journal_logo

GMS Interdisciplinary Plastic and Reconstructive Surgery DGPW__Temp

Deutsche Gesellschaft für Plastische und Wiederherstellungschirurgie (DGPW)

2193-8091__Temp


Review Article

Paraffinoma of lips and oral mucosa: Case report and brief review of the literature

 Reinhard E. Friedrich 1
Jozef Zustin 2

1 Oral and Cranio-Maxillofacial Surgery, Eppendorf University Hospital, University of Hamburg, Germany
2 Gerhard-Domagk-Institute of Pathology, Westfälische Wilhelms University, Münster, Germany

Abstract

Interstitial application of paraffin in plastic and reconstructive surgery is obsolete due to the development of permanent and extensive foreign body granulomas at the site of application. These granulomas can cause severe physical impairment and develop their own prognostic worth. Furthermore, the disperse oil droplets are not a locally stable suspension. Therefore, the desired aesthetic aspect can get lost in the course of a potential dislocation of the suspension. In addition, the interstitial confluence of non-resorbable droplets to larger oil drops causes palpable and sometimes visible indurations of the skin, the correlate of chronic inflammation. This case report describes the efforts undertaken to release the patient at least temporarily from her paraffin granulomas and to improve her appearance. The relevant literature is briefly discussed. Furthermore, we present some immunohistochemical findings to specify the foreign body reaction associated with paraffin injections into connective tissues.


Keywords

oil granuloma, paraffinoma, lip augmentation, foreign body reaction, foreign body removal, body dysmorphic disorder, immunohistochemistry

Introduction

A plethora of cosmetics are used to enhance the facial appearance of humans. In the Western world, facial cosmetics are predominantly applied to emphasize facial parts in order to rejuvenate the physical appearance, to comply with current fashion trends, or to cover unattractive skin regions. The application of cosmetics usually is externally, i.e. topical application, and thus, these substances should not to interfere with the body’s structure or function and should be principally removable. Other aesthetic techniques to withstand the visual correlate of facial aging or to alter unwelcome facial details are intended for temporary or definite internal dermal augmentation of identified facial parts with substances showing varying degrees of three-dimensional stability. A large number of injectable dermal fillers are offered as augmentation materials, e.g. to contour the oral region [3], [22]. Some are used for perioral or lip augmentation, e.g. to flatten wrinkles or to support the projection of lips [10]. Concerning the temporal efficacy of these fillers, these substances can be categorized as degradable (with large variations of degradation times) and permanent [3].

However, a variety of approved dermal fillers have the ability to cause foreign body reactions, irrespective of the intended duration of topic presence [6], [10], [11], [18], [23], [25], [26], [27], [32], [33], [37], [39]. In some products, the immune response of the material can be defined as part of the therapeutic action, because dense and stable scar formation in the course of inflammatory reaction can support augmentation and therefore can be desirable, at least to a certain extent [3], [23]. In other instances of aesthetic fillers, topical or systemic adverse reactions represent serious complications, because severe damage to the region of application or general impairment to health may occur [26].

Paraffin, a derivative of mineral oil [47], is a well-characterized substance used in a variety of cosmetic products [5] and medical ointments [2]. Paraffin is used to preserve cosmetics, to stabilize mixtures, and to allow thin layers of make-up, to name just a few of these applications. All of these approved applications of paraffin as a cosmetic product are for external use only.

The application of paraffin as a permanent filler in plastic surgery has been abandoned due to well-known undesirable effects [13]. However, the application of paraffin as an augmentation material has a long history in aesthetic and reconstructive surgery, with reports of initial successful interstitial use dating back to the 19th century [13], [22]. The medical interstitial application of paraffin was abandoned due to the finding that soon after application paraffin coalesces, and these non-absorbable agglomerates can become firm and unsightly swellings and can cause pain [13], [15], [16], [22], [38]. Histologically, the insufficient absorption and degradation of paraffin causes distinct foreign body reactions [45]. The distribution and disabled degeneration of paraffin inside the body can promote further adverse effects, such as migration of the material and embolization of vessels [22]. In rare instances, paraffin can be associated with sudden death after injection [35] or cause ulcers that mimic cancer [41]. Paraffin deposits can even be found in topical association with cancer [21].

As a consequence of the elimination of paraffin as an augmentation material in all fields of plastic surgery, adverse reactions to interstitial application of paraffin in the context of adverse reactions to dermal fillers were considered to be of historical interest only [33]. However, the individual misuse of paraffin as an augmentation material is still of interest in surgical practice [7], [8], [9], [12], [17], [20], [21], [31], [33], [34], [35], [38], [46]. Furthermore, even some invasive medical procedures may incidentally cause interstitial deposition of paraffin, leading to what is called ‘oil granuloma’ or the synonymous ‘paraffinoma’ [1], [2], [19], [24]. Due to the many regions of potential application and the long-lasting harmful effects of paraffin, many surgical specialties with up-to-date competencies in plastic and reconstructive surgical techniques are required to solve physical and psychological problems arising after intended or accidental implementation of paraffin-containing substances into various body regions, e.g. scalp [20], [21], eye lids and orbit [2], [12], [24], [28], cheek [31], [34], [42], [43], nose [1], [40], lips and perioral regions [6], [7], [38], neck [14], breast [17], [30], thorax [8], and genitalia [4], [9], [15], [41].

The aim of this report is to emphasize the special surgical problems resulting from misuse of paraffin containing oils as dermal filler in the region of the lips and oral mucosa and to provide new findings illustrating the immune response to paraffin.

Case report

Medical history and surgical treatment

A 26-year-old female visited the outpatient clinic of the department of oral and maxillofacial surgery seeking help for her painfully swollen lips. About half a year before, she had agreed to have oil injected into her lips by a girlfriend in order to accentuate her facial appearance with full lips. Initially, the result was satisfactory, but a few weeks later, the patient noticed painful indurations in those parts of the lips where the oil was injected into the connective tissues. Finally, she had decided to ask for surgical help both to remove these indurations and to restore her distorted lip shape (Figure 1A [Fig. 1]).

Figure 1: (A) Photograph of the patient’s bulky lips at the time of first attendance. (B) Deformity of the lips during lip movements caused by paraffin deposits. (C) Dystrophic areas of the integument are visible at the site of paraffin deposits. (D) Incision line for debulking of the augmented lips. (E) Whitish and firm tissues constitute the prominent lip masses adhering to the local connective tissues. (F) Sample of excised lip tissue. (D) Post-operative photographs demonstrate moderate reduction in lip volume.

Physical investigation and therapy. On admission, the patient showed very prominent and wide lips (Figure 1A [Fig. 1]). The voluminous lips appeared symmetrically designed when closed. However, during speaking the assumed regions of injection became visible as stationary glossy protrusions (Figure 1B [Fig. 1]). These regions were painful on palpation (Figure 1C [Fig. 1]). The patient reported impaired food intake and speaking due to the triggering of pain following lip movements. Repeated requests for the name of the product she had injected finally revealed a skin oil as the source of the lip augmentation material (Bi-Oil™).

The patient was informed that surgical removal of the lesions rarely leads to complete elimination of the foreign material without severe mutilation of the lips due to the likely wide-spread diffusion of the material inside the lips and perioral region. Furthermore, the patient was informed about the long-lasting confluence of finest fat droplets that could cause local recurrence of lip protrusions despite an initially sufficient debulking procedure.

In general anaesthesia, a w-shaped incision was performed in the labial mucosa of both lips lateral to the margins of the palpable masses (Figure 1D [Fig. 1]). Soon after incision, yellowish, scarred areas became visible inside the lip muscles. The masses extended completely through the oral orbicularis muscle, with focal thickenings matching the palpable and visible lip masses (Figures 1E and 1F [Fig. 1]). After excision of the scar tissue, the wounds were closed by primary intention. Swelling of the lips lasted for about 2 weeks, and after 4 weeks the patient noticed a significant volume reduction of her lips. However, the lips remained swollen, and the patient complained that the visual aspect of her lips still differed from her expectations.

Half a year later, the patient visited the outpatient clinic again and complained about recurrence of the bulky and prominent lips. Meanwhile, she needed psychiatric treatment and was taking anti-depressant medication. The lips showed the similar swellings and hardenings similar to those that were present before the first intervention. The debulking procedure was repeated. Intra-operatively, scar-like masses were exposed that were identical to the prior findings in amount, distribution, and texture. Healing was uneventful. The lips appeared less voluminous than before, and the patient reported that her lips were now less painful during movement. After the first postsurgical follow-up (Figure 1G [Fig. 1]), she terminated further appointments. Two years later, the patient returned to the outpatient department and asked for further treatment. The lips looked similar to the situation presented at her first appointment. In order to achieve long-lasting removal of the fibrous tissues, a direct incision over the hardened portions of the lips was chosen and extensive debulking was performed. The volume of the excised tissue was similar to the volumes excised in prior procedures. Healing was uneventful, but again the patient discontinued follow-up controls.

Histology

Immediately after the excision of the lip tissues, the samples were fixed in buffered formalin and sent to the pathology laboratory. After embedding in paraffin wax, 4-µm-thick sections were stained with haematoxylin-eosin. Representative sections were further examined using automated immunohistochemical systems. The freshly cut sections were loaded into a PT Link module (Dako, Glostrup, Denmark) and subjected to an antigen retrieval/de-waxing protocol with a Dako EnVision FLEX Target Retrieval Solution at high pH, and then transferred to the Dako Autostainer Link 48 instrument. Immunostaining was performed using the primary antibodies to CD163 (Novocastra, NCL-CD163, clone 10D6, dilution 1:10, Newcastle-upon-Tyne, UK), CD3 (Dako, IS503), CD20 (Dako M0755, clone L26), mast cell tryptase (Dako IR640/IS640, clone AA1), and the Dako EnVision Flex detection system. Microscopic analyses were performed using a Zeiss microscope (Axiophot, Carl Zeiss, Jena, Germany) and representative microphotographs were taken using a digital camera (AxioCam MRc, Carl Zeiss), and AxioVision Rel. 4.8. imaging software (Carl Zeiss).

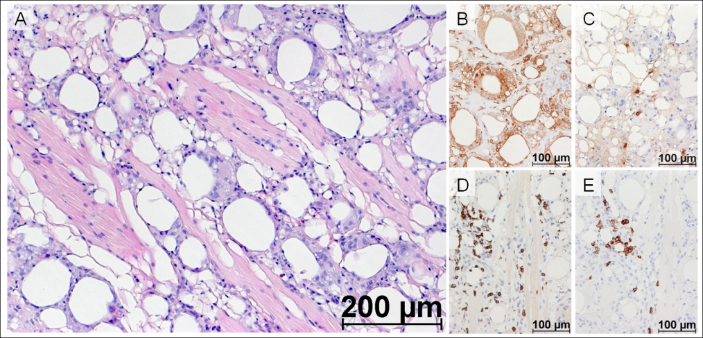
The microscopic analysis of the tissue showed skeletal muscle fibres (Figure 2A [Fig. 2]) surrounded by numerous oil cysts rimmed by foamy macrophages and multinucleated giant cells as well. During the processing of the specimen the areas previously filled with oil appear as empty spaces. Minimal, thin fibrous fibres can also be recognized between the oil cysts. Moreover, the interstitial tissues contained many mononuclear macrophages with small oil droplets and foamy macrophages. There were no microscopic signs of a secondary infection; however, scattered lymphocytes, mast cells and eosinophilic leukocytes were found throughout the lesion. Under polarized light, neither birefringent particles nor crystals were found within the lesion. The dominant cell type within the interstitial tissues was the mature M2 macrophage, which showed characteristic expression of the CD163 antigen (Figure 2B [Fig. 2]). The low intra-lesional occurrence of the mast cells was proven by immunohistochemistry using the specific antibody against mast cell tryptase (Figure 2C [Fig. 2]). Furthermore, immunohistochemical analysis showed a slight dominance of CD3-positive T-lymphocytes (Figure 2D [Fig. 2]) over B-lymphocytes, which showed positive reaction to CD20 antibodies (Figure 2E [Fig. 2]).

Figure 2: Paraffinoma (microscopic findings). (A) Under low-power magnification, numerous oil cysts and cellular infiltrations of soft tissue between the muscle fibres are apparent (haematoxylin and eosin; original magnification 100X). Under higher-power magnification, multinucleated giant cells, foamy macrophages, a few lymphocytes and eosinophilic leucocytes along with mast cells can be recognized within the interstitial infiltrate. The conventional histology findings were proven by immunohistochemistry for (B) CD163, (C) mast cell tryptase (D) CD3, and (E) CD20 (magnification (B-E) 200X).

The microscopic aspect of the tissues was identical on all occasions.

Material

Bi-Oil™/Bio-Oil™ (Producer: delta pronatura/Dr. Krauss and Dr. Beckmann KG, Egelsbach, Germany) is a skin oil, with recommended use for external application only to improve the appearance of scars and stretch marks and to adjust uneven skin tones. Further recommended external applications are ageing and dehydrated skin. The producer’s disclosure of contents emphasizes that Bi-Oil™ is a formulation that is a combination of plant extracts and vitamins suspended in an oil base. The list of ingredients starts with paraffin liquidum and other oils, e.g. tri-isononanoin, cetearyl ethylhexonate, isopropyl myristate, and soja oil. The non-specified ingredient PurCellin Oil™ appears to influence the formulation’s overall consistency and is likely a mixture of several products, such as plant extracts (lavender, rosemary, and chamomile) and vitamins A and E.

Discussion

This report details the diagnosis and treatment for lip paraffinoma with respect to some morphological findings associated with the oil deposits. The instillation of paraffin for plastic surgery purposes is obsolete [13]. In the presented case, the paraffin-containing oil was administered by a layperson. The content declaration of this product discloses other ingredients – in particular, oils that also may have contributed to the foreign body reaction. Thus, the term ‘oil granuloma’ appears to be more appropriate to characterize the specific origin of this foreign body reaction. However, paraffin is usually the main component of these oils, and therefore, it is likely to constitute the majority of the dispersed oil.

Imaging of head and neck paraffinoma may show specific findings on computed tomograms [14]. Imaging should be considered in cases with application of paraffin to a wide region of the body or deep injection sides of the body [14].

Paraffin is a mixture of high-molecular-weight hydrocarbons with a colourless-to-white aspect [47]. Usually paraffin is well tolerated after application onto skin or mucosa. However, after accidental or intentional subcutaneous infiltration, a foreign body reaction develops; in some cases ulceration may even occur [36]. Adverse effects to paraffin injections are typically confined to the sites of application and adjacent regions. However, some reports detail the involvement of lymph nodes and lungs after paraffin injection. These complications are thought to reveal the spread of material via lymphatic or haematogenous routes and have occasionally been associated with fatalities [35].

In the context of adverse reactions to interstitial paraffin applications, it is noteworthy to emphasize that adverse reactions were also reported for approved dermal fillers [26]. However, these adverse reactions appear to be predominantly temporary [3], [10].

The latency period between injection and the growth of indurations or ulcers can take months to years [36]. In general, the slow tissue response to the oil was reported to achieve its maximum about three months after application [13]. The degree of reaction appears to be proportional to the amount of oil injected [13].

Initially, the paraffinoma was considered a sclerosing lipogranuloma arising after trauma and essentially consisting of altered endogenous lipids. At a later point in time, evidence was presented for exogenous lipids in the vacuoles of paraffinomas, leading to the assumption that interstitial paraffin cannot be absorbed and dissolved in vivo [29].

Histologically, paraffinoma is a granulomatous foreign body reaction that results from the interstitial application of oily substances [4]. The microscopic characteristics of paraffinoma are already well characterized [17], [33], [45]. So-called oil cysts with empty centres and rims of foamy or multinucleated macrophages represent the typical lesion of the paraffinoma. Due to the process of tissue conservation (usually in paraffin) and preparation (dewaxing procedures), however, the oil is usually completely washed out from the slices, and the interstitial or even intracellular vacuoles represent the residues of the oil [19], [24]. These vacuoles are surrounded by giant cells, a variably dense, eosinophilic infiltrate of round cells and a marked fibrosis [15]. Our immunohistochemical analysis of oil granuloma specified the cellular components involved in the process of foreign body reaction, macrophages and lymphocytes.

Complete surgical excision is considered to be the treatment of choice. However, a complete excision is not always possible, e.g. due to the functional impairments after wide resection or the stark extent of paraffin distribution [2], [30], [44]. A perilesional approach was successfully applied to remove foreign body granulomas [31]. In this case we also considered a hidden oral incision line somewhat distant from the palpable masses to be adequate for approaching the oil granulomas. The w-shaped incision allowed the excision and retraction of the lip in the region of prominent granulomas. However, the scar tissue clearly adhered to the covering lip epithelia. Thus, only a partially excision was carried out below the red portion of the lips in order to maintain the characteristic lip epithelia. However, any surgical attempt to improve the appearance by removing the paraffinoma or other foreign bodies used as filler must take into account that the expectations of patients presumably will not fully be accomplished [40].

Paraffinoma can be the physical finding that indicates a body dysmorphic disorder and other severe psychiatric disorders [34]. Therefore, supportive psychological therapy should be seriously considered in patients who are surgically treated for paraffinoma resulting from intentional injections into the body.

Conclusion

Interstitial application of paraffin-containing substances of any kind must be avoided in the fields of plastic and reconstructive surgery. Even with surgical therapy of so-called paraffinomas, it is difficult to achieve long-lasting satisfactory results.

Notes

Competing interests

The authors declare that they have no competing interests.


References

[1] Becker H. Paraffinoma as a complication of nasal packing. Plast Reconstr Surg. 1983;72:735-6. DOI: 10.1097/00006534-198311000-00040
[2] Büttner C, Witschel H. Chronische Lipogranulome der Lider nach Nasennebenhöhlenoperationen [Chronic lipogranuloma of the eyelids after paranasal sinus operations]. Fortschr Ophthalmol. 1991;88(5):566-8.
[3] Christensen LH. Host tissue interaction, fate, and risks of degradable and nondegradable gel fillers. Dermatol Surg. 2009;35:1612-19. DOI: 10.1111/j.1524-4725.2009.01338.x
[4] Cohen JL, Keoleian CM, Krull EA. Penile paraffinoma: self-injection with mineral oil. J Am Acad Dermatol. 2002;47:S251-3. DOI: 10.1067/mjd.2002.103995
[5] Corrin B, Crocker PR, Hood BJ, Levison DA, Parkes WR. Paraffinoma confirmed by infrared spectrophotometry. Thorax. 1987 May;42(5):389-90. DOI: 10.1136/thx.42.5.389
[6] Daley T, Damm DD, Haden JA, Kolodychak MT. Oral lesions associated with injected hydroxyapatite cosmetic filler. Oral Surg Oral Med Oral Pathol Oral Radiol. 2011;114:107-11. DOI: 10.1016/j.oooo.2012.03.012
[7] De Gado F, Mazzocchi M, Chiummariello S, Gagliardi DN, Alfano C. Johnson's baby oil, a new type of filler? Acta Chir Plast. 2006;48(4):123-6.
[8] Dumont-Fruytier M, Tennstedt D, Lachapelle JM. Paraffinomes multiples thoraco-abdominaux. Dermatologica. 1980;160:208-14. DOI: 10.1159/000250496
[9] Eo SR, Kim KS, Kim DY, Lee SY, Cho BH. Paraffinoma of the labia. Plast Reconstr Surg. 2004;113:1885-7. DOI: 10.1097/01.PRS.0000119883.13883.11
[10] Eversole R, Tran K, Hansen D, Campbell J. Lip augmentation dermal filler reactions, histopathologic features. Head Neck Pathol. 2013 Sep;7(3):241-9. DOI: 10.1007/s12105-013-0436-1.
[11] Feio PS, Gouvea AF, Lopes JMA. Oral adverse reactions after injection of cosmetic fillers: report of three cases. Int J Oral Maxillofac Surg. 2013 Apr;42(4):432-5. DOI: 10.1016/j.ijom.2012.05.022
[12] Feldmann R, Harms M, Chavaz P, Salomon D, Saurat JH. Orbital and palpebral paraffinoma. J Am Acad Dermatol. 1992 May;26(5 Pt 2):833-5. DOI: 10.1016/0190-9622(92)70116-W
[13] Goldwyn RM. The paraffin story. Plast Reconstr Surg. 1980;65:517-24. DOI: 10.1097/00006534-198004000-00024
[14] Gu DH, Yoon DY, Chang SK, Lim KJ, Cha JH, Seo YL, Yun EJ, Choi CS, Bae SH. CT features of foreign body granulomas after cosmetic paraffin injection into the cervicofacial area. Diagn Interv Radiol. 2010 Jun;16(2):125-8. DOI: 10.4261/1305-3825.DIR.2936-09.0
[15] Hohaus K, Bley B, Köstler E, Schönlebe J, Wollina U. Mineral oil granuloma of the penis. J Eur Acad Dermatol Venerol. 2003;17:585-7. DOI: 10.1046/j.1468-3083.2003.00896.x
[16] Huber A, Burckhardt W. Lipoidgranulom (Vaselinom) Ii. Unterlid. Arch Klin Exp Dermatol. 1964;219:985-7.
[17] Iyengar R, Saint-Cyr M, Gokaslan T, Rao R. Breast paraffinoma. Breast J. 2008 Sep-Oct;14(5):504-5. DOI: 10.1111/j.1524-4741.2008.00633.x
[18] Jham BC, Nikitakis NG, Scheper MA, Papadimitriou JC, Levy BA, Rivera H. Granulomatous foreign-body reaction involving oral and perioral tissues after injection of biomaterials: a series of 7 cases and review of the literature. J Oral Maxillofac Surg. 2009 Feb;67(2):280-5. DOI: 10.1016/j.joms.2008.01.052
[19] Keefe MA, Bloom DC, Keefe KS, Killian PJ. Orbital paraffinoma as a complication of endoscopic sinus surgery. Otolaryngol Head Neck Surg. 2002 Dec;127(6):575-7. DOI: 10.1067/mhn.2
[20] Klein JA, Cole G, Barr RJ, Bartlow G, Fulwider C. Paraffinomas of the scalp. Arch Dermatol. 1985 Mar;121(3):382-5.
[21] Ko CJ, Sarantopoulos GP, Bhuta S, Binder SW. Scalp paraffinoma underlying squamous cell carcinoma. Arch Pathol Lab Med. 2004 Oct;128(10):1171-2. DOI: 10.1043/1543-2165(2004)128<1171:SPUSCC>2.0.CO;2
[22] Kontis TC, Rivkin A. The history of injectable facial filers. Facial Plast Surg. 2009;25:67-72. DOI: 10.1055/s-0029-1220645
[23] Lemperle G, Morhenn V, Charrier U. Human histology and persistence of various injectable filler substances for soft tissue augmentation. Aesthetic Plast Surg. 2003 Sep-Oct;27(5):354-66; discussion 367. DOI: 10.1007/s00266-003-3022-1
[24] Lieb W. Paraffingranulom des Unterlides [Paraffin granuloma of the lower lid]. Klin Monbl Augenheilkd. 1987 Feb;190(2):125-6. DOI: 10.1055/s-2008-1050342
[25] Lombardi T, Samson J, Plantier F, Husson C, Küffer R. Orofacial granulomas after injection of cosmetic fillers. Histopathologic and clinical study of 11 cases. J Oral Pathol Med. 2004 Feb;33(2):115-20. DOI: 10.1111/j.1600-0714.2004.00194.x
[26] Maillard GF. Medical alert: facial wrinkles--injectable filler materials. Plast Reconstr Surg. 2005 Jan;115(1):337-8.
[27] Maly A, Regev E, Meir K, Maly B. Tissue reaction to liquid silicone simulating low-grade liposarcoma following lip augmentation. J Oral Pathol Med. 2004 May;33(5):314-6. DOI: 10.1111/j.0904-2512.2004.00059.x
[28] Mouly R, Dufourmentel C, Grupper C, Arouete J, Pailheret JP, Crehange JR. Huilome palpébral après injection intralacrymale [Palpebral paraffinoma following intralacrimal injection]. Ann Chir Plast. 1972;17(1):61-6.
[29] Newcomer VD, Graham H, Schaffert RR, Kaplan L. Sclerosing lipogranuloma resulting from exogenous lipids. AMA Arch Derm. 1956 Apr;73(4):361-72. DOI: 10.1001/archderm.1956.01550040055008
[30] Ortiz-Monasterio F, Trigos I. Management of patients with complications from injections of foreign materials into the breasts. Plast Reconstr Surg. 1972;50:42-7. DOI: 10.1097/00006534-197207000-00007
[31] Park TH, Seo SW, Kim JK, Chang CH. The efficacy of perilesional surgical approach for foreign body granuloma. Plast Reconstr Surg. 2011 Jun;127(6):121e-3e. DOI: 10.1097/PRS.0b013e318213a15c.
[32] Pontes HA, Pontes FS, de Oliveira GF, de Almeida HA, Guimarães DM, Cavallero FC. Uncommon foreign body reaction caused by botulinum toxin. J Craniofac Surg. 2012 Jul;23(4):e303-5. DOI: 10.1097/SCS.0b013e318252f3e0
[33] Requena L, Requena C, Christensen L, Zimmermann US, Kutzner H, Cerroni L. Adverse reactions to injectable soft tissue fillers. J Am Acad Dermatol. 2011;64:1-34. DOI: 10.1016/j.jaad.2010.02.064
[34] Rodríguez-Martín M, Sáez-Rodríguez M, Carrasco JL, Carnerero A, Cabrera R, Pérez-Robayna N, Melián DD, Sánchez R, Bustínduy MG, Noda A. Self-induced paraffinoma in a schizophrenic patient. J Am Acad Dermatol. 2007 May;56(5 Suppl):S127-8. DOI: 10.1016/j.jaad.2005.12.005
[35] Rollins CE, Reiber G, Guinee DG Jr, Lie JT. Disseminated lipogranulomas and sudden death from self-administered mineral oil injection. Am J Forensic Med Pathol. 1997 Mar;18(1):100-3. DOI: 10.1097/00000433-199703000-00019
[36] Rupec M, Treek W, Braun-Falco O. Zum Paraffingranulom (ein klinische, histologische und histochemische Studie) [On paraffin granuloma (a clinical, histological and histochemical study)]. Dermatol Wochenschr. 1965 Jan;151:129-40.
[37] Schmidt-Westhausen AM, Frege J, Reichart PA. Abscess formation after lip augmentation with silicone: case report. Int J Oral Maxillofac Surg. 2004 Mar;33(2):198-200. DOI: 10.1054/ijom.2002.0467
[38] Schweitzer I. Zur Kasuistik der Paraffinome [Case reports on paraffinoma]. Zentralbl Chir. 1951;76(10):642-6.
[39] Shahrabi Farahani S, Sexton J, Stone JD, Quinn K, Woo SB. Lip nodules caused by hyaluronic acid filler injection: report of three cases. Head Neck Pathol. 2012 Mar;6(1):16-20. DOI: 10.1007/s12105-011-0304-9.
[40] Sinrachtanant C, Tantinikorn W, Warnnissorn M, Assanasen P. Sclerosing lipogranuloma of the nose: a new treatment using adipose tissue transplantation. Facial Plast Surg. 2003 Nov;19:363-7
[41] Soyer HP, Petritsch P, Glavanovitz P, Kerl H. Sklerosierendes Lipogranulom (Paraffingranulom) des Penis unter dem klinischen Bild eines Karzinoms [Sclerosing lipogranuloma (paraffin-induced granuloma) of the penis with a clinical picture of carcinoma]. Hautarzt. 1988 Mar;39(3):174-6.
[42] Touraine R, Mathieu A, Wechsler J. Oléome du visage après infiltrations à but esthétique [Oleoma of the face following infiltrations for cosmetic reasons]. Ann Dermatol Venereol. 1985;112(9):767-8.
[43] Uchida Y, Yoshii N, Kubo H, Kanzaki T, Kanekura T. Facial paraffinoma after cosmetic paraffin injection. J Dermatol. 2007 Nov;34(11):798-800. DOI: 10.1111/j.1346-8138.2007.00388.x
[44] Urbach F, Wines SS, Johnson WC, Davies RE. Generalized paraffinoma (sclerosing lipogranuloma). Arch Derm. 1971;103:277-85. DOI: 10.1001/archderm.103.3.277
[45] van der Waal I. Paraffinoma of the face: a diagnostic and therapeutic problem. Oral Surg Oral Med Oral Pathol. 1974;38:675-80. DOI: 10.1016/0030-4220(74)90384-3
[46] Yeo IK, Kim BJ, Kim MN, Mun SK, Koh HJ, Kim H, Park WS. Treatment of facial paraffinoma with a bipolar radiofrequency device. J Dermatol. 2013 Sep;40(9):762-3. DOI: 10.1111/1346-8138.12246.
[47] Zeeck A, Grond S, Papastavrou I, Zeeck SC. Chemie für Mediziner. München: Urban und Fischer; 2010. p. 184.