journal_logo

GMS Interdisciplinary Plastic and Reconstructive Surgery DGPW__Temp

Deutsche Gesellschaft für Plastische und Wiederherstellungschirurgie (DGPW)

2193-8091__Temp


Case Report

RANK-Ligand inhibitor associated osteonecrosis of the jaw

 Ashkan Rashad 1
Ralf Smeets 1
Max Heiland 1

1 Department of Oral and Maxillofacial Surgery, University Medical Center Hamburg-Eppendorf, Hamburg, Germany

Abstract

Osteonecrosis of the jaw may be caused by many different triggers. One of them is described to be the drug or medication related osteonecrosis of the jaw. Since many years bisphosphonates induced the dreaded diagnosis. Recently a drug named denosumab is reported to show similar effects on the jaw. In this case report we present a RANK-Ligand inhibitor associated osteonecrosis of the lower jaw and discuss the lights and shadows of this newly introduced drug.


Keywords

RANK-Ligand inhibitor, denosumab, osteonecrosis, jaw, bisphosphonates

Introduction

Many patients suffer from bisphosphonate related osteonecrosis of the jaw (BRONJ). Bearing in mind increasing administration of bisphosphonates (BPs) worldwide, the peak is not yet reached [1]. BPs are drugs widely used in the treatment of various bone related disorders such as osteoporosis, multiple myeloma and bone metastases [2].

Chemically, BPs are small molecular size stable analogues of natural inorganic pyrophosphates, with a carbon atom replacing the oxygen atom that connects the two phosphates [3]. They are classified as aminobisphosphonates or non-aminobisphosphonates and administered orally or intravenously. The mechanism of action concerns apoptosis of osteoclasts, decreased resorption activity and hence limited bone remodeling [4].

RANK-Ligands (Receptor Activator of Nuclear Factor Kappa-B Ligand) are produced by osteoblasts and promote differentiation of osteoclasts by binding to RANK-receptors located on these. A new drug group, namely denosumab (Prolia®), acts by attaching to RANK-Ligands in order to prevent binding of the complex to RANK-receptors resulting in an impaired function of osteoclasts. While the pharmaceutical aim is the same as for BPs, the way of action differs [5]. In general, the area of indication is similar to widely distributed BPs [6], [7].

Denosumab was approved by European Medicines Agency in May 2010 for the treatment of osteoporosis of women in postmenopause and osteoporosis in men caused by hormone therapy due to prostate cancer [8]. The US Food and Drug Administration followed that approval in June 2010 [9] and extended the therapeutic field for osteoporosis in men independent of hormone therapy in September 2012, which is still outstanding in European Union [10].

Case description

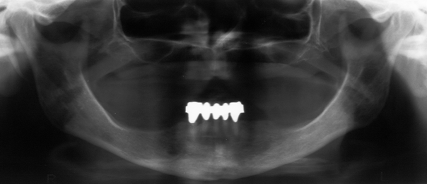
A 74-year-old edentulous woman with osteoporosis and fibromyalgia complained about growing pressure pain of the mandible following extraction of the lower anterior teeth and insertion of mucosa supported complete denture 6 months ago. Her medical history revealed 6 time administration of denosumab (Prolia® 60 mg) subcutaneously over the past 2.5 years. Fibromyalgia was treated with decortin. While intraorally no dehiscence was detected (Figure 1 [Fig. 1]), a panoramic view indicated irregular bone morphology especially in anterior mandible (Figure 2 [Fig. 2]) compared to preoperative imaging 10 months ago (Figure 3 [Fig. 3]). A CT scan illustrated the whole extent (Figure 4 [Fig. 4]). A RANK-Ligand inhibitor (denosumab) associated osteonecrosis of the mandible was diagnosed and reminded us of known BP effects on the jaw. Due to missing dehiscence she was treated conservatively with sultamicillin and prosthesis leave for 2 months with slight improvement of complaints. On the other hand with respect to the great extent of the osteonecrosis, we clarified the potential need of microvascular free flap for reconstruction.

Figure 1: Intraoral illustration of lower jaw with absence of any dehiscence

Figure 2: Panoramic view reveals edentulous site after extraction and disturbed presentation of mainly anterior part of the mandible

Figure 3: Panoramic pre-extraction view with remaining anterior teeth 10 months ago

Figure 4: Finally CT scan showed up whole extent of osteonecrosis

Discussion and conclusion

About 10 years after the first reported and published cases of BRONJ [11], [12], a new drug group seems to be associated with similar or even more serious impact. Denosumab is a human monoclonal antibody and inhibits osteoclast differentiation and proliferation. It has shown great clinical results with even better bone density values compared to BPs [13], [14]. However, the costs are many times higher than for BPs. But due to higher and improved bioavailability, administration of denosumab would be sufficient subcutaneously every 6 months.

In contrast to BPs, half-life is not supposed to be several years. Denosumab’s median half-life period amounts 26 days and could not be detected in more than half of probands after 6 months. This fact could be beneficial with respect to necessary dentoalveolar surgery. While that kind of treatment should be performed necessarily before BP uptake, denosumab could theoretically allow operation even after administration requiring absence of the drug for several months.

Nevertheless, above presented case suggests that the RANK-Ligand inhibitor is able to harm the jaw seriously in short period of time. Further studies have to investigate possible angiogenesis inhibition and soft tissue toxicity as reported for BPs [15], [16]. That is why we favor to treat conservatively if possible at the moment. Surgical procedures should be held limited and gentle to the periosteum as for BRONJ.

Notes

Competing interests

The authors declare that they have no competing interests.


References

[1] Marx RE. Pamidronate (Aredia) and zoledronate (Zometa) induced avascular necrosis of the jaws: a growing epidemic. J Oral Maxillofac Surg. 2003 Sep;61(9):1115-7.
[2] Brumsen C, Hamdy NA, Papapoulos SE. Long-term effects of bisphosphonates on the growing skeleton. Studies of young patients with severe osteoporosis. Medicine (Baltimore). 1997 Jul;76(4):266-83.
[3] Russell RG, Watts NB, Ebetino FH, Rogers MJ. Mechanisms of action of bisphosphonates: similarities and differences and their potential influence on clinical efficacy. Osteoporos Int. 2008 Jun;19(6):733-59. DOI: 10.1007/s00198-007-0540-8
[4] Plotkin LI, Manolagas SC, Bellido T. Dissociation of the pro-apoptotic effects of bisphosphonates on osteoclasts from their anti-apoptotic effects on osteoblasts/osteocytes with novel analogs. Bone. 2006 Sep;39(3):443-52. DOI: 10.1016/j.bone.2006.02.060
[5] Baron R, Ferrari S, Russell RG. Denosumab and bisphosphonates: different mechanisms of action and effects. Bone. 2011 Apr;48(4):677-92. DOI: 10.1016/j.bone.2010.11.020
[6] Geusens P. Emerging treatments for postmenopausal osteoporosis – focus on denosumab. Clin Interv Aging. 2009;4:241-50.
[7] Lewiecki EM. Denosumab update. Curr Opin Rheumatol. 2009 Jul;21(4):369-73. DOI: 10.1097/BOR.0b013e32832ca41c
[8] Prolia(R) (Denosumab) Granted Marketing Authorization in the European Union. In: Amgen.com [Internet]. May 28, 2010. Available from: http://www.amgen.com/media/media_pr_detail.jsp?releaseID=1432232
[9] FDA Approves Amgen’s Prolia(TM) (Denosumab) for Treatment of Postmenopausal Women With Osteoporosis at High Risk for Fracture. In: Amgen.com [Internet]. June 1, 2010. Available from: http://www.amgen.com/media/media_pr_detail.jsp?releaseID=1433162
[10] FDA Approves New Indication For Prolia® (Denosumab) For The Treatment Of Bone Loss In Men With Osteoporosis At High Risk For Fracture. In: Amgen.com [Internet]. September 20, 2012. Available from: http://www.amgen.com/media/media_pr_detail.jsp?releaseID=1737204
[11] Ruggiero SL. Guidelines for the diagnosis of bisphosphonate-related osteonecrosis of the jaw (BRONJ). Clin Cases Miner Bone Metab. 2007 Jan;4(1):37-42.
[12] Marx RE. Pamidronate (Aredia) and zoledronate (Zometa) induced avascular necrosis of the jaws: a growing epidemic. J Oral Maxillofac Surg. 2003 Sep;61(9):1115-7.
[13] Brown JP, Prince RL, Deal C, Recker RR, Kiel DP, de Gregorio LH, Hadji P, Hofbauer LC, Alvaro-Gracia JM, Wang H, Austin M, Wagman RB, Newmark R, Libanati C, San Martin J, Bone HG. Comparison of the effect of denosumab and alendronate on BMD and biochemical markers of bone turnover in postmenopausal women with low bone mass: a randomized, blinded, phase 3 trial. J Bone Miner Res. 2009 Jan;24(1):153-61. DOI: 10.1359/jbmr.080901
[14] Lipton A, Steger GG, Figueroa J, Alvarado C, Solal-Celigny P, Body JJ, de Boer R, Berardi R, Gascon P, Tonkin KS, Coleman R, Paterson AH, Peterson MC, Fan M, Kinsey A, Jun S. Randomized active-controlled phase II study of denosumab efficacy and safety in patients with breast cancer-related bone metastases. J Clin Oncol. 2007 Oct;25(28):4431-7. DOI: 10.1200/JCO.2007.11.8604
[15] Mortensen M, Lawson W, Montazem A. Osteonecrosis of the jaw associated with bisphosphonate use: Presentation of seven cases and literature review. Laryngoscope. 2007 Jan;117(1):30-4. DOI: 10.1097/01.mlg.0000240885.64568.9e
[16] Wood J, Bonjean K, Ruetz S, Bellahcène A, Devy L, Foidart JM, Castronovo V, Green JR. Novel antiangiogenic effects of the bisphosphonate compound zoledronic acid. J Pharmacol Exp Ther. 2002 Sep;302(3):1055-61. DOI: 10.1124/jpet.102.035295