology (ESC). Endorsed by the European Society of Clinical Microbiology and Infectious Diseases (ESCMID) and the International Society of Chemotherapy (ISC) for Infection and Cancer. Eur Heart J. 2009 Oct;30(19):2369-413. DOI: 10.1093/eurheartj/ehp285



