GMS Interdisciplinary Plastic and Reconstructive Surgery DGPW__BAI_2

2193-8091__BAI_2


Übersichtsarbeit

Möglichkeiten der Rekonstruktion von mittel- bis hochgradigen Ohrdefekten

 Andreas Naumann 1

1 Klinik für Hals-Nasen-Ohrenheilkunde, Plastische Operationen und Spezielle Schmerztherapie, Klinikum Bremen Mitte, Bremen, Deutschland




Einleitung

Ohrfehlbildungen treten mit einer Inzidenz von 150 Fälle pro 100.000 Neugeburten pro Jahr in Deutschland auf. Unter einer geringgradigen Fehlbildung wie z.B. der Apostasis otum leiden ca. 5% der deutschen Bevölkerung. Während geringgradige Fehlbildungen der Ohrmuschel meist durch einfache Schnitt- und/oder Nahttechniken korrigiert werden können, ist bei höhergradigen Ohrfehlbildungen für den plastischen Aufbau einer Ohrmuschel in der Regel ein Gewebeersatz erforderlich. Insbesondere müssen bei der partiellen oder vollständigen Ohrrekonstruktion die komplexe Dreidimensionalität und individuelle Anlage des Ohrmuschelreliefs, die mechanische Stabilität sowie die funktionelle Ästhetik der neu gebildeten Ohrmuschel berücksichtigt werden. Für die Rekonstruktion einer höhergradigen Ohrmuschelfehlbildung stehen seit vielen Jahren verschiedene Möglichkeiten der Therapie zur Verfügung. Die Techniken der Ohrrekonstruktion mit körpereigenem (autologem) Rippenknorpel, alloplastischem Material wie dem porösen Polyethylen, die Rehabilitation mit Hilfe einer Ohrepithese sowie dem Tissue Engineering zur Züchtung von Ohrknorpel werden im Folgenden näher erläutert.

Historischer Rückblick

Bereits im 6. Jahrhundert vor Christus wird über Ohrmuschelteilrekonstruktionen berichtet, wobei die vollständige Rekonstruktion einer Ohrmuschel bis Anfang des 19. Jahrhunderts noch als nicht praktikabel bzw. undurchführbar galt [1]. Im Laufe des 19. Jahrhunderts wurden zunehmend Operationstechniken für die Ohrrekonstruktion etabliert, die in den meisten Fällen jedoch auf Grund von Instabilität oder einem unzureichenden kosmetischen Ergebnis zum größten Teil wieder verlassen wurden. So beschrieb Szymanowski (1870) eine Verschiebelappen-Technik zur Rekonstruktion einer Ohrmuschel, bei der kein Grundgerüst für die Neubildung einer Ohrmuschel verwendet wurde (Tabelle 1 [Tab. 1]) [20]. Auf Grund der Instabilität der neu gebildeten Ohrmuschel kam es zu postoperativen Deformierungen, sodass trotz mehrfacher Modifikationen dieses Verfahren wieder verlassen wurde [14].

Tabelle 1: Historische Entwicklung der Ohrrekonstruktion

Auf der Suche nach einem geeigneten Material für den Aufbau eines Ohrgerüsts kamen unterschiedlichste Gewebe oder Materialen zur Anwendung. Neben autologen, homologen sowie allogenen Knorpeltransplantaten kamen auch alloplastische Materialien wie z.B. Silikone, Titangerüste oder Elfenbeingerüste für den Aufbau des Ohrmuschelgrundgerüstes zur Anwendung (Tabelle 2 [Tab. 2]). Auf Grund von zahlreichen Abstoßungs- und/oder Entzündungsreaktionen wurden viele dieser Verfahren wieder verlassen.

Tabelle 2: Historischer Überblick der Gerüstmaterialien für die Ohrrekonstruktion

Ohrrekonstruktion mit autologem Rippenknorpel

Erst durch die Anwendung eines Ohrmuschelgrundgerüstes aus körpereigenen Rippenknorpel konnten im Laufe des 19. Jahrhunderts erste erfolgreiche Rekonstruktionen einer Ohrmuschel erzielt werden. Schmieden formte bereits 1908 aus Rippenknorpel ein Ohrmuschelgerüst, welches er mit Hilfe eines Wanderlappens in den Ohrmuscheldefekt einbrachte [14]. Im anglo-amerikanischen Raum galt Gillies im Jahre 1920 als einer der ersten Chirurgen, welcher autologen Rippenknorpel für die Ohrmuschelrekonstruktionen verwendete, wobei er dabei bis zu sechs einzelne Operationsschritte benötigte [6]. Tanzer etablierte durch seine zahlreichen Modifikationen der Ohrrekonstruktion mit Rippenknorpel schließlich den Durchbruch zu einer standardisierten OP-Technik für diese komplexe Ohrchirurgie [18]. In einem ersten Schritt wurde dabei die Position des Ohrläppchens korrigiert. In einem zweiten Schritt implantierte er subkutan ein Ohrmuschelgrundgerüst aus autologem Rippenknorpel der 6.–8. Rippe der kontralateralen Seite. In einem dritten Schritt bildete er einen retroaurikulären Sulkus mit Hilfe eines Vollhauttransplantates und schließlich wurden in einem vierten Schritt mit Hilfe eines Composite-Haut-Knorpel-Transplantates der Gegenseite die Koncha- und Tragusregion rekonstruiert. Im Laufe des 20. Jahrhunderts wurde diese Operationstechnik von Brent [3] sowie Nagata [10] und vielen anderen Autoren modifiziert und verfeinert (Tabelle 3 [Tab. 3]). Trotz der guten Biokompatibilität autologer Rippenknorpeltransplantate, kann es dennoch auf Grund einer unzureichenden Vitalität des implantierten Knorpels oder einer Entzündung im OP-Gebiet zu Resorptionserscheinungen, Verbiegungen oder Schrumpfungen der neugebildeten Ohrmuschel kommen. An der Entnahmestelle des Rippenknorpels können überschießende Narbenbildungen oder Brustkorbdeformitäten, Schmerzen sowie seltener auch Akutkomplikationen auftreten [19]. Zusammenfassend gilt heutzutage die Technik der Ohrrekonstruktion mit Rippenknorpel als ein standardisiertes und sicheres Verfahren [16].

Tabelle 3: Möglichkeiten der Ohrrekonstruktion

Rehabilitation durch eine Ohrepithese

Als weitere Möglichkeit stehen für die Rehabilitation von hochgradigen Ohrdeformitäten Ohrepithesen aus Acrylaten oder Silikonen zur Verfügung [5]. Die Versorgung von Ohrtotaldefekten kann durch dieses Verfahren mit einer geringen operativen Belastung und einem gutem kosmetischen Ergebnis durchgeführt werden. Entscheidend ist dabei die Knochenverankerung von Titanimplantaten, welche zur Aufnahme von Magneten dienen, um die zum gesunden Gegenohr angepasste Ohrepithese am Schädelknochen zu fixieren. Trotz guter kosmetischer Ergebnisse wird die epithetische Versorgung nur von einer begrenzten Anzahl von Patienten mit Ohrmuschelfehlbildungen ausgewählt. Gründe hierfür sind das verbleibende Fremdkörpergefühl des Patienten sowie das sich ändernde Hautkolorit der Epithese. Als ein weiterer Nachteil dieser Methode wird von den meisten Patienten der Umstand angeführt, dass die Ohrepithese zum Schlafen oder beim Sport abgenommen werden muss, um eine Schädigung des Materials durch Scher- und/oder Druckkräfte vorzubeugen. Weiterhin kann es im Bereich der Knochenverankerung zu Weichteil- und/oder Knochenentzündungen sowie zu Abstoßungsreaktionen gegen das Implantatmaterial kommen [21]. Daneben ist es insbesondere im Kindesalter notwendig, auf schädelwachstumshemmende Suprastrukturen wie Steg- oder Kugelkopfverankerungen von Implantaten im Gesichtsbereich zu verzichten.

Tissue Engineering einer Ohrmuschel

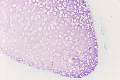
In den letzten Jahren hat sich die medizinische Forschung intensiv mit der Herstellung von humanem Gewebe beschäftigt. So ist es das Ziel des Tissue Engineerings (Gewebezüchtung), Gewebe aus körpereigenen Zellen herzustellen. Für die Knorpelzüchtung werden hierfür Zellen aus einer kleinen Knorpelprobe enzymatisch herausgelöst und in vitro unter sterilen Kulturbedingungen in einer Kulturschale auf eine ausreichende Zellzahl expandiert [4]. Anschließend werden die vermehrten Knorpelzellen auf resorbierbare oder nicht resorbierbare Zellträger aus unterschiedlichen Materialien aufgebracht, um zu einem erneuten Knorpelwachstum angeregt zu werden (Abbildung 1 [Abb. 1]). Für den Aufbau einer Ohrmuschel kann der dreidimensionale Zellträger in Form eines Ohrmuschelgrundgerüstes verwendet werden. Trotz erster sehr ermutigender Ergebnisse mit einer erfolgreichen Knorpelzüchtung stellt dieses Verfahren auf Grund der Instabilität der gezüchteten Knorpelgewebe zum jetzigen Zeitpunkt noch kein valides, standardisiertes Verfahren zur Rekonstruktion von höhergradigen Ohrdefekten dar. Aktuelle Studien mit nicht resorbierbaren Zellträgern, welche mit körpereigenen Knorpelzellen erfolgreich beschichtet werden können und ein Knorpelwachstum zeigen, können eventuell in Zukunft ein vielversprechendes Verfahren für die Herstellung alloplastischer, mit körpereigenen Zellen beschichteter Ohrimplantate für die Ohrrekonstruktion darstellen, um somit die Stabilität der Ohrmuschelform zu gewährleisten [4].

Abbildung 1: Tissue Engineering von Knorpelgewebe
Kollagen Typ II-Immunfärbung eines in vivo gezüchteten Ohrknorpels

Ohrrekonstruktion mit porösem Polyethylen

Auf der Suche nach einer Alternative für Rippenknorpel als Ohrmuschelgerüstmaterial, wurden ab Mitte des 20. Jahrhunderts für die Ohrrekonstruktion alloplastische Materialien wie zum Beispiel Silikon für den Aufbau eines Ohrgrundgerüstes verwendet. Silikon stellt dabei ein formstabiles, weitgehend inertes Material dar, welches in unterschiedlicher Größe und Konsistenz hergestellt wird [17]. Trotz anfänglicher guter Ergebnisse mit Silikon als Ohrgerüstmaterial, zeigten Langzeitstudien eine erhöhte Extrusionsrate der Silikonimplantate auch viele Jahre nach Implantation. Diese späten Abstoßungsreaktionen gegen Silikone für die Ohrrekonstruktion führte dazu, dass dieses OP-Verfahren nicht mehr durchgeführt wird [9].

Ein weiteres sehr häufig verwendetes, alloplastisches Material ist poröses Polyethylen, welches seit über 30 Jahren in der plastischen und rekonstruktiven Chirurgie im klinischen Einsatz ist. Bereits 1983 wurde erstmals von einer erfolgreichen Ohrrekonstruktion mit Hilfe eines porösen Polyethylenimplantates (Medpor®) berichtet [2]. Eigenschaften des porösen Polyethylens sind unter anderen seine sehr gute Formstabilität, die gute Biokompatibilität, die reduzierte Morbidität des Patienten sowie die Möglichkeit, innerhalb eines einzelnen Operationsschrittes eine vollständige Ohrrekonstruktion zu erzielen [12]. Bei Verwendung eines porösen Polyethylenohrimplantates ist es erforderlich, das Implantat vollständig mit einer gefäßreichen, gut durchbluteten Gewebeschicht abzudecken. Die gut durchblutete Gewebeschicht dient als Grundlage für das Anwachsen freier Hauttransplantate auf der neu gebildeten Ohrmuschel. Zu Beginn der Etablierung dieser Operationstechnik wurde als Gewebeschicht ein tiefer temporaler Faszien-Schläfenlappen verwendet, welche jedoch keine suffiziente Durchblutung für die freien Hauttransplantate garantierte. Zusätzlich wurde auf Grund der Dicke des tiefen Lappens nur bedingt ein ästhetisch ansprechendes Ergebnis mit einem gut ausgeformten Ohrmuschelrelief erzielt. Nach Etablierung einer verfeinerten Operationstechnik mit einem dünnen, superfiziellen, temporoparietalen, mikrovaskulären, gefäßgestielten Faszienlappen (TPF-Lappen), welcher das Polyethylenimplantat vollständig umhüllt, hat dieses Verfahren innerhalb der letzten 15 Jahre deutlich an Bedeutung gewonnen. Mit dieser Operationsmethode lässt sich innerhalb eines einzelnen Operationsschrittes eine vollständige Ohrrekonstruktion mit einem guten bis sehr guten kosmetischen Ergebnis erzielen [13], [11] (Abbildung 2 [Abb. 2]).

Abbildung 2: Fallbeispiel für Ohrrekonstruktion mit einem zweiteiligen, porösen Polyethylen-Ohrimplantat (Medpor®)

A: Ohrmuscheldysplasie Grad III mit Gehörgangsatresie (vor Operation); B: 12 Monate nach Ohrrekonstruktion mit einem porösem Polyethylen-Ohrimplantat (Medpor®)

Zeitpunkt der Ohrrekonstruktion

Der Zeitpunkt für eine Ohrrekonstruktion wird sehr kontrovers diskutiert und hängt u.a. von der angewendeten Operationstechnik sowie auch von der Compliance des Kindes ab. Ein wichtiges Entscheidungskriterium für den richtigen Zeitpunkt einer Ohrrekonstruktion ist das Ohrmuschelwachstum. Zu welchem Zeitpunkt das Ohrmuschelwachstum individuell abgeschlossen ist, ist nicht sicher vorhersehbar. Dennoch konnten anthropometrische Studien von Kalcioglu et al. zeigen, dass bereits bis zu 90% des Ohrmuschelwachstums im 11.–12. Lebensjahr abgeschlossen ist [8]. Die Entwicklung der Ohrmuschel hinsichtlich des Breiten- und des Konchatiefenwachstums war sogar bereits bis zum 6. Lebensjahr ohne Unterschied zum Geschlecht vollständig beendet. Ito et al. konnten mit ihren histomorphologischen Studien einen erhöhten Umbau von elastischen Fasern des Ohrknorpels durch Kollagen-ähnliche Fasern als Folge eines natürlichen Alterungsprozesses der Haut- und Weichteilgewebe im Ohrbereich nachweisen, welcher zu einem höheren Längendurchmesser des Ohres im höheren Lebensalter führen kann [7]. Auf Grund dieser Studien und in Abhängigkeit von der Compliance des Kindes kann die Rekonstruktion von mittel- bis hochgradigen Ohrmuscheldefekten mit porösem Polyethylen bereits ab dem 6. Lebensjahr durchgeführt werden. Obwohl eine Ohrrekonstruktion mit autologem Rippenknorpel ebenfalls schon vor dem heute empfohlenen 10. Lebensjahr prinzipiell möglich wäre, muss dennoch in der Regel das Brustkorbwachstum bis 8.–10. Lebensjahr abgewartet werden, um ausreichend Rippenknorpelgewebe für die Ohrrekonstruktion gewinnen zu können. Die Frage des besten Zeitpunkts einer Ohrrekonstruktion ist bislang nicht eindeutig beantwortet; dennoch konnten Studien zeigen, dass ein geeigneter Zeitpunkt vor allem vom Veränderungswunsch des Patienten bzw. vom individuellen Leidensdruck abhängig ist. So kann mit dem Beginn der Pubertät, meist ab etwa dem 12. Lebensjahr, ein psychologischer „Leidensdruckgipfel“ auftreten. Weitere Leidensdruckepisoden können u.a. auch bis ins hohe Alter reichen [15]. Auf Grund dieser Kenntnisse ist es umso wichtiger, nach einer ausführlichen Aufklärung über die verschiedenen Operationstechniken sowie im Einverständnis mit dem Kind und den Eltern des Kindes den genauen Zeitpunkt der Operation zwischen dem 6.–12. Lebensjahr festzulegen.

Fazit

Eine vollständige Ohrrekonstruktion mit Rippenknorpel gilt seit über 55 Jahren als ein standardisiertes Verfahren, wobei bis zur vollständigen Rekonstruktion eines Ohres in der Regel insgesamt 2–3 einzelne Operationsschritte erforderlich sind. Die Ohrrekonstruktion wird dabei in der Regel auf Grund des Brustkorbwachstums ab dem 10. Lebensjahr durchgeführt. Mit dieser Operationstechnik lassen sich bei guter Biokompatibilität und bei entsprechend guter Erfahrung des Operateurs gute kosmetische Ergebnisse erzielen (Tabelle 3 [Tab. 3]).

Ohrepithesen aus Acrylaten oder Silikon stellen eine weitere Therapieoption für die Rehabilitation von mittel- bis hochgradigen Ohrdefekten dar. Trotz der geringen operativen Belastung und der teilweise sehr guten kosmetischen Ergebnisse wird die Versorgung mit einer Ohrepithese auf Grund des Fremdkörpergefühls und möglichen Weichteil- und/oder Knochenentzündungen nur von einer begrenzten Anzahl von Patienten gewählt (Tabelle 3 [Tab. 3]).

Das Tissue Engineering zur Züchtung einer Ohrmuschel aus körpereigenen Knorpelzellen und einem dreidimensionalen, resorbierbaren oder nicht resorbierbaren Zellträger in Form einer Ohrmuschel ist zum jetzigen Zeitpunkt u.a. auf Grund einer fehlenden Stabilität des gezüchteten Knorpels für die Ohrrekonstruktion nicht geeignet. Weitere Studien werden zeigen müssen, ob in Zukunft ggf. durch Einsatz von Differenzierungsfaktoren das Tissue Engineering einer Ohrmuschel möglich ist.

Als Alternativtherapie zur Operationstechnik mit Rippenknorpel oder zur Versorgung mit einer knochenverankerten Ohrepithese werden seit über 30 Jahren poröse Polyethylenimplantate in der plastischen und rekonstruktiven Chirurgie zur Defektrekonstruktion des Ohres erfolgreich eingesetzt. Die Optimierung der Operationstechnik, das verbesserte Implantat-Design sowie die gute Biokompatibilität des Materials haben die Komplikationsrate von Polyethylenimplantaten innerhalb der letzten 15 Jahre deutlich gesenkt. Die Ohrrekonstruktion kann innerhalb eines einzelnen Operationsschrittes ab dem 5.–6. Lebensjahr durchgeführt werden und führt zu guten kosmetischen Ergebnissen (Tabelle 3 [Tab. 3]).

Anmerkung

Interessenkonflikte

Der Autor erklärt, dass er keine Interessenkonflikte in Zusammenhang mit diesem Artikel hat.


Literatur

[1] Berghaus A, Axhausen M, Handrock M. Porose Kunststoffe für die Ohrmuschelplastik [Porous synthetic materials in external ear reconstruction]. Laryngol Rhinol Otol (Stuttg). 1983 Jul;62(7):320-7. DOI: 10.1055/s-2007-1008442
[2] Berghaus A, Toplak F. Surgical concepts for reconstruction of the auricle. History and current state of the art. Arch Otolaryngol Head Neck Surg. 1986 Apr;112(4):388-97. DOI: 10.1001/archotol.1986.03780040028007
[3] Brent B. Auricular repair with autogenous rib cartilage grafts: two decades of experience with 600 cases. Plast Reconstr Surg. 1992 Sep;90(3):355-74. DOI: 10.1097/00006534-199209000-00001
[4] Ehrmantraut S, Naumann A, Willnecker V, Akinyemi S, Körbel C, Scheuer C, Meyer-Lindenberg A, Menger MD, Laschke MW. Vitalization of porous polyethylene (Medpor®) with chondrocytes promotes early implant vascularization and incorporation into the host tissue. Tissue Eng Part A. 2012 Aug;18(15-16):1562-72. DOI: 10.1089/ten.tea.2011.0340
[5] Federspil PA. Auricular prostheses. Adv Otorhinolaryngol. 2010;68:65-80. DOI: 10.1159/000314563
[6] Gillies HD. Plastic Surgery of the Face. London: Oxford University Press; 1920. p. 381-7.
[7] Ito I, Imada M, Ikeda M, Sueno K, Arikuni T, Kida A. A morphological study of age changes in adult human auricular cartilage with special emphasis on elastic fibers. Laryngoscope. 2001 May;111(5):881-6. DOI: 10.1097/00005537-200105000-00023
[8] Kalcioglu MT, Toplu Y, Ozturan O, Yakinci C. Anthropometric growth study of auricle of healthy preterm and term newborns. Int J Pediatr Otorhinolaryngol. 2006 Jan;70(1):121-7. DOI: 10.1016/j.ijporl.2005.06.001
[9] Lynch JB, Pousti A, Doyle JE, Lewis SR. Our experiences with silastic ear implants. Plast Reconstr Surg. 1972 Mar;49(3):283-5. DOI: 10.1097/00006534-197203000-00007
[10] Nagata S. A new method of total reconstruction of the auricle for microtia. Plast Reconstr Surg. 1993 Aug;92(2):187-201. DOI: 10.1097/00006534-199308000-00001
[11] Naumann A. Plastische Korrektur bei Ohrdeformitäten: Wie Ohren angelegt, umgeformt und neu aufgebaut werden [Plastic surgery to correct deformities of the ear]. MMW Fortschr Med. 2005 Aug 18;147(33-34):28-31.
[12] Naumann A. Rekonstruktion mittel-bis hochgradiger Ohrdefekte mit Hilfe poroser Polyethylenimplantate [Porous polyethylene implants for ear reconstruction of middle to high-grade ear defects]. HNO. 2011 Feb;59(2):197-212. DOI: 10.1007/s00106-010-2240-5
[13] Naumann A, Ehrmantraut S, Willnecker V, Menger MD, Schick B, Laschke MW. Ohrrekonstruktionen mit Hilfe poroser Polyethylenimplantate. Einfluss der Odemprophylaxe mit Kortison auf den Heilungsverlauf [Ear reconstruction using porous polyethylene implants. Effect of cortisone on edema reduction and healing process]. HNO. 2011 Mar;59(3):268-73. DOI: 10.1007/s00106-010-2226-3
[14] Schmieden V. Der plastische Ersatz von traumatischen Defekten der Ohrmuschel. Berl Klin Wochenschr. 1908;31:1433-5.
[15] Siegert R, Knölker U, Konrad E. Psychosoziale Aspekte der totalen Ohrmuschelrekonstruktion bei Patienten mit schwerer Mikrotie [Psychosocial aspects in total external ear reconstruction in patients with severe microtia]. Laryngorhinootologie. 1997 Mar;76(3):155-61. DOI: 10.1055/s-2007-997405
[16] Siegert R, Magritz R. Die Rekonstruktion des äußeren Ohres [Reconstruction of the external ear]. Laryngorhinootologie. 2007 Apr;86 (Suppl 1):121-40. DOI: 10.1055/s-2007-966313
[17] Spitalny HH, Lemperle G. Langzeiterfahrungen mit Silikonimplantaten im Gesicht [Long-term experience with silicone implants in the face]. Handchir Mikrochir Plast Chir. 1982;14(1):29-35.
[18] Tanzer RC. Total reconstruction of the external ear. Plast Reconstr Surg Transplant Bull. 1959 Jan;23(1):1-15. DOI: 10.1097/00006534-195901000-00001
[19] Uppal RS, Sabbagh W, Chana J, Gault DT. Donor-site morbidity after autologous costal cartilage harvest in ear reconstruction and approaches to reducing donor-site contour deformity. Plast Reconstr Surg. 2008 Jun;121(6):1949-55. DOI: 10.1097/PRS.0b013e318170709e
[20] von Szymanowski J. Handbuch der Operativen Chirurgie. Braunschweig: F. Vieweg und Sohn; 1870. p. 303-6.
[21] Wright RF, Zemnick C, Wazen JJ, Asher E. Osseointegrated implants and auricular defects: a case series study. J Prosthodont. 2008 Aug;17(6):468-75. DOI: 10.1111/j.1532-849X.2008.00309.x