Localized pigmented villo-nodular synovitis of trochanteric bursa
Juergen Bruns 1Benedikt Rosenbaum 2
Christoph Thorns 3
1 Dept. of Orthopedic Surgery, Wilhelmsburg Hospital Groß-Sand, Hamburg, Germany
2 Dept. of Radiology, Wilhelmsburg Hospital Groß-Sand, Hamburg, Germany
3 Dept. of Pathology, Marienkrankenhaus Hamburg, Germany
Abstract
This is the first report on a localized pigmented villo-nodular synovitis (PVNS or TSGCT) occurring in the trochanteric bursa. Bursal involvement in PVNS is extremely rare. Most often PVNS occurs either as a localized or diffuse lesion in a major synovial joint, such as the knee, ankle joint or hip joint. In principle, all synovial structures can be involved.
The case reported here is remarkable regarding the long period between the occurrence of the first symptoms and the final diagnosis as well as the age of the female patient (75 yrs).
Therapeutically a complete resection was performed in order to avoid recurrence. More then three years later the patient did well and there has been no evidence of recurrence yet.
Keywords
pigmented villo-nodular synovitis, PVNS, tenosynovial giant cell tumors, TSGCT, circumscribed, diffuse, bursa, bursa trochanterica
Case description
Preoperative findings
A 75-year-old female had been suffering from a fluctuating soft tissue mass on her lateral proximal thigh for seven years. Prior to the symptoms she had fallen on her left trochanter. Primary treatment was done symptomatically. Due to the long-lasting symptoms a MRI was finally performed exhibiting the findings mentioned below. The patient was admitted without any clinical signs of infection, an almost normal gait-pattern and a free range of motion of the ipsilateral hip joint. White blood cells (WBC) and C-reactive protein (CRP) were within normal range.
Imaging
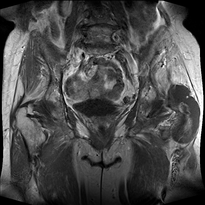
Lateral to the greater trochanter in the bursa trochanterica there was evidence of fluid showing homogeneous hyperintensity without sedimentation in fluid-sensitive sequences. Proton-weighted imaging revealed two nodular wall extensions in teardrop shape extending craniolaterally. These extensions measured a maximum of 1 cm at the base. In addition, at the roof of the fluid-filled cavity there was a space measuring approximately 1.5 x 0.5 cm. In the native fat-suppressed T1 turbospinecho sequence, this space-occupying lesion was partially hyperintense. This was considered to be hemosiderin. After application of gadolinium, there was a vigorous enhancement of the lining of the height. In addition, there was diffuse enhancement of the muscles in the immediate vicinity of the bursa. The hemorrhaged mass showed no enhancement of the contrast medium. In summary, the recent MRI exhibited an enlarged trochanteric bursitis with some intrabursal soft tissue formation suspicious for pigmented villo-nodular synovitis (PVNS) of the bursa trochanteric (PVNSBT) (Figure 1 [Fig. 1], Figure 2 [Fig. 2], Figure 3 [Fig. 3], Figure 4 [Fig. 4]).
Figure 1: Proton-weighted coronal plane showing an enlarged bursa trochanterica on the left side
Figure 2: Proton-weighted transversal plane exhibiting the enlargd bursa filled with fluid and soft-tissue protruded into the bursa trochanterica (marked by an arrow)
Figure 3: T-1 weighted fat-suppressed transversal plane with contrast medium exhibiting the enlargd bursa filled with fluid and soft-tissue protruded into the bursa trochanterica and surrounded by contrast medium (marked by the arrows)
Figure 4: T-1 native coronal plane exhibiting the enlarged bursa trochanteria containing PVNS-soft-tissue
Intraoperative findings
The enlarged trochanteric bursa exhibited several lacunae with a thickened synovial layer in terms of an unspecific synovitis and parts showing villo-nodular yellowish to brownish synovitic changes to the extensions already visable in the MRI. Furthermore, the medial glutaeus muscle exhibited degenerative lipomatous changes, probably as a sequela of her previous trauma. Therapeutically a complete resection of the trochantic bursa was performed to ensure total resection of PVNSBT tissue. Histologically PVNS of the bursa was confirmed without any signs of malignancy. Postoperatively the patient recovered well.
Follow-up
At final follow-up three and a half years postoperatively, no signs of recurrence could be detected with a follow-up MRI. Clinically the patient exhibited a slight limping owing to the weakness of the medial glutaeus muscle.
Discussion
Pigmented villo-nodular synovitis (PVNS) and/or giant-cell tumors of tendon sheaths / tenosynovial giant cell tumors (TSGCT) are rare diseases of synovial tissue occurring most often in synovial joints such as knee and ankle joints [1], [2], [3], [4], [5].
Apart from synovial joints in principle all synovial structures [6] such as teno-synovial tissue and bursa can be involved. Sometimes the synovial origin of the tumor is unclear: for example in the supraclavicular fossa [7], infratemporal fossa [8], quadriceps muscle [9], subcutaneous thigh [10], or unknown [6].
The incidence is reported to be about 1–2/million [11], [12], [13]. A more recent analysis exhibited a distinctly higher incidence: based on patients from the Netherlands Maastboom et al. [14] estimated the worldwide incidence: in their analysis digits were involved most often [29/million], followed by localized TSGCT in the extremities [10/ million] and 4/million for the diffuse type [14]. Furthermore, they found that the recurrence rate in diffuse types was 2.6 times higher compared to localized PVNS in the extremities.
Jaffe et al. [15] were, to our knowledge, the first to report on this particular disease. There were several synonyma, but meanwhile the terms teno-synovial giant-cell tumor (TSGCT) and/or villo-nodular synovitis (PVNS) are widely used [16]. Two different types of occurrence can be differentiated: the circumscribed type and the diffuse one [17].
PVNS is mostly an intraarticular process but may also expand towards the extraarticular vicinity of the involved joint. Other joints such as shoulder and elbow joint, the wrist, fingers, subtarsal joint, other joints of the foot, the temporo-mandibular and the infratemporal fossa [8], [16], [17], [18], [19] are rarely involved. An extremely rare occurrence was seen in joints of the vertebral column, mostly the facet joints but also even the iliosacral area and the sacrum [20], [21], [22], [23], [24].
Due to the osteolytic capability of giant-cells in PVNS the tumor can invade bone and produce osteolytic lacunae in these bones [25], [26], [27], [28] or even invade other anatomical bony structures as reported by Son et al. [29], who treated a diffuse PVNS located in the temporal area invading the skull followed by destruction of the brain parenchyma. In single case reports rare locations such as an intramuscular lesion of the quadriceps muscle or even a subcutaneous location far away from any synovial structure have been reported as well as PVNS tissue occurring in the external auditory canal [9], [10], [30].
Rarely, a multilocular articular occurrence is reported [31], [32]. In addition, similar to giant cell tumors of bone [33] even benign PVNS lesions can metastasize to regional lymph-nodes or to the lung [34], [35], [36]. A simultaneous appearance of PVNS with synovial chondromatosis of the hip has been reported by Efrima et al. [37].
Even in metastasing cases the primary lesions may normally exhibit no signs of malignancy. Benign but aggressive PVNS is mostly seen in adults aged between 20 and 50 years, but even in children this lesion has been found [13], [38], [39], [40]. In contrast, primary malignant PVNS is extremely rare. Fewer than 20 cases have been reported as yet [24], [41], [42].
The occurence in bursa has been described only once so far [43]. Only case reports on involved bursa have been reported (see below). In a binational analysis on 173 patients suffering from PVNS or TSGCT a bursal involvement was seen in only 4% of either the diffuse or localized type [43]. In principle, all bursa around the acromium, olecranon, iliopsoas muscle, fingers, toes, temporomandibular region and elsewhere can be affected [15], [44], [45], [46], [47]. The one involved most often was the anserine bursa [45], [46], [47]. Other bursae such as the suprapatellar, subacromial and ileopectinal bursa are rarely involved [48], [49], [50]. Others reported a case where PVS was located in a popliteal cyst [51], but anatomically this is not a true bursa.
Apart from the hip joint there is only one report of PVNSB involving the iliopectineal bursa in the region of the hip [52].
Regarding the diagnostic procedure, the most important issue seems to be to remember such a rare disease. In addition, this case showed two specialities: the age of the patient was very high and the bursa trochanteric, normally a very small bursa, was extremely enlarged and contained “normal” infected synovial tissue parallel to PVNS synovitis with the typical macroscopic changes such as pigmentation, villi and noduli. The rarity of this location might have caused the long period between onset of symptoms and final diagnosis and immediate treatment.
As for many other cases it is well-known that patients suffer for a long time before the final diagnosis is made as they experience unspecific symptoms such as tenderness, joint effusion, swelling and a limited range of motion.
Regarding imaging procedures MRI has a central role in the identification of both the extra- and intraarticular tumors [53], [54]. PVNS mostly exhibits typical characteristics described above and in the literature [53], [54]. CT-scans might be helpful for the detection of a bony involvement in intra- and extraarticular diseases [55].
The current treatment of choice for both the extraarticular diffuse and localized type of PVNS as well as for TSGCT is the complete surgical removal of the tumor masses if possible [56], [57], [58].
In primary circumscribed tumors of either location (intra- or extrarticular) additional adjuvant therapeutical procedures such as external radiation or radiosynovectomy with isotopes do not seem to be indicated, and neither are new medical targeted therapies such as imitanib or similar medications.
In contrast, for the diffuse type an additional adjuvant therapy such as postoperative radiotherapy [1], [2], [59] or radiosynoviorthesis has been used at times in order to reduce the recurrence rate [60].
Conclusion
PVNS is a very rare disease of synovial joints or other synovial structures containing synivial tissue such as tendon sheaths, and involvement of bursa is extremely rare. We report the first case involving the trochanteric bursa in a 75-year-old woman, who had suffered for seven years before being diagnosed. This indicates that the awareness of such a bursal lesion is most important to shorten the time until the final diagnosis is made.
Notes
Competing interests
The authors declare that they have no competing interests.
References
[1] Ottaviani S, Ayral X, Dougados M, Gossec L. Pigmented villonodular synovitis: a retrospective single-center study of 122 cases and review of the literature. Semin Arthritis Rheum. 2011 Jun;40(6):539-46. DOI: 10.1016/j.semarthrit.2010.07.005[2] Mollon B, Lee A, Busse JW, Griffin AM, Ferguson PC, Wunder JS, Theodoropoulos J. The effect of surgical synovectomy and radiotherapy on the rate of recurrence of pigmented villonodular synovitis of the knee: an individual patient meta-analysis. Bone Joint J. 2015 Apr;97-B(4):550-7. DOI: 10.1302/0301-620X.97B4.34907
[3] Guo Q, Shi W, Jiao C, Xie X, Jiang D, Hu Y. Results and recurrence of pigmented villonodular synovitis of the ankle: does diffuse PVNS with extra-articular extension tend to recur more often? Knee Surg Sports Traumatol Arthrosc. 2018 Oct;26(10):3118-23. DOI: 10.1007/s00167-017-4488-8
[4] Cattelan M, Bonnomet F, Bierry G, Di Marco A, Brinkert D, Adam P, Ehlinger M. Villonodular synovitis of the ankle. Analysis of the risk of recurrence. Orthop Traumatol Surg Res. 2016 Sep;102(5):639-44. DOI: 10.1016/j.otsr.2016.03.016
[5] Pianosi K, Rigby M, Hart R, Trites J, Taylor SM. Pigmented Villonodular Synovitis of the Temporomandibular Joint: A Unique Presentation. Plast Reconstr Surg Glob Open. 2016 Apr;4(4):e674. DOI: 10.1097/GOX.0000000000000658
[6] Albergo JI, Gaston CL, Davies M, Abudu AT, Carter SR, Jeys LM, Tillman RM, Grimer RJ. Hoffa's fat pad tumours: what do we know about them? Int Orthop. 2013 Nov;37(11):2225-9. DOI: 10.1007/s00264-013-2041-z
[7] Arastu MH, Milani R, Davidson AW, Bousdras K, Sinisi M. Pigmented villo-nodular synovitis: a rare cause of a supra-clavicular fossa mass. Eur J Surg Oncol. 2007 Aug;33(6):812-4. DOI: 10.1016/j.ejso.2006.05.020
[8] Gong ZC, Lin ZQ, Moming A, Ling B, Liu H, Hu M, Long X. Extra-articular diffuse tenosynovial giant cell tumour of the infratemporal fossa: report of a case and literature review. Int J Oral Maxillofac Surg. 2010 Aug;39(8):820-4. DOI: 10.1016/j.ijom.2010.02.026
[9] Rateb K, Hassen BG, Leila A, Faten F, Med Samir D. Giant cell tumor of soft tissues: A case report of extra-articular diffuse-type giant cell tumor of the quadriceps. Int J Surg Case Rep. 2017;31:245-9. DOI: 10.1016/j.ijscr.2016.12.019
[10] Sanghvi DA, Purandare NC, Jambhekar NA, Agarwal MG, Agarwal A. Diffuse-type giant cell tumor of the subcutaneous thigh. Skeletal Radiol. 2007 Apr;36(4):327-30. DOI: 10.1007/s00256-006-0112-6
[11] Bravo SM, Winalski CS, Weissman BN. Pigmented villonodular synovitis. Radiol Clin North Am. 1996 Mar;34(2):311-26, x-xi.
[12] Lin J, Jacobson JA, Jamadar DA, Ellis JH. Pigmented villonodular synovitis and related lesions: the spectrum of imaging findings. AJR Am J Roentgenol. 1999 Jan;172(1):191-7. DOI: 10.2214/ajr.172.1.9888766
[13] Karami M, Soleimani M, Shiari R. Pigmented villonodular synovitis in pediatric population: review of literature and a case report. Pediatr Rheumatol Online J. 2018 Jan;16(1):6. DOI: 10.1186/s12969-018-0222-4
[14] Mastboom MJL, Verspoor FGM, Verschoor AJ, Uittenbogaard D, Nemeth B, Mastboom WJB, Bovée JVMG, Dijkstra PDS, Schreuder HWB, Gelderblom H, Van de Sande MAJ; TGCT study group. Higher incidence rates than previously known in tenosynovial giant cell tumors. Acta Orthop. 2017 Dec;88(6):688-94. DOI: 10.1080/17453674.2017.1361126
[15] Jaffe HL, Lichtenstein L, Sutro CJ. Pigmented villonodular synovitis, bursitis and tenosynovitis. A discussion of the synovial and bursal equivalents of the tenosynovial lesion commonly denoted as xanthoma, xanthogranuloma, giant cell tumor or myeloplaxoma of the tendon sheath, with some consideration of this tendon sheath lesion itself. Arch Pathol. 1941;31:731-65.
[16] Kwon M, Bang JY, Nam KH. Rapid destruction of shoulder joint by pigmented villonodular synovitis treated by hemiarthroplasty: A case report. Int J Surg Case Rep. 2020;77:138-42. DOI: 10.1016/j.ijscr.2020.10.128
[17] Kwon JH, Han JH, Almeida VR, Kim SH, Park HJ, Nha KW. Localized pigmented villonodular synovitis of the proximal tibiofibular joint. Knee Surg Relat Res. 2014 Dec;26(4):249-52. DOI: 10.5792/ksrr.2014.26.4.249
[18] Sharma H, Jane MJ, Reid R. Pigmented villonodular synovitis of the foot and ankle: Forty years of experience from the Scottish bone tumor registry. J Foot Ankle Surg. 2006;45(5):329-36. DOI: 10.1053/j.jfas.2006.05.003
[19] De Benedittis M, Turco M, Petruzzi M, Cortelazzi R. Extra-articular diffuse-type giant cell tumour of the temporomandibular joint. Int J Oral Maxillofac Surg. 2013 Mar;42(3):380-5. DOI: 10.1016/j.ijom.2012.07.013
[20] Cho JM, Chang JH, Kim SH, Lee KS. Pediatric giant cell tumor of the tendon sheath of the craniocervical junction involving the occipital condyle. Childs Nerv Syst. 2016 Jan;32(1):175-9. DOI: 10.1007/s00381-015-2820-5
[21] Müslüman AM, Cavuşoğlu H, Yilmaz A, Dalkiliç T, Tanik C, Aydin Y. Pigmented villonodular synovitis of a lumbar intervertebral facet joint. Spine J. 2009 Aug;9(8):e6-9. DOI: 10.1016/j.spinee.2008.12.010
[22] Lavrador JP, Oliveira E, Gil N, Francisco AF, Livraghi S. C1-C2 pigmented villonodular synovitis and clear cell carcinoma: unexpected presentation of a rare disease and a review of the literature. Eur Spine J. 2015 May;24(Suppl 4):S465-71. DOI: 10.1007/s00586-014-3396-6
[23] Dimeco F, Rizzo P, Li KW, Ciceri E, Casali C, Pollo B, Lasio G. Pigment villonodular synovitis of the spine. Case report and review of the literature. J Neurosurg Sci. 2001 Dec;45(4):216-9, discussion 219.
[24] Oda Y, Takahira T, Yokoyama R, Tsuneyoshi M. Diffuse-type giant cell tumor/pigmented villonodular synovitis arising in the sacrum: malignant form. Pathol Int. 2007 Sep;57(9):627-31. DOI: 10.1111/j.1440-1827.2007.02150.x
[25] McMaster PE. Pigmented villonodular synovitis with invasion of bone: report of six cases. J Bone Joint Surg Am. 1960;42:1170-83. DOI: 10.2106/00004623-196042070-00007
[26] Nishida Y, Tsukushi S, Nakashima H, Sugiura H, Yamada Y, Urakawa H, Arai E, Ishiguro N. Osteochondral destruction in pigmented villonodular synovitis during the clinical course. J Rheumatol. 2012 Feb;39(2):345-51. DOI: 10.3899/jrheum.110730
[27] Taylor R, Kashima TG, Knowles H, Gibbons CL, Whitwell D, Athanasou NA. Osteoclast formation and function in pigmented villonodular synovitis. J Pathol. 2011 Sep;225(1):151-6. DOI: 10.1002/path.2937
[28] Ota T, Urakawa H, Kozawa E, Ikuta K, Hamada S, Tsukushi S, Shimoyama Y, Ishiguro N, Nishida Y. Expression of colony-stimulating factor 1 is associated with occurrence of osteochondral change in pigmented villonodular synovitis. Tumour Biol. 2015 Jul;36(7):5361-7. DOI: 10.1007/s13277-015-3197-5
[29] Son SM, Park YS, Choi CH, Lee HC, Lee OJ, Woo CG. Extra-articular tenosynovial giant cell tumor of diffuse type in the temporal area with brain parenchymal invasion: a case report. Br J Neurosurg. 2018 Dec;32(6):688-90. DOI: 10.1080/02688697.2018.1426729
[30] Trani M, Zanni M, Gambelli P. Giant-cell tumor of the tendon sheath in the external auditory canal. Ear Nose Throat J. 2014;93(10-11):456-64.
[31] Botez P, Sirbu PD, Grierosu C, Mihailescu D, Savin L, Scarlat MM. Adult multifocal pigmented villonodular synovitis--clinical review. Int Orthop. 2013 Apr;37(4):729-33. DOI: 10.1007/s00264-013-1789-5
[32] Yamashita H, Endo K, Enokida M, Teshima R. Multifocal localized pigmented villonodular synovitis arising separately from intra- and extra-articular knee joint: case report and literature review. Eur J Orthop Surg Traumatol. 2013 Nov;23(Suppl 2):S273-7. DOI: 10.1007/s00590-012-1125-6
[33] Rosario M, Kim HS, Yun JY, Han I. Surveillance for lung metastasis from giant cell tumor of bone. J Surg Oncol. 2017 Dec;116(7):907-13. DOI: 10.1002/jso.24739
[34] Righi A, Gambarotti M, Sbaraglia M, Frisoni T, Donati D, Vanel D, Dei Tos AP. Metastasizing tenosynovial giant cell tumour, diffuse type/pigmented villonodular synovitis. Clin Sarcoma Res. 2015;5:15. DOI: 10.1186/s13569-015-0030-2
[35] Osanai T, Suzuki H, Hiraga H, Soma T, Nojima T. Extra-articular diffuse-type tenosynovial giant cell tumor with benign histological features resulting in fatal pulmonary metastases. J Orthop Surg (Hong Kong). 2017 Jan;25(1):2309499017690323. DOI: 10.1177/2309499017690323
[36] Chen EL, de Castro CM 4th, Hendzel KD, Iwaz S, Kim MA, Valeshabad AK, Shokouh-Amiri M, Xie KL. Histologically benign metastasizing tenosynovial giant cell tumor mimicking metastatic malignancy: A case report and review of literature. Radiol Case Rep. 2019 Aug;14(8):934-40. DOI: 10.1016/j.radcr.2019.05.013
[37] Efrima B, Safran N, Amar E, Bachar Avnieli I, Kollander Y, Rath E. Simultaneous pigmented villonodular synovitis and synovial chondromatosis of the hip: case report. J Hip Preserv Surg. 2018 Dec;5(4):443-7. DOI: 10.1093/jhps/hny034
[38] Xie GP, Jiang N, Liang CX, Zeng JC, Chen ZY, Xu Q, Qi RZ, Chen YR, Yu B. Pigmented villonodular synovitis: a retrospective multicenter study of 237 cases. PLoS One. 2015;10(3):e0121451. DOI: 10.1371/journal.pone.0121451
[39] Bruns J, Schubert T, Eggers-Stroeder G. Pigmented villonodular synovitis in children. A case report. Arch Orthop Trauma Surg. 1993;112(3):148-51. DOI: 10.1007/BF00449993
[40] Baroni E, Russo BD, Masquijo JJ, Bassini O, Miscione H. Pigmented villonodular synovitis of the knee in skeletally immature patients. J Child Orthop. 2010 Apr;4(2):123-7. DOI: 10.1007/s11832-009-0236-z
[41] Sistla R, Vidyasagar JVS, Afroz T. Malignant Pigmented Villonodular Synovitis – A Rare Entity. J Orthop Case Rep. 2014;4(4):9-11. DOI: 10.13107/jocr.2250-0685.214
[42] Imakiire N, Fujino T, Morii T, Honya K, Mochizuki K, Satomi K, Fujioka Y. Malignant pigmented villonodular synovitis in the knee – report of a case with rapid clinical progression. Open Orthop J. 2011 Jan;5:13-6. DOI: 10.2174/1874325001105010013
[43] Bruns J, Ewerbeck V, Dominkus M, Windhager R, Hassenpflug J, Windhagen H, Hovy L, Loehr J, Krauspe R, Duerr HR. Pigmented villo-nodular synovitis and giant-cell tumor of tendon sheaths: a binational retrospective study. Arch Orthop Trauma Surg. 2013 Aug;133(8):1047-53. DOI: 10.1007/s00402-013-1770-1
[44] Campanacci M, Pagani PA, Musiani M, Libri R. Sinovite, tenosinovite, borsite villonodulare e nodulare pigmentosa (studio di 75 osservazioni) [Pigmented, villonodular synovitis, tenosynovitis and bursitis (study of 75 cases)]. Chir Organi Mov. 1975;61(6):675-86.
[45] Solomou A, Kraniotis P. Giant cell tumor of the tendon seath of the tendinous insertion in pes anserinus. Radiol Case Rep. 2017 Jun;12(2):353-6. DOI: 10.1016/j.radcr.2017.02.001
[46] Zhao H, Maheshwari AV, Kumar D, Malawer MM. Giant cell tumor of the pes anserine bursa (extra-articular pigmented villonodular bursitis): a case report and review of the literature. Case Rep Med. 2011;2011:491470. DOI: 10.1155/2011/491470
[47] Maheshwari AV, Muro-Cacho CA, Pitcher JD Jr. Pigmented villonodular bursitis/diffuse giant cell tumor of the pes anserine bursa: a report of two cases and review of literature. Knee. 2007 Oct;14(5):402-7. DOI: 10.1016/j.knee.2007.06.004
[48] Katz DS, Levinsohn EM. Pigmented villonodular synovitis of the sequestered suprapatellar bursa. Clin Orthop Relat Res. 1994 Sep;(306):204-8.
[49] Konrath GA, Nahigian K, Kolowich P. Pigmented villonodular synovitis of the subacromial bursa. J Shoulder Elbow Surg. 1997;6(4):400-4. DOI: 10.1016/s1058-2746(97)90010-0
[50] Cho CH, Sohn SW, Song KS, Kang CH, Min BW, Bae KC, Lee SM. Extra-articular pigmented villonodular synovitis of the subacromial space. Orthopedics. 2008 Dec;31(12). DOI: 10.3928/01477447-20081201-04
[51] Gokhale N, Purohit S, Bhosale PB. Pigmented Villonodular Synovitis Presenting as a Popliteal Cyst. J Orthop Case Rep. 2015;5(3):63-5. DOI: 10.13107/jocr.2250-0685.311
[52] Weisser JR, Robinson DW. Pigmented villonodular synovitis of iliopectineal bursa; a case report. J Bone Joint Surg Am. 1951 Oct;33-A(4):988-92.
[53] Cheng XG, You YH, Liu W, Zhao T, Qu H. MRI features of pigmented villonodular synovitis (PVNS). Clin Rheumatol. 2004 Feb;23(1):31-4. DOI: 10.1007/s10067-003-0827-x
[54] Barile A, Sabatini M, Iannessi F, Di Cesare E, Splendiani A, Calvisi V, Masciocchi C. Pigmented villonodular synovitis (PVNS) of the knee joint: magnetic resonance imaging (MRI) using standard and dynamic paramagnetic contrast media. Report of 52 cases surgically and histologically controlled. Radiol Med. 2004 Apr;107(4):356-66.
[55] Murphey MD, Rhee JH, Lewis RB, Fanburg-Smith JC, Flemming DJ, Walker EA. Pigmented villonodular synovitis: radiologic-pathologic correlation. Radiographics. 2008;28(5):1493-518. DOI: 10.1148/rg.285085134
[56] van der Heijden L, Gibbons CL, Dijkstra PD, Kroep JR, van Rijswijk CS, Nout RA, Bradley KM, Athanasou NA, Hogendoorn PC, van de Sande MA. The management of diffuse-type giant cell tumour (pigmented villonodular synovitis) and giant cell tumour of tendon sheath (nodular tenosynovitis). J Bone Joint Surg Br. 2012 Jul;94(7):882-8. DOI: 10.1302/0301-620X.94B7.28927
[57] Mastboom MJL, Palmerini E, Verspoor FGM, Rueten-Budde AJ, Stacchiotti S, Staals EL, Schaap GR, Jutte PC, Aston W, Gelderblom H, Leithner A, Dammerer D, Takeuchi A, Thio Q, Niu X, Wunder JS; TGCT Study Groupvan de Sande MAJ. Surgical outcomes of patients with diffuse-type tenosynovial giant-cell tumours: an international, retrospective, cohort study. Lancet Oncol. 2019 Jun;20(6):877-86. DOI: 10.1016/S1470-2045(19)30100-7
[58] Mastboom MJL, Staals EL, Verspoor FGM, Rueten-Budde AJ, Stacchiotti S, Palmerini E, Schaap GR, Jutte PC, Aston W, Leithner A, Dammerer D, Takeuchi A, Thio Q, Niu X, Wunder JS, van de Sande MAJ; Tenosynovial Giant Cell Tumors (TGCT) Study Group. Surgical Treatment of Localized-Type Tenosynovial Giant Cell Tumors of Large Joints: A Study Based on a Multicenter-Pooled Database of 31 International Sarcoma Centers. J Bone Joint Surg Am. 2019 Jul;101(14):1309-18. DOI: 10.2106/JBJS.18.01147
[59] Horoschak M, Tran PT, Bachireddy P, West RB, Mohler D, Beaulieu CF, Kapp DS, Donaldson SS. External beam radiation therapy enhances local control in pigmented villonodular synovitis. Int J Radiat Oncol Biol Phys. 2009 Sep;75(1):183-7. DOI: 10.1016/j.ijrobp.2008.10.058
[60] Mendenhall WM, Mendenhall CM, Reith JD, Scarborough MT, Gibbs CP, Mendenhall NP. Pigmented villonodular synovitis. Am J Clin Oncol. 2006 Dec;29(6):548-50. DOI: 10.1097/01.coc.0000239142.48188.f6



