[Histopathologischer Osteomyelitis-Evaluationsscore (HOES) – ein innovativer Ansatz zur histopathologischen Diagnostik und Kartierung der Osteomyelitis]
A. Tiemann 1G. O. Hofmann 2
M. G. Krukemeyer 3
V. Krenn 3
S. Langwald 2
1 Clinic for Orthopedic and Trauma Surgery, SRH Zentralklinikum Suhl, Germany
2 Clinic for Trauma and Reconstructive Surgery, BG-Kliniken Bergmannstrost Halle, Germany
3 Medical Center for Histology, Cytology and Molecular Diagnostic, Trier, Germany
Zusammenfassung
Grundlegende Überlegung: Diagnose und Therapie der Osteomyelitis fordern auch heute Chirurgen, Mikrobiologen und Pathologen gleichermaßen. Der direkte mikrobiologische Nachweis des krankheitsverursachenden Erregers stellt einen „Gold Standard“ in der Diagnostik der Knocheninfektion dar. Leider gelingt der Keimnachweis nicht in allen Fällen, speziell bei chronischen Krankheitsverläufen, laufender Antibiotikatherapie oder im Falle der „low grade Infektion“. Die histopathologische Analyse ist insofern eine Condotio sine qua non. Nur anhand dieser Ergebnisse lässt sich zweifelsfrei das Vorliegen einer Osteomyelitis detektieren und eine Aussage zu ihrer Akuität machen. Ziel dieser Studie ist die Vorstellung eines standardisierten histopathologischen Scores, anhand dessen analog zum TMN-System bei Tumorerkrankungen eine valide Kartierung einer Osteomyelitis möglich ist. Weiterhin wurde die Korrelation zwischen histopathologischen Ergebnissen und der klinischen Diagnose ebenso wie dem positiven Keimnachweis überprüft.
Methode: In einer retrospektiven Analyse wurden die histopathologischen und mikrobiologischen Befunde von Patienten mit den eindeutigen klinischen Symptomen einer Osteomyelitis untersucht. Alle in die Studie eingeschlossenen Patienten wurden zwischen dem 01.01.2013 und dem 31.12.2013 operiert. Sämtliche Gewebsproben wurden während der operativen Eingriffe gewonnen. Die histologischen Untersuchungen basierten auf den Standardtechniken für bakterielle Infektionen im Bindegewebe, periimplantär und im Knochen. Die Ergebnisse wurden erfasst:
- in einer tabellarischen Form durch Zahlen, welche die Ausprägung von akuten (A1 bis A3) und chronischen (C1 und C2) Osteomyelitis-Kriterien semiquantitativ (Scala 0–3) in einer getrennten Form für akute und chronische Veränderungen darstellt (Histopathologischer Osteomyelitis-Evaluationsscore),
- in einer schriftlichen, abgestuften Form, welche sich durch die Summation der tabellarischen Werte ergibt.
Die präoperative und die perioperative Diagnose, das histologische Ergebnis und die Mikrobiologie wurden hinsichtlich ihrer Übereinstimmung korreliert (dabei war nicht die Keimtypisierung, sondern der Keimnachweis an sich relevant).
Ergebnisse: 52 chirurgische Proben wurden ausgewertet. Sie alle stammten von Patienten mit der präoperativen Diagnose „Osteomyelitis“ (akute Osteomyelitis = AOM; akute Exazerbation einer chronischen Osteomyelitis = ECOM; chronische Osteomyelitis = COM). Es fanden sich: COM n=37, AOM n=10, ECOM n=5. Die Korrelation zwischen dem histopathologischen Bild inklusive der inflammatorischen Reaktion und einem positiven Erregernachweis betrug 57%. Die Korrelation zwischen der präoperativen Diagnose und der histologischen Analyse betrug 68%.
Schlussfolgerung: Die relative geringe Übereinstimmung von präoperativer Diagnose, histopathologischem Ergebnis und der Mikrobiologie legt Folgendes nahe:
- Die klinische Vermutung allein ist nicht ausreichend für die Diagnose „Osteomyelitis“.
- Die klinische Vermutung allein ist nicht ausreichend zur Differenzierung zwischen AOM, ECOM und COM.
- Die histopathologische Analyse ist das entscheidende Kriterium. Einerseits für die Diagnose „Osteomyelitis“ an sich und andererseits für deren Akuität.
- Die histopathologische Analyse ist die Basis für die Therapie.
- HOES ist ein brauchbares Instrument zur standardisierten Kartierung der histopathologischen Ergebnisse.
Schlüsselwörter
Osteomyelitis, Histopathologie, Mikrobiologie, HOES
Introduction
Analogously to the majority of diseases, in the case of osteomyelitis also the physician performing treatment is faced with the problem of arriving at his (objective or objectifiable) diagnosis with the aid of analysis of specific, possibly pathognomonic symptoms of the (subjective) suspected existence of this entity. That is to say the syndrome (bone infection) is initially defined from the most precise assignment of individual symptoms. The diagnosis is then made with the aid of specific diagnostic procedures.
Problems of clinical diagnostics/the diagnostic dilemma
Bone infections and especially their chronic forms are often characterised by the absence of clear clinical signs. A pathognomonic (or pathognostic) symptom is lacking. Instead there is a mixture of various symptoms which, if interpreted correctly, can lead to the diagnosis of bone infection.
The extent of this problem manifests itself clearly in the fact that in 2010 Schmidt et al. developed an osteitis definition score by which the probability of the existence of osteitis/osteomyelitis can be estimated by evaluation of various symptoms occurring in the context of the disease [1].
According to this, the diagnosis of a bone infection is based on interpretation of the following factors [1]:
- Case history (with respect to local findings and systemic risk factors)
- Clinical findings
- Laboratory findings (here the absolute values in particular, but also the course of specific infection parameters such as e.g. the leukocyte count or the C-reactive protein are relevant)
- Imaging diagnostics (sonography, projection radiography, CT, MRI, nuclear medicine and hybrid methods)
- Pathogen diagnostics
- Cellular analysis
In practice, the items listed under 1 to 4 lead to “tentative diagnosis of osteomyelitis“ (syndrome).
For years (decades) the basis of treatment of bone infection has been surgical cleansing of the infection [2], [3], [4]. In this respect the indication for surgery is deduced from items 1 to 4. In view of this circumstance, the analysis of these individual factors must necessarily result in the following:
- assessment of the acuteness of the infection
- preoperative planimetry especially with respect to the required extent of the resection of the bone and the surrounding soft tissue
The histological-microbiological analysis of the tissue samples obtained intraoperatively from the so-called “representative locations” should accordingly lead to
- objectifying of the bone infection and therefore to the diagnosis “osteomyelitis”.
On the basis of the “Schmidt 100% rule” and analogously to oncosurgery, only complete surgical removal of the infection focus leads to calming of the infection [5]. In this respect preoperative planning of the surgery as well as the intraoperative procedure, that is to say the quality of the surgical cleansing of the focus, depend critically on the
- preoperative and intraoperative diagnosis of the spread of the infection
and the
- intraoperative surgical radicality.
Considering items 1 to 4 of the above list (syndrome), it is found that these are potentially associated with a number of possible errors which may lead to an assessment which in reality is inappropriate. Examples of these are:
- Subjective (incorrect) description of the disease history by the patient. Incorrect preliminary assessment of the disease (doctor's notes).
- Misinterpretation of the existing clinical symptoms.
- Atypical courses and patterns in the laboratory parameters.
- Blurring in the separation of healthy from infected tissue inherent in the method of preoperative imaging.
- Intraoperative assessment on the basis of macroscopic findings is subjective and depends on the surgeon’s experience [6], [7].
- Lack of a standardised, valid, reproducible evaluation and diagnosis of the histopathological samples obtained. Instead the findings are often presented descriptively. This makes it difficult for the clinician to manage the histopathological results.
Problems of objectifiable parameters (obtained perioperatively): problems of making a diagnosis
Microbiological diagnostics
Problem 1
Infections of the skeletal system are as a rule characterised by a low pathogen count in samples. In the case of infections associated with foreign bodies (enclosed osteosyntheses) in particular, demarcation from contamination by the skin flora is of prime importance when evaluating the microbiological results [8].
Problem 2
Detection of the pathogen may take up to 14 days, depending on the quantity. If a calculated antibiotic treatment is necessary, for example, this can lead to an overdosed or incorrect treatment. There is also the danger of a shift in selection pressure and therefore an opportunistic infection. Equally, the side effects of such an incorrect or overdosed treatment should not be ignored.
Problem 3
Due to sensitive PCR-based detection methods, sometimes also only after concentration, pathogens of low virulence can be detected nowadays, the pathogenicity and clinical relevance of which may remain in doubt.
Histopathological diagnostics
The histopathological criteria for the soft tissue, peri-implant infection and for bacterial synovialitis and their differential diagnoses have been laid down [9], [10], [11]. Diagnostic criteria for osteomyelitis, however, are non-existent or only orientating [12].
The facts presented in this reference show:
a) That solely on the basis of the histopathological assignment
- the correct (that is to say objectifiable) diagnosis
and
- a conclusion regarding the extent of the infection can be made.
It follows from this that the histopathological evaluation is a “conditio sine qua non” for making the diagnosis and deciding on the treatment (“must have”).
b) That the microbiological analysis is helpful but is associated with an unacceptably high rate of falsely negative results (up to 30% negative pathogen detection with otherwise proven osteomyelitis).
It follows from this that the microbiological evaluation is an adjuvant factor for making the diagnosis and deciding on the treatment ("nice to have").
In the end, the histopathological processing of the samples obtained decides on the one hand
- the quality of the surgical cleansing of the focus,
- the need for further surgical measures for treatment of the infection.
It can accordingly be deduced that the quality of the histopathological analysis and its standardised, reproducible and valid presentation is preferably the basis for the above state of affairs. At the present time there is no such system or such score specifically for osteomyelitis. The HOES presented in this study pursues this approach.
Histopathological diagnostic criteria for bacterial infections in bradytrophic tissue
Diagnostics: Tissue reaction patterns caused by the pathogen
Histopathological diagnostics of bacterial infections is generally to be regarded as diagnostics which supplement microbiology. These primarily are performed by evaluating the tissue reaction pattern caused by the pathogen (so-called pathological infection substrate) and are therefore an indirect form of infection diagnostics [12], [13], [14], [15], [16]. These diagnostics are based on evaluation of the leukocyte infiltration pattern and the tissue changes in connective tissue and bone tissue. Since focal infiltration patterns, especially small granulocyte accumulations, are not necessarily caused by an infection, this finding should also be evaluated in a clinical and microbiological context.
Neutrophilic granulocyte detection
Neutrophilic granulocyte detection by means of HE staining, PAS reaction, chloroacetate esterase staining and immunohistochemical CD15 detection stand at the centre of histopathological infection diagnostics (detection of the pathological infection substrate) of acute infectious non-specific infections in particular. The identification and quantification of immunohistochemically detected neutrophilic granulocytes (CD15) are to be regarded as valid methods of bacterial infection diagnostics [13], [14], [15], [16]. Enzyme histochemical staining in particular is subject to qualitative variations, although also depending on the staining procedures and the decalcification time, so that an automated, standardised immunohistochemical detection of the specific antigen CD15 should be given preference for neutrophilic granulocyte detection [17]. An immunohistochemical detection of CD68 for detection of epitheloid cells and macrophages may be necessary for investigations involving granulomatous osteomyelitis (e.g.: brucellosis, mycobacterial infections, mycoses, parasitoses).
Direct pathogen typing
Direct pathogen typing by enzyme histochemical staining is possible to only a limited extent in orthopaedic pathology in particular. Exceptions exist here in specific infection, fungal infection, mycobacterial infection, mycoses and parasitoses (e.g.: osseous echinococcosis). The advantage of histopathological infection diagnostics lies in a timely evaluation of tissue samples, especially in the case of infections with a so-called minimal pathogen quantity (“low-grade infections”). Falsely positive results (“contamination of the tissue sample”) can be largely ruled out histopathologically since the evaluation of the reaction pattern which is a manifestation and consequence of the so-called pathogen-host reaction takes place.
Immunohistochemistry and PCR-based methods
Immunohistochemistry and PCR-based methods complete the repertoire of methods of histopathological infection diagnostics [18]. These methods allow direct identification of the pathogen. The sensitivity of PCR-based tissue analyses is adversely affected by fixing in formalin, native material being associated with a higher sensitivity and specificity. Microbiological infection diagnostics is consequently always obligatory.
Histopathological osteomyelitis diagnostics
Patterns of acute osteomyelitis
- Osseous changes: Osteonecroses: Bone trabeculae with visually empty osteocyte cavities are detectable as a criterion for necrotic bone tissue especially with EDTA decalcification. The bone trabeculae have irregular contours and are fragmented. They may be fractured and completely necrotic (so-called bone sequester). There are intramedullary granulocyte infiltrates and fibrin exudates. In bone tissue with a haemopoietic function (e.g.: axial skeleton) there is a reduced or complete lack of haemopoiesis.
- Soft tissue changes: Soft tissue necroses: Criteria for soft tissue necroses are apoptoses, a tissue eosinophilia, fibrin exudations and a confining texture of the tissue.
- Inflammatory infiltrate pattern: Neutrophilic granulocyte infiltrate: Diffuse and grouped deposits (so-called microabscesses, ≥5 granulocytes) of segmented neutrophilic granulocytes in the usually highly oedematous medullary spaces. The neutrophilic granulocytes are PAS cytoplasmic, coarsely granular positive and display a plumped, pyknotic chromatin texture. (Granulocyte apoptosis with pathogen phagocytosis and NETosis). Immunohistochemically there is a specific intensive, coarsely granular, predominantly cytoplasmic CD15 positivity. Osteoclasts are also detectable alongside neutrophilic granulocytes on the irregular trabecular surface.
Patterns of chronic osteomyelitis
- Osseous changes: Bone neogenesis: Spongy osseous tissue with reactive network bone neogenesis (POL detection of irregularly running fibrils), the bone surface is bordered by osteoblasts. Medullary space fibrosis with ectatic sinus. The medullary space tissue shows fibrosing with granulation tissue formation. The infiltrate consists of macrophages, lymphocytes, plasma cells and a few neutrophilic granulocytes.
- Soft tissue changes: There is fibrosing with granulation tissue formation, the infiltrate consists of macrophages, lymphocytes, plasma cells and a few neutrophilic granulocytes.
- Inflammatory infiltrate pattern: Lymphocyte/macrophage/plasma cell infiltrate: In the highly fibrosed medullary spaces there is a lymphocyte- and macrophage-rich, sometimes also plasma cell-rich, sometimes focal, sometimes inflammatory infiltration with a few neutrophilic granulocytes.
Structure of the Histopathological Osteomyelitis Evaluation Score (HOES) for standardised recording and documentation of findings
The HOES is presented in two forms:
- In a tabular form by numerical values representing the degree of acute (A1 to A3) and chronic (C1 and C2) osteomyelitis criteria semiquantitatively (scale 0–3) in a separate form for acute and chronic changes.
- in a written, graduated form showing the summation of the tabular values.
HOES: Tabular form
Graduated semiquantitative (0, 1, 2 and 3) and an additive evaluation of the criteria for the acute (A1 to A3) and chronic osteomyelitis (C1 and C2) results in the HOES. The evaluation is performed in a semiquantitative mode, and therefore in a graduated, semiquantitative and reproducible manner usual for diagnostic histopathological scores. The semiquantitative evaluation mode comprises: non-existent, mild, moderate and severe. In numbers: non-existent = 0, mild = 1, moderate = 2, severe = 3. Mild, moderate and severe are based on a semiquantitative evaluation of area, since evaluations in a three-part step are readily reproducible: non-existent = 0. Mild (= 1) one third of the section area shows these changes. Moderate (= 2) two thirds of the section area show these changes. Severe (= 3) three thirds of the section area, that is to say the entire section area, show these changes.
HOES human osteomyelitis score (tabular form):
- A1 Osseonecrosis 0/1/2/3 (...)
- A2 Soft tissue necrosis 0/1/2/3 (...)
- A3 Granulocyte infiltrate 0/1/2/3 (...)
- C1 Bone neogenesis/fibrosis 0/1/2/3 (...)
- C2 Lymphocyte/macrophage infiltrate 0/1/2/3 (...)
HOES: Written graduated form
This semiquantitative and numerical evaluation of the criteria for acute and chronic osteomyelitis results in the HOES in the written form (Figure 1 [Fig. 1]).
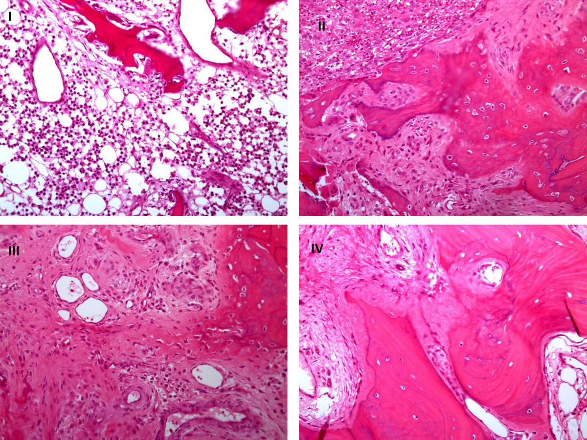
Figure 1: Histopathological presentation of features of the HOES score by graduation (I–IV): I. Signs of an acute osteitis/osteomyelitis, II. Signs of a chronically florid, that is to say active osteitis/osteomyelitis, III. Signs of a chronic osteitis/osteomyelitis, IV. Signs of a subsided/calmed osteitis/osteomyelitis. All images in the same magnification (original magnification about 150 x) in standard HE stain.
- I Signs of an acute osteomyelitis
- II Signs of a chronically florid (that is to say active) osteomyelitis
- III Signs of a chronic osteomyelitis
- IV Signs of a subsided (calmed) osteomyelitis
- V No indication of osteomyelitis
Assignment of HOES score values and the written form of evaluation
- Sum of A1 to A3: ≥4 = signs of an acute osteomyelitis
- Sum of A1 to A3 and C1 to C2: ≥6 = signs of a chronically florid (that is to say active) osteomyelitis
- Sum of C1 to C2: ≥4 = signs of a chronic osteomyelitis
- Sum of C1 to C2: ≤4 = signs of a subsided (calmed) osteomyelitis
- Sum of C1 to C2: ≤1 = no indication of osteomyelitis
Aim of the study
a. To define criteria for osteomyelitis and the spectrum of osteomyelitis and to establish them as a graduated evaluation mode (HOES: Histopathological Osteomyelitis Evaluation Score).
b. To analyse the correlation between the preoperative estimation of the syndrome osteomyelitis and the histopathological diagnosis according to the HOES.
c. To analyse the correlation between the histopathological diagnosis according to the HOES and the microbiological processing.
Material and method
In a study over a period of 12 months (01.01.2013 to 31.12.2013) the histopathological intraoperative findings of interventions with the preoperative diagnosis “acute or chronic osteomyelitis” were analysed according to the above HOES criteria.
For this retrospective analysis the formal agreement of the patients was obtained and the Helsinki criteria were adhered to. The evaluation was encoded and anonymous. The inclusion criterion was high suspicion from clinical, laboratory chemistry and imaging results of osteomyelitis originating either from the bone itself or from a joint infection.
In the first step the result of the histopathological analysis was compared with the preoperative diagnosis and the agreement was correlated. In addition, agreement with the microbiological pathogen detection was correlated (Table 1 [Tab. 1]).
Table 1: Correlation of preoperative diagnosis, intraoperative diagnosis (based on the macroscopic findings) and HOES (1 = no signs of infection, 2 = acute infection, 3 = chronically florid infection, 4 = chronic infection, 5 = calmed infection) Abbreviations: AOM = acute osteomyelitis; ECOM = exacerbated chronic osteomyelitis; COM = chronic osteomyelitis)
Histopathological processing of the tissue samples
The cutting of tissue samples for diagnostics, the processing of the samples (tissue sample processing, cutting of resected tissue, the decalcifying, histochemical and immunohistochemical methods) and archiving of the samples are performed in a certified and accredited framework (quality standard according to DIN EN ISO/IEE 17020).
Cutting of osseous tissue samples, decalcification, enzyme histochemistry and histochemistry
Cutting of osseous tissue samples
Soft tissue fraction and osseous tissue fraction: After fixing in buffered formalin (4%), tissue samples were cut representatively. Osseous tissue is separated in principle from adhering soft tissue and embedded separately, so that a soft tissue fraction (1.1) and an osseous tissue fraction (1.2) result.
Osseous tissue fraction:
– Fragmented osseous tissue samples
Fragmented osseous tissue samples with a diameter of less than 3 cm are additionally cut with a bone knife, fragmented mechanically and embedded completely (up to about 4 capsules).
– Continuous osseous tissue samples (resected osseous tissue)
Continuous osseous tissue samples in the sense of resected osseous tissue with a diameter of more than 3 cm are lamellated with a bone saw (bone lamella width about one cm) and embedded according to the investigation (up to about 9 capsules). The different consistencies of corticalis and spongiosa are taken into account in the decalcification times. In the case of labelled resected osseous tissue, a so-called orientated processing is carried out with the fractions: resected tissue edges (proximal, distal), osseous focal findings with subspecification (ventral, dorsal, medial, lateral), macroscopically normal osseous tissue apart from the focal findings and the section surface (ventral, dorsal, medial, lateral). This extended mode of processing of resected osseous tissue includes macroscopic staining of relevant section surfaces by four different stains (yellow, black, green and blue). Imaging findings (e.g.: native x-ray, MRI) are helpful for precise orientation and so-called orientated processing or may be necessary in the event of complex resected osseous tissue.
Decalcification
The decalcification was carried out by means of acid (hydrochloric acid) and/or with the chelating agent EDTA. The ratio of decalcification liquid volume to tissue sample volume was about 1:20. The reaction temperature was room temperature over an incubation time of about 1 to 2 days. The decalcification by means of EDTA was carried out in the same ratio of volumes, but over a longer incubation time (up to about 3–7 days), the consistency of the samples being checked daily.
Enzyme histochemistry
The microtomised sections with a section thickness of 1–3 µm were stained with haematoxylin and eosin (HE), and a periodic acid-Schiff (PAS) staining was additionally performed.
Immunohistochemistry
The immunohistochemical CD15, CD68 staining is carried out in a fully automated staining system (BenchmarkXT, IHC Slide Stainer of the Roche brand, Ventana Medical Solutions). The sections were first deparaffinised with xylene and an ethanol series. Cell conditioning was then first carried out using Cell-Conditioning 1 (CC1) at 95°C for 8 minutes, followed by a mild cell conditioning for 30 minutes. The anti-CD15 antibody (clone MMA, Roche, Basle, Switzerland) – a monoclonal murine antibody (ready-to-use, according to Roche undiluted) – was used as the primary antibody for identification of neutrophilic granulocytes. The sections were incubated with the antibody for 32 minutes. DAB (3,3-diaminobenzidine; DAKO Denmark) was used as the chromogen for the reaction with the peroxidase. The endogenous peroxidase was blocked by prior addition of H2O2. So-called negative controls were produced by omitting the primary antibody.
Evaluation
The evaluation of the findings was based on the following assumptions and criteria:
- The preoperative tentative diagnosis “osteomyelitis” (syndrome) ALWAYS exists. It is the prerequisite for establishing the indication for operation.
- The intraoperative assessment results from the diagnosis documented in the operation report (if the indication is correctly established, it coincides with the preoperative tentative diagnosis).
- The diagnoses from 1 and 2 are checked with the aid of the histopathological analysis. This is carried out by the HOES. The following accordingly emerges:
– The histopathological analysis does NOT confirm the clinical assessment
– The histopathological analysis confirms the clinical assessment
– The histopathological analysis demonstrates the ACUTENESS of the disease (“acute, chronic”) - The histopathological evaluation is correlated with the microbiological.
- A correlation of the “pathogen/histological osteomyelitis” group is additionally conducted according to the following criteria:
– Acute osteomyelitis
– Chronic osteomyelitis
An acute osteomyelitis was diagnosed in 10 cases, an acutely exacerbated chronic osteomyelitis in 5 cases and a chronic osteomyelitis in 37 cases.
Pathogens were detected in the samples taken in 32 cases.
In the clinical diagnosis “acute osteomyelitis”, pathogens were detected in 9 cases (90%).
In the clinical diagnosis “acutely exacerbated chronic osteomyelitis”, this happened in 5 out of 5 cases (100%).
In the clinical diagnosis “chronic osteomyelitis”, the ratio of positive to negative detection of pathogens was 19 to 18 (51.4% to 48.6%).
No significant correlation was to be found between the HOES and the microbiological findings in the diagnosis "chronic osteomyelitis" (Table 2 [Tab. 2]).
Table 2: Correlation between the preoperative diagnosis “chronic osteomyelitis”, the HOES and the microbiological result
The correlation between the HOES stages and the detection of pathogens can be seen from Table 3 [Tab. 3].
Table 3: Correlation between HOES and detection of pathogens
The correlation between the preoperative diagnosis and a detection of pathogens was 57%.
The correlation between the preoperative diagnosis and histopathological analysis of the samples taken was 68%, i.e. the preoperative tentative diagnosis could be confirmed by the histopathological diagnosis in 68% of the cases.
The correlation between the preoperative diagnosis, the HOES and the microbiological result is shown in Table 4 [Tab. 4].
Table 4: Correlation between the HOES, the preoperative diagnosis and the microbiological result
Discussion
Histopathological infection diagnostics is of considerable diagnostic value. For example, histopathology is a diagnostic constituent in peri-implant infection diagnostics [19]. Quantitative criteria for bacterial low-grade and high-grade infection are defined here [11], [13], [14], [16], [17].
The situation is the opposite for osteomyelitis diagnostics: Only orientating [12] or no diagnostic criteria have hitherto existed here, in particular no classification criteria exist for bacterial acute and chronic osteomyelitis. The aim of this work is therefore to develop a diagnostic score which reflects the disease of osteomyelitis in a precise manner by defined criteria and gives a reliable, reproducible diagnostic score.
There is good agreement between the microbiological infection diagnostics and the HOES score especially in the acute diseases, but in the evaluation of “signs of a calmed, subsided osteomyelitis” there is no good agreement with the microbiological diagnosis. This is possibly to be attributed to a sampling error or to the microbiological and histological tissue samples not being taken analogously. Although the main task of the HOES score consists of evaluation of bacterial, non-specific infections and the evaluation of floridity and chronicity, histopathological infection diagnostics always allows specific osseous infections to be ruled out and in particular also differential diagnosis of chronic osteomyelitis from neoplastic diseases.
In the case of bone segment resected tissue, a further function of HOES can be seen in the evaluation of the absence of inflammation in the resected tissue margin status. In an analogous manner to bone tumour resection (R status), a conclusion can be drawn regarding the complete removal of osteomyelitis. Further studies will demonstrate whether this R0/R1 concept can also be applied clinically to osteomyelitis.
Overall, it is to be said that histopathological criteria for reproducible osteomyelitis diagnostics have been laid down for the first time by the HOES score.
Correct diagnosis of musculoskeletal infections is always difficult and is based on analysis of widely differing factors [1].
These problems also become clear in our study. Preoperative diagnosis based on case history, clinical findings, laboratory tests etc. coincide only inadequately with the detection of pathogens, and in particular with the evaluation of histopathological findings. It is therefore not suitable as the basis for deciding on the subsequent procedure.
The known fact that detection of pathogens is often not to be achieved where osteomyelitis exists clinically also becomes clear in this study, especially for the preoperative diagnosis “chronic osteomyelitis” [9]. The distribution here between positive and negative microbiological results was almost 50/50 (51.4% to 48.6%).
The situation is different for the acute diseases (AOM, ECOM). In the study described, a pathogen could be detected in a total of 14 out of 15 cases.
These results illustrate that the disease present can be successfully assigned unambiguously only via precise histopathological investigation [10].
For the clinician, however, interpretation of the available findings is “a complete mystery” here. The HOES described here now makes a classification of the available findings into 5 groups possible (see above). By this classification of the osteomyelitis the histomorphological findings of the disease present become less blurred and can be better applied to the clinical circumstances. The decision about the subsequent procedure will therefore be made easier for the clinician in future.
The definition of the HOES is the basis for future studies concerned specifically with treatment of bone infections which correlates with the HOES stages.
The following questions will need to be answered in these:
- At what stage is (further) surgical revision (not) necessary (specifically with regard to the “individual revision concept”)?
- What influence does microbiological detection of pathogens have here? Is antibiotic treatment necessary?
- Is the HOES stage (1) = no infection or (5) = infection calmed a conditio sine qua non for implantation of osteosynthesis material?
- What influence does microbiological detection of pathogens have here? Is antibiotic treatment necessary?
Only when these questions can be clearly answered, treatment of bone infections can be standardised and gold standards and SOPs defined.
Notes
Competing interests
The authors declare that they have no competing interests.
References
[1] Schmidt HG, Tiemann AH, Braunschweig R, Diefenbeck M, Bühler M, Abitzsch D, Haustedt N, Walter G, Schoop R, Heppert V, Hofmann GO, Glombitza M, Grimme C, Gerlach UJ, Flesch I; Arbeitsgemeinschaft septische Chirugie der DGOUC10. Zur Definition der Diagnose Osteomyelitis - Osteomyelitis-Diagnose-Score (ODS) [Definition of the Diagnosis Osteomyelitis-Osteomyelitis Diagnosis Score (ODS)]. Z Orthop Unfall. 2011 Aug;149(4):449-60. DOI: 10.1055/s-0030-1270970[2] Hierholzer G, Rehn J. Die posttraumatische Osteomyelitis. Stuttgart, New York: Schattauer; 1970.
[3] Armstrong EP, Rush DR. Treatment of osteomyelitis. Clin Pharm. 1983 May-Jun;2(3):213-24.
[4] Sanders J, Mauffrey C. Long bone osteomyelitis in adults: fundamental concepts and current techniques. Orthopedics. 2013 May;36(5):368-75. DOI: 10.3928/01477447-20130426-07
[5] Bühler M, Schmidt H, Engelhardt M. Septische postoperative Komplikationen. Wien, New York: Springer; 2003. ISBN 3-211-83811-2.
[6] Tiemann AH, Braunschweig R, Hofmann GO. Kontinuitätserhalt oder Segmentresektion: Entscheidungshilfen bei der Sanierung der Osteitis am Schaft langer Röhrenknochen. Trauma Berufskrankh. 2008;11(2 Suppl):207-10. DOI: 10.1007/s10039-008-1441-6
[7] Tiemann AH, Schmidt HG, Braunschweig R, Hofmann GO. Strategies for the analysis of osteitic bone defects at the diaphysis of long bones. Strategies Trauma Limb Reconstr. 2009 Apr;4(1):13-8. DOI: 10.1007/s11751-009-0054-3
[8] Tiemann AH, Krenn V, Krukemeyer MG, Seyfert C, Jakobs M, Baumhoer D, Hofmann GO. Infektiöse Knochenerkrankungen [Infectious bone diseases]. Pathologe. 2011 May;32(3):200-9. DOI: 10.1007/s00292-011-1417-3
[9] Tiemann AH, Braunschweig R, Hofmann GO. Knocheninfektionen [Bone infections]. Unfallchirurg. 2012 Jun;115(6):480-8. DOI: 10.1007/s00113-012-2187-y
[10] Krenn V, Morawietz L, Kienapfel H, Ascherl R, Matziolis G, Hassenpflug J, Thomsen M, Thomas P, Huber M, Schuh C, Kendoff D, Baumhoer D, Krukemeyer MG, Perino G, Zustin J, Berger I, Rüther W, Poremba C, Gehrke T. Erweiterte Konsensusklassifikation. Histopathologische Klassifikation von Gelenkendoprothesen-assoziierten Erkrankungen [Revised consensus classification. Histopathological classification of diseases associated with joint endoprostheses]. Z Rheumatol. 2013 May;72(4):383-92. DOI: 10.1007/s00393-012-1099-0
[11] Morawietz L, Tiddens O, Mueller M, Tohtz S, Gansukh T, Schroeder JH, Perka C, Krenn V. Twenty-three neutrophil granulocytes in 10 high-power fields is the best histopathological threshold to differentiate between aseptic and septic endoprosthesis loosening. Histopathology. 2009 Jun;54(7):847-53. DOI: 10.1111/j.1365-2559.2009.03313.x
[12] Illgner U, Krenn V, Osada N, Bause L. Histopathologie und Mikrobiologie bei Gelenkinfekten : Erweiterung der Diagnostiksicherheit bei Patienten mit chronischer Polyarthritis [Histopathology and microbiology of joint infections: extension of diagnostic safety in patients with chronic polyarthritis]. Z Rheumatol. 2013 Sep;72(7):709-13. DOI: 10.1007/s00393-013-1173-2
[13] Bauer TW, Parvizi J, Kobayashi N, Krebs V. Diagnosis of periprosthetic infection. J Bone Joint Surg Am. 2006 Apr;88(4):869-82. DOI: 10.2106/JBJS.E.01149
[14] Fink B, Makowiak C, Fuerst M, Berger I, Schäfer P, Frommelt L. The value of synovial biopsy, joint aspiration and C-reactive protein in the diagnosis of late peri-prosthetic infection of total knee replacements. J Bone Joint Surg Br. 2008 Jul;90(7):874-8. DOI: 10.1302/0301-620X.90B7.20417
[15] Morawietz L, Tiddens O, Mueller M, Tohtz S, Gansukh T, Schroeder JH, Perka C, Krenn V. Twenty-three neutrophil granulocytes in 10 high-power fields is the best histopathological threshold to differentiate between aseptic and septic endoprosthesis loosening. Histopathology. 2009 Jun;54(7):847-53. DOI: 10.1111/j.1365-2559.2009.03313.x
[16] Pandey R, Drakoulakis E, Athanasou NA. An assessment of the histological criteria used to diagnose infection in hip revision arthroplasty tissues. J Clin Pathol. 1999 Feb;52(2):118-23.
[17] Kölbel B, Wienert S, Dimitriadis J, et al. CD15-Fokus-Score und die Entwicklung einer morphometrischen Software (CD15-Quantifier") zur Diagnostik der periprothetischen Infektion. Pathologe. 2014. In re-review.
[18] Kriegsmann J, Hopf T, Jacobs D, Arens N, Krenn V, Schmitt-Wiedhoff R, Kriegsmann M, Heisel C, Biehl C, Thabe H, Schmitz RP, Lehmann M, Otto M. Molekularpathologische Diagnostik von Gelenkinfektionen [Applications of molecular pathology in the diagnosis of joint infections]. Orthopäde. 2009 Jun;38(6):531-8. DOI: 10.1007/s00132-008-1394-2
[19] Zmistowski B, Della Valle C, Bauer TW, Malizos KN, Alavi A, Bedair H, Booth RE, Choong P, Deirmengian C, Ehrlich GD, Gambir A, Huang R, Kissin Y, Kobayashi H, Kobayashi N, Krenn V, Lorenzo D, Marston SB, Meermans G, Perez J, Ploegmakers JJ, Rosenberg A, Simpendorfer C, Thomas P, Tohtz S, Villafuerte JA, Wahl P, Wagenaar FC, Witzo E. Diagnosis of periprosthetic joint infection. J Arthroplasty. 2014 Feb;29(2 Suppl):77-83. DOI: 10.1016/j.arth.2013.09.040



