[Diagnostik und Therapie der extraabdominalen Desmoidfibromatose]
Mohamed Ghanem 1Antje Heinisch 1
Christoph-E. Heyde 1
Georg Freiherr von Salis-Soglio 1
1 Department of Orthopaedic Surgery, University Hospital of Leipzig, Germany
Zusammenfassung
Einleitung: Die extraabdominelle Desmoidfibromatose ist eine außerordentlich seltene, als semimaligne eingestufte Bindegewebserkrankung. Auf Grund der Seltenheit, der nicht spezifischen Lokalisation, des unspezifischen Erscheinungsbildes und der hohen Rezidivrate bleiben sowohl die Diagnostik als auch Therapie der extraabdominellen Desmoidfibromatose eine Herausforderung. Anhand einer Aufarbeitung des eigenen Patientengutes sowie einer umfassenden Literaturrecherche soll der aktuelle Wissensstand zu diesem Krankheitsbild dargestellt werden.
Material und Methoden: Zwischen August 1998 und Mai 2007 wurden 7 Patienten mit einer extraabdominalen Desmoidfibromatose operativ behandelt. Alle Patienten wurden mittels eines definierten Diagnosealgorithmus einschließlich MRT und Biopsie diagnostiziert. Die Therapie war in allen Fällen operativ. Der Nachuntersuchungszeitraum betrug im Durchschnitt 4 (1–7) Jahre. Zum Nachuntersuchungszeitpunkt erfolgten eine Befragung, eine klinische Untersuchung sowie eine MRT-Kontrolle.
Ergebnisse: Die Ergebnisse zeigen, dass wir R0-Resektion in 4 Fällen, R1 in zwei Fällen und Rx in einem Fall erreicht haben. Bei 4 Patienten wurde kein Rezidiv nach der einmaligen Operation in unserer Klinik beobachtet. Bei 2 Patienten wurde jeweils eine einzige Revisionsoperation durchgeführt, wonach beide Patienten rezidivfrei waren. In nur einem Fall waren mehrere Operationen (eine primäre und zwei Revisionsoperationen) notwendig, nach denen kein Rezidiv berichtet wurde.
Schlussfolgerungen: Die frühzeitige Diagnosestellung ist für den Erfolg der operativen Behandlung von Bedeutung, hierbei ist ein definierter Diagnosealgorithmus einschließlich einer MRT-Untersuchung und einer Biopsie obligat. Die Operation stellt die Behandlung der Wahl dar. Engmaschige Nachkontrollen sind notwendig, um Rezidive frühzeitig erkennen und dann gegebenenfalls operativ behandeln zu können.
Schlüsselwörter
extraabdominelle Desmoidfibromatose, Weichteiltumoren, operative Behandlung, Lokalrezidive
Introduction
Desmoid fibromatosis is an extremely rare disease, which is known since the 19th Century [2], [28], [30], [34], [40]. Synonymous terms are: desmoid tumor, aggressive fibromatosis, desmoid-type fibromatosis, musculoaponeurotic fibromatosis [6], [12], [22], [26], [27]. It is a neoplasm of connective tissue, which arises from musculoaponeurotic structures. It is locally aggressive and infiltrates the surrounding tissue (Figure 1 [Fig. 1]).
Figure 1: Desmoid fibromatosis of the shoulder and axillary region with local aggressive infiltration (Courtesy of the Department of Radiology of the Leipzig University)
The etiology is still largely unknown [2, 6, 18, 37, 40, 41]. Metastases are not described in literature, but frequent local recurrences are reported [2], [5], [7], [14], [16], [17], [24], [45]. With an incidence of 2–5 per million population per year [20], [22], [38], [43], desmoid fibromatosis is an extremely rare tumor entity. Desmoid fibromatosis is seen in patients with familial adenomatous polyposis (FAP) with an incidence of 3.5 to 32% [3], [26], [27], [33]. Desmoid fibromatosis can develop in men and women at any age [6], [29], [34]. Females are more frequently affected by this disease [11], [24], [25], [32], [41], [45]. There are several ways to classify desmoid fibromatosis. The classification of fibromatosis according to Enzinger and Weiss [44] is accepted worldwide. Accordingly, fibromatoses can be classified into superficial and deep fibromatoses [9], [40]. Desmoidfibromatoses can also be divided into extra-abdominal, abdominal and intra-abdominal tumors [18], [33] according to their localization. Peter Schulte et al. [26] proposed a uniform clinical classification of desmoid fibromatoses which summerizes the clinical heterogeneous behaviour (Table 1 [Tab. 1]).
Table 1: DES-Classification according to Peterschulte et al. [26] (E: extraabdominal, AW: abdominal wall, M1: mesenterium without obstruction, M2: mesenterium with obstruction)
The aim of this classification was to achieve standardization and to facilitate the development of therapeutic guidelines. The first manifestation of desmoid fibromatosis is very diverse. It is reported in literature that patients usually manifest with a painless extraabdominal swelling. Intra-abdominal desmoid fibromatoses can be occult and remain completely asymptomatic over a long period of time [12], [15], [36], [41], [42]. However desmoid fibromatoses may first manifest [4], [35], [39] by pain. Depending on their localisation and extent, they can cause considerable disability and morbidity [1], [5], [9], [14], [24]. MRI (Figure 1 [Fig. 1]) is of crucial importance and is considered as the gold standard in the diagnosis [1], [14], [24], [32].
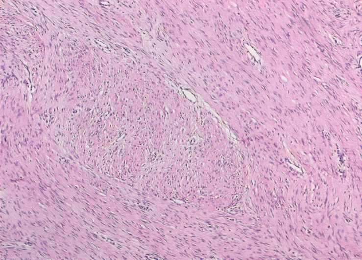
The diagnosis is to be confirmed by biopsy. Microscopically, there is a benign appearance with a well differentiated composition of intersecting bundles of fibroblasts, which are separated by collagen deposits (Figure 2 [Fig. 2]).
Figure 2: Benign appearance with a well differentiated composition of intersecting bundles of fibroblasts, which are separated by collagen deposits (Courtesy of the Institute of Pathology of Leipzig University)
The tissue is mainly composed of collagen with regular extensions in adjacent tissue [1], [11], [29], [39]. The treatment of choice is surgery. In view of the great tendency for recurrence, a wide resection must be implemented [5], [8] in order to achieve a secure R0 resection [1], [13], [25]. A sole or adjuvant radiotherapy should be considered in inoperable cases or in cases of insufficient resection of the tumor [22]. Drug therapy (hormone therapy, NSAIDs, chemotherapy) is only of secondary importance due to lack of sufficient evidence [6], [24].
The main problem of this entity of tumors lies in the non-specific appearance and delayed diagnosis as well as the extremely high tendency for recurrence [5], [6], [8], [21], [28]. Based on a literature review and a retrospective analysis of the treated patients in our department, this work deals with the aspects of adequate diagnosis and optimal therapy.
Material and methods
We retrospectively analyzed seven patients who were treated between August 1998 and May 2007. Only those patients with a sole extraabdominal desmoid fibromatosis were included. The retrospective analysis was performed using a written questionnaire which was specially designed for this study. In addition, all seven patients were subjected to a comprehensive survey and clinical as well as MRI follow-up. The average age of patients at initial presentation to our clinic was 54.6 years (37 to 68 years), the sex ratio was balanced with three women and four men. The most common anatomic location was in the shoulder-arm region (5/7 tumors: 2x shoulder, 2x scapula, 1x axilla). The other two cases presented the tumor at the flank and at the lower leg respectively (Figure 3 [Fig. 3] and Figure 4 [Fig. 4]).
Figure 3: Intraoperative appearance
Figure 4: Macroscopic appearance
Five patients presented with a painless and two patients with a painful soft tissue swelling increasing in size. The time interval between the first symptoms and first diagnosis was averaged 4.5 (2–11) months. The diagnostic investigations made in all cases were local ultrasound, X-ray, contrast-enhanced MRI and a biopsy with a subsequent evaluation in the interdisciplinary tumor board.
Results
We performed surgery on all the seven patients. For practical purpose, we divided these patients into two groups; the first group consisted of four patients and presented primarily in our hospital, whereas the second group consisted of three patients who were previously operated in other hospitals and presented to us with a recurrence.
R0 resection could be performed in three out of the four patients of the first group. In one of these resections the safety margin was only 1 mm. Two months after surgery the patient was free of recurrence.
In a further case of group one, intraoperative frozen section yielded insufficient security boundaries, so that meticulously wider resection was carried out. The resected material was sufficiently enough in sano. At the 18 month postoperative follow-up, the patient was free of recurrence.
In the third case, a resection in sano (1.5 mm safety margin) was performed. 20 months later, the patient developed recurrence. A new R0 resection (safety margin <1cm) followed. 10 months postoperatively, a second recurrence was observed. Despite further R0 resection a third recurrence was observed seven months later. Revision surgery was carried out with a wide safety margin; this patient is now free of recurrence.
Concerning the fourth patient, recurrence was observed during adjuvant radiotherapy interval after an R1 resection. Revision surgery yielded an Rx status. Hormone therapy with tamoxifen has been added. At the follow-up in May 2007 (8 years and 5 months after the last surgery), the patient was free of recurrence.
Regarding the three patients of second group, one patient was reported to having had R1 resection. We performed revision surgery in which still only R1 resection could be achieved. The remaining residual tumor showed no sign of growth by the last follow-up (18 months postoperatively).
In the case of the second patient of the second group, a two-stage resection was performed at another hospital due to a very complex structure of tumor in close proximity to major vascular and nerve cords at the shoulder region. Information on resection status was not available. Because of recurrence, we performed a radical resection (interscapulo-thoracic amputation). This could still only achieve R1 resection, after which the patient was free of recurrence at the follow-up in May 2007 (42 months after the last surgery).
In the case of the third patient in the second group, R1 resection was achieved after surgery in another hospital. Due to recurrence, we performed revision surgery (5 months postoperatively) and achieved an R0 status. Yet again four months later the patient developed recurrence, which in turn could be resected in sano. The safety margin ranged here between 1.1 cm and 3.5 cm. Since then, the patient is free of recurrence.
The overall results show that we have achieved R0 resection in 4 cases and R1 in two cases and Rx in one case. In 4 patients, no recurrence was observed after the single surgery performed in our hospital. In 2 patients a single revision surgery was performed in each case and yielded no further recurrence. In only one case, multiple surgeries (one primary and two revision surgeries) were necessary, after which no recurrence was reported.
Discussion
Extra-abdominal desmoid fibromatoses are usually painless lesions [39]. The majority of our patients (5/7) presented with a localized painless swelling. Clearly a rough swelling was palpable in all patients. These findings are conforming to the data reported in literature [12], [15], [36], [42]. Dalén et al. [5] and Mendenhall et al. [20] reported a time interval of approximately one year between the first symptoms and the diagnosis. In our hospital, the diagnosis could be made after an average of 4.5 months. Sonography, conventional radiography, CT and nuclear medicine were non-specific and thus not reliable investigative tools [9], [15], [19], [24], [27], [32]. In the literature, MRI is the method of choice in the diagnosis of desmoid fibromatosis [1], [6], [24]. This method evaluates the exact localization, extension, growth behavior as well as recurrence. The contrast enhanced MRI is therefore essential for preoperative planning and hence was performed in all of our patients [32]. However, reactive edema within the bone marrow or soft tissue and contrast-induced increased signal can mimic aggressive processes [36]. Thus, a biopsy is mandatory to confirm the diagnosis. The treatment of choice for extraabdominal desmoid fibromatosis is surgical treatment [5]. Desmoid fibromatosis has to be surgically treated by wide resection [8], with the goal to achieve secure R0 resection [1], [13], [25]. The complete surgical removal of the tumor, however, is often difficult to achieve because an intraoperative demarcation between the diffusely infiltrating tumor and the surrounding healthy tissue is rather difficult in many cases. Literature reports point to an appropriate safety margin ranging from 1 cm [6] to about 5 cm [39]. The histopathological findings of our analysis have shown that the achieved safety margin was less than 1 cm in all these cases. Thus, recurrence occurred in the four patients despite the fact that an R0 resection was achieved. The safety zone, however, was less than a centimeter.
Leithner et al. [18] studied 412 patients with extraabdominal primary tumor. While the recurrence rate was 27% after wide or radical resection, it was around 2.5 times higher (72% recurrence rate) after marginal or intralesional resection. Also in 127 patients with a recurrent extraabdominal tumor the microscopic surgical margin was a significant prognostic factor [18]. This result supports the hypothesis that wide resections of extraabdominal desmoid fibromatosis are associated with a lower recurrence rate. The influence of the extent of resection on the development of local recurrence is still discussed in the literature [34]. This is primarily due to the fact that the published data rarely refer to a type of desmoid fibromatosis. On the other hand, recurrence is observed even after wide resection. One of our patients developed recurrence 20 months after a wide R0 resection. In this context, only the surgical removal of the primary tumor may be considered as a local trauma and hence as a stimulus for the development of recurrence as described in the literature [22].
Further, it is reported in literature that surgical procedures could be combined with radiotherapy. A peri- and postoperative radiation therapy or as an adjunct to surgical treatment is a treatment option for reducing the risk of recurrence, especially in those patients in whom no R0 resection can be achieved [24], [43]. Depending on the location and extent of the tumor, adjuvant radiotherapy must be considered in patients with R1 resection and/or recurrence. Patients with R2 resection should always receive radiotherapy when revision surgery is not possible [20]. Radiotherapy alone is recommended if the tumor is inoperable [28], [31], [38]. Radiotherapy is performed one month after the surgical procedure [28]. Wide margins and high doses are recommended to achieve adequate local control [24]. The optimal total dose is 50–55 Gy [6], [20]. Desmoid fibromatosis responds to cytotoxic chemotherapy. In some patients, symptomatic and permanent regression was observed. However, there are no evidence-based studies which describe a consistent treatment success of extraabdominal desmoid fibromatosis [6], [24]. Chew et al. [2] state that a waiting and observing strategy might be reasonable in cases of desmoid fibromatosis of extremities in which a radical resection would only be realized by means of an amputation. Even Rock et al. [31] recommend close observation when recurrent lesions are not progressive until a possible tumor growth makes a further excision necessary. Thus, the risk of observation as a sole treatment should be weighed against the risk of possible morbidities in case of primary resection or resection of recurrent disease [21].
Conclusions
Early diagnosis is essential for the treatment of desmoid fibromatosis, since this improves the chances of success of surgical therapy. Contrast enhanced MRI scan and a biopsy are obligatory as part of the standardized diagnostic work-up. The problem in the treatment of desomid fibromatosis is mainly due to the aggressive infiltrative nature of tumor growth which causes considerable difficulty in properly assessing the boundaries of the tumor intraoperatively. Surgery is usually the treatment of choice and adequate safety margins (>1 cm) should be achieved. Intraoperative frozen section analysis is recommended to assure adequate safety margins. Adjuvant radiotherapy is to be considered in case of narrow R0 resection and in case of R1 resection and recurrences. Radiotherapy is obligatory in case of R2 resections. Radiotherapy as a sole treatment is only considered in inoperable patients or in cases where surgical treatment would be associated with a significant loss of function. Frequent follow-up is necessary to early detect a possible recurrence.
Notes
Competing interests
The authors declare that they have no competing interests.
Authorship
The authors M. Ghanem and A. Heinisch have equally contributed to this work.
Acknowledgement
The authors would like to thank the Institute for Pathology of the Leipzig University, Chairman Prof. Dr. C. Wittekind, for their work and for Figure 1. The authors would also like to thank the Department of Radiology of the Leipzig University, Prof. Dr. T. Kahn, for their work and for Figure 2.
References
[1] Biermann JS. Desmoid tumors. Curr Treat Options Oncol. 2000 Aug;1(3):262-6. DOI: 10.1007/s11864-000-0038-5[2] Chew C, Reid R, O'Dwyer PJ. Evaluation of the long term outcome of patients with extremity desmoids. Eur J Surg Oncol. 2004 May;30(4):428-32. DOI: 10.1016/j.ejso.2004.01.010
[3] Clark SK, Neale KF, Landgrebe JC, Phillips RK. Desmoid tumours complicating familial adenomatous polyposis. Br J Surg. 1999 Sep;86(9):1185-9. DOI: 10.1046/j.1365-2168.1999.01222.x
[4] Clark TW. Percutaneous chemical ablation of desmoid tumors. J Vasc Interv Radiol. 2003 May;14(5):629-34. DOI: 10.1097/01.RVI.0000064861.87207.3E
[5] Dalén BP, Bergh PM, Gunterberg BU. Desmoid tumors: a clinical review of 30 patients with more than 20 years' follow-up. Acta Orthop Scand. 2003 Aug;74(4):455-9. DOI: 10.1080/00016470310017785
[6] Delloye C, Viejo-Fuertes D, Scalliet P. Treatment of aggressive fibromatosis: a multidisciplinary approach. Acta Orthop Belg. 2004 Jun;70(3):199-203.
[7] Denys H, De Wever O, Nusgens B, Kong Y, Sciot R, Le AT, Van Dam K, Jadidizadeh A, Tejpar S, Mareel M, Alman B, Cassiman JJ. Invasion and MMP expression profile in desmoid tumours. Br J Cancer. 2004 Apr;90(7):1443-9. DOI: 10.1038/sj.bjc.6601661
[8] Duggal A, Dickinson IC, Sommerville S, Gallie P. The management of extra-abdominal desmoid tumours. Int Orthop. 2004 Aug;28(4):252-6. DOI: 10.1007/s00264-004-0571-0
[9] Edmonds LD, Ly JQ, LaGatta LM, Lusk JD, Beall DP. Quiz case. Extraabdominal desmoid tumor of the upper arm. Eur J Radiol. 2003 Dec;48(3):312-5. DOI: 10.1016/S0720-048X(03)00051-2
[10] Enneking WF. Musculoskeletal tumor surgery. New York: Churchill Livingstone; 1983. p. 90-5.
[11] Erguvan-Dogan B, Dempsey PJ, Ayyar G, Gilcrease MZ. Primary desmoid tumor (extraabdominal fibromatosis) of the breast. AJR Am J Roentgenol. 2005 Aug;185(2):488-9. DOI: 10.2214/ajr.185.2.01850488
[12] Goldwirth M, Kollender Y, Goodwin DR. Desmoid tumour of the hand. Hand Surg. 2002 Jul;7(1):151-2. DOI: 10.1142/S0218810402000923
[13] Gwynne-Jones DP, Theis JC, Jeffery AK, Hung NA. Long-term follow-up of a recurrent multifocal desmoid tumour treated with tamoxifen: a case report. J Orthop Surg (Hong Kong). 2005 Aug;13(2):174-7.
[14] Hosalkar HS, Fox EJ, Delaney T, Torbert JT, Ogilvie CM, Lackman RD. Desmoid tumors and current status of management. Orthop Clin North Am. 2006 Jan;37(1):53-63. DOI: 10.1016/j.ocl.2005.08.004
[15] Kadwa S. Juvenile aggressive fibromatosis. SADJ. 2003 Aug;58(7):299-302.
[16] Kogelnik HD. Chirurgie versus Radiotherapie für Patienten mit aggressiver Fibromatose oder Desmoidtumoren. Eine vergleichende Übersicht von 22 Arbeiten. Strahlenther Onkol. 2000;176(11):541-2.
[17] Kuhnen C, Helwing M, Rabstein S, Homann HH, Müller KM. Desmoidfibromatosen (aggressive Fibromatosen). Klinisch-pathologische Korrelationen und Differenzialdiagnose spindelzelliger fibroblastisch/myofibroblastischer Tumoren des Weichgewebes [Desmoid-type fibromatosis (aggressive fibromatosis)]. Pathologe. 2005 Mar;26(2):117-26. DOI: 10.1007/s00292-004-0742-1
[18] Leithner A, Gapp M, Leithner K, Radl R, Krippl P, Beham A, Windhager R. Margins in extra-abdominal desmoid tumors: a comparative analysis. J Surg Oncol. 2004 Jun;86(3):152-6. DOI: 10.1002/jso.20057
[19] Meller J, Lehmann K, Altenvoerde G, Jauho A, Becker W. F-18-FDG PET zum Nachweis einer aggressiven Fibromatose [F-18-FDG PET for the detection of aggressive fibromatosis]. Nuklearmedizin. 2000 Dec;39(8):N115-7.
[20] Mendenhall WM, Zlotecki RA, Morris CG, Hochwald SN, Scarborough MT. Aggressive fibromatosis. Am J Clin Oncol. 2005 Apr;28(2):211-5. DOI: 10.1097/01.coc.0000144817.78549.53
[21] Merchant NB, Lewis JJ, Woodruff JM, Leung DH, Brennan MF. Extremity and trunk desmoid tumors: a multifactorial analysis of outcome. Cancer. 1999 Nov 15;86(10):2045-52. DOI: 10.1002/(SICI)1097-0142(19991115)86:10<2045::AID-CNCR23>3.0.CO;2-F
[22] Micke O, Seegenschmiedt MH; German Cooperative Group on Radiotherapy for Benign Diseases. Radiation therapy for aggressive fibromatosis (desmoid tumors): results of a national Patterns of Care Study. Int J Radiat Oncol Biol Phys. 2005 Mar;61(3):882-91. DOI: 10.1016/j.ijrobp.2004.07.705
[23] Nuyttens JJ, Rust PF, Thomas CR Jr, Turrisi AT 3rd. Surgery versus radiation therapy for patients with aggressive fibromatosis or desmoid tumors: A comparative review of 22 articles. Cancer. 2000 Apr 1;88(7):1517-23. DOI: 10.1002/(SICI)1097-0142(20000401)88:7<1517::AID-CNCR3>3.0.CO;2-9[uid]
[24] Pakos EE, Tsekeris PG, Goussia AC. Desmoid tumours of the extremities and trunk: a review of the literature. Int Orthop. 2005 Aug;29(4):210-3. DOI: 10.1007/s00264-005-0641-y
[25] Park HC, Pyo HR, Shin KH, Suh CO. Radiation treatment for aggressive fibromatosis: findings from observed patterns of local failure. Oncology. 2003;64(4):346-52. DOI: 10.1159/000070292
[26] Peterschulte G, Lickfeld T, Möslein G. Das Desmoid-Problem [The desmoid problem]. Chirurg. 2000 Aug;71(8):894-903. DOI: 10.1007/s001040051153
[27] Picariello L, Tonelli F, Brandi ML. Selective oestrogen receptor modulators in desmoid tumours. Expert Opin Investig Drugs. 2004 Nov;13(11):1457-68. DOI: 10.1517/13543784.13.11.1457
[28] Pignatti G, Barbanti-Bròdano G, Ferrari D, Gherlinzoni F, Bertoni F, Bacchini P, Barbieri E, Giunti A, Campanacci M. Extraabdominal desmoid tumor. A study of 83 cases. Clin Orthop Relat Res. 2000 Jun;(375):207-13. DOI: 10.1097/00003086-200006000-00025
[29] Pritchard DJ, Nascimento AG, Petersen IA. Local control of extra-abdominal desmoid tumors. J Bone Joint Surg Am. 1996 Jun;78(6):848-54.
[30] Reitamo JJ, Scheinin TM, Häyry P. The desmoid syndrome. New aspects in the cause, pathogenesis and treatment of the desmoid tumor. Am J Surg. 1986 Feb;151(2):230-7. DOI: 10.1016/0002-9610(86)90076-0
[31] Rock MG, Pritchard DJ, Reiman HM, Soule EH, Brewster RC. Extra-abdominal desmoid tumors. J Bone Joint Surg Am. 1984 Dec;66(9):1369-74.
[32] Schlemmer M. Desmoid tumors and deep fibromatoses. Hematol Oncol Clin North Am. 2005 Jun;19(3):565-71, vii-viii. DOI: 10.1016/j.hoc.2005.03.008
[33] Schulz-Ertner D, Zierhut D, Mende U, Harms W, Branitzki P, Wannenmacher M. The role of radiation therapy in the management of desmoid tumors. Strahlenther Onkol. 2002 Feb;178(2):78-83. DOI: 10.1007/s00066-002-0900-4
[34] Shields CJ, Winter DC, Kirwan WO, Redmond HP. Desmoid tumours. Eur J Surg Oncol. 2001 Dec;27(8):701-6. DOI: 10.1053/ejso.2001.1169
[35] Sikka RS, Vora M, Edwards TB, Szabo I, Walch G. Desmoid tumor of the subscapularis presenting as isolated loss of external rotation of the shoulder. A report of two cases. J Bone Joint Surg Am. 2004 Jan;86-A(1):159-64.
[36] Smith SE, Kransdorf MJ. Primary musculoskeletal tumors of fibrous origin. Semin Musculoskelet Radiol. 2000;4(1):73-88.
[37] Sørensen A, Keller J, Nielsen OS, Jensen OM. Treatment of aggressive fibromatosis: a retrospective study of 72 patients followed for 1-27 years. Acta Orthop Scand. 2002 Apr;73(2):213-9. DOI: 10.1080/000164702753671830
[38] Spear MA, Jennings LC, Mankin HJ, Spiro IJ, Springfield DS, Gebhardt MC, Rosenberg AE, Efird JT, Suit HD. Individualizing management of aggressive fibromatoses. Int J Radiat Oncol Biol Phys. 1998 Feb 1;40(3):637-45. DOI: 10.1016/S0360-3016(97)00845-6
[39] Suit H, Spiro I. Radiation in the multidisciplinary management of desmoid tumors. Front Radiat Ther Oncol. 2001;35:107-19. DOI: 10.1159/000061271
[40] Tanaka H, Harasawa A, Furui S. Usefulness of MR imaging in assessment of tumor extent of aggressive fibromatosis. Radiat Med. 2005 Mar;23(2):111-5.
[41] Wagstaff MJ, Raurell A, Perks AG. Multicentric extra-abdominal desmoid tumours. Br J Plast Surg. 2004 Jun;57(4):362-5. DOI: 10.1016/j.bjps.2004.02.014
[42] Watanabe T, Suenaga N, Minami A. Extra-abdominal desmoid around the shoulder joint: one of the differential diagnoses of frozen shoulder. J Shoulder Elbow Surg. 2004 Jan-Feb;13(1):90-4. DOI: 10.1016/S1058-2746(03)00054-5
[43] Weiss RJ, Treiber M, Zahlten-Hinguranage A, Bernd L. Verbesserung der lokalen Kontrolle bei Patienten mit aggressiver Fibromatose durch die Kombination von Chirurgie und Strahlentherapie [Improving local control in patients with aggressive fibromatosis by combined surgery and radiotherapy]. Chirurg. 2002 Jun;73(6):615-21. DOI: 10.1007/s00104-002-0441-5
[44] Weiss SW, Goldblum JR, eds. Enzinger and Weiss’s Soft Tissue Tumors. 4th ed. Missouri: Mosby; 2001. p. 320-9.
[45] Zollinger HU. Pathologische Anatomie. 2. ed. Stuttgart: Georg Thieme Verlag; 1969. p. 465.
Erratum
In the initial publication the article was erroneously designated as "Review Article".



