Long-term outcome after implantation of a nickel-containing cemented hip stem on the right in a patient with type IV sensitization to nickel sulphate
Sarah Armonies 1Dirk Zajonz 1
Regina Treudler 2
Andreas Roth 1
Mohamed Ghanem 1
1 Department of Orthopedics, Traumatology and Plastic Surgery, University Hospital Leipzig, Germany
2 Department of Dermatology, Venerology and Allergology, University Hospital Leipzig, Germany
Abstract
Type IV allergies to nickel sulfate, potassium dichromate and/or cobalt chloride are supposed to be associated with aseptic loosening, pain or infections in patients with hip arthroplasty. However, there is debate on any causal relation between type IV sensitization to metals and any of these complications. We report on a patient with suspicion of pre-existing type IV sensitization to nickel sulfate and potassium dichromate who did not show any complications after hip arthroplasty.
Keywords
nickel-sulfate allergy, joint replacement, type IV sensitization
Introduction
Patients with type IV allergies to nickel sulphate, potassium dichromate and/or cobalt chloride are supposed to develop aseptic loosening, pain or infections following joint arthroplasty, if the above mentioned materials come in direct contact with bones and tissues.
However, there is debate on any causal relation between type IV sensitization to metals and any of these complications. We report on a patient with suspicion of preexisting type IV sensitization to nickel sulphate and potassium dichromate who did not show any complications after hip arthroplasty with non-titanium covered stem.
Case description
Medical history
A 67-year-old man complained of progressive hip pain for 8 years. Activities of daily living, especially walking distance, were limited. Physiotherapy and non-steroidal anti-inflammatory drugs could not bring any relief. Clinical examination of the patient showed a right-sided limping, positive Trendelenburg’s sign and a range of motion of the right hip of: extension/flexion 0/0/90°, abduction/adduction 20/0/10° and external rotation/internal rotation 30/0/20°. Total hip replacement was indicated.
In addition, the patient suffered from arterial hypertension, benign prostatic hyperplasia, diabetes mellitus type II and latent hypothyroidism. 20 years prior to the scheduled surgery, a patch testing showed a type IV sensitization to a mix of fragrances and propipocainhydrochlorid. Moreover, the patient reported on eczema of the feet after wearing leather shoes. Hence, an allergy to potassium dichromate was suspected. Further, he reported on eczema after wearing nickel-containing materials. This disappeared after he went in retirement. A preoperative patch testing was not performed.
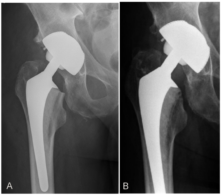
The preoperative planning showed that the second largest cementless titanium-covered femoral stem would be adequate. Yet, intraoperative probation showed that the largest cementless stem was too small. An experienced allergologist was consulted during surgery. There were two options to consider: Girdlestone and second setting implantation of a custom-made or specially ordered large titanium-covered stem or risking implantation of cemented nickel-containing non-titanium covered stem. In this case we favored the second option and planned for postoperative control in the department of allergology. The postoperative course was without any complications (Figure 1A [Fig. 1]). After 3 months, the patient consulted the allergologist. To prevent iatrogenic sensitization, a patch testing of nickel-sulphate and potassium-dichromate was deliberately avoided. Clinical examination was sufficient and it showed no pathological findings.
Figure 1: Postoperative X-ray of the right hip 4 days after operation (A) and 8 years later (B). 
The X-ray 8 years later (B) was done in an external clincic, so unfortunately the complete endosprosthesis is not illustrated. The metaphyseal part shows no loosing. The patient is content and has no symptoms or complaints. Therefore, a current x-ray imaging is unnecessary.
Follow-up
Eight years after implantation of nickel-containing cemented femoral stem, the current clinical examination shows no general or local pathological signs (Figure 1B [Fig. 1]). The patient is content and does not report any general or orthopedic complaints. Walking aids are not used, painkillers are not taken and the walking distance is unlimited. The right hip shows a free range of motion: extension/flexion 0/0/90°, abduction/adduction 40/0/30°, external rotation/internal rotation 45/0/30°. Further, clinical examination shows equal leg length, no Trendelenburg’s sign and intact peripheral circulation and neurological findings.
The Harris Hip Score (HHS) was 79 points, the Western Ontario and McMaster Universities Osteoarthritis Index (WOMAC) score was 37 points, which is considered very good.
Further, the patient reports no contact dermatitis since the right-sided total hip replacement. Clinical examination showed no evidence of any pathological skin changes.
Discussion
In recent years and decades, the worldwide number of joint replacement surgery has increased. In 2016, the number of total hip replacement in Germany amounted to 137,295 [1]. In light of this, discussions about the effects of possible contact allergies on the hip joint endoprosthetic components are increasingly becoming the focus of experts.
Allergic reactions manifest themselves as cutaneous and extracutaneous symptoms [2]. For example, type IV sensitizations to nickel sulphate, potassium dichromate and cobalt chloride are associated with an increased risk of aseptic loosening, persistent pain, and peri-implant osteolysis in endoprosthesis [3], [4]. In particular, materials such as nickel sulphate, potassium dichromate and cobalt chloride, which constitute most of the alloys of a hip joint endoprosthesis, have been previously detected as allergens [5], [6], [7].
It is known that type IV sensitizations can lead to activation of T-lymphocytes, which clinically promote complications such as osteolysis, endoprosthetic loosening and, as a result, the need for revision surgery [7]. Magone et al. describe in their review that osteolysis can be caused by released metal ions, which can occur especially in abrasion and metal-metal pairings. As a result, proinflammatory cytokines are activated and an inflammatory cascade is triggered, which can lead to osteolysis [8]. However, such complications are less likely, if further investigations are carried out prior to surgery [4].
In our reported case, patient history makes us suspect sensitization to nickel sulphate and potassium dichromate, which are standard components of hip endoprosthetic devices [5]. In this context, it should be pointed out that supposed nickel allergies/sensitizations are mostly based on information obtained from patients based on previous allergic reaction to nickel sulphate. This is a common problem that Schnuch et al. already described in 2002. They noted that the 15% prevalence of contact sensitization to nickel sulphate in their cohort was limited to the totality as many patients reported to have a nickel allergy, which was not confirmed by well-established dermatological tests. This would mean that there is a significant number of unreported cases [9]. Accordingly, the Europe-wide prevalence of nickel allergies is reported to be 9–18% [9], [10], [11], [12]. According to such information, it can be assumed that the possible consequences of contact allergies in the case of hip arthroplasty affect every 10th inhabitant and are therefore quite relevant in this aspect. On the other hand, the clinical relevance has to be analyzed. Individual studies point to the fact that, despite high rates of sensitization to nickel sulphate and potassium dichromate, only a few patients have clinical manifestations. Accordingly, dermatological efflorescence such as eczema would be more in the foreground, as peri-implant infections and loosening of the implants [13], [14], [15], [16].
Thus, neither postoperative eczema, nor a loosening or infection could be detected upon follow-up clinical examination. Rather, the X-ray examination performed in the previous year showed no signs of loosening. Likewise, neither osteolysis, nor increased pain or infection were identified [3], [7], [8]. Further, low grade infection and arthrofibrosis should be considered, especially in cases of suspected metal allergy [17]. Thus, Thomsen et al. stated that this should be diagnosed by arthroscopically drawn samples [18], [19]. In our case, there weren’t any general or local pathological manifestations. According to HHS and WOMAC score the outcome was very good. This result is consistent with scientific findings such as those of Thyssen et al., which compare revision rates of hip endoprosthesis in the presence of metal allergy to the results of a control group. They showed that the prevalence of revisions was the same in both groups and that no increased complications occurred in the presence of metal allergy [20]. In this context, it should be noted that in our presented case a cemented stem was implanted. So, the cement sheath possibly prevented direct contact of metal with the surrounding bone and soft tissues. Nevertheless, it should be noted that the bone cement and its constituents can cause type IV sensitizations [21]. As reported in literature, a direct contact of implants to the skin could be a trigger of cutaneous symptoms e.g. dermatitis [2], [22]. However, it should be kept in mind that possible skin reactions to metals are not one to one to transfer to the synovium. Thomsen et al. reported in their review that a transferability of skin reaction to metals on the synovial membrane was questionable [18], [19].
In the overall evaluation of our presented case, it should be noted that despite the urgent clinical suspicion of nickel sulphate and potassium dichromate sensitization, no complications occurred after implantation of a hip joint endoprosthesis containing these materials.
Conclusions
The presented case indicates that existing sensitizations to nickel sulphate and potassium dichromate are not necessarily associated with increased complications after total hip replacement. Preoperative epicutaneous testing in the case of a known metal allergy or sensitization is critically discussed in literature [4], [23], [24]. To obtain a valid statement, further methodically designed studies should be performed.
Notes
Informed consent
The patient has agreed on publication. A written consent is documented.
Competing interests
The authors declare that they have no competing interests.
References
[1] Grimberg A, Jansson V, Liebs T, Melsheimer O, Steinbrück A. Endoprothesenregister Deutschland Jahresbericht 2016. Mit Sicherheit mehr Qualität. Berlin: EPRD; 2016.[2] Treudler R. Welchen Zusammenhang gibt es zwischen Implantatkomplikationen und Allergien [What relationship exists between implant complications and allergies?]. J Dtsch Dermatol Ges. 2009 May;7(5):403-4. DOI: 10.1111/j.1610-0387.2009.07085.x
[3] Thomas P. Clinical and diagnostic challenges of metal implant allergy using the example of orthopaedic surgical implants: Part 15 of the Series Molecular Allergology. Allergo J Int. 2014;23(6):179-85. DOI: 10.1007/s40629-014-0023-3
[4] Teo WZW, Schalock PC. Metal Hypersensitivity Reactions to Orthopedic Implants. Dermatol Ther (Heidelb). 2017 Mar;7(1):53-64. DOI: 10.1007/s13555-016-0162-1
[5] Holzwarth U, Thomas P, Kachler W, Göske J, Schuh A. Metallkundliche Differenzierung von Kobalt-Chrom-Legierungen für Implantate [Metallurgical differentiation of cobalt-chromium alloys for implants]. Orthopade. 2005 Oct;34(10):1046-7, 1049-51. DOI: 10.1007/s00132-005-0849-y
[6] Basketter DA, Angelini G, Ingber A, Kern PS, Menné T. Nickel, chromium and cobalt in consumer products: revisiting safe levels in the new millennium. Contact Derm. 2003 Jul;49(1):1-7. DOI: 10.1111/j.0105-1873.2003.00149.x
[7] Lohmann CH, Hameister R, Singh G. Allergies in orthopaedic and trauma surgery. Orthop Traumatol Surg Res. 2017 Feb;103(1S):S75-S81. DOI: 10.1016/j.otsr.2016.06.021
[8] Magone K, Luckenbill D, Goswami T. Metal ions as inflammatory initiators of osteolysis. Arch Orthop Trauma Surg. 2015 May;135(5):683-95. DOI: 10.1007/s00402-015-2196-8
[9] Schnuch A, Uter W, Geier J, Gefeller O; IVDK study group. Epidemiology of contact allergy: an estimation of morbidity employing the clinical epidemiology and drug-utilization research (CE-DUR) approach. Contact Derm. 2002 Jul;47(1):32-9. DOI: 10.1034/j.1600-0536.2002.470107.x
[10] Uter W, Amario-Hita JC, Balato A, Ballmer-Weber B, Bauer A, Belloni Fortina A, Bircher A, Chowdhury MMU, Cooper SM, Czarnecka-Operacz M, Dugonik A, Gallo R, Giménez-Arnau A, Johansen JD, John SM, Kieć-Świerczyńska M, Kmecl T, Kręcisz B, Larese Filon F, Mahler V, Pesonen M, Rustemeyer T, Sadowska-Przytocka A, Sánchez-Pérez J, Schliemann S, Schuttelaar ML, Simon D, Spiewak R, Valiukevičienė S, Weisshaar E, White IR, Wilkinson SM. European Surveillance System on Contact Allergies (ESSCA): results with the European baseline series, 2013/14. J Eur Acad Dermatol Venereol. 2017 Sep;31(9):1516-25. DOI: 10.1111/jdv.14423
[11] Schäfer T, Böhler E, Ruhdorfer S, Weigl L, Wessner D, Filipiak B, Wichmann HE, Ring J. Epidemiology of contact allergy in adults. Allergy. 2001 Dec;56(12):1192-6. DOI: 10.1034/j.1398-9995.2001.00086.x
[12] Ahlström MG, Thyssen JP, Menné T, Johansen JD. Prevalence of nickel allergy in Europe following the EU Nickel Directive - a review. Contact Derm. 2017 Oct;77(4):193-200. DOI: 10.1111/cod.12846
[13] Przybilla B, Thomas P, Summer B. Allergische Reaktionen auf Metallimplantate. Dtsch Arztebl. 2001;98(30):A-1971-4.
[14] Bergschmidt P, Bader R, Finze S, Schulze C, Kundt G, Mittelmeier W. Comparative Study of Clinical and Radiological Outcomes of Unconstrained Bicondylar Total Knee Endoprostheses with Anti-allergic Coating. Open Orthop J. 2011;5:354-60. DOI: 10.2174/1874325001105010354
[15] Gustafson K, Jakobsen SS, Lorenzen ND, Thyssen JP, Johansen JD, Bonefeld CM, Stilling M, Baad-Hansen T, Søballe K. Metal release and metal allergy after total hip replacement with resurfacing versus conventional hybrid prosthesis. Acta Orthop. 2014 Aug;85(4):348-54. DOI: 10.3109/17453674.2014.922730
[16] Nater JP, Brain RG, Deutman R, Mulder TJ. The development of metal hypersensitivity in patients with metal-to-plastic hip arthroplasties. Contact Derm. 1976 Oct;2(5):259-61. DOI: 10.1111/j.1600-0536.1976.tb03044.x
[17] Krenn V, Otto M, Morawietz L, Hopf T, Jakobs M, Klauser W, Schwantes B, Gehrke T. Histopathologische Diagnostik in der Endoprothetik: Periprothetische Neosynovialitis, Hypersensitivitätsreaktion und Arthrofibrose [Histopathologic diagnostics in endoprosthetics: periprosthetic neosynovialitis, hypersensitivity reaction, and arthrofibrosis]. Orthopade. 2009 Jun;38(6):520-30. DOI: 10.1007/s00132-008-1400-8
[18] Thomsen M, Krenn V, Thomas P. Adverse Reaktionen gegenüber orthopädisch-chirurgischen Metallimplantaten nach Kniegelenkersatz [Adverse reactions to metal orthopedic implants after knee arthroplasty]. Hautarzt. 2016 May;67(5):347-51. DOI: 10.1007/s00105-016-3793-3
[19] Thomsen M, Rozak M, Thomas P. Verwendung von Allergieimplantaten in Deutschland: Ergebnisse einer Umfrage [Use of allergy implants in Germany: results of a survey]. Orthopade. 2013 Aug;42(8):597-601. DOI: 10.1007/s00132-012-2032-6
[20] Thyssen JP, Jakobsen SS, Engkilde K, Johansen JD, Søballe K, Menné T. The association between metal allergy, total hip arthroplasty, and revision. Acta Orthop. 2009 Dec;80(6):646-52. DOI: 10.3109/17453670903487008
[21] Schuh A, Thomas P, Reinhold R, Holzwarth U, Zeiler G, Mahler V. Allergie auf Knochenzementbestandteile nach Knieendoprothesenimplantation [Allergic reaction to components of bone cement after total knee arthroplasty]. Zentralbl Chir. 2006 Oct;131(5):429-31. DOI: 10.1055/s-2006-949533
[22] Thomas P, Stauner K, Schraml A, Mahler V, Banke IJ, Gollwitzer H, Burgkart R, Prodinger PM, Schneider S, Pritschet M, Mazoochian F, Schopf C, Steinmann A, Summer B. Charakteristika von 200 Patienten mit Verdacht auf Implantatallergie im Vergleich zu 100 beschwerdefreien Endoprothesenträgern [Characteristics of 200 patients with suspected implant allergy compared to 100 symptom-free arthroplasty patients]. Orthopade. 2013 Aug;42(8):607-13. DOI: 10.1007/s00132-012-2038-0
[23] Razak A, Ebinesan AD, Charalambous CP. Metal allergy screening prior to joint arthroplasty and its influence on implant choice: a delphi consensus study amongst orthopaedic arthroplasty surgeons. Knee Surg Relat Res. 2013 Dec;25(4):186-93. DOI: 10.5792/ksrr.2013.25.4.186
[24] Eben R, Dietrich KA, Nerz C, Schneider S, Schuh A, Banke IJ, Mazoochian F, Thomas P. Kontaktallergieraten gegen Metalle und Knochenzementbestandteile bei Patienten mit Endoprothesenunverträglichkeit [Contact allergy to metals and bone cement components in patients with intolerance of arthroplasty]. Dtsch Med Wochenschr. 2010 Jul;135(28-29):1418-22. DOI: 10.1055/s-0030-1262426



