Carbon tetrachloride-induced liver disease in rats: the potential effect of supplement oils with vitamins E and C on the nutritional status
Rasha S. A. Ismail 1Ashraf A. A. El-Megeid 1
Aly R. Abdel-Moemin 1
1 Nutrition and Food Science Department, Faculty of Home Economics, Helwan University, Cairo, Egypt
Abstract
The aim of the present investigation was to study the effects of olive oil (OO), corn oil (CO), and flaxseed oil (FO), with or without supplementation of vitamins E and C, on food intake, body weight gain %, liver weight to body weight %, total lipids, liver functions, and liver histology in male rats intoxicated with carbon tetrachloride (CCl4).
Forty-two rats were divided into two main groups. The first main group was fed on basal diet (BD) as a negative control group (NC). The second main group received subcutaneous injections of CCl4 in paraffin oil (50% v/v 2ml/kg) twice a week to induce chronic damage in the liver. The group was then divided into six subgroups, three of which were fed on 4% unsupplemented oils (CO, FO, and OO) as positive control for the three oils used. The rest of the groups were fed on 4% of the same oils supplemented with vitamins E and C.
The results of the flaxseed oil rat group indicate that supplementing vitamin E and C led to a significant reduction in the mean values of total cholesterol (TC), low density lipoprotein cholesterol (LDL-C), and liver alanine amino transferase enzyme (ALT). Moreover, it caused an increase of the mean value of high-density lipoprotein cholesterol (HDL-C) as compared to the negative control group (NC). The olive oil group supplemented with the same vitamins showed a significant decrease in the mean value of serum TC and significant (P<0.05) increase in the mean value of serum HDL-C as compared to NC. The results of the corn oil group supplemented with vitamins showed a significant increase in the mean value of serum HDL-C as compared to the negative control group. The histology results confirmed that the group hepatically injured with CCl4 treatment and fed on supplemented FO or OO showed apparently normal hepatocytes.
Conclusion: The most effective treatment was observed with oils supplemented with vitamins E and C. Hierarchically FO achieved the best results compared to other additives, followed by OO and finally CO showing the least effective treatment among the observed groups.
Keywords
chronic liver disease, rats, vitamin E, vitamin C, lipid profile, liver functions
Introduction
Liver diseases have a variety of causes such as infections, parasites, nutrition deficiency, inborn errors, toxic substances and malignancy. Viral hepatitis is the major cause of liver disease in tropical areas including Egypt [1].
Nutrition and the liver interrelate in many ways and the possible effect of slowing down liver damage has been considered [2]. Several studies have emphasized on the importance of dietary composition in the treatment of fatty liver. Dietary fat affects the fatty acid composition, lipid peroxidation and antioxidants defence system of the body [3].
Liver cell injury induced by carbon tetrachloride involves initially the metabolism of carbon tetrachloride to trichloromethyl free-radical by the mixed function oxidase system of the endoplasmic reticulum. It is postulated that secondary mechanisms link carbon tetrachloride metabolism to the widespread disturbances in hepatocyte function. These secondary mechanisms could involve the generation of toxic products arising directly from carbon tetrachloride metabolism or from peroxidative degeneration of membrane lipids. The possible involvement of radical species such as trichloromethyl (CCl3), trichloromethylperoxy (OOCCl3), and chlorine (Cl) free radicals, as well as phosgene and aldehydic products of lipid peroxidation, as toxic intermediates is discussed. Data do not support the view that an increase in cytosolic free calcium is important in the toxic action of carbon tetrachloride or bromotrichloromethane. In addition, carbon tetrachloride-induced inhibition of very low density lipoprotein secretion by hepatocytes is not a result of elevated levels of cytosolic free calcium [4].
Sufficient data are not yet available to decide whether lipid peroxidation is a major or minor consequence of the metabolism of carbon tetrachloride. It has been reported that the development of hepatic steatosis results from an imbalance in the rates of entry, synthesis, or clearance of fat from the liver [5].
More specific, the hepatic uptake of fatty acids and triacylglycerol and their rates of synthesis, the secretion of these compounds via plasma, bile, hydrolysis of triacylglycerol or oxidation of fatty acids may be altered. Non-alcoholic steatohepatitis (NASH) pathogenesis includes increased oxidative stress and increased lipid peroxidation may be altered [6].
It has been reported that steatosis and starvation may act synergistically on the depletion of antioxidants, predisposing fatty liver to a reduced tolerance to oxidative injury [7].
It has been suggested that disturbances in antioxidants parameters in blood of patients with chronic liver disease may be due to peroxidative damage of cells [8]. A study conducted by Aguilera and his co-workers [9] showed that treatment with virgin olive, sunflower and fish oils enhances hepatic antioxidant defence system.
A study demonstrated that α-tocopherol is the main antioxidant involved in the protection of unsaturated lipids. Clinical and experimental conditions characterized by decrease in α-tocopherol are associated with enhanced peroxidation of lipids and lipoprotein. The redox of α-tocopherol depends on the availability of reduced ascorbate, which is decreased markedly in rat steatotic liver [10].
The investigated oils are commonly used in Egyptian recipes. Supplementation with vitamin E and C was conducted to maximize the beneficial effects of vitamins in order to combat the toxic effects of CCl4 as model of chronic liver disease. These oils are different in their chemical composition and tocopherol content according to Table 1 [Tab. 1].

The aim of this study was to compare the effect of dietary flaxseed, olive, and corn oils supplemented or not with vitamins E and C on the nutritional status, serum lipid fractions, liver functions and liver damage, in rats suffering from chronic liver disease.
Materials and methods
Materials
Carbon tetrachloride (CCl4), Vitamin E α-tocopherol acetate, dehydroascorbic acid, casein, vitamins, minerals, cellulose, choline chloride were obtained from El-Gomhorya company, Cairo, Egypt.
Kits used to determine serum cholesterol triacylglycerol, HDL-C, VLDL-C (very low-density lipoprotein cholesterol), LDL-C were obtained from Egyptian American Company for Laboratory Service and Supplied by Alkan Company.
Rats
Rats were obtained from the laboratory animal colony, Ministry of Health and Population, Helwan, Cairo, Egypt.
Experimental design
Forty-two male Sprague Dawley rats weighing (220±5 g) were kept in individual stainless steel cages under hygienic condition and were fed for one week on basal diet for adaptation and supplied with water add libitum. The basal diet (BD) in the preliminary experiment is formulated according to Ain 93 [11] (Table 2 [Tab. 2]).
After a period of adaptation on BD (one week), the rats were divided into two main groups. The first main group (6 rats) was fed on BD as a negative control group (NC), corn oil being the main source of fat. The second main group (36 rats) was treated with CCl4 in paraffin oil (50% v/v 2ml/kg) twice a week by subcutaneous injection to induce chronic damage in the liver, according to the method [12]. After injection with CCl4 blood samples were collected from the orbital plexus by means of fine capillary glass tubes. Aspartate aminotransferase (AST) and alanine amino transferase (ALT) liver functions were determined in each serum sample, in order to estimate the initial experiment period. This group was divided into six subgroups (6 rats each). The first subgroup was fed on BD containing 4% CO as a positive control group (PC). The second subgroup received BD containing 4% corn oil supplemented with 250 mg vitamin E and 40 mg vitamin C/kg diet (COEC). The third subgroup was fed on BD containing 4% flaxseed oil (FO). The fourth subgroup was fed on BD containing 4% FO supplemented with 250 mg vitamin E and 40 mg vitamin C/kg diet (FOEC). The fifth subgroup was fed on BD containing 4% OO, while the sixth subgroup received BD containing 4% OO supplemented with 250 mg vitamin E and 40 mg vitamin C/kg diet (OOEC). During the experimental period (28 days), diet consumed and body weights were recorded twice weekly.
Body weight and food consumption were measured and total food intake of the experimental period (4 weeks) was calculated. Body weight gain % (BWG%) was determined according to [13].
Biochemical analysis
At the end of the experiment, the animals were fasted overnight, and then the rats were anaesthetized and sacrificed to obtain blood samples. Each blood sample was placed in dry clean centrifuge tube, and then centrifuged for 10 minutes at 3000 round per minute (rpm) to separate the serum. Serum was carefully separated into clean dry Wassermann tubes by using a Pasteur pipette and kept frozen until analyses.
Determination of serum HDL-C was carried out according to the method described by Lopes-Virelia et al. [14]. Serum VLDL-C and LDL-C were determined according to [15], [16], aspartate aminotransferase (AST) and alanine amino transferase (ALT) according to [17].
The liver was separated from each rat and weighed to calculate liver to body weight percentage.
Histological examination
Specimens from liver tissues were taken immediately after sacrificing animals, and fixed in 10% buffered neutral formalin solution. The fixed specimens were then trimmed, washed and dehydrated in bedded in paraffin, cut in sections of 46 microns thickness and stained with haematoxylin and cosin stain [18].
Biostatistics
The data analysis was carried out with SPSS Inc. software (version 15.0). One-way ANOVA was used to study a significant difference between means of the dietary groups with a significance level of P<0.05. Duncan’s test was used to compare the significance among the rat groups. All data are presented as ± standard deviation of means (SD) [19].
Results
Food intake (g/day for each rat) decreased in the PC group as compared to the NC group (12.7±2.1 vs. 18.2±1.3 g/day respectively). Rats injected with CCl4 and fed on BD containing 4% FO (supplemented or not with vitamin E and C) recorded higher food intake values than other intoxicated groups (15.1, 14.7), followed by the group that received 4% OO supplemented with vitamin E and C (14.3). However, all groups injected with CCl4 and treated with different dietary oils showed significant increase in food intake as compared to the PC group (P<0.05).
There was a significant decrease (P<0.05) in body weight gain (BWG%) for PC as compared to the NC group (7.9 vs. 37.7). On the other hand, all groups injected with CCI4 and fed on BD containing different oils recorded a significant decrease in BWG% compared to the NC group, while showing a significant increase in BWG compared to the PC group. The group fed on FO or OO oils supplemented with vitamins E and C recorded the best result of BWG% as compared to PC group (17.1, 12.4 vs. 7.9 respectively) (Table 3 [Tab. 3]).

Weight of liver changes by injection of CCl4, consequently the mean value of liver/body weight % for the PC group showed significant increase (P<0.05) as compared to the NC group (3.8 vs. 2.9 respectively). These results were in accordance with those of Hashimoto et al. [20], showing that treatment with CCl4 and phenobarbital causes liver deformity and high percentage of liver weight in the group injected with CCl4 and fed on BD. The group fed on 4% FO supplemented with vitamins E and C recorded the least mean value of liver weight/body weight % as compared to the PC group (3.1 vs. 3.8 respectively), followed by the group with BD containing 4% OO supplemented with vitamin E and C which recorded mean liver weight/body weight % of 3.4 vs. 3.8 respectively. On the other hand, all treated sub-groups recorded significant decrease in liver weight/body weight % (P<0.05) as compared to the positive control group (Table 3 [Tab. 3]).
The effects of supplemented BD with 4% FO, CO, OO, with or without supplementation with vitamins E and C, on serum levels of total cholesterol (TC), triacylglycerol (TAG), high density lipoprotein cholesterol (HDL-C), low and very low density lipoprotein cholesterol (LDL-C and VLDL-C), in rats suffering from chronic liver diseases is presented in Table 4 [Tab. 4].

The effects of supplemented diet with different oils with or without vitamins E and C as useful indicator for liver functions in rats suffering from chronic liver disease are presented in Table 5 [Tab. 5].

It can be noticed that the PC group fed on BD containing 4% CO has shown a highly significant increase in the mean values of TC, TAG, LDL-C and VLDL-C compared to the NC group. Concerning the mean value of serum HDL-C, the PC group exhibited a significant decrease as compared to the NC group. These results are in agreement with those of Augusti et al. [21] who claimed that the injection with CCl4 increased the serum and tissue lipid profile.
Replaceing CO by FO or OO in the BD of the rat groups injected with CCl4 resulted in a significant decrease in the mean values of serum TC, TAG, LDL-C and VLDL-C, and a significant increase in the mean value of serum HDL-C as compared to the PC group.
In this respect, Maurice et al. [22] reported that n-3 family fatty acids have been shown to reduce hepatic fat and liver accumulation in poultry. Recently, Schuman et al. [23] reported that FO oil reduced hepatic fat content as well.
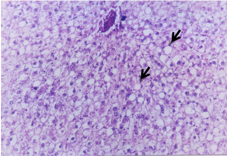
Histopathological results
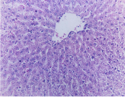
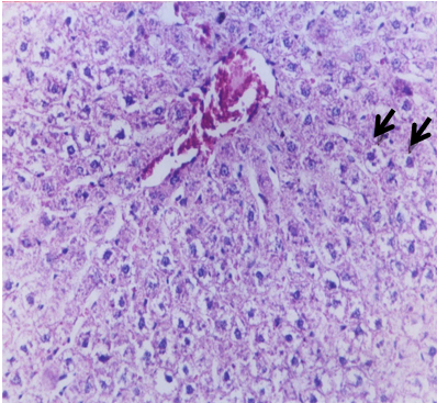
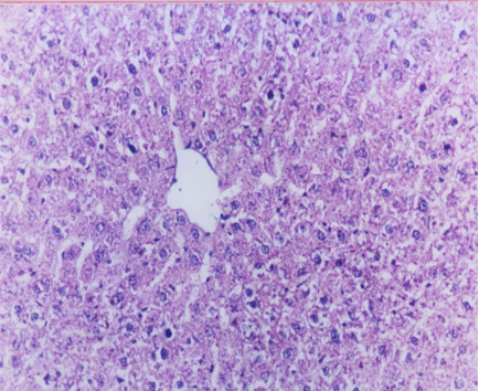
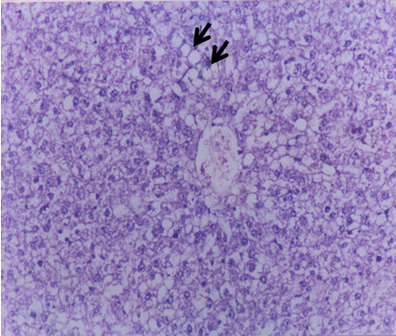
Our results (Figure 1 [Fig. 1], Figure 2 [Fig. 2], Figure 3 [Fig. 3], Figure 4 [Fig. 4], Figure 5 [Fig. 5], Figure 6 [Fig. 6], Figure 7 [Fig. 7]) revealed that treatment of the PC group with FO or OO supplemented with vitamins E & C led to the best improvement. The histopathological investigation showed apparently normal hepatocytes.







In this respect, Alwayn et al. [24] reported that supplementation of n-3 FAs can ameliorate hepatic steatosis in a murine model of parenteral nutrition as demonstrated by histology. In this concern, Cohen et al. [25] found that n-3 PUFA as found in FO has anti-inflammatory properties that are mediated by the production of anti-inflammatory eicosanoids.
On the other hand, De la Puerta Vàzquez et al. [26] and Perona et al. [27] reported that the biological effects of olive oil is more than a simple mixture of fatty acids, and that it contains other biologically active substances such as tocopherols, polyphenols and phytosterol some of which have antioxidant and anti-inflammatory activities.
In conclusion, our results revealed that oxidative damage caused by free radicals in rat livers due to injection of CCl4 may be attenuated by dietary supplementation of FO or OO with vitamins E and C compared to NC.
Discussion
Our results clearly demonstrated the efficacy of dietary antioxidants due to supplementation with vitamins C and E that alleviated the malfunctions of livers and the elevation of lipid profile among rat groups intoxicated with CCl4. That may be explained by increasing rats’ serum with dietary antioxidants which need further investigation.
Naturally oils do not have any vitamin C according to refining and heat treatments and rat’s basal diet does not contain any vitamin C as well, however rats are quite capable to synthesize it in their bodies [28]. In this regard, the supplemented diet including antioxidant vitamins C and E (OOEC, FOEC and COEC groups) had the same amounts of vitamins apart from control groups. This was assumed to indicate the effect of the quantity and the quality of supplemented diets with vitamins.
Our results are on the same line with Morise et al. [29], who explained that α-linolenic acid (ALA) rich in FO resulted in a higher cholesterol secretion into bile, leading to depletion of the intrahepatic pool of cholesterol, and thus an increase in cholesterol synthesis and turnover.
Moreover, ALA rich diet reduced hepatic lipid accumulation both by stimulating β-oxidation and by suppressing fatty acid synthesis [30]. In respect to TAG, our results are in agreement with Feoli et al. [31] and Park et al. [32] who cleared the effect of ALA in the FO that can be attributed to a reduction in the hepatic synthesis of fatty acids, which decreases the concentration of triacylglycerol in the liver.
In respect to OO, our results are in agreement with Hussein et al. [33] who found that the diet supplemented with OO, but not fish oil or butter fat, led those animals to store less TAG in their liver consequently, preventing the occurrence of dietary induced severe hepatic steatosis.
The comparative effects of dietary FO, OO, and CO supplemented with vitamins E and C revealed that the most effective treatment on serum TC, HDL-C, LDL-C, was recorded for the injected CCl4 group fed on BD containing 4% FOEC as these treatments led to significant reduction in the mean value of TC, LDL-C and significant increase in the mean value of serum HDL-C as compared to the NC group.
The present results showed that the injected CCl4 rats fed on BD containing 4% OOEC exhibited a significant decrease (P<0.05) in the mean value of serum TC and a significant increase in the mean value of serum HDL-C as compared to the NC group. While COEC led to a significant increase in the mean value of serum HDL-C as compared to NC group.
Hierarchically, the current study revealed that the most effective treatment on serum lipid profile was FOEC followed by OOEC. In this respect, Grattagliano et al. [7] reported that fatty liver induced by CCl4 is associated with a lower level of antioxidants, which results in lipid peroxidation. Steatosis may act on the depletion of antioxidants predisposing fatty livers to a reduced tolerance to oxidative.
On the other hand, Sokol et al. [10] showed that hepatic steatosis is associated with a lower antioxidant capacity of hepatic cells, characterized mainly by a reduced availability of α-tocopherol and vitamin C rather than of glutathione GSH, this condition exposes hepatic lipids to an enhanced risk of oxidation.
Vegetable oils, nuts and plant sources are good sources of vitamin E ranging between 9.3, 14.4 and 21 mg/100 g for flaxseed, olive and corn oils, respectively [34], [35], [36]. Vitamin E is absorbed from the gut with the aid of bile salts and the vitamin is not esterfied. It is transported to the blood stream via chylomicrons and distributed to the various tissues via lipoproteins [34]. We would suggest that the greatest improvement in lipid profile of FOEC or OOEC allowed a recovery from the antioxidant vitamin reduction in the liver. α-tocopherol is the main antioxidant involved in the protection of unsaturated lipids. The redox state of α-tocopherol depends on the availability of reduced ascorbate. As stated these diets were supplemented with 40mg/kg vitamin C. The low intracellular concentration of vitamin C in fatty liver was likely related to increased consumption for recycling oxidized α-tocopherol [10]. The useful effect of vitamin E in improving liver function can be attributed also to their ability, as antioxidant, to quench free radicals and reduce the increased rate of lipid peroxidation in the liver [37].
Aminotransferases are found in the liver in addition to the brain, pancreas, heart, skeletal muscle, kidneys and lungs. It is used by the liver to help make the energy-storage of molecule glycogen. In this study, AST of NC group was found to be 3 times greater than ALT that is primarily found in the liver, while AST found in all organs previously described. These results are in agreement with the results of Young et al. [38], Abdel-Moemin et al. [39], Al-Wabel et al. [40], Cengiz et al. [41], Sánchez et al. [42].
It could be noticed that the rats of PC group showed significant increase (P<0.05) in the mean values of AST and ALT, compared to those of NC group. In this aspect, Mansour et al. [43] reported that a single dose of CCl4 induced hepatotoxicity manifested biochemically by significant elevation of activities of liver functions, such as ALT and AST.
The current results showed that liver function of chronic liver disease in COEC or OOEC showed significant decrease of AST and ALT values, as compared to PC. While ALT of FOEC group recorded a significant decrease (P<0.05) as compared to the NC group.
Little data are available on the effect of supplemented diets with vitamin E and C on intoxicated rat livers with CCl4. The histological results confirmed that the hepatically injured rats with CCl4 and fed on supplemented FOEC or OOEC showed apparently normal hepatocytes.
Notes
Conflicts of interest
None declared.
Acknowledgements
The author wishes to thank Helwan University for encouraging international publications with high standard of research.
References
[1] Nooman MZ, Khalil M, Nafeh M, Elwan SI, el-Sharkawi M, Omar AM, Atta SM, Reda I. Behaviour of hepatitis B antigen in bilharzial patients infected with HBs positive viral hepatitis. Egypt J Bilharz. 1978;4(1):79-87.[2] Escott-Stump S. Hepatic, Pancreatic, and Biliary Disorder. In: Nutrition and Diagnosis-related Care. 5th ed. Baltimore: Lippincott Williams & Wilkins; 2002. p. 338-372.
[3] Pulla Reddy AC, Lokesh BR. Alterations in lipid peroxides in rat liver by dietary n-3 fatty acids: modulation of antioxidant enzymes by curcumin, Eugenol, and vitamin E. J Nutr Biochem. 1994;5(4):181-8. DOI: 10.1016/0955-2863(94)90070-1
[4] Brattin WJ, Glende EA Jr, Recknagel RO. Pathological mechanisms in carbon tetracholoride hepatotoxicity. J Free Radic Biol Med. 1985;1(1):27-38. DOI: 10.1016/0748-5514(85)90026-1
[5] Day CP, James OF. Steatohepatitis: a tale of two "hits"?. Gastroenterology. 1998;114(4):842-5. DOI: 10.1016/S0016-5085(98)70599-2
[6] Day CP. Pathogenesis of steatohepatitis. Best Pract Res Clin Gastroenterol. 2002;16(5):663-78. DOI: 10.1053/bega.2002.0333
[7] Grattagliano I, Vendemiale G, Caraceni P, Domenicali M, Nardo B, Cavallari A, Trevisani F, Bernardi M, Altomare E. Starvation impairs antioxidant defense in fatty livers of rats fed a choline-deficient diet. J Nutr. 2000;130(9):2131-6.
[8] Czuczejko J, Zachara BA, Staubach-Topczewska E, Halota W, Kedziora J. Selenium, glutathione and glutathione peroxidases in blood of patients with chronic liver diseases. Acta Biochim Pol. 2003;50(4):1147-54.
[9] Aguilera MC, Mesa MD, Ramirez-Tortosa MC, Quiles JL, Gil A. Virgin olive and fish oils enhance the hepatic antioxidant defence system in atherosclerotic rabbits. Clin Nutr. 2003;22(4):379-84. DOI: 10.1016/S0261-5614(03)00038-4
[10] Sokol RJ, Twedt D, McKim JM Jr, Deveraux MW, Karrer FM, Kam I, Von Steigman G, Narkewicz MR, Bacon BR, Britton RS, Neuschwander Teri BA. Oxidant injury to hepatic mitochondria in patients with Wilson's disease and Bedlington terriers with copper toxicosis. Gastroenterology. 1994;107(6):1788-98.
[11] Reeves PG, Nielson FH, Fahey GC Jr. AIN-93 purified diets for laboratory rodents: final report of the American Institute of Nutrition ad hoc writing committee on the reformulation of the AIN-76A rodent diet. J Nutr. 1993;123(11):1939-51.
[12] Jayasekhar P, Mohanan PV, Rahinam K. Hepatoprotective activity of ethyl acetate extract of acacia catechu. Indian Journal of Pharmacology. 1997;29(6): 426-8.
[13] Chapman DG, Castillo R, Campbell JA. Evaluation of protein in food I: A method for the determination of protein and food efficiency ratio. Can J Biochem Physiol. 1959;37(5):679-86.
[14] Lopes-Virelia MF, Stone P, Ellis S, Colwell JA. Cholesterol determination in high-density lipoproteins separated by three different methods. Clin Chem. 1977;23(5):882-93.
[15] Friedewald WT, Levy RI, Fredrickson DS. Estimation of the concentration of low-density lipoprotein cholesterol in plasma, without use of the preparative ultracentrifuge. Clin Chem. 1972;18(6):499-502.
[16] Saravanan R, Pari L. Effect of a novel insulinotropic agent, succinic acid monoethyl ester, on lipids and lipoproteins levels in rats with streptozotocin-nicotinamide-induced type 2 diabetes. J Biosci. 2006;31(5):581-7. DOI: 10.1007/BF02708410
[17] Reitman S, Frankel S. A colormetric method for the determination of serum glutamic oxalocetic and glutamic pyruvic transaminases. Am J Clin Path. 1957;28(1): 56-63.
[18] Bancroft JD, Stevens A, editors. Theory and practice of histological techniques. 4th ed. New York: Churchill Livingstone; 1996
[19] Steel RGD, Torrie JH. Principles and Procedures of Statistics: a Biometrical Approach. 2nd ed. New York: McGraw-Hill; 1980.
[20] Hashimoto M, Kothary PC, Raper SE. Phenobarbital in comparison with carbon tetrachloride and phenobarbital-induced cirrhosis in rat liver regeneration. J Surg Res. 1999;81(2):164-9. DOI: 10.1006/jsre.1998.5424
[21] Augusti KT, Anuradha, Prabha SP, Smitha KB, Sudheesh M, George A, Joseph MC. Nutraceutical effects of garlic oil, its non polar fraction and a Ficus flavonoid as compared to vitamin E in CCl4 induced liver damage in rat. Indian J Exp Biol. 2005;43(5):437-44.
[22] Maurice DV, Jensen, LS, Tojo H. Comparison of fish meal and soybean meal in the prevention of fatty liver hemorrhagic syndrome in caged layers. Poult Sci. 1979;58:864-70.
[23] Schuman BE, Squires EJ, Lecson S. Effect of dietary flaxseed, flax oil and n-3 fatty acid supplement on hepatic and plasma characteristics relevant to fatty liver haemorrhagic syndrome in laying hens. Br Poult Sci. 2000;41(4):465-72. DOI: 10.1080/713654970
[24] Alwayn IP, Gura K, Nosé V, Zausche B, Javid P, Garza J, Verbesey J, Voss S, Ollero M, Andersson C, Bistrian B, Folkman J, Puder M. Omega-3 fatty acid supplementation prevents hepatic steatosis in a murine model of nonalcoholic fatty liver disease. Pediatr Res. 2005;57(3):445-51. DOI: 10.1203/01.PDR.0000153672.43030.75
[25] Cohen SL, Moore AM, Ward WE. Flaxseed oil and inflammation associated bone abnormalities in interleukin-10 knockout mice. J Nutr Biochem. 2005;16(6):368-74. DOI: 10.1016/j.jnutbio.2005.01.008
[26] De La Puerta Vázquez R, Martínez-Domínguez E, Sánchez Perona J, Ruiz-Gutiérrez V. Effects of different dietary oils on inflammatory mediator generation of fatty acid composition in rat neutrophils. Metabolism. 2004;53(1):59-65. DOI: 10.1016/j.metabol.2003.08.010
[27] Perona JS, Cabello-Moruno P, Ruiz-Gutierrez, V. The role of virgin olive oil components in the modulation of endothelial function. J Nutr Biochem. 2006;17(7): 429-45. DOI: 10.1016/j.jnutbio.2005.11.007
[28] Garrett RH, Grisham CM. Biochemistry. 2nd ed. Fort Worth: Saunders College Publishing; 1999.
[29] Morise A, Sérougne C, Gripois D, Blouquit MF, Lutton C, Hermier D. Effects of dietary alpha linolenic acid on cholesterol metabolism in male and female hamsters of the LPN strain. J Nutr Biochem. 2004;15(1):51-61. DOI: 10.1016/j.jnutbio.2003.10.002
[30] Fan JG, Zhong L, Xu ZJ, Tia LY, Ding XD, Li MS, Wang GL. Effects of low-calorie diet on steatohepatitis in rats with obesity and hyperlipidemia. World J Gastroenterol. 2003;9(9):2045-9.
[31] Feoli AM, Roehrig C, Rotta LN, Kruger AH, Souza, KB, Kesseler AM, Renz SV, Brusque AM, Souza DO, Perry ML. Serum and liver lipids in rats and chicks fed with diet containing different oils. Nutrition. 2003;19(9):789-93. DOI: 10.1016/S0899-9007(03)00106-0
[32] Park Y, Harris WS. Omega-3 fatty acid supplementation accelerates chylomicron triglyceride clearance. J Lipid Res. 2003;44(3):455-63. DOI: 10.1194/jlr.M200282-JLR200
[33] Hussein O, Grosovski M, Lasri E, Svalb S, Ravid U Assy N. Monounsaturated fat decreases hepatic lipid content in non-alcoholic fatty liver disease in rats. World J Gastroenterol. 2007;13(3):361-8.
[34] Abdel-Moemin AR. To investigate the antioxidant properties of dietary flavonoids in human metabolism [dissertation]. Belfast: The Queen's University; 2004.
[35] Oomah BD, Kenaschuk EO, Mazza G. Tocopherols in Flaxseed. J Agric Food Chem. 1997;45(6):2076-80. DOI: 10.1021/jf960735g
[36] Blake S. Vitamins and Minerals Demystified: a self-teaching guide. New York: McGraw-Hill Professional; 2007. p. 121. Available from: http://books.google.co.uk/books?id=XV5CXubFZw8C&printsec=frontcover&source=gbs_summary_r&cad=0
[37] Calfee-Mason KG, Spear BT, Glauert HP. Vitamin E inhibits hepatic NF-kappaB activation in rats administered the hepatic tumor promoter, phenobarbital. J Nutr. 2002;132(10):3178-85.
[38] Young TH, Tang HS, Chao YC, Lee HS, Hsiong CH, Pao LH, Hu OY. Quantitative rat liver function test by galactose single point method. Lab Anim. 2008;42(4):495-504. DOI: 10.1258/la.2007.06040e
[39] Abdel-Moemin AR, Mahamoud EM, Ghalab EM, Abdel-Rahman MK. The potential effect of some dairy products on liver functions, immunity and intestinal microbiota in rats. Agricultura Sci J. 2008;6:30-7.
[40] Al-Wabel NA, Mousa HM, Omer OH, Abdel-Salam AM. Biological evaluation of synbiotic fermented milk against lead acetate contamination in rats. Int J food agriculture environ. 2007;5(3-4):169-72. Available from: http://www.world-food.net/scientficjournal/2007/issue3/pdf/food/f35.pdf
[41] Cengiz N, Özbek H, Him A. Hepatoprotective Effects of Pimpinella anisum Seed Extract in Rats. Pharmacologyonline. 2008;3:870-4. Available from: http://www.unisa.it/download/1966_10305_1404767428_89_Ozbek.pdf
[42] Sánchez O, Viladrich M, Ramírez I, Soley M. Liver injury after an aggressive encounter in male mice. Am J Physiol Regul Integr Comp Physiol. 2007;293(5):R1908-16. DOI: 10.1152/ajpregu.00113.2007
[43] Mansour MA. Protective effect of thymoquinone and desferrioxamine against hepatotoxicity of carbon tetrachloride in mice. Life Sci. 2000;66(26):2583-91. DOI: 10.1016/S0024-3205(00)00592-0
[44] Abdel-Moemin AR, Abdel-Rahman MK, Mokabel E, Mahmoud EM. Is there a relationship between the types of oil consumed and brain and serum lipid profile of hyperlipidemic rats? The New Egypt J Med. 2008;39(4): 383-90.
[45] Eitenmiller RR, Lee J. Vitamin E: Food Chemistry, Composition, and Analysis. New York: Dekker; 2004. p. 50. Available from: http://books.google.com/books?id=WhNG3uLkqtwC&dq=Vitamin+E:+food+chemistry,+composition,+and+analysis&printsec=frontcover&source=bn&hl=en&ei=0DkJSv_LLc-W_Ab52-2LCw&sa=X&oi=book_result&ct=result&resnum=5




