Invasion of HEp-2 cells by Shigella spp. isolated from acute pediatric diarrhea
Sajjad Omidi 1Mohammad Mehdi Soltan Dallal 2,3
Abolfazle Davoodabadi 4
Ramin Mazaheri Nezhad Fard 2
Marayam Usefi 5
Ronak Bakhtiari 1
1 Division of Microbiology, Department of Pathobiology, School of Public Health, Tehran University of Medical Sciences, Tehran, Iran
2 Division of Food Microbiology, Department of Pathobiology, School of Public Health, Tehran University of Medical Sciences, Tehran, Iran
3 Food Microbiology Research Center, Tehran University of Medical Sciences, Tehran, Iran
4 Department of Microbiology, Medical School, Babol University of Medical Science, Babol, Iran
5 Department of Virology, School of Public Health, Tehran University of Medical Sciences, Tehran, Iran
Abstract
Aim: Shigella infection is an important global health problem in developing countries where hygiene is poor and hence shigellosis is a main cause of diarrhoea-associated mortality and morbidity, particularly in children under the age of five. The bacterial entry into colon and rectal epithelial cells has been named ‘bacterium-directed phagocytosis’. This term highlights that the bacteria actively stimulate their own uptake into non-professional phagocytes. The aim of this study was to demonstrate the invasion of HEp-2 cells by Shigella spp. isolated from acute pediatric diarrhea in Tehran, Iran.
Methods: Three-hundred and ten non-duplicative diarrheal stool samples were collected from the children admitted to Children’s Medical Center in Tehran, Iran. Samples were cultured and suspected colonies were identified by routine microbiological and biochemical tests. The invasion of the two isolated Shigella spp. to HEp-2 cells was studied.
Results: Of 310 stool samples, 16 (5.2%) Shigella spp. were isolated, including seven (43.7%) S. sonnei and nine (56.3%) S. flexneri. Four (44.4%) S. sonnei and seven (42.8%) S. flexneri showed invasive phenotype to HEp-2.
Conclusion: Shigella sonnei and S. flexneri are reported as the most prevalent Shigella spp. in nature which infect humans. Invasion of various cell lines gives the chance of survival to Shigella spp. This ability causes more virulent infections in the host. Despite costly and time consuming cell culture techniques, the current method described in this paper is reliable for detecting invasive behavior of Shigella spp. Results have also shown that not all the Shigella spp. are able to invade intestinal epithelial cells.
Keywords
cell invasion, cell culture, diarrhea, Shigella spp., HEp-2
Introduction
Shigella infection or shigellosis is a significant global health problem in developing countries where hygiene is poor. Shigellosis is a main cause of diarrhoea-associated mortality and morbidity, particularly in under five-year-old children [1]. Shigella spp. are categorized in four serogroups, including S. dysenteriae (serogroup A), S. flexneri (serogroup B), S. boydii (serogroup C) and S. sonnei (serogroup D). The bacteria are responsible for causing gastroenteritis in the host that may progress to mucoid bloody diarrhea, known as bacillary dysentery [2]. Shigella flexneri and S. sonnei have been described as the most common causes of shigellosis in tropical areas. Furthermore, S. sonnei is mainly isolated in developed countries. Recently, it has been estimated that 91 million cases of Shigella infections occur every year. In Asia, 410,000 children, commonly undernourished, die every year due to Shigella infections. Shigella spp. are transmitted through the fecal-oral route and enter the human body via the ingestion of contaminated food and water [3]. Shigella spp. cause bacillary dysentery in humans by invading epithelial cells of the colon. The bacterial entry into colon and rectal epithelial cells has been named ‘bacterium-directed phagocytosis’. This term describes that the bacteria actively stimulate non-professional phagocytes to engulf them. Bacterial invasion proteins IpaB, IpaC and IpaD are necessary for the process [4]. Shigella spp. have a large (100–140 MDa) plasmid, which is critical for their virulence and at least three chromosomal loci are required for the bacterial pathogenesis. The intracellular entry of Shigella spp. into the host cells is not passive and needs the expenditure of energy by the bacteria and their host cells. Following entry, Shigella quickly lyses phagosomal membrane and replicates in the host cell cytoplasm [5]. Bacteria move efficiently in infected cell cytoplasm by polymerization of actin at bacterial pole, which also allows formation of protrusions in cell membrane leading to invasion of adjacent cells [6]. The aim of the current study was to demonstrate invasion of HEp-2 cells by Shigella spp. isolated from acute pediatric diarrhea in Tehran, Iran.
Methods
Clinical samples and bacterial isolation
Three-hundred and ten non-duplicative diarrheal stool samples were collected from January to December 2015 from 0- to 12-year-old children (165 males and 145 females) admitted to Children’s Medical Center in Tehran, Iran. Suspected colonies were identified by routine microbiological and biochemical tests, including API-20E system kit (BioMerieux, France) and Shigella polyvalent agglutinating antisera (MAST, UK).
Cell culture adherence and penetration
HEp-2 cells were chosen because of their extensive use and accessibility. Shigella isolates were cultured in brain heart infusion (BHI) agar. HEp-2 cells were preserved in Dulbecco modified Eagle medium (DMEM) with 10% fetal calf serum (FCS). Confluent monolayers of 5.0×104–105 HEp-2 cells per ml were grown for 18 h in 6-well tissue plates at 37°C in humidified incubator containing 5% CO2. To infect HEp-2 cells, bacterial isolates were suspended in DMEM with 10% FCS without antibiotics to give a final concentration of approximately 5×105 cells per ml. One milliliter of this suspension was added to the monolayers. The infected monolayers were incubated for 2 h and then washed three times with 2 ml of phosphate buffered saline (PBS). For intracellular growth step, fresh DMEM containing 100 µg/ml of gentamicin was added to the monolayers and incubated for further 3 h and then washed three times with PBS. Cell monolayers were washed in PBS, fixed in a mixture of 3:1 methanol/acetic acid for 10 min and stained with Giemsa, then examined under an invert microscope. Invasion index (penetration to the cells) was recorded as 10–30 (1+), 30–70 (2+) and 70–100 (3+). S. flexneri ATCC 12022 and S. sonnei ATCC 9290 were used as positive and Escherichia coli K1 as negative control.
Results
Clinical samples and bacterial isolation
Of 310 stool samples from children with diarrhea, 16 (5.2%) Shigella spp. were isolated. Ten isolates were identified in male and six in female children. Slide agglutination test using monovalent antisera showed that seven (43.7%) S. sonnei and nine (56.3%) S. flexneri were identified out of the 16 positive samples. The mean age of the patients was six years with 165 (53.2%) male and 145 (46.7%) female participants. Nine (56.2%) strains were isolated from children in ages ranged from one month to two years and seven (43.7%) from those in ages from two to 12 years.
Cell culture adherence and penetration
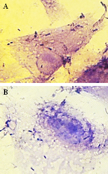
Four (44.4%) isolates of S. sonnei and seven (42.8%) isolates of S. flexneri showed invasive phenotype to HEp-2. Ability of Shigella isolates to invade HEp-2 cell monolayers was first assessed using microscopic examination of the monolayer and detection of Giemsa-stained intracellular bacteria. Invasion index (penetration in the cells) was recorded as 10–30 (1+), 30–70 (2+) and 70–100 (3+). After 2 h of incubation, Shigella isolates could invade cells, but replication in and destruction of the cells occurred after 3 h of incubation (Figure 1 [Fig. 1] and Figure 2 [Fig. 2]).
Figure 1: Gentamicin-HEp-2 cell invasion assay. Intracellular localization of S. sonnei (A) and S. flexneri (B) in HEp-2 cell monolayers after 2 hours
Figure 2: Gentamicin-HEp-2 cell invasion assay. Intracellular localization of S. sonnei (A) and S. flexneri (B) in HEp-2 cell monolayers after 3 hours
Discussion
Approximately 91 million people are infected by Shigella spp. worldwide each year [7]. It is well established that S. flexneri is the predominant bacterial isolate in developing countries; in contrast, S. sonnei is the most common bacterial isolate in developed countries [8]. There has been dramatic change in predominant bacterial strain in some Asian and African countries such as Bahrain, Iran, Thailand and Vietnam, in which S. flexneri predominance has shifted to S. sonnei predominance [9], [10], [11], [12], [13]. In the current study, 16 (5.2%) Shigella spp. were isolated from 310 non-duplicative stool samples, from which seven (43.7%) isolates included S. sonnei and nine (56.3%) isolates included S. flexneri. These results differ from the results by Eftekhari et al. [14]. In a study by Eftekhari et al., a total number of 32 (4.5%) Shigella spp. were recognized in 700 stool samples from patients with diarrhea in two provinces in Iran. S. sonnei (70.8%) and S. flexneri (62.5%) were the most prevalent species in Tehran and Khorasan Razavi Provinces, respectively [14]. However, the difference between the results of the two studies might be seen due to the sample size. However, the prevalence rates of Shigella spp. in both studies are relatively similar (5.2% compared to 4.5%).
Invasion of gastrointestinal epithelia is one of the major virulence mechanisms, by which Gram-negative bacteria cause diarrheal diseases [15]. A majority of enteric pathogens, including Shigella and Salmonella spp., have been shown to possess such mechanisms. These mechanisms can be reproduced in vitro by indicating the ability of virulent strains to invade mammalian cell lines such as HEp-2 or HeLa [16]. Although CHO cell line has been used to study the bacterial invasion, this cell line is sensitive to the effects of bacterial toxins. The susceptibility of CHO cells to toxins has made these cells inappropriate for the investigation of elongated bacterial infections [17]. Another cell line, Madin-Darby canine kidney (MDCK), seems more appropriate for the study, but is less susceptible to bacterial invasion [18]. A comparative study has shown that Henle 407 cell line is highly efficient in adherence and invasion of S. flexneri. Although HeLa cells are used to investigate invasion of Shigella spp., Henle 407 cells have been shown to be more efficient [19]. Research has shown that Shigella spp. degrade cell cultures in replication phase. Furthermore, attachment and invasion of Shigella spp. is inhibited by low concentration of IgA [20], [21], [22]. In the current study, Hep-2 cells were used to demonstrate the invasion of Shigella spp. Of 16 Shigella spp., four (44.4%) S. sonnei and seven (42.8%) S. flexneri isolates showed invasive phenotype to HEp-2 after 2 h of incubation. However, replication in and destruction of the cells occurred completely after 3 h. These results are relatively similar to those of a study by Soltan Dallal et al. in 2013 [23]. They isolated 36 (8.6%) Shigella spp. from 280 rectal swabs (140 dysentery and 140 watery diarrheal samples) and reported that 14 (38.8%) isolates demonstrated invasive phenotype to HEp-2. Previous studies have shown that it is essential to primarily grow the bacteria at 37°C for the optimal expression of invasion phenotype of S. flexneri on the HEp-2 cell line. Results from the current study have revealed the invasive ability of Shigella spp. and demonstrated that a 5-h incubation time is sufficient for complete destruction of the cell layers by Shigella spp.
Conclusions
Despite costly and time consuming cell culture techniques, the current described technique is a reliable technique for detecting invasive behavior of the Shigella spp. This study actually provides a good model for further studies on the invasive properties of these bacteria. In conclusion, although cell invasion is described as a common feature of the highlighted Shigella species as detected in a majority of the isolates within the current study, this feature was not detected in a minor portion of the total bacterial samples.
Notes
Acknowledgments
This work was supported by a Vice-Chancellor for Research grant (No. 23125), Tehran University of Medical Science, Tehran, Iran. We thank Children’s Medical Center in Tehran for providing bacterial isolates and related data for use in this study.
Competing interests
The authors declare that they have no competing interests.
References
[1] Mulatu G, Beyene G, Zeynudin A. Prevalence of Shigella, Salmonella and Campylobacter species and their susceptibility patters among under five children with diarrhea in Hawassa town, south Ethiopia. Ethiop J Health Sci. 2014 Apr;24(2):101-8.[2] Bassa A, Dadie A, Guessennd Ne, Gbonon V, Dako E, Dje M , Dosso M. Virulence Factors and Resistance Profile of Shigella Isolated During Infectious Diarrhea in Abidjan, Côte D’Ivoire. J Appl Sci Res. 2010;6(6):594–9.
[3] Joh RI, Hoekstra RM, Barzilay EJ, Bowen A, Mintz ED, Weiss H, Weitz JS. Dynamics of shigellosis epidemics: estimating individual-level transmission and reporting rates from national epidemiologic data sets. Am J Epidemiol. 2013 Oct;178(8):1319-26. DOI: 10.1093/aje/kwt122
[4] Adam PR, Dickenson NE, Greenwood JC 2nd, Picking WL, Picking WD. Influence of oligomerization state on the structural properties of invasion plasmid antigen B from Shigella flexneri in the presence and absence of phospholipid membranes. Proteins. 2014 Nov;82(11):3013-22. DOI: 10.1002/prot.24662
[5] Bongrand C, Sansonetti PJ, Parsot C. Characterization of the promoter, MxiE box and 5’ UTR of genes controlled by the activity of the type III secretion apparatus in Shigella flexneri. PLoS ONE. 2012;7(3):e32862. DOI: 10.1371/journal.pone.0032862
[6] Carayol N, Tran Van Nhieu G. The inside story of Shigella invasion of intestinal epithelial cells. Cold Spring Harb Perspect Med. 2013 Oct;3(10):a016717. DOI: 10.1101/cshperspect.a016717
[7] Soltan Dallal MM, Ranjbar R, Pourshafie MR. The study of antimicrobial resistance among Shigella flexneri strains isolated in Tehran, Iran. J Pediatr Infect Dis. 2011;6(2):125-9. DOI: 10.3233/JPI-2011-0307
[8] Kotloff KL, Nataro JP, Blackwelder WC, Nasrin D, Farag TH, Panchalingam S, Wu Y, Sow SO, Sur D, Breiman RF, Faruque AS, Zaidi AK, Saha D, Alonso PL, Tamboura B, Sanogo D, Onwuchekwa U, Manna B, Ramamurthy T, Kanungo S, Ochieng JB, Omore R, Oundo JO, Hossain A, Das SK, Ahmed S, Qureshi S, Quadri F, Adegbola RA, Antonio M, Hossain MJ, Akinsola A, Mandomando I, Nhampossa T, Acácio S, Biswas K, O’Reilly CE, Mintz ED, Berkeley LY, Muhsen K, Sommerfelt H, Robins-Browne RM, Levine MM. Burden and aetiology of diarrhoeal disease in infants and young children in developing countries (the Global Enteric Multicenter Study, GEMS): a prospective, case-control study. Lancet. 2013 Jul 20;382(9888):209-22. DOI: 10.1016/S0140-6736(13)60844-2
[9] Ashkenazi S, Levy I, Kazaronovski V, Samra Z. Growing antimicrobial resistance of Shigella isolates. J Antimicrob Chemother. 2003 Feb;51(2):427-9. DOI: 10.1093/jac/dkg080
[10] Vinh H, Nhu NT, Nga TV, Duy PT, Campbell JI, Hoang NV, Boni MF, My PV, Parry C, Nga TT, Van Minh P, Thuy CT, Diep TS, Phuong le T, Chinh MT, Loan HT, Tham NT, Lanh MN, Mong BL, Anh VT, Bay PV, Chau NV, Farrar J, Baker S. A changing picture of shigellosis in southern Vietnam: shifting species dominance, antimicrobial susceptibility and clinical presentation. BMC Infect Dis. 2009 Dec;9:204. DOI: 10.1186/1471-2334-9-204
[11] Jamsheer AE, Bindayna KM, Al-Balooshi NA, Botta GA. Trend of antibiotic resistance in 1316 Shigella strains isolated in Bahrain. Saudi Med J. 2003 Apr;24(4):424-6.
[12] Chompook P, Samosornsuk S, von Seidlein L, Jitsanguansuk S, Sirima N, Sudjai S, Mangjit P, Kim DR, Wheeler JG, Todd J, Lee H, Ali M, Clemens J, Tapchaisri P, Chaicumpa W. Estimating the burden of shigellosis in Thailand: 36-month population-based surveillance study. Bull World Health Organ. 2005 Oct;83(10):739-46. DOI: /S0042-96862005001000010
[13] Ranjbar R, Soltan-Dallal MM, Pourshafie MR, Mammina C. Antibiotic resistance among Shigella serogroups isolated in Tehran, Iran (2002-2004). J Infect Dev Ctries. 2009 Sep;3(8):647-8. DOI: 10.3855/jidc.560
[14] Eftekhari N, Bakhshi B, Pourshafie MR, Zarbakhsh B, Rahbar M, Hajia M, Ghazvini K. Genetic diversity of Shigella spp. and their integron content. Foodborne Pathog Dis. 2013 Mar;10(3):237-42. DOI: 10.1089/fpd.2012.1250
[15] Willer Eda M, Lima Rde L, Giugliano LG. In vitro adhesion and invasion inhibition of Shigella dysenteriae, Shigella flexneri and Shigella sonnei clinical strains by human milk proteins. BMC Microbiol. 2004 Apr;4:18. DOI: 10.1186/1471-2180-4-18
[16] Rahman M, Monira S, Nahar S, Ansaruzzaman M, Alam K, Alam M, Albert MJ. TnphoA mutants of Providencia alcalifaciens with altered invasiveness of HEp-2 cells. J Med Microbiol. 2002 Aug;51(8):682-6. DOI: 10.1099/0022-1317-51-8-682
[17] Noh SM, Sathyamurthy M, Lee GM. Development of recombinant Chinese hamster ovary cell lines for therapeutic protein production. Curr Opin Chem Eng. 2013 Nov;2(4):391–7. DOI: 10.1016/j.coche.2013.08.002
[18] Furuse M, Furuse K, Sasaki H, Tsukita S. Conversion of zonulae occludentes from tight to leaky strand type by introducing claudin-2 into Madin-Darby canine kidney I cells. J Cell Biol. 2001 Apr 16;153(2):263-72. DOI: 10.1083/jcb.153.2.263
[19] Guhathakurta B, Sasmal D, Ghosh AN, Kumar R, Saha P, Biswas D, Khetawat D, Datta A. Adhesion and invasion of a mutant Shigella flexneri to an eukaryotic cell line in absence of the 220-kb virulence plasmid. FEMS Microbiol Lett. 1999 Dec 15;181(2):267-75. DOI: 10.1111/j.1574-6968.1999.tb08854.x
[20] Turbyfill KR, Joseph SW, Oaks EV. Recognition of three epitopic regions on invasion plasmid antigen C by immune sera of rhesus monkeys infected with Shigella flexneri 2a. Infect Immun. 1995 Oct;63(10):3927-35.
[21] Sansonetti PJ, Kopecko DJ, Formal SB. Involvement of a plasmid in the invasive ability of Shigella flexneri. Infect Immun. 1982 Mar;35(3):852-60.
[22] Willer Eda M, Lima Rde L, Giugliano LG. In vitro adhesion and invasion inhibition of Shigella dysenteriae, Shigella flexneri and Shigella sonnei clinical strains by human milk proteins. BMC Microbiol. 2004 Apr;4:18. DOI: 10.1186/1471-2180-4-18
[23] Soltan Dallal MM, Rahimi-Forushani A, Aminharati F, Ohadian-Moghadam S, Nikmanesh B, Rastegare-Lari A. Investigation the Shigella serotypes invasive cells isolated from patients with diarrhea in HEp-2 cell culture. J Shahrekord Univ Med Sci. 2013;15(6):100–8.



