Medizinische Kenntnisse bei Studierenden des ersten Semesters in der Humanmedizin: Gibt es einen Wissensvorsprung bei medizinischer Vorbildung vor Beginn des Studiums?
Karen Tinsner 1Hermann Heimpel 2
Andrea Rapp 3
1 Universität Ulm, Medizinische Fakultät, Studiendekanat, Ulm, Deutschland
2 Universitätsklinikum Ulm, Zentrum für innere Medizin, Klinik für Innere Medizin III, Ulm, Deutschland
3 Universität Ulm, Studiengang Humanmedizin, Ulm, Deutschland
Zusammenfassung
Zielsetzung: Im Studiengang Humanmedizin der Universität Ulm ist im vorklinischen Abschnitt die Beschäftigung mit klinischen Inhalten im Rahmen curricular verankerter Praktika institutionalisiert. Erfahrungen in dem Modul „Klinik für Vorkliniker“ deuteten drauf hin, dass bei den Studienanfängern zum Teil gute medizinische Vorkenntnisse bestehen. In der vorliegenden Untersuchung sollte der Stand des medizinischen Vorwissens der Studienanfänger ermittelt werden, um zu erfahren, inwieweit die Lehrinhalte auf Vorkenntnissen der Studienanfänger aufbauen können.
Methodik: Die Untersuchung erfolgte im Messwiederholungsdesign. Der Wissenstand der Studierenden wurde mittels eines eigens konzipierten Klausurfragebogens überprüft. In der Analyse wurden die Testresultate hinsichtlich Veränderungen zu den beiden Messzeitpunkten und Unterschieden zwischen Studierenden mit und ohne vorherige Tätigkeit in einem Gesundheitsberuf untersucht.
Ergebnisse: Bei den Studienanfängern lagen gut verwendbare Vorkenntnisse im medizinischen Bereich vor. Der Einfluss der Tätigkeit vor Studienbeginn auf die Testresultate wirkte sich ausschließlich zum ersten Messzeitpunkt aus. Hier zeigte sich ein deutlicher Wissensvorsprung bei den Studienanfängern mit vorangehender Tätigkeit in Gesundheitsberufen. Das medizinische Vorwissen der Studienanfänger ohne entsprechende Vorbildung glich sich im Verlauf des Kurses an.
Schlussfolgerungen: Zu Beginn des Medizinstudiums gilt es an bestehendes Vorwissen der Studienanfänger anzuknüpfen und auf eine diesbezügliche Heterogenität einzugehen. Interaktive Lehrveranstaltungen leisten hierbei einen wichtigen Beitrag diesen Anforderungen gerecht zu werden. Weiterhin deuten die Ergebnisse daraufhin, dass im Zuge der stärkeren Autonomie der Hochschulen bei der Auswahl der Studienbewerber, das Kriterium „Medizinisches Vorwissen“ mit Vorsicht zu bewerten ist.
Schlüsselwörter
Medizinstudium, vorklinische Ausbildung, Studienanfänger, medizinische Vorkenntnisse
Einleitung
Der klassische Aufbau des Medizinstudiums war über lange Zeit, und ist teilweise auch heute noch, von einem systematischen Ansatz geprägt. Dabei folgen auf die Vermittlung der naturwissenschaftlichen Grundlagen in Physik, Chemie und allgemeiner Biologie die Vermittlung von Kenntnissen von Struktur und Funktion des Gesunden menschlichen Organismus. Kranke und Krankheiten lernte der Student erst nach einer zweijährigen Vorbereitungszeit im klinischen Studienabschnitt kennen. Überlegungen zum Anforderungsprofil zukünftiger Ärzte, die Ergebnisse der medizinischen Sozialisationsforschung [3], [7] und Erfahrungen aus Modellversuchen und Reformcurricula [4], [1], [8] haben allerdings gezeigt, dass die Beschränkung der Vorklinik auf „Gesundheit“ und der Klinik auf „Krankheit“ ein erstes, schon in seinen Grundzügen abgebildetes angemessenes Grundverständnis von Krankheitsentstehung und Krankheitsverständnis verhindert.
Die 7. Verordnung zur Änderung der Approbationsordnung (AÄPPO 1999) hat diesen Überlegungen Rechnung getragen. Mit den Praktika „Einführung in die klinische Medizin“ und „Berufsfelderkundung“ und drei Seminaren mit klinischen Bezügen wurde die Beschäftigung mit klinischen Inhalten institutionalisiert. Die Ausgestaltung und die zeitliche Anordnung wurden den Fakultäten überlassen.
An der Universität Ulm finden die Praktika „Einführung in die klinische Medizin“ und „Berufsfelderkundung“ im ersten Studienjahr statt. Diese Anordnung geht von der Überlegung aus, dass beide Veranstaltungen weniger dem Erwerb kognitiven Wissens als der Anknüpfung an die primäre, überwiegend ärztlichen Motivation der Studienanfänger und der Information über die für den späteren Beruf notwendigen und sinnvollen Lerninhalte dient. Eines der Module ist die (bereits vor der 7. Verordnung zur Änderung als freiwillige Veranstaltung abgehaltene) „Klinik für Vorkliniker“, die vom Autor H.H. jeweils im Wintersemester, also für die Studienanfänger als interaktive Vorlesung mit Patientenvorstellung gestaltet wird. Sie ist aufgeteilt in zwei 6-wöchige Abschnitte für jeweils 80 Teilnehmer. Am ersten Tag wird ein Patient vorgestellt, der im Gespräch mit dem Dozenten, ergänzt durch Fragen aus dem Auditorium, über seine Erkrankung berichtet. Die Studierenden haben dabei die Gelegenheit, auffällige körperliche Befunde (z. B. Hautfarbe, Gang, Sprachrhythmus) zu beobachten und zu interpretieren. Dabei werden stationäre Patienten mit internistischen, nach Möglichkeit nicht zu komplexen Krankheitsbildern ausgewählt. In der zweiten Kursstunde am folgenden Tag werden bei der Nachbesprechung der „Fälle“ Symptome und Befunde, die Verarbeitung des Krankheitserlebnisses durch den Patienten, Organlokalisation und mögliche ätiologische und pathogenetische Mechanismen in Zusammenarbeit mit den Studierenden interpretiert. Die Interpretation stützt sich auf die anamnestischen Angaben und Beobachtungen des Vortages, und je nach Krankheitsbild auf zusätzlich referierte Ergebnisse der körperlichen Untersuchung, einen charakteristischen Laborbefund oder auffällige ultrasonographische, röntgenologische oder elektrokardiographische Befunde. Dabei zeigte sich nicht nur eine sehr hohe Akzeptanz von Seiten der Studentinnen und Studenten, sondern auch eine teilweise überraschende, teilweise aber auch weitgehend fehlende Fähigkeit, Lösungsansätze zur Diagnostik und Behandlungsstrategie aus Anamnese und den geschilderten und erklärten Befunden zum Krankheitsbeginn vorzuschlagen.
Zielsetzung und Hypothesen
Ziel der vorliegenden Untersuchung war es, den Stand des medizinischen Vorwissens der Studienanfänger zu ermitteln und ihre Fähigkeit abzuschätzen, sinnvolle pathophysiologische und diagnostische Hypothesen zu bilden. Ein Anliegen der Erhebung war es herauszufinden, ob das Niveau und die Inhalte der Lehrveranstaltung dem Kenntnisstand der Studienanfänger gerecht werden. In diesem Kontext sollte geprüft werden, ob es Unterschiede zwischen Studierenden gibt, die vor Studienbeginn eine Tätigkeit in einem Gesundheitsberuf absolviert haben und solchen, die direkt nach dem Abitur das Medizinstudium aufnehmen.
Die nachfolgenden Hypothesen sollten überprüft werden:
- Hypothese 1: Die Studienanfänger mit medizinischer Vorbildung, aufgrund einer Tätigkeit in Gesundheitsberufen, verfügen über einen Wissensvorsprung zu Beginn des Medizinstudiums gegenüber Studienanfängern ohne medizinische Vorbildung.
- Hypothese 2: Es ist ein Wissenszuwachs der Teilnehmer am Ende der untersuchten Lehrveranstaltung zu verzeichnen.
- Hypothese 3: Der Wissensvorsprung der Studienanfänger mit medizinischer Vorbildung besteht auch noch nach Abschluss der untersuchten Lehrveranstaltung.
Methoden
Die Untersuchung wurde im Messwiederholungsdesign (Pre-Post-Design) durchgeführt. Zu zwei Messzeitpunkten (Beginn und Abschluss der Lehrveranstaltung) wurde ein Klausurfragebogen eingesetzt, der anhand der im Kurs zu vermittelnden Lehrinhalte konzipiert wurde. Dieser umfasste 29 Fragen (siehe Appendix) zu den folgenden Themengebieten:
- Vorgehen bei der Anamnese und Untersuchung eines Patienten
- Einfache anatomische und humanbiologische Grundlagen
- Soziale und ethische Aspekte der Interaktion zwischen Arzt und Patienten
- gebräuchliche medizinische Begriffe und Abkürzungen
- Risikofaktoren und Genese wichtiger Krankheiten
- Erkennen wichtiger Strukturen auf einem Röntgenbild.
Es handelte sich um Multiple Choice Fragen, die zwischen 3 und 7 Antwortoptionen mit zum Teil mehreren richtigen Antwortmöglichkeiten enthielten. Um tatsächliches „Nicht-Wissen“ zu ermittelt, sowie Verzerrungen aufgrund von erzwungenem und willkürlichem Beantworten der Fragen zu minimieren, wurde die Möglichkeit gegeben „weiß ich nicht“ anzukreuzen. Zusätzlich wurden das Alter und das Geschlecht der Testteilnehmer, sowie die Tätigkeit nach dem Abitur erfragt.
In der ersten Stunde des Kurses wurde der Klausurbogen ausgeteilt und musste innerhalb von 20 Minuten beantwortet werden. Auf den Bögen wurde der Hinweis gegeben, dass diese anonym ausgewertet werden. Die Zuordnung der befragten Studierenden erfolgte mit einem Codewortsystem. Zum letzten Termin des Kurses wurde derselbe Test erneut vorgenommen. Um Erinnerungseffekte zu minimieren, wurde die Reihenfolge der Fragen und der Antwortoptionen verändert.
Die Berechung der Testergebnisse erfolgte in Prozent richtig beantworteter Fragen. Für jede Frage gab es einen Punkt pro richtiger Antwortoption und einen Punkt Abzug pro falsch angekreuzte Option. Die Summe wurde jeweils durch die Anzahl der richtigen Antwortmöglichkeiten dividiert. Eine Frage konnte im schlechtesten Fall zu 0% beantwortet werden, es gab also keine negativen prozentualen Ergebnisse. Für das Gesamttestergebnis wurden die erzielten Punkte für jede Frage summiert und in Prozent richtiger Antworten umgerechnet (siehe Abbildung 1 [Abb. 1]).
Abbildung 1: Beispiel für die Auswertung der Testfragen

Statistik
Die Ergebnisse werden in Form von Mittelwerten und Standardabweichung dargestellt. Zur Analyse von Mittelwertunterschieden wurde der t-Test für unabhängige Stichproben (Hypothese 1 und 3) und für gepaarten Stichproben (Hypothese 2) eingesetzt. Die Prüfung auf Normalverteilung (Kolmogov-Smirnov-Test) ergab, dass die kontrollierten Werte hinreichend normal verteilt sind. Die Überprüfung, des Einflusses der Messzeitpunkte und der medizinische Vorbildung auf die Testergebnisse wurde mittels einer Multivariaten einfaktoriellen Varianzanalyse (mit Messwiederholung) durchgeführt. Die abhängigen Variablen „erstes Testergebnis“ und „zweites Testergebnis“ korrelierten in der Stichprobe, die an beiden Klausurterminen teilnahmen, erwartungsgemäß mit r=0,68 hoch signifikant (p=0,000).
Ergebnisse
Beschreibung der Stichprobe
Im Wintersemester 2005/06 waren 352 Studenten im ersten Semester immatrikuliert. Davon haben 176 Erstsemestler/innen, in zwei konsekutiven Gruppen (Kursbeginn: Semesteranfang oder Semestermitte) über sechs Wochen an der Lehrveranstaltung teilgenommen (insgesamt 12 Termine für jeden Studierenden). Die Zuordnung zu den beiden konsekutiven Gruppen innerhalb der Semesterkohorte erfolgte durch eine Online-Anmeldung nach dem Zufallsprinzip
Der Tabelle 1 [Tab. 1] sind die Teilnehmerzahlen der einzelnen Testabschnitte zu entnehmen.
Tabelle 1: Anzahl der Studierenden der Stichprobe in den Klausurterminen

Aufgrund der Durchführung des Tests, sowohl bei den Studierenden, die den Kurs am Semesteranfang begonnen hatten, als auch bei Studierenden, deren Kursbeginn in der Mitte des Semesters lag, musste zunächst überprüft werden, ob diese beiden Gruppen im Pretest unterschiedliche Resultate erzielten. Es wäre denkbar gewesen, dass die Gruppe, die den Test zur Semestermitte schreibt, aufgrund des bereits vorangeschrittenen Semesterverlaufs bessere Ergebnisse erzielt. Der Mittelwertvergleich (siehe Tabelle 2 [Tab. 2]) ergab keinen signifikanten Unterschied. Die beiden Gruppen konnten damit für die weiterführenden Analysen zu jeweils einer Pre- und Posttestgruppe zusammengefasst werden.
Tabelle 2: T-test: Ergebnisse im Pretest der Studierenden, die zu Semesterbeginn den untersuchten Kurs besuchten und denen, die zur Semestermitte diesen Kurs begonnen hatten.

Die Abbildung 2 [Abb. 2] zeigt die Gesamttestergebnisse der Studierenden zum ersten Klausurtermin. Im Mittel erzielten die Studierenden 50% richtiger Antworten (SD= 10,4).
Abbildung 2: Anteil der Prozent richter Antworten bei den Studierenden im Pretest (n=167)

Im ersten Analyseschritt wurde Hypothese 1 überprüft. Hierfür wurden die Teilnehmer der Erstklausur in zwei Gruppen – mit und ohne medizinische Vorbildung – aufgeteilt. Die Häufigkeitsverteilung ergibt sich aus Tabelle 3 [Tab. 3].
Tabelle 3: Einteilung der Studierenden des Pretests nach der Tätigkeit vor Studienbeginn

Eine Auswertung der in der Gruppe „Andere“ angegebenen Tätigkeitsbereiche ergab sehr uneinheitliche Angaben; häufig wurden keine Tätigkeitsfelder benannt. Diese Gruppe fiel somit für die anschließende Gruppierung nach medizinischer Vorbildung aus.
Über die Hälfte der Befragten hatten direkt nach dem Abitur das Medizinstudium begonnen. 12% hatten vor Studienbeginn in einem nichtärztlichen Gesundheitsberuf gearbeitet. Diese beiden Untergruppen wurden zur Gruppe der „Studierenden ohne medizinische Vorbildung“ zusammengefasst (N=115). Die drei Untergruppen „Freiwilliges soziales Jahr“, „Tätigkeit in der Krankenpflege“ und „Tätigkeit in einem anderen Gesundheitsberuf“ wurden zur Gruppe „mit medizinischer Vorbildung“ zusammengefasst (N=35). Eine „medizinische Vorbildung“ liegt demnach nur bei einem kleinen Teil der hier untersuchten Stichprobe vor (23%). Die berichteten Ergebnisse sind im Folgenden jeweils unter dieser Restriktion der unterschiedlichen und teilweise geringen Fallzahl der Studienanfängergruppen mit und ohne medizinische Vorbildung, zu interpretieren. Die Ergebnisse erlauben deswegen nur Tendenzaussagen.
Die Klausurergebnisse im Pretest zeigten, dass die Gruppe mit einer Tätigkeit im Gesundheitsberuf im Mittel 60% (SD=10,6) richtiger Antworten erzielte, während die Studenten ohne medizinische Vorbildung einen Mittelwert von 47% (SD=8,6) erreichten (siehe Abbildung 3 [Abb. 3]). Der Mittelwertunterschied zeigte ein signifikantes Ergebnis (p=0,000). Die Hypothese 1 konnte damit bestätigt werden.
Abbildung 3: Ergebnisse des Pre- und Posttests getrennt nach der ausgeübten Tätigkeit vor Studienbeginn (N=90)

Zur Überprüfung der Hypothese 2 wurden nur die Daten der Studierenden herangezogen, die sowohl an der Erst- als auch an der Wiederholungsklausur teilgenommen hatten (n=111). Der Vergleich der Mittelwerte der Klausurergebnisse zum ersten und zum zweiten Erhebungszeitraum zeigte, dass sich die Resultate vom Pre- auf den Posttest deutlich verbesserten. Von den insgesamt 111 Teilnehmern verschlechterten sich nur fünf Studierende. Das Durchschnittsergebnis erhöhte sich von 50% (SD=11,2) richtiger Antworten auf 62% (SD=10,5). Dieser Mittelwertunterschied erwies sich ebenfalls als hoch signifikant (p=0,000). Es zeigte sich also zunächst eine Bestätigung der Hypothese 2.
Unterteilt man jedoch diese Klausurteilnehmer wiederum nach ihrer medizinischen Vorbildung in zwei Gruppen (siehe Abbildung 3 [Abb. 3]), verringert sich zunächst die Stichprobengröße auf N=90, aufgrund des Ausfalls der Studierenden mit der Antwortoption „Andere“. Es zeigt sich, dass bei der Gruppe Studierender mit medizinischer Vorbildung (n=12), die Verbesserung weniger deutlich ausfällt, als für die Studierenden, die direkt nach dem Abitur und ohne eine vorherige Tätigkeit im Gesundheitsberuf das Medizinstudium aufnahmen (n=78). So verbesserten sich die Studierenden ohne medizinische Vorbildung im Mittel von 46% (SD=9,3) richtiger Antworten in der Erstklausur auf 61% (SD=9,4) richtiger Antworten in der Wiederholungsklausur, was einer Prozentsatzdifferenz von 15% entspricht. Dieser Mittelwertunterschied erwies sich als hoch signifikant (p=0,000). Bei den Studienanfängern, mit medizinischer Vorausbildung war dies dagegen nicht der Fall (p=0,6).
Die Hypothese 2 kann somit nur für die Gruppe Studierende ohne medizinische Vorbildung (siehe Tabelle 3 [Tab. 3]) bestätigt werden. Allerdings muss auf die geringe Fallzahl von N=12 der Gruppe der Studienanfänger mit medizinischer Vorbildung hingewiesen werden, so dass diese Ergebnisse nur eine tendenzielle Aussage zulassen.
Die Erwartung, dass sich der Wissensvorsprung der Studienanfänger mit medizinischer Vorbildung auch noch nach Abschluss der untersuchten Lehrveranstaltung feststellen lässt (Hypothese 3), bestätigte sich nicht. Im Gegensatz zum Pretest bestand bei der Wiederholungsklausur zwischen den beiden Vorwissensgruppen kein Unterschied mehr (siehe Tabelle 4 [Tab. 4]). Dieses Ergebnis zeigte sich auch für die Studierenden, die an beiden Erhebungen teilnahmen (siehe auch Abbildung 3 [Abb. 3]).
Tabelle 4: t-Test: Ergebnisse im Posttest der Studierenden, mit und ohne medizinische Vorbildung

Der Einfluss der beiden Messzeitpunkte und der Tätigkeit der Studierenden vor Studienbeginn auf die Klausurergebnisse, wurde im Folgenden genauer untersucht. Die weitere Analyse bei Messwiederholung ergab, dass der Einfluss der beiden Messzeitpunkte auf das Testergebnis signifikant ist (F-Wert=11,6; p=0,001). Mit einer Effektstärke von ŋ²=.12 fällt dieser Einfluss allerdings sehr schwach aus. Weiterhin existiert eine Wechselwirkung zwischen dem Messzeitpunkt und der Tätigkeit vor dem Studienbeginn, dahingehend dass die medizinische Vorbildung zum ersten Messzeitpunkt stärker wirkt als zum zweiten (F-Wert=23,6; p=0,000). Dieser Wechselwirkungsfaktor erklärt 21% (ŋ²=.21) der Varianz am Klausurergebnis und hat damit eine größere – wenngleich immer noch schwache - Effektstärke als der Zeitfaktor allein.
Es zeigte sich weiterhin, dass der Faktor „Tätigkeit vor Studienbeginn“ allein einen allerdings schwachen Einfluss auf das Klausurergebnis hat (F-Wert=5,1; p=0.027; ŋ²=.05.).
Diskussion
Als erstes Ergebnis bestätigte sich der aus der Diskussion mit den Student(inn)en gewonnene Eindruck, dass nicht nur Studienanfänger mit Vorerfahrungen aus nichtärztlichen Gesundheitsberufen, sondern auch diejenigen, die das Studium direkt nach dem Abitur beginnen, über auf Kranke und Krankheit bezogenes Vorwissen verfügen, an das der Medizinunterricht im ersten Studienjahr anknüpfen kann. Bei beiden Gruppen beruht der insgesamt überraschend hohe inhaltliche Wissensstand im medizinischen Bereich auf „Laien-Erfahrungen“, zu denen Erfahrungen mit eigener Krankheit und eigenen Befindlichkeitsstörungen, und Erlebnisse bei Verwandten und Freunden gehören, ebenso wie Kenntnisse aus Laienmedien und Laienwerbung. Über die naturwissenschaftlichen Vorkenntnisse gibt es neuere Erhebungen [10]. Empirische Daten zum ärztlichen Vorwissen medizinischer Studienanfänger sind uns aus dem deutschen Schrifttum dagegen nicht bekannt. Beobachtungen aus dem angelsächsischen Kulturkreis zeigen die Bedeutung von Patientenkontakten bei Studienanfängern für die Entwicklung eines Patientenverständnisses und der damit verbundenen Empathiefähigkeit [2], [6], die im Laufe des Studiums abzunehmen scheint [5].
Ein zweites Ergebnis war der eindeutige Wissensvorsprung der Studierenden die vor Studienbeginn in Gesundheitsberufen tätig waren. Die Beobachtung, dass dieser nach in der Nachtestung nicht mehr nachweisbar war, ist nicht eindeutig zu interpretieren. Die Tatsache, dass zwischen dem Vorwissen der im ersten und im zweiten Semesterabschnitt den Kurs beginnenden Studierenden keine Unterschied festzustellen war, spricht hierbei gegen einen Einfluss der in der ersten Semesterhälfte besuchten naturwissenschaftlichen und theoretisch- medizinischen Lehrveranstaltungen und für den Lerneffekt des Kurses „Klinik für Vorkliniker“. Dies ist aber wegen der geringen Zahl der Testpersonen und der nicht auszuschließenden Erinnerungseffekte nicht beweisend.
Zusammenfassend sind aus unserer Sicht die hier berichteten vorläufigen Beobachtungen für die Gestaltung des Medizinunterrichtes im ersten Studienjahr von Bedeutung. Dies dürfte nicht nur für die Gestaltung der genannten „klinischen“ Lehrveranstaltungen gelten, sondern auch für anthropologische Fächer wie die Anatomie und Physiologie, in deren Seminaren klinische Bezüge berücksichtigt werden sollen. Die Inhomogenität des Vorwissens unterstreicht die Bedeutung interaktiver Lehrformen gegenüber Frontalvorlesungen auch für die in Deutschland immer noch sehr hohe Zahl der Studienanfänger. Dies entspricht den Versuchen aus dem Bereich der medizinischen Psychologie und Soziologie, erste Erfahrungen mit der Arzt-Patienten Beziehung im ersten vorklinischen Semester zu vermitteln [9].
Unsere Beobachtungen sollten auch bei der Auswahl eines Teils der Studienbewerber durch die Hochschulen berücksichtig werden. Ob andere Module der klinischen Praktika im vorklinischen Studienabschnitt in ähnlichen Weise initial, aber nicht mittelfristig durch die Vortätigkeit positiv beeinflusst werden, ist uns nicht bekannt. Angesichts der Angleichung „ärztlichen“ Vorwissens im Verlauf des beschriebenen Kurses sollte dabei der aus vorheriger Tätigkeit in Gesundheitsberufen resultierende Wissensvorsprung mit Vorsicht bewertet werden.
Appendix
MC-Fragen des Testbogens
1. Was ist Fieber?
□ Eine Erhöhung der Körpertemperatur über den Normalwert (r)
□ Der Beweis einer bakteriellen oder viralen Infektion (f)
□ Der Hinweis auf einen Entzündungsprozess (r)
□ Eine zweimalige Erhöhung der Körpertemperatur über 37° Celsius (f)
□ Ein Antibiotika-Mangelsyndrom (f)
□ Weiß ich nicht
2. Was ist ein Symptom?
□ Ein Hinweis auf eine körperliche Erkrankung (r)
□ Ein Hinweis auf eine körperliche und psychische Erkrankung (r)
□ Eine vom Arzt festgestellte Körperveränderung als Handlungsanweisung für technische Untersuchungsverfahren (f)
□ Eine vom Patienten bemerkte Veränderung des Körpergefühles oder der Funktionen des Körpers (r)
□ Weiß ich nicht
3. Krebsmetastasen sind
□ Einbeziehungen von Nachbargeweben einer zunächst auf ein Organ beschränkten Krebsgeschwulst (f)
□ Absiedlungen von Krebszellen die auf dem Blutweg in andere Organe verschleppt wurden (r)
□ Absiedlungen von Krebszellen die auf dem Lymphweg in andere Organe verschleppt wurden (r)
□ Ein sicheres Zeichen dass eine Krebskrankheit nicht mehr geheilt werden kann (f)
□ Weiß ich nicht
4. Typische Folgen einer Erkrankung der Herzkranzgefässe ist/sind
□ Ein Herzinfarkt (r)
□ Schmerzen im Bereich des Brustkorbes, die immer in den linken Arm ausstrahlen (f)
□ Schmerzen im Brustkorb, die unter körperlicher Belastung auftreten (r)
□ Veränderungen im EKG (Elektrokardiogramm) (r)
□ Weiß ich nicht
5. Die ärztliche Schweigepflicht gilt gegenüber
□ Allen Personen außer dem nächsten Angehörigen des Patienten (f)
□ Allen Personen außer Ärzten (f)
□ Allen Personen außer mitbehandelnden Ärzten (r)
□ Allen Personen außer den Eltern eines 17-jährigen Patienten (f)
□ Allen Personen außer der Krankenkasse, bei der der Patient versichert ist (f)
□ Weiß ich nicht
6. Antibiotika
□ Sind therapeutisch wirksam bei bakteriellen Infektionen (r)
□ Sind therapeutisch wirksam bei Virusinfektionen (f)
□ Sind therapeutisch wirksam bei Infektionen durch Bakterien oder durch Viren (f)
□ Senken Fieber unabhängig von der Ursache (f)
□ Sind rezeptpflichtig (r)
□ Sind apothekenpflichtig, aber nicht immer rezeptpflichtig (f)
□ Weiß ich nicht
7. Ursache einer Leberzirrhose = Leberverhärtung der Leberfeinstruktur ist/sind
□ Viren (r)
□ Alkohol (r)
□ Umweltgifte, wie Holzschutzmittel oder beruflicher Umgang mit Lösungsmitteln (f)
□ Langdauernde schwere berufliche Belastung (f)
□ Langzeitige rein vegetarische Ernährung (f)
□ Weiß ich nicht
8. Als Leukämie bezeichnet man
□ Eine Erhöhung der Zahl der weißen Blutkörperchen über den Normalwert (f)
□ Eine krebsartige Störung der Blutbildung (r)
□ Eine krebsartige Störung der Blutbildung, die unbehandelt immer tödlich ist (r)
□ Eine krebsartige Störung der Blutbildung, die nur durch eine Knochenmarkübertragung geheilt werden kann (f)
□ Eine krebsartige Störung der Blutbildung, die heute bei jungen Menschen immer geheilt werden kann (f)
□ Weiß ich nicht
9. Ein chronischer Gelenkrheumatismus
□ Kommt häufiger bei Kindern als bei Erwachsenen vor (f)
□ Kommt häufiger bei Erwachsenen als bei Kindern vor (r)
□ Ist meist durch Viren bedingt (f)
□ Ist eine Erkrankung des Immunsystems (r)
□ Ist meist durch Bakterien bedingt (f)
□ Ist eine klassische Indikation zur homöopathischen Behandlung (f)
□ Weiß ich nicht
10. Als Blutdruckamplitude bezeichnet man
□ Den Unterschied des systolischen und des diastolischen Blutdrucks, ausgedrückt in BAR (r)
□ Den Unterschied des systolischen und des diastolischen Blutdrucks, ausgedrückt in mm Quecksilber (r)
□ Den Unterschied des morgens und abends gemessenen systolischen Blutdrucks (f)
□ Den Unterschied des morgens und abends gemessenen diastolischen Blutdrucks (f)
□ Den Unterschied des am Oberarm und am Handgelenk gemessenen Blutdrucks (f)
□ Weiß ich nicht
11. Als „unschädlich“ wird bei Männern im allgemeinen ein chronischer Alkoholgenuss angenommen von
□ 50-100 g pro Tag (f)
□ Unter 50 g pro Tag (r)
□ Nicht mehr als 20 g pro Tag (f)
□ Bis maximal 200 g pro Tag (f)
□ Nur völlige Alkoholabstinenz (f)
□ Weiß ich nicht
12. Mit dem Begriff „Differentialdiagnose“ bezeichnet man
□ Den Beweis einer zunächst nur vermuteten Diagnose (f)
□ Den Ausschluss einer zunächst vermuteten Diagnose durch technische Untersuchung (f)
□ Die Auflistung verschiedener Diagnosen, die nach der Erstuntersuchung in Frage kommen (r)
□ Anordnung von Laboruntersuchungen um eine Diagnose zu beweisen (f)
□ Weiß ich nicht
13. Eine Skiläuferin klagt nach einem Sturz auf der Piste über starke Schmerzen im rechten Unterschenkel, die sich nach dem vergeblichen Versuch aufzustehen massiv verstärken. Was tun sie, wenn kein Arzt zugegen ist?
□ Skistiefel ausziehen um das Bein zu untersuchen (f)
□ Wegen der sehr starken Schmerzen Alkohol verabreichen bis Hilfe kommt (f)
□ Beruhigen und abwarten bis der Schmerz nachlässt (f)
□ Durch Unter- und Auflegen von eigenen Kleidungsstücken Wärmeverlust bekämpfen (r)
□ Bergwacht verständigen (r)
□ Weiß ich nicht
14. Welche Feststellung(en) zur Parkinson-Krankheit ist/sind richtig?
□ Ist häufiger bei jungen als bei alten Menschen (f)
□ Ist häufiger bei alten als bei jungen Menschen (r)
□ Ist das selbe wie Alzheimer-Krankheit (f)
□ Ist das selbe wie Morbus Alzheimer (f)
□ Äußert sich am häufigsten in Anfällen von Bewusstlosigkeit (f)
□ Ist meist psychisch bedingt (f)
□ Ist meist degenerativ bedingt (r)
□ Weiß ich nicht
15. Was versteht man unter einer Diagnose ex juvantibus?
□ Nach einem Behandlungserfolg auf die Ursache schließen (r)
□ Eine Diagnose nach Befragung des Patienten (f)
□ Aus mehreren Möglichkeiten die zu wählen, die dem Arzt am liebsten ist (f)
□ Weiß ich nicht
16. Die Luftröhre nennt man auch
□ Limbus (f)
□ Pulmo (f)
□ Trachea (r)
□ Ösophagus (f)
□ Pylorus (f)
□ Weiß ich nicht
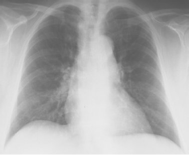
17. Struktur a auf dem Röntgenbild ist (siehe Abbildung 4 [Abb. 4])
□ Die Aorta (f)
□ Die Luftröhre (r)
□ Die Speiseröhre (f)
□ Die Wirbelsäule (f)
□ Weiß ich nicht
18. Welche Reihenfolge halten Sie für richtig? Es handelt sich um einen „normalen“ Arzt-Patienten-Kontakt; keinen Notfall o.ä.
□ Erster Eindruck und Kennenlernen – Erhebung der Anamnese – technische Untersuchung – körperliche Untersuchung (f)
□ Erster Eindruck und Kennenlernen – körperliche Untersuchung – Erhebung der Anamnese – technische Untersuchung (f)
□ Körperliche Untersuchung – erster Eindruck und Kennenlernen - Erhebung der Anamnese – technische Untersuchung (f)
□ Erhebung der Anamnese – körperliche Untersuchung – erster Eindruck und Kennenlernen – technische Untersuchung (f)
□ Erster Eindruck und Kennenlernen – Erhebung der Anamnese – körperliche Untersuchung – technische Untersuchung (r)
□ Weiß ich nicht
19. Wie errechnet sich der Body Mass Index?
□ Gewicht in kg/ (Körpergröße in m)² (r)
□ Gewicht in kg/ (Körpergröße in cm)² (f)
□ (Körpergröße in m)²/ Gewicht in kg (f)
□ (Körpergröße in cm)/Gewicht in kg (f)
□ Weiß ich nicht
20. Welche Aussage zum Diabetes mellitus (DM = Zuckerkrankheit) ist richtig?
□ DM lässt sich nur mit Insulin therapieren (f)
□ DM betrifft lediglich Patienten über 40 Jahren (f)
□ DM ist eine immer seltener werdende Krankheit (f)
□ DM bekommen ausschließlich Patienten mit erhöhtem BMI (f)
□ DM unterteilt sich u.a. in DM Typ 1 und Typ 2 (r)
□ Weiß ich nicht
21. Die Abkürzung PTCA steht für
□ Plasma thromboplastin component activity (f)
□ Periphere transösophageale Coronarangiographie (f)
□ Plastische transcutane Angiographie (f)
□ Perkutane transluminare coronare Angioplastie (r)
□ Weiß ich nicht
22. Risikofaktor(en) für eine Arterienverkalkung ist:
□ Rauchen (r)
□ Verminderung des Serum-Cholesterins (f)
□ Normalgewicht (f)
□ Fortgeschrittenes Lebensalter (r)
□ Herzinfarkte bei engen Familienangehörigen (r)
□ Weiß ich nicht
23. Bei der Auskultation benutzt man:
□ Ein Otoskop (f)
□ Einen Reflexhammer (f)
□ Ein Stethoskop (r)
□ Eine Stimmgabel (f)
□ Weiß ich nicht
24. Als Erythrozyten wird/werden bezeichnet:
□ Die weißen Blutkörperchen (f)
□ Die roten Blutkörperchen (r)
□ Blutplasma (f)
□ Blutplättchen (f)
□ Weiß ich nicht
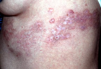
25. Eine circa 40-jährige Patientin kommt und beschwert sich über starke Schmerzen im Bereich des betroffenen Bezirkes (siehe Abbildung 5 [Abb. 5]). Hierbei handelt es sich um:
□ Röteln (f)
□ Masern (f)
□ Windpocken/ Zoster (r)
□ Hautmetastasen (f)
□ Allergie (f)
□ Weiß ich nicht
26. Wenn ein Arzt von ventral spricht, meint er:
□ Am Rücken eines Patienten (f)
□ Am Bauch eines Patienten (r)
□ Am Fuß eines Patienten (f)
□ Am Kopf eines Patienten (f)
□ Weiß ich nicht
27. Das EKG sagt etwas aus über:
□ Die Herzaktion (r)
□ Die Hirnströme (f)
□ Den Blut-ph-Wert (f)
□ Die menschliche Temperatur (f)
□ Weiß ich nicht
28. Was ist richtig?
□ Magersüchtig sind meistens Männer (f)
□ Es besteht kein Unterschied zwischen der Magersucht und der Ess-Brech-Sucht (f)
□ Man kann daran sterben (r)
□ Typischerweise sind junge Frauen betroffen (r)
□ Weiß ich nicht
29. Welche Aussage(n) ist/sind richtig?
□ Eine Blutarmut ist immer angeboren (f)
□ Vegetarier leiden seltener unter Blutarmut (f)
□ Es existiert nur eine Form der Blutarmut (f)
□ Frauen haben seltener eine Blutarmut (f)
□ Eisenmangel kann eine Ursache für eine Blutarmut sein (r)
□ Weiß ich nicht
Literatur
[1] Haller R, Burger W, Scheffner D. Der Reformstudiengang am Klinikum Rudolf Virchow der Freien Universität Berlin. In: Robert Bosch Stiftung (Hrsg). Das Arztbild der Zukunft. Analysen künftiger Anforderungen an den Arzt. Konsequenzen für die Ausbildung und Wege zu ihrer Reform. Gerlingen: Bleicher Verlag; 1995.[2] Hojat M, Mangione S, Nasca TJ, Rattner S, Erdmann JB, Gonnella JS, Magee M. An empirical study of decline in empathy in medical school. Med Educ. 2004;38(9):934-941.
[3] Merton RK, Reader GG, Kendall PL. The Student - Physician. Cambridge/MA: Havard University Press; 1957.
[4] Robert Bosch Stiftung. Das Arztbild der Zukunft. Analysen künftiger Anforderungen an den Arzt. Konsequenzen für die Ausbildung und Wege zu ihrer Reform. 3 ed. Gerlingen: Bleicher Verlag; 1995.
[5] Shapiro J, Morrison E, Boker J. Teaching empathy to first year medical students: evaluation of an elective literature and medicine course. Educ Health (Abingdon). 2004;17(1):73-84.
[6] Spencer J, Blackmore D, Heard S, McCrorie P, McHaffie D, Scherpbier A, Gupta TS, Singh K, Southgate L. Patient-oriented learning: a review of the role of the patient in the education of medical students. Med Educ. 2000;34(10):851-857.
[7] Tosteson DC. Learning in Medicine. N Engl J Med. 1979;301(13):690-694.
[8] Tosteson DC. New pathways in general medical education. N Engl J Med. 1990;322(4):234-238.
[9] Trojan A, Schulz Th, Weidtmann K, Frost M, Döhner J, Albrecht NJ, von Knesebeck O. Patientenkontakte im ersten Abschnitt der ärztlichen Ausbildung: Der Hamburger Kurs in Medizinischer Soziologie. GMS Z Med Ausbild. 2006;23(4):Doc.62.
[10] von Dülmen M, Koliussis C, Ludwig R, Schulze J. Naturwissenschaftliche Vorkenntnisse deutscher Studienanfänger in der Humanmedizin. GMS Z Med Ausbild. 2006;23(4):Doc.64.





