Less invasive causal treatment of ejaculatory duct obstruction by balloon dilation: a case report, literature review and suggestion of a CT- or MRI-guided intervention
Ole Kayser 1Daniar Osmonov 2
Jonas Harde 3
Guido Girolami 1
Thilo Wedel 3
Philipp Schäfer 1
1 Department of Radiology, University Hospital Schleswig-Holstein, Kiel, Germany
2 Department of Urology, University Hospital Schleswig-Holstein, Kiel, Germany
3 Anatomical Institute, University Hospital Schleswig-Holstein, Kiel, Germany
Abstract
Uni- or bilateral ejaculatory duct obstruction (EDO) is a rare but correctable cause of infertility, chronic pelvic pain and postejaculatory pain.
EDO is a congenital or acquired condition, it is the underlying cause of infertility in approximately 5% of infertile men. If acquired, the etiology often remains unresolved, but prostatitis or urethritis with post-inflammatory adhesion of the duct walls seems to be a common underlying pathomechanism.
Although a certain constellation of physicochemical semen parameters may lead to correct diagnosis, EDO often resembles a diagnosis by exclusion. Imaging of acquired EDO remains a challenge and the established surgical therapy, transurethral resection of the ejaculatory ducts (TURED), leads to a low rate of natural conception and a high rate of complications such as reflux of urine and epididymitis.
We present a case of a male with suspected EDO who underwent a combined approach to both, semi-invasive diagnosis and therapy by transrectal puncture of the seminal vesicles and antegrade balloon-dilation of the ejaculatory ducts. Possibilities and pitfalls of this procedure are described and the literature is reviewed.
Furthermore, we suggest a CT- or MRI-guided, percutaneous intervention for treatment of ejaculatory duct obstruction by balloon dilation and demonstrate initial steps of this procedure with a body donor. We call this new procedure PTED (percutaneous transgluteal ejaculatory ductoplasty).
Keywords
ejaculatory duct, EDO, ejaculatory duct obstruction, TURED, resection of the ejaculatory duct, balloon dilation, CT, transgluteal
Introduction
Stenosis or obstruction as the underlying cause of malfunction or disease is a recurring theme in medicine. Obstruction of the common bile duct, ducts of salivary or lacrimal glands, fallopian tube and vascular occlusion are common examples.
The distal ends of the vas deferens merge with the outlets of the seminal vesicles to form the ejaculatory ducts, which pass obliquely through the prostate to open on either side of the verumontanum at the apex of the prostate. Ejaculatory duct obstruction (EDO) is an uncommon but correctable cause of infertility, chronic pelvic pain and postejaculatory pain [1], [2], [3], [4].
It may lead to psychosocial impairment [5]. EDO is a congenital or acquired condition, it is described to be the underlying cause of infertility in approximately 5% of infertile men. If acquired, prostatitis seems to be a common underlying pathomechanism [6], [7].
EDO is a mismatch between the pressure that is exerted by the smooth muscles of the seminal vesicle wall and the pelvic muscles on the one hand and the pressure that is required to transport the viscous seminal fluid through the ejaculatory duct on the other hand.
In complete and bilateral obstruction, affected men present with a typical constellation of semen parameters (low volume semen, low fructose-level, low pH, high level of zink, low level of alpha-Glucosidase, azoospermia or oligozoospermia).
This typical pattern of physicochemical parameters in seminal fluid and a relatively fluid, low volume semen is a logical consequence of the missing constituents originating from the testis, epididymis and seminal vesicles [8].
In complete and bilateral obstruction of the ejaculatory ducts, seminal plasma, if any, is only comprised of the secretion of the accessory bulbourethral glands (Cowper glands) and secretion of the prostate.
However, since EDO may be partial on both ducts or only one of the two ducts may be affected, chemical analysis of seminal plasma is not specific for EDO.
Imaging of EDO remains a challenge [4], [9], [10], [11]. In short, transrectal ultrasound (TRUS) is presently the standard imaging modality and serves well to rule-out müllerian duct cysts and other congenital anomalies such as absent seminal vesicles. Magnetic resonance tomography with an endorectal coil performs equally well. However, the resolution of both imaging modalities is not sufficient to observe the status of the ejaculatory ducts directly.
Although the observation of dilated seminal vesicles was reported to be another indirect sign leading towards the diagnosis of EDO, it is not specific.
Thus, functional imaging-based tests are necessary to demonstrate a partial or complete obstruction of one or both ejaculatory ducts. In favor of transrectal or transcutaneous fluoroscopic vesiculography, in our opinion the fine-needle vasography [12] is less suited, because the vas deferens is injured which may lead to scarring and subsequent obstruction caused by vasography.
Furthermore, transrectal seminal vesicle aspiration with succeeding sperm-count serves as another diagnostic criterion for EDO [13]. Recently, manometry was combined with transrectal fluoroscopic vesiculography to diagnose partial EDO [14].
The standard therapeutic approach to EDO is transurethral resection of the ejaculatory ducts (TURED). This procedure includes the resection of the membrane-like valve at the urethral orifices of the ejaculatory ducts, which are thought to serve as a barrier against reflux of urine into the seminal vesicles. Only 20% of patients who underwent TURED are able to initiate pregnancy of their partners by natural conception and semen quality is often impaired by reflux of urine into the seminal vesicles. Another complication of TURED is recurrent epididymitis [15], [16], [17].
Thus, in practice, TESE in combination with in-vitro fertilisation (IVF) often remains the recommended therapy for infertility caused by EDO, although it is not a causal therapy. Furthermore, with IVF, the main part of treatment is transferred to the (originally not affected) partner.
Jarow et al. have demonstrated the feasibililty of transrectal balloon dilation of the ejaculatory ducts [18], [19]. However, there are no reports on this procedure by other groups. Thus, we wanted to confirm the results published by Jarow et al.
In addition, we suggest CT- or MRI-guided percutaneous, transgluteal balloon dilation of the ejaculatory ducts (PTED) as a new, less-invasive treatment option for EDO.
The idea of this procedure is to establish an antegrade through-and-through access to the penile urethra by percutaneous, transischiorectal insertion of a cannula into the seminal vesicle over which a guidewire and a steering catheter are inserted into the seminal vesicle. The guide-wire is then advanced through the ejaculatory duct into the urethra. Subsequently, a balloon-catheter could be inserted over the guide-wire for dilation of the ejaculatory duct in a retrograde, transurethral fashion.
Case description
Approval by the local ethical review board was granted to perform the previously published transrectal procedure in patients with EDO [19]. One 35-year-old patient with dry ejaculation, normal blood parameters, hormone serum levels within reference range, normal TRUS-findings and unremarkable MRI-evaluation who did not want to undergo TURED was included for treatment of infertility. He reported to have fathered two childs 7 and 10 years earlier and reported the onset of decreasing volume of semen several years ago with no linkage to a particular event. He described to feel normal orgasmic sensations and muscle contractions and no pelvic pain. Retrograde ejaculation was ruled out by analysis of urine sediment. Informed consent was obtained from the patient and an insurance for the clinical study was filed.
TRUS- and fluoroscopy-guided transrectal and transurethral procedure, performed on patient
The procedure was performed similar as published previously [19].
A 17 French rigid panendoscope (Karl Storz, Tuttlingen, Germany) was placed into the penile urethra to observe the orifices of the ejaculatory ducts at the verumontanum. A PTFE Guidewire was advanced through the working channel for retrograde intubation of the ejaculatory ducts.
Under guidance of a 12 Mhz transrectal biplane ultrasound probe (B+K Medical, Peabody, MA, USA), a 17 gauge needle was transrectally inserted into the seminal vesicle through the sterile needle guide of the rectal ultrasound-probe, as commonly used for transrectal biopsy of the prostate.
Position was confirmed by aspiration and injection of a small amount of iodinated contrast agent (Imeron 300, Bracco, Konstanz, Germany) under fluoroscopic guidance (Philips Urodiagnost, Hamburg, Germany).
A 0.035 J-Tip PTFE Guidewire (Cordis, Warren, USA) was inserted through the needle, the coiling of the guidwire within the seminal vesicle was confirmed by fluoroscopy. The needle was removed and a 4 french multipurpose-catheter (Cordis) was advanced into the seminal vesicle over the guidewire. The guidewire was exchanged for a 0.035 inch Glidewire (Terumo, Somerset, NJ, USA).
The procedure was modified with a 4 french cobra catheter (Cordis) and/or a 0.018 inch hydrophilic, straight-tip guidewire (Boston Scientific, Natick, NA, USA). The procedure was repeated for the contralateral vesicle.
The patient received perioperative antibiotics (200 mg Ciprofloxacin and 0.5 g Metronidazol i.v. during intervention and 0.5 g Metronidazol i.v. 4 h post-intervention as well as 500 mg Ciprofloxacin tablets once daily and 400 mg metronidazol tablets twice daily for 3 days post-intervention).
Result
We did not achieve to probe the orifices of the ejaculatory ducts in a transurethral, retrograde fashion via the panendoscope, because it was impossible to identify their urethral orifices on the verumontanum. This is in accordance with previous reports [18]. Furthermore, the orifices may be scarred in patients with EDO and thus inaccessible to a retrograde approach.
Although it was not difficult to place a guidewire within the seminal vesicles through a needle via a transrectal access (Figure 1 [Fig. 1], Figure 2 [Fig. 2]), it was especially difficult to apply sufficient pressure to insert the angiographic catheter over the guide-wire into the seminal vesicle. Instead, the catheter tended to coil within the lumen of the rectum.
Figure 1: Transrectal injection of contrast-agent into the right seminal vesicle confirms correct location of needle. Fluoroscopy.
Figure 2: Subsequent to transrectal insertion of a guide-wire into the right seminal vesicle, it was directed towards the infundibulum of the seminal vesicle/into the direction of the ejaculatory ducts, but could not be further advanced. Fluoroscopy.
Although the seminal vesicles were easily detectable by injection of contrast-agent, it was not possible to reliably observe contrast-agent within the prostatic urethra by fluoroscopy. However, the vesicles did not remarkably enlarge either and there was a visible flow of fluid within the urethra detected by TRUS, leading to the diagnosis of partial rather than complete EDO. Alternatively, in accordance to the concept of a mismatch of required pressure and available pressure, a lack of available pressure, i.e. neural or muscular impairment of contractions during orgasm may have been the cause of dry ejaculation in this particular patient.
The patient was discharged home the next day and made an unremarkable recovery.
CT- guided transgluteal procedure, performed on body donor
One male body donor (74 years) was obtained from the anatomical institute. Transports between institutes were carried out by a funeral parlor.
The corpse was placed in lateral position on a multidetector CT (Somatom 64, Siemens, Germany). After acquisition of a spiral-CT for planning, a 20 cm, 20 gauge, Chiba needle (US Biopsy LLC, Franklin, IN, USA) was transgluteally advanced into the seminal vesicle. The path of the needle was observed by subsequent acquisitions of few CT-slices. A 0.035 J-Tip PTFE Guidewire (Cordis, Warren, USA) was inserted through the needle, the coiling of the guidwire within the seminal vesicle was confirmed by CT. The Chiba needle was exchanged for a standard angiographic catheter sheath (11 cm) for a 4F catheter (Cordis, Warren, USA) and the guidewire was removed. A 4F multipurpose-catheter (Cordis) was introduced into the seminal vesicle, and a 0.035 inch Glidewire (Terumo, Somerset, NJ, USA) was used to probe the ejaculatory duct. 1:10 saline-diluted contrast agent (Imeron 250, Bracco, Konstanz, Germany) was injected to confirm intravesicular position.
Subsequent CT-Scans were used to monitor the position of the instruments. The procedure was repeated for the contralateral seminal vesicle.
Result
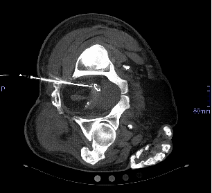
Needle, guidewire, sheath and catheter could all be placed into the seminal vesicle as demonstrated by CT-Imaging (Figure 3 [Fig. 3]). The guidewire coiled within the lumen of the seminal vesicle and we did not achieve to steer the guidewire through the ejaculatory duct to achieve a through-and-through access to the penile urethra. Therefore, we were not able to proceed to insertion of a balloon-catheter over the guidewire in a subsequent retrograde approach.
Figure 3: A 17 mm maximum intensity projection of a CT-Scan shows a guide-wire coiled within the lumen of the right seminal vesicle and an angiographic catheter sheath inserted into the seminal vesicle.
Discussion
It was previously stated, that a retrograde approach to insert a guidewire into the seminal vesicles is difficult, if not impossible due to the tiny and potentially scarred urethral orifices of the ejaculatory ducts [18]. The openings are usually covered by a thin membrane which is thought to serve as a valve to inhibit reflux of urine [18]. Recently, it was reported, that retrograde vesiculoscopy with an ureteroscope is possible [20]. However, the investigators state that they had to resect the verumonatum to insert the vesiculoscope.
Likewise, we were not able to identify or insert a guidewire into the urethral orifices of the ejaculatory ducts in a transurethral, i.e. retrograde approach.
In contrast to TURED, balloon dilation of the ejaculatory ducts could also treat proximal obstruction of the ejaculatory duct, since it is not necessary to resect prostatic tissue close to the prostatic capsule, which imposes a high risk of injury to the periprostatic neurovascular bundles and thus a risk of erectile dysfunction and incontinence [18].
The valve-like membrane at the orifices of the ejaculatory ducts can be conserved by balloon dilation [19], typical complications of TURED such as urinary reflux and thus epididymitis, low semen quality and low rate of pregnancy [17] may be avoided.
Thus, balloon dilation is a promising alternative for the causal treatment of EDO.
In a previous experiment, we were able to advance a hydrophilic terumo glidewire (0.035 inch) through the ejaculatory ducts into the prostatic urethra in a prostatectomy-specimen under fluoroscopic guidance (not shown).
Our approach to repeat the transrectal, antegrade procedure of Jarow et al. [18], [19] demonstrates, that the procedure may, although possible, not be quite straightforward.
To avoid a coiling of the catheter within the lumen of the rectum, followers should use a microcatheter which fits into the lumen of the hollow needle used for puncture of the seminal vesicles such that not only the guidewire but both, guidewire and catheter are inserted into the seminal vesicle via the needle.
A device to guide the catheter and guidewire in a curved angle of approximately 150° within the lumen of the rectum such that the guidewire and catheter already enter the seminal vesicle in the correct direction of the ejaculatory ducts would be of great benefit. The same device or a curved working channel of a TRUS probe should also circumvent the coiling of the catheter within the lumen of the rectum and enable better transmission of force to insert the guidewire and catheter into the infundibulum of the seminal vesicle and to overcome obstructions of the ejaculatory ducts.
Transgluteal access provides some advantage over transrectal/endorectal access: 1. Lower risk of urogenital infection and/or fistulas between the rectum and seminal vesicles caused by intestinal bacteria. 2. The instruments could be inserted almost straightforward into the ejaculatory ducts, it is not necessary to overcome an angle of approx. 150° as with the transrectal access. 3. Better guidance by the catheter-sheath and surrounding pararectal tissue, thus a better transmission of force to overcome ejaculatory duct obstructions.
Because the needles are inserted through the the gluteal and ischiorectal space fat (Figure 4 [Fig. 4]), the risk of bleeding is minimized. In theory, the periprostatic venous- and nerve plexus [21] as well as branches of the internal pudendal artery and the inferior rectal artery within the periprostatic and pararectal fat could be injured. However, 130 patients who received even multiple needles through the posterior ischiorectal space for brachytherapy of prostate cancer had no complications due to hemorrhage [22].
Figure 4: Anatomical preparation of the transcutaneous course of puncture to the seminal vesicles used for the CT- or MR- guided balloon dilation of the ejaculatory ducts. UB (urinary bladder), SN (sciatic nerve), U (ureter), VD (vas deferens), SV (seminal vesicle), R (rectum), LAM (levator ani muscle), STL (sacrotuberal ligament), PN (pudendal nerve), IAF (ischioanal fossa), EAS (external anal sphincter).
It was previously demonstrated that transgluteal, transischiorectal CT-guided puncture of the seminal vesicles is feasible for brachytherapy of prostate cancer. None of 37 patients had complications accredited to the interventional procedure [23].
Prior to treatment, the percuteaneous intervention could be supplemented by diagnostic measures such as seminal vesicle aspiration for microscopy [13], injection of contrast-agent to refute patency and manometry [14].
Although it was no effort to place a guidewire and catheter within the seminal vesicle via a transcutaneous, transgluteal pathway, we did not manage to advance the guidewire further into the ejaculatory ducts due to a lack of realtime imaging resources for better visual guidance for steering of the guidewire and catheter.
In theory, one could apply CT-flouroscopy for this purpose, however, since the gonadal region of relatively young patients would be exposed to a relatively high radiation dose, this kind of realtime visual guidance would be inappropriate for the purpose of assisted reproduction.
The most promising imaging modality to guide balloon dilation of the ejaculatory ducts is magnetic resonance imaging, since it is already used to guide transrectal and transgluteal biopsies of the prostate [24], [25] and does not entail ionizing radiation.
Another suitable modality for image-guided interventions is C-arm-CT [26], [27], which provides a combination of CT (for puncture) and conventional fluoroscopy (for real-time visual guidance of the catheter and guide-wire). Thus, relocation of the patient from the CT-Scanner into the angiographic theatre would be unessential.
After CT-guided placement of a guide-wire into the seminal vesicles, the procedure might even be completed with image guidance by transabdominal ultrasound or TRUS.
Conclusions
Less-invasive, causal treatment of EDO by balloon dilation should be further evaluated in an interdisciplinary fashion by both, urologists and radiologists. Although this case report describes a partially unsuccessful treatment, we were able to diagnose the patency of the ejaculatory ducts by a minimally invasive, well tolerated procedure. We are further enrolling patients in the setting of a clinical study to investigate the outcome and success-rate of transrectal, antegrade recanalisation of the ejaculatory ducts and to verify the feasibility of the previously-published procedure.
Percutaneous, transgluteal, transischiorectal, image-guided ejaculatory ductoplasty (PTED) may be another promising new, less-invasive, causal treatment-option for EDO. Modern realtime imaging ressources such as C-arm-CT or MRI for better guidance of the guide wire and catheter should be conducive to this intervention and we encourage hospitals and research groups, which are accordingly equipped, to contribute to the field.
Abbreviations
ED: Ejaculatory duct
EDO: Ejaculatory duct obstruction
TRUS: Transrectal ultrasound
TURED: Transurethral resection of the ejaculatory duct
MRI: Magnetic Resonance Imaging
CT: Computed Tomography
US: Ultrasound
PTED: Percutaneous transgluteal ejaculatory ductoplasty
Notes
Competing interests
The authors declare that they have no competing interests.
Acknowledgement
We thank M. Heller for all kinds of support and G. Morvan for technical support.
References
[1] Cornud F, Belin X, Delafontaine D, Amar T, Hélénon O, Moreau JF. Imaging of obstructive azoospermia. Eur Radiol. 1997;7(7):1079-85. DOI: 10.1007/s003300050258[2] Schaeffer AJ. Etiology and management of chronic pelvic pain syndrome in men. Urology. 2004 Mar;63(3 Suppl 1):75-84. DOI: 10.1016/j.urology.2003.11.002
[3] Nadler RB, Rubenstein JN. Laparoscopic excision of a seminal vesicle for the chronic pelvic pain syndrome. J Urol. 2001 Dec;166(6):2293-4. DOI: 10.1016/S0022-5347(05)65554-1
[4] Purohit RS, Wu DS, Shinohara K, Turek PJ. A prospective comparison of 3 diagnostic methods to evaluate ejaculatory duct obstruction. J Urol. 2004 Jan;171(1):232-6. DOI: 10.1097/01.ju.0000101909.70651.d1
[5] Brannigan RE. Ejaculatory disorders and lower urinary tract symptoms. Curr Urol Rep. 2004 Aug;5(4):280-6. DOI: 10.1007/s11934-004-0051-5
[6] Shlegel P. Management of ejaculatory duct obstruction. St. Louis: Mosby-Year Book; 1997.
[7] Pryor JP, Hendry WF. Ejaculatory duct obstruction in subfertile males: analysis of 87 patients. Fertil Steril. 1991 Oct;56(4):725-30.
[8] Zöpfgen A, Priem F, Sudhoff F, Jung K, Lenk S, Loening SA, Sinha P. Relationship between semen quality and the seminal plasma components carnitine, alpha-glucosidase, fructose, citrate and granulocyte elastase in infertile men compared with a normal population. Hum Reprod. 2000;15(4):840–5. DOI: 10.1093/humrep/15.4.840
[9] Simpson WL Jr, Rausch DR. Imaging of male infertility: pictorial review. AJR Am J Roentgenol. 2009 Jun;192(6 Suppl):S98-107.
[10] Engin G, Kadioğlu A, Orhan I, Akdöl S, Rozanes I. Transrectal US and endorectal MR imaging in partial and complete obstruction of the seminal duct system. A comparative study. Acta Radiol. 2000 May;41(3):288-95. DOI: 10.1080/028418500127345271
[11] Onur MR, Orhan I, Firdolas F, Onur R, Kocakoç E. Clinical and radiological evaluation of ejaculatory duct obstruction. Arch Androl. 2007 Jul-Aug;53(4):179-86. DOI: 10.1080/01485010701426448
[12] Zhao LY, Tu XA, Xiang Y, Sun XZ, Deng CH. Was fine-needle vasography an obsolete diagnostic method to evaluate ejaculatory duct obstruction? Report of 37 cases. Urol Int. 2010;85(2):186-93. DOI: 10.1159/000315055
[13] Jarow JP. Seminal vesicle aspiration in the management of patients with ejaculatory duct obstruction. J Urol. 1994 Sep;152(3):899-901.
[14] Eisenberg ML, Walsh TJ, Garcia MM, Shinohara K, Turek PJ. Ejaculatory duct manometry in normal men and in patients with ejaculatory duct obstruction. J Urol. 2008 Jul;180(1):255-60. DOI: 10.1016/j.juro.2008.03.019
[15] Vazquez-Levin MH, Dressler KP, Nagler HM. Urine contamination of seminal fluid after transurethral resection of the ejaculatory ducts. J Urol. 1994 Dec;152(6 Pt 1):2049-52.
[16] Netto NR Jr, Esteves SC, Neves PA. Transurethral resection of partially obstructed ejaculatory ducts: seminal parameters and pregnancy outcomes according to the etiology of obstruction. J Urol. 1998 Jun;159(6):2048-53. DOI: 10.1016/S0022-5347(01)63243-9
[17] Schroeder-Printzen I, Ludwig M, Köhn F, Weidner W. Surgical therapy in infertile men with ejaculatory duct obstruction: technique and outcome of a standardized surgical approach. Hum Reprod. 2000 Jun;15(6):1364-8. DOI: 10.1093/humrep/15.6.1364
[18] Jarow JP, Zagoria RJ. Antegrade ejaculatory duct recanalization and dilation. Urology. 1995 Nov;46(5):743-6. DOI: 10.1016/S0090-4295(99)80316-1
[19] Lawler LP, Cosin O, Jarow JP, Kim HS. Transrectal US-guided seminal vesiculography and ejaculatory duct recanalization and balloon dilation for treatment of chronic pelvic pain. J Vasc Interv Radiol. 2006 Jan;17(1):169-73. DOI: 10.1097/01.RVI.0000186956.00155.26
[20] Liu ZY, Sun YH, Xu CL, Hou JG, Gao X, Lu X, Ye HM, Wang LH, Gao XF. Transurethral seminal vesiculoscopy in the diagnosis and treatment of persistent or recurrent hemospermia: a single-institution experience. Asian J Androl. 2009 Sep;11(5):566-70. DOI: 10.1038/aja.2009.47
[21] Alsaid B, Bessede T, Diallo D, Moszkowicz D, Karam I, Benoit G, Droupy S. Division of autonomic nerves within the neurovascular bundles distally into corpora cavernosa and corpus spongiosum components: immunohistochemical confirmation with three-dimensional reconstruction. Eur Urol. 2011 Jun;59(6):902-9. DOI: 10.1016/j.eururo.2011.02.031
[22] Koutrouvelis PG. Three-dimensional stereotactic posterior ischiorectal space computerized tomography guided brachytherapy of prostate cancer: a preliminary report. J Urol. 1998 Jan;159(1):142-5. DOI: 10.1016/S0022-5347(01)64037-0
[23] Koutrouvelis P, Lailas N, Hendricks F, Gil-Montero G, Sehn J, Katz S. Three-dimensional computed tomography-guided monotherapeutic pararectal brachytherapy of prostate cancer with seminal vesicle invasion. Radiother Oncol. 2001 Jul;60(1):31-5. DOI: 10.1016/S0167-8140(01)00372-3
[24] Bonekamp D, Jacobs MA, El-Khouli R, Stoianovici D, Macura KJ. Advancements in MR imaging of the prostate: from diagnosis to interventions. Radiographics. 2011 May-Jun;31(3):677-703. DOI: 10.1148/rg.313105139
[25] Zangos S, Eichler K, Thalhammer A, Mack MG, Marquardt F, Vogl TJ. Aktueller Stand der MR-gesteuerten Prostata-Interventionen [MR-guided interventions of the prostate gland: a literature review]. Rofo. 2010 Nov;182(11):947-53. DOI: 10.1055/s-0029-1245627
[26] Becker HC, Meissner O, Waggershauser T. C-Bogen-CT-unterstutzte 3D-Navigation perkutaner Interventionen [C-arm CT-guided 3D navigation of percutaneous interventions]. Radiologe. 2009 Sep;49(9):852-5. DOI: 10.1007/s00117-009-1866-3
[27] Meyer BC, Frericks BB, Voges M, Borchert M, Martus P, Justiz J, Wolf KJ, Wacker FK. Visualization of hypervascular liver lesions During TACE: comparison of angiographic C-arm CT and MDCT. AJR Am J Roentgenol. 2008 Apr;190(4):W263-9.



