[Die transpedikuläre Fixateur externe-Stabilisierung bei komplizierter Spondylodiszitis – Salvage-Verfahren]
Matthias Spalteholz 1Ralf H. Gahr 1
1 Traumazentrum, Klinik für Unfallchirurgie und Orthopädie, Klinikum St. Georg, Leipzig, Germany
Zusammenfassung
Spezifische und unspezifische Infektionen der Wirbelsäule sind selten. Aufgrund ihres Potentials für hochgradige Instabilitäten, Deformitäten und der Beeinträchtigung neurologischer Strukturen ist die Behandlung oft prolongiert und erfordert ein interdisziplinäres Management. Die klinische Symptomatik ist uncharakteristisch, daher wird die Diagnose oft verzögert gestellt. Es gibt keine prospektiv randomisierten Studien zur Therapieempfehlung. Das operative Konzept umfasst die chirurgische Infekteradikation und die sichere Stabilisierung der involvierten Segmente. Dieses Vorgehen ist in den meisten Fällen der endogenen Wirbelkörperosteomyelitis erfolgreich. Die Therapie der exogenen Spondylodiszitis nach Makro- und mirkochirurgischen Eingriffen ist aufgrund der kritischen Wundverhältnisse und der Beteiligung der dorsalen Abschnitte der Wirbelsäule weitaus schwieriger. In diesen Fällen wird die infekt-bedingte Instabilität der vorderen Säule durch die infizierten dorsalen Weichteilverhältnisse kompliziert.
Wir präsentieren drei Fälle schwerer exogener Spondylodiszitiden, in denen die temporäre Stabilisierung durch Fixateur externe als Salvage-Verfahren genutzt wurde, bis die lokalen Weichteilverhältnisse eine definitive interne Stabilisierung zugelassen haben.
Schlüsselwörter
Spondylodiszitis, exogene Wirbelkörperostoemyelitis, exogene Wirbelsäuleninfektion, Fixateur externe-Stabilisierung
Introduction – External transpedicular fixation in spine
The external transpedicular spine fixation was first described in 1977 by Magerl [16]. Using long Schantz screws and an adjustable external fixation device, the system could be applied in a neutral as well as in a distraction or compression mode. Considering a follow up of 52 patients with acute spinal trauma, osteomyelitis and decompression, there was no deep infection and loosing of the screws occurred only in one case [17]. Jeanneret and Magerl proposed the external spine fixation for treatment of vertebral infections with minimally bone loss, inadequate orthotic stabilization and the presence of infected wounds [12]. Biomechanical examinations revealed higher bending moments for the external fixation than for other stabilization systems [30]. Möckel et al. used the percutaneous external fixator for the reduction of A3 fractures, to enable a stand alone anterior internal fixation [19]. Reyes-Sánchez et al. recommended the external spine fixation for the dynamic correction of severe scoliosis [25]. Other authors suggested the external skeletal spine fixation to improve the predictability of lumbar arthrodesis [2].
Magerl’s external four point fixation was the precursor for the internal spine fixation systems [6].
Case reports
Case 1
A 50-year-old man suffered a L1 burst fracture (A3.3) in a car accident. Due to a septic implant loosening one year after surgery, the complete implant removal was required. Because of the existing instability and the critical posterior wound conditions with abscess formation in trunk muscles, an external posterior spine fixation was necessary. The following anterior and posterior surgical debridement was supported by local and systemic antibiotics and led to eradication of the infection. The definitive internal spine fixation was performed after 4 weeks (Figure 1 [Fig. 1], Figure 2 [Fig. 2], Figure 3 [Fig. 3]).
Figure 1: Left: Posterior bisegmental stabilization and anterior reconstruction after burst fracture of L1. Right: Septic implant loosening: Cage displacement and cut out of the distal pedicle screws after one year.
Figure 2: Temporary external posterior long segment stabilization (Hoffmann II external fixator, 5 mm pins). Surgical debridement of the anterior column and antibiotic chain spacer implantation.
Figure 3: Left: Procedural change. Internal posterior stabilization Th11/12 – L2/3 (Longitude/Medtronic; 6.5 mm pedicle screws). The antibiotic chains were left in situ. Because of the good bone quality, a pedicle screw augmentation was not necessary. Right: Removal of the antibiotic chains after further 4 weeks. Due to a progressive osseous bridging, there was no need for an anterior stabilization. 
Case 2
A 72-year-old female patient was moved into our hospital with a progressive incomplete spinal cord injury syndrome. She recognized a weakness of her legs and ataxia as well as urinary and rectal dysfunction since 4 days. Two years ago she underwent a posterior stabilization and lumbar interbody fusion due to L2/3 degeneration. The MRI revealed a pronounced inflammation of the posterior parts of spine as well as a septic pedicle screw loosening. Due to the extended anterior and posterior spread of the infection, screw removal was inevitable. The retroperitoneal and posterior surgical debridement was followed by an anterior antibiotic chain interposition and a posterior vacuum closure application. The necessary stability was achieved by temporary external long segment stabilization. After repetitive surgical debridement und soft tissue conditioning the definitive internal instrumentation was possible after 4 weeks (Figure 4 [Fig. 4], Figure 5 [Fig. 5], Figure 6 [Fig. 6], Figure 7 [Fig. 7]).
Figure 4: Left: Adjacent segment instability after L2/3 PLIF. Right: The sagittal and transverse MR Imaging reveals the extended infection spread in the trunk- and psoas muscles. Additionally, there is increasing signal intensity in the adjacent disc space L1/2, that indicates infection.
Figure 5: Temporary external posterior stabilization Th10/11 – L4/5 (Hoffmann II external fixator, 5 mm pins). The intersomatic antibiotic chain interposition after retroperitoneal surgical debridement provides high local antibiotic concentrations.
Figure 6: External spine stabilization using Hoffman II external fixator. The vacuum assisted closure therapy is necessary for soft tissue conditioning. 
Figure 7: Posterior long segment internal stabilization Th10/11/12 – L4/5 using cement-augmented pedicle screws (Longitude, Medtronic). Anterior internal fixation as well as palacos spacer implantation between L1 and 2 (Antares, Medtronic). 
Case 3
An 84-year-old female patient underwent surgery, due to a progressive kyphotic deformity and spinal cord compression after L1 fracture in severe osteoporosis 8 weeks ago. She was moved to hospital with extended wound necrosis and exogenous vertebral infection after long segment posterior stabilization. The critical soft tissue conditions and septic pedicle screw loosening required a complete implant removal. Because of the large decompression zone, an external spine fixation was necessary to ensure stability. Repetitive surgical debridement, local and systemic antibiotics and vacuum closure therapy led to soft tissue recovery and CRP normalization. The definitive internal stabilization and wound closure occurred after 4 weeks (Figure 8 [Fig. 8], Figure 9 [Fig. 9], Figure 10 [Fig. 10], Figure 11 [Fig. 11], Figure 12 [Fig. 12], Figure 13 [Fig. 13], Figure 14 [Fig. 14]).
Figure 8: L1 compression fracture in severe osteoporosis led to kyphosis and spinal cord compression. Long segment posterior stabilization and multilevel decompression. 
Figure 9: The sagittal CT image reveals the extent of the posterior instability.
Figure 10: Left: Local findings. Right: Intraoperative findings.
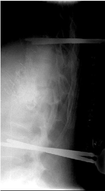
Figure 11. Left: Complete implant removal, radically surgical debridement and external spine fixation with vacuum wound closure (Hoffmann II external fixator, 5.0 mm Pins). Right: X-ray Image of the thoracolumbar spine. External posterior stabilization.
Figure 12: Follow-up after VAC therapy
Figure 14: X-ray image of the final internal posterior stabilization (Longitude, Medtronic; cement-augmented pedicle screws, 7.5 mm)
Discussion
The incidence of the non-specific vertebral osteomyelitis is around 1:250,000 and represents 3–5% of all bone infections [5], [32]. There is an accumulation between 50–70 years. Men are 1.5 to 2 times more involved than women [20]. Depending on the kind of pathogen are distinguished pyogenic, granulomatous and parasitic vertebral infections. Pathogenesis differentiates endogenous forms from exogenous spondylodiscitis. Endogenous forms occur by haematogenous and lymphogenous spread or a direct infiltration from adjacent infected tissues and organs. Interventional therapy and spine surgery are the main cause for exogenous vertebral osteomyelitis. The incidence amounts between 0.1 and 0.6% after micro surgery and between 1.4 to 3% after macro surgery [32]. Vascular supply of the vertebral bodies and intervertebral discs is crucial for the pathophysiology. There is no vascular perfusion in the mature discs. The segmental arteries are end arteries without any anastomoses. The septic infarction of the end arteries leads to osteonecrosis with wedge formation, vertebral compression fracture, spinal instability and deformity with the risk of spinal cord compression [24], [31]. The infection spreading leads to abscess formation and deterioration of neurological deficits. Predisposing factors for the spondylodiscitis are: age [3], spine surgery and visceral surgery [7], diabetes mellitus [14], cardiovascular diseases, renal failure, rheumatism, immunodeficiency [34], drug abuse and HIV [23]. More than 90% are monomicrobial infections. The predominant pathogen is staphylococcus aureus (range 20–84%), followed by enterobacteriaceae (7–33%) and streptococci (5–20%). Coagulase negative staphylococci represent 16% and anaerobes less than 4% [10]. The lumbar spine is affected in 58%, followed by the thoracic (30%) and cervical (12%) spine [20]. The diagnosis is often delayed due to the uncharacteristic symptoms. Non-specific back or neck pain is common. 15% are pain free [27]. Fever is present in 50% [20]. Neurological deficits such as paralysis or sensory deficits, sphincter and urinary dysfunction are present in a third of cases [20]. Dysphagia and torti collis might be a leading symptom when the cervical spine is affected [1]. Although the mortality is reduced since the era of the antibiotics (today under 5%), the outcome is dependent on an early diagnosis and therapy [28]. Instabilities, deformities and the infection spreading are often associated with neurological deficits. Motoric deficits remain in 30% and sensory deficits in 90% [35]. Recurrent infections are reported in 7% [32].
Diagnostics
C-reactive protein is the most important laboratory parameter. It is increased in most cases and a decisive trend parameter [5], [11]. Blood cell sedimentation rate and leukocytes are not specific. Blood cultures are positive in 70% [21]. Detection of the pathogen is crucial for the success of the antibiotic therapy. Percutaneous biopsy is positive in 43–78% [33]. Open biopsy is recommended in the absence of pathogen-proof [17]. Histology is important to exclude malignant processes [21].
MRI is the modality of choice for the radiological diagnosis. It has a reported sensitivity of 96% and specificity of 93%. Decreased signal intensity from disc and adjacent vertebral bodies on T1-weighted images and increased signal intensity on T2-weighted images are typical for the osteomyelitis. Gadolinium enhancement differentiates the vertebral osteomyelitis from degenerative and malignant processes. Due to the persistence of radiological alterations, the MRI control is recommended after 8 weeks [4]. The PET CT is another diagnostic modality. Its availability is limited. It has a reported sensitivity of 100% and a specificity of 90.5% with an excellent distinction between degeneration and inflammation.
Therapy
There are no prospective and randomized studies for therapy recommendation, neither for surgical nor antibiotic therapy. Duration of the antibiotic therapy is not uniform – periods between 6 and 14 weeks are reported in literature [18]. Roblot et al. found no correlation between the duration and the re-infection rate [26].
The conservative treatment is justified in vertebral osteomyelitis with mild symptoms, absence of instabilities and abscess formations. Surgery is recommended if there is no improvement of the clinical findings after 6 to 8 weeks, or there is deterioration in the MRI control [29]. An early re-evaluation is necessary to avoid pseudarthrosis (up to 50%), instabilities, deformities, neurological deficits and chronic pain [32]. Otherwise, surgery is inevitable. The aim of the surgical therapy is the eradication of the infection and the reconstruction of the sagittal profile [9]. There is also no standard procedure in surgery: posterior, anterior or combined procedures are recommended. However, surgical debridement and stable internal fixation of the involved segments leads to healing of the most endogenous vertebral infections.
The major challenge is the therapy of the exogenous vertebral infections, especially after macro surgery. These infections are complicated by the impairment of the posterior parts of the vertebral column (necrosis and infection of trunk muscles, subcutaneous layer and skin). In these cases an implant removal is inevitable. This results in another complication: iatrogenic instability. Because of the extent of the posterior decompression, the stand alone anterior instrumentation is not possible in most cases. There is a need for a posterior stabilization. If the local findings prohibit an internal stabilization, the temporary external spine fixation is an alternative, till the wound closure is possible. As mentioned above the biomechanical properties are excellent. The external stabilization enables sufficient stability and thereby supports the soft tissue conditioning, e.g. using VAC therapy.
The patients benefit from the early mobilization. Isometric muscle training, postural and breathing exercises start directly after surgery.
However, the percutaneous Schantz screw implantation is risky. Screw malpositions occur in 25%. Nerve irritation, liquor leakage and superficial infections are described. Pin track infections are described in over 50% [8], [13], [22]. The after care is sophisticated. Especially the supine position is uncomfortable – an individually adapted foam mattress is necessary.
The therapy of the endogenous and exogenous vertebral osteomyelitis is an individual therapy. The challenge is eradication of the infection and reconstruction of the alignment. Therefore, different surgical and non surgical procedures are proposed.
The external spine fixation is a salvage procedure in the management of the exogenous spine infection with critical soft tissue conditions. Its use is always an individually decision.
Conclusion
The incidence of the vertebral osteomyelitis is rare. However, due to the increasing spine surgery, the risk of exogenous vertebral infections will increase. In contrast to the endogenous form, the main problem of the exogenous vertebral infection is the involvement of the posterior parts of the spine. This is a major challenge for the spine surgeon and requires an individually therapy regime. We demonstrated three cases of exogenous spine infections and presented the modality of temporary external spine fixation, till the soft tissue conditions allowed a definitive internal stabilization.
The external spine fixation is a salvage procedure in the treatment of exogenous spine infections. Its use is always an individual decision.
Notes
Competing interests
The authors declare that they have no competing interests.
References
[1] Acosta FL Jr,Chin CT, Quiñones-Hinojosa A, Ames CP, Weinstein PR, Chou D. Diagnosis and management of adult pyogenic osteomyelitis of the cervical spine. Neurosurg Focus. 2004 Dec;17(6):E2. DOI: 10.3171/foc.2004.17.6.2[2] Bednar DA. Failure of external spinal skeletal fixation to improve predictability of lumbar arthrodesis. J Bone Joint Surg Am. 2001 Nov;83-A(11):1656-9.
[3] Carragee EJ. Pyogenic vertebral osteomyelitis. J Bone Joint Surg Am. 1997 Jun;79(6):874-80.
[4] Carragee EJ. The clinical use of magnetic resonance imaging in pyogenic vertebral osteomyelitis. Spine. 1997 Apr;22(7):780-5. DOI: 10.1097/00007632-199704010-00015
[5] Cramer J, Haase N, Behre I, Ostermann PAW. Spondylitis und Spondylodiszitis. Trauma und Berufskrankheit. 2003;5:336–41. DOI: 10.1007/s10039-003-0771-7
[6] Dick W, Kluger P, Magerl F, Woersdörfer O, Zäch G. A new device for internal fixation of thoracolumbar and lumbar spine fractures: the 'fixateur interne'. Paraplegia. 1985 Aug;23(4):225-32. DOI: 10.1038/sc.1985.38
[7] Dufour V, Feydy A, Rillardon L, Redondo A, Le Page L, Bert F, Belmatoug N, Fantin B. Comparative study of postoperative and spontaneous pyogenic spondylodiscitis. Semin Arthritis Rheum. 2005 Apr;34(5):766-71. DOI: 10.1016/j.semarthrit.2004.08.004
[8] Esses SI, Botsford DJ, Kostuik JP. The role of external spinal skeletal fixation in the assessment of low-back disorders. Spine. 1989 Jun;14(6):594-601. DOI: 10.1097/00007632-198906000-00009
[9] Fang D, Cheung KM, Dos Remedios ID, Lee YK, Leong JC. Pyogenic vertebral osteomyelitis: treatment by anterior spinal debridement and fusion. J Spinal Disord. 1994 Apr;7(2):173-80. DOI: 10.1097/00002517-199407020-00012
[10] Gouliouris T, Aliyu SH, Brown NM. Spondylodiscitis: update on diagnosis and management. J Antimicrob Chemother. 2010 Nov;65 Suppl 3:iii11-24. DOI: 10.1093/jac/dkq303
[11] Hsieh PC, Wienecke RJ, O'Shaughnessy BA, Koski TR, Ondra SL. Surgical strategies for vertebral osteomyelitis and epidural abscess. Neurosurg Focus. 2004 Dec;17(6):E4. DOI: 10.3171/foc.2004.17.6.4
[12] Jeanneret B, Magerl F. Treatment of osteomyelitis of the spine using percutaneous suction/irrigation and percutaneous external spinal fixation. J Spinal Disord. 1994 Jun;7(3):185-205. DOI: 10.1097/00002517-199407030-00001
[13] Koval KJ, Aharonoff GB, Schwartz MC, Alpert S, Cohen G, McShinawy A, Zuckerman JD. Pubic rami fracture: a benign pelvic injury? J Orthop Trauma. 1997 Jan;11(1):7-9. DOI: 10.1097/00005131-199701000-00003
[14] Krogsgaard MR, Wagn P, Bengtsson J. Epidemiology of acute vertebral osteomyelitis in Denmark: 137 cases in Denmark 1978-1982, compared to cases reported to the National Patient Register 1991-1993. Acta Orthop Scand. 1998 Oct;69(5):513-7. DOI: 10.3109/17453679808997789
[15] Lew DP, Waldvogel FA. Osteomyelitis. Lancet. 2004 Jul 24-30;364(9431):369-79. DOI: 10.1016/S0140-6736(04)16727-5
[16] Magerl F. External spinal skeletal fixation. In: Weber BG, Magerl F, eds. The External Fixator. New York: Springer-Verlag; 1985. p. 289-365. DOI: 10.1007/978-3-642-70015-6_15
[17] Magerl FP. Stabilization of the lower thoracic and lumbar spine with external skeletal fixation. Clin Orthop Relat Res. 1984 Oct;(189):125-41.
[18] McHenry MC, Easley KA, Locker GA. Vertebral osteomyelitis: long-term outcome for 253 patients from 7 Cleveland-area hospitals. Clin Infect Dis. 2002 May;34(10):1342-50. DOI: 10.1086/340102
[19] Möckl CH, Mayr E, Krischak S, Häuser H, Rüter A. Segmental ligamentotaxis. Eur J of Trauma. 2002;E-Suppl 1: 94–7.
[20] Mylona E, Samarkos M, Kakalou E, Fanourgiakis P, Skoutelis A. Pyogenic vertebral osteomyelitis: a systematic review of clinical characteristics. Semin Arthritis Rheum. 2009 Aug;39(1):10-7. DOI: 10.1016/j.semarthrit.2008.03.002
[21] Nolla JM, Ariza J, Gómez-Vaquero C, Fiter J, Bermejo J, Valverde J, Escofet DR, Gudiol F. Spontaneous pyogenic vertebral osteomyelitis in nondrug users. Semin Arthritis Rheum. 2002 Feb;31(4):271-8. DOI: 10.1053/sarh.2002.29492
[22] Olerud S, Sjöström L, Karlström G, Hamberg M. Spontaneous effect of increased stability of the lower lumbar spine in cases of severe chronic back pain. The answer of an external transpeduncular fixation test. Clin Orthop Relat Res. 1986 Feb;(203):67-74.
[23] Patzakis MJ, Rao S, Wilkins J, Moore TM, Harvey PJ. Analysis of 61 cases of vertebral osteomyelitis. Clin Orthop Relat Res. 1991 Mar;(264):178-83.
[24] Radcliffe JF. An evaluation of the intra-osseous arterial anastomoses in the human vertebral body at different ages. A microarteriographic study. J Anat. 1982 Mar;134(Pt 2):373-82.
[25] Reyes-Sánchez A, Rosales LM, Miramontes V. External fixation for dynamic correction of severe scoliosis. Spine J. 2005 Jul-Aug;5(4):418-26. DOI: 10.1016/j.spinee.2004.11.013
[26] Roblot F, Besnier JM, Juhel L, Vidal C, Ragot S, Bastides F, Le Moal G, Godet C, Mulleman D, Azaïs I, Becq-Giraudon B, Choutet P. Optimal duration of antibiotic therapy in vertebral osteomyelitis. Semin Arthritis Rheum. 2007 Apr;36(5):269-77. DOI: 10.1016/j.semarthrit.2006.09.004
[27] Sakkas LI, Davas EM, Kapsalaki E, Boulbou M, Makaritsis K, Alexiou I, Tsikrikas T, Stathakis N. Hematogenous spinal infection in central Greece. Spine. 2009 Jul;34(15):E513-8. DOI: 10.1097/BRS.0b013e3181a9897e
[28] Sapico FL, Montgomerie JZ. Pyogenic vertebral osteomyelitis: report of nine cases and review of the literature. Rev Infect Dis. 1979 Sep-Oct;1(5):754-76. DOI: 10.1093/clinids/1.5.754
[29] Schinkel C, Gottwald M, Andress HJ. Surgical treatment of spondylodiscitis. Surg Infect (Larchmt). 2003;4(4):387-91. DOI: 10.1089/109629603322761445
[30] Schläpfer F, Wörsdorfer O, Magerl F, Perren SM. Stabilization of the lower thoracic and lumbar spine: Comparative in vitro investigation of an external skeletal and various internal fixation devices. In: Uhthoff HK, ed. Current concepts of external fixation of Fractures. Berlin, Heidelberg, New York: Springer; 1982. p. 367-72.
[31] Smith AS, Weinstein MA, Mizushima A, Coughlin B, Hayden SP, Lakin MM, Lanzieri CF. MR imaging characteristics of tuberculous spondylitis vs vertebral osteomyelitis. AJR Am J Roentgenol. 1989 Aug;153(2):399-405. DOI: 10.2214/ajr.153.2.399
[32] Sobottke R, Seifert H, Fätkenheuer G, Schmidt M, Gossmann A, Eysel P. Current diagnosis and treatment of spondylodiscitis. Dtsch Arztebl Int. 2008 Mar;105(10):181-7. DOI: 10.3238/arztebl.2008.0181
[33] Société de pathologie infectieuse de langue française (SPILF). Spondylodiscites infectieuses primitives, et secondaires à un geste intradiscal, sans mise en place de matériel. Texte court [Primary infectious spondylitis, and following intradiscal procedure, without prothesis. Short text]. Med Mal Infect. 2007 Sep;37(9):554-72. DOI: 10.1016/j.medmal.2007.03.008
[34] Weinstein MA, Eismont FJ. Infections of the spine in patients with human immunodeficiency virus. J Bone Joint Surg Am. 2005 Mar;87(3):604-9. DOI: 10.2106/JBJS.C.01062
[35] Woertgen C, Rothoerl RD, Englert C, Neumann C. Pyogenic spinal infections and outcome according to the 36-item short form health survey. J Neurosurg Spine. 2006 Jun;4(6):441-6. DOI: 10.3171/spi.2006.4.6.441




