The short stem GHEs in total hip replacement – experience after 380 implantations
Mohamed Ghanem 1M. Farag 1
P. Schneider 1
P. Hitzler 1
J. Gulow 1
G. Freiherr von Salis-Soglio 1
1 Orthopädische Klinik und Poliklinik, Universitätsklinikum Leipzig, Leipzig, Germany
Abstract
Introduction: Standard straight stems have been recognized as a gold standard implant in the field of hip replacement surgery. However, lately uncemented bone-preserving short stems started to gain more and more popularity. This was reflected in the increasing variety of available models. Up till now, short and mid-term results are available.
Patients and methods: In 2002, the cementless short stemmed GHEs was introduced. 380 patients were included in our study between 2002 and 2008. Only GHEs short stems were implanted. The clinical and radiological evaluations were performed in the Orthopaedic Department, Leipzig University Hospitals, on the average of 24 months (3 to 60 months) postoperatively.
Results: 365 primary implantations and 15 revision implantations were carried out. Average age 60 years. Favourable clinical and radiological outcome was seen in 361/380 patients (95%). Postoperative complications were seen in 19/380 patients (5%): 8 fissures/fractures (2.1%), 5 infections (1.3%), 4 aseptic loosenings (1.1%), 2 dislocations (0.5%).
Conclusions: Short stem implants, including our own experience with GHEs model, are satisfying and promising. They represent a valuable supplementation of the treatment modalities in hip replacement surgery. However, long term results are still awaited.
Keywords
hip replacement, short stems, GHEs, proximal anchorage, narrow bone marrow
Introduction
Stems for total hip replacement (THR) differ in terms of implant material, length, style and type of anchoring in bone. Regarding anchoring the following classification seems useful:
- Hip resurfacing (epiphyseal anchoring)
- Femoral neck prosthesis (metaphyseal anchoring)
- Short stem (short metaphyseal and diaphyseal anchoring)
- Standard shafts (metaphyseal and longer diaphyseal anchoring).
Short stems are stems for THR that are anchored in the metaphysis and the proximal part of the diaphysis and are shorter than the classic standard stems. Although there are individual differences, the common denominator in the philosophy of proximal transmission lies in the fact that all short stems are characterized by a shorter length. Their benefits are seen in the lower invasiveness of the primary procedure. Furthermore, in case of loosening a revision is easier compared to standard shafts. Therefore, they are favored mainly in the treatment of younger patients.
First, we would like to highlight the characteristics of the short stems which are in common clinical use as well shortly referring to the published results. Then the short stem GHEs is presented with a report on the experience after 380 implantations.
Pipino stem
The first short stem was designed in 1977 by Pipino and first implanted in 1979. The Pipino stem is so far the only short stem which can be used both cemented and cementless. Pipino et al. [7] reported favorable early results first time in 1987:
280 implantations, from 1979 to 1996, 233 cemented, 47 cementless, follow-up 1–7 years 87.5% excellent and good results, 3 stem dislocations. In 2000 Pipino et al. [8] presented 44 long-term courses (>10 years) with 82% excellent and good results, although 6 patients complained of a persistent thigh pain.
Mayo short stem
In the early 80s Morrey et al. [6] at the Mayo Clinic (USA) have developed a cementless short-stem system which was first implanted in 1985. The results in the first 146 patients (162 hips, follow-up average of 6.2 years) were published in 2000. The implantations were performed in younger patients with a mean age of 51 years. The Harris hip score improved from 66.3 to 90.4 points. Revision operations – mainly due to a wear-induced loosening were required in 6% of patients. In 3 patients mechanical failure of anchoring developed which necessitated revision surgery. In 10 cases there were intraoperative femoral fractures. Thigh pain was not registered with stable integrated stems.
Hube and Hein [4] reported good results after analysis of the first 192 operations (1999–2001), but the authors also refer to an existing learning curve as reflected in 7 intraoperative femoral fractures.
In 2004, Hube et al. [5] reported on a prospective randomized comparative study between Mayo short stem and a standard shaft. They noticed significantly better results using the short stem particularly in the early postoperative period (3 months).
C.F.P.® stem
The CFP® stem constitutes a development of the Pipino-stem. It is in clinical use since 1996 and is cementlessly implanted.
Röhrl et al. [10] published in 2006 a clinical, radiographic and radio-stereometric analysis performed 2 years post-operatively in 26 patients. Only a low migration and a slight varus or valgusdrift were reported, but no bone resorption was noticed.
Despite apparently high numbers of operations, there are currently no other scientific publications on short and medium term results.
Metha short stem
The Metha short stem is characterized by a microporous titanium coating and an additional proximal applied dicalcium phosphatdihydrat cover; it has a modular cone adapter. The first publication of Bücking et al. [2] reported good clinical and radiological results in 29 patients 1 year long. Loosening did not occur during this period.
PROXIMA™
The PROXIMA™ short stem constitutes a development of an individual stem and consists of a titanium composite with microporous hydroxyapatite.
In a multicenter study, 28 patients were reexamined with a maximum followed up of 13 months postoperatively, with evidence of early osseointegration.
Santori et al. [12] reported in 2006 on the development in 111 patients (131 operations), which had been treated between 1995 and 2004 with a precursor model of PROXIMA™ endoprosthesis. After an average follow-up of 5.3 years after surgery, there were very good clinical results, no thigh pain, no revision and no radiographic signs of loosening. The authors stress on the importance of avoiding oversized stems and consider a circular anchoring in the cancellous bone optimal.
Westphal et al. [15] conducted an in vitro study comparing the PROXIMA™ shaft and a standard shaft with a cyclic load by at 3,515 cycles. Regardless of the implant size, the short stem showed greater migration (especially in varus direction) than the standard stem. However, there were no differences concerning cyclic motion and function of load. The authors emphasize the importance of a good proximal bone quality and assess smaller implant sizes with “cancellous” fixation as much better regarding the cyclic motion compared to larger implants with “cortical” fixation.
GHEs stem
In 2002, von Salis-Soglio and Grundei developed the cementless short-stem GHEs (Figure 1 [Fig. 1]), which has a macroporous metallspongeous surface. The implant is collarless, is fully macroporous and constitutes two thirds of the length of a conventional standard shaft.
Figure 1: Orthodynamics short stem GHEs
The GHEs is titanium-niobium-coated so that implantation is possible in patients with nickel or cobalt allergy. There are 7 sizes. The surgical technique of both, femoral head resection and the medullary preparation, of GHEs are identical to those of the standard shaft. The medullary reamers are adapted to the length of the short stem. The preoperative planning is generally computer-assisted in our department. If an optimal fit of the implant is not assured during the operation, the transition to a standard shaft is possible.
Postoperatively, patients are allowed partial weight bearing (20 kg) for 3 weeks starting on the first day after surgery. After the end of the third week full weight bearing is allowed. The results of the first 55 implantations (November 2002 to December 2004) were reported in 2006 [14]. Thereafter, a subsequent analysis of 131 operations [3] showed favorable early results.
In mid-2009 there was a renewed evaluation of 380 implants in 340 patients. The main results are described briefly as follows:
- 380 implantations in 340 patients
- average age 60 years (35–86 years)
- 187 women and 153 men
- average postoperative observation period: 24 months (3–60)
- indications:
- 342 x coxarthrosis
- 23 x avascular necrosis of the femoral head (Figure 2 [Fig. 2])

Figure 2: Aseptic necrosis of both femoral heads treated with THR using GHEs
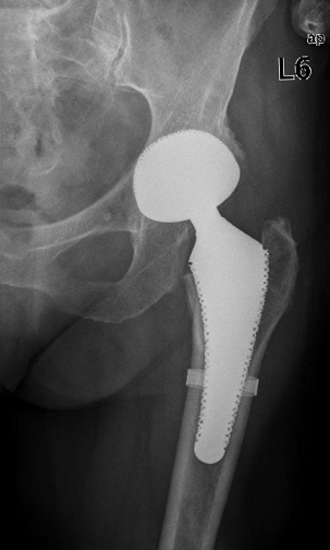
- 15 x aseptic loosening of the shaft (Figure 3 [Fig. 3])

Figure 3: Aseptic loosening, revision arthroplasty using GHEs
- Uncomplicated results without any pathological clinical or radiological findings in 361/380 cases (95%)
- Complications in 19/380 cases (5%):
- 8 (2.1%) intraoperative fractures
– 4 x treated conservatively (minimal weight bearing, i.e. less than 10 kg, for 3 weeks, then partial weight bearing for another 3 weeks, thereafter transition to full weight bearing, healing was radiologically obvious after 6–12 weeks)
– 3 x treated intraoperatively with cerclage osteosynthesis (Figure 4 [Fig. 4])
– 1 with NCB plate osteosynthesis (spiral fracture)
Figure 4: Intraoperativ undislocated fracture treated with cerclage
- 5 (1.3%), deep infection (2 x implant removal, 1 x change to standard shaft, 2 x revision and implantation of cemented stem)
- 2 (0.5%) dislocations (after revision surgery)
- 4 (1.1%), aseptic loosening (2 x revision using standard shaft, 2 x revision and implantation of cemented stem)
Discussion
On reviewing literature, the reported results of using short stems in hip arthroplasty can be considered as encouraging. This is supported by our results presented here with the GHEs short stem. However, long-term results are only reported on the Pipino stem and on the Mayo stem present [5], [6], [8].
Concerning intraoperative fractures observed, authors assume a significant learning curve with these implants. This is probably due to the fact that short segmented anchoring of the stem necessitates a high primary stability which must be implemented to ensure the long-term osseointegration.
According to the analysis of Westphal et al. [15], [16] the anchorage in purely cancellous area seems to be better than cortical anchoring. This in turn requires a good quality of cancellous bone in the proximal femur, so that the indications in the elderly must be strictly carried out.
The results of comparative analyzes of periprosthetic bone density using DEXA method that have been reported by several groups [1], [3] are encouraging. In these studies, the strongest decrease in bone density showed for all cases using the standard shafts are in the proximal medial part of the femoral cotrex, while bone resorption using the short stems was significantly smaller. The frequently heard argument of a bone-sparing surgical technique using short stems is certainly not valid for all implants. Revision surgery of short stems is not free of complication. A particular advantage is, however, that even in case of narrow tapering bone marrow spaces, the use of a sufficiently large implant is possible, so that a proximal undersized and possibly a swing of a prosthesis followed by “stress-shielding” can be prevented.
Should the concept of the proximal load transmission of short stems prove of value, this would by no means imply a change of the other shaft types, but it would rather complete a differentiated supply range in total hip arthroplasty ranging from resurfacing to modular revision systems. Depending on individual patient circumstances, the decision can then be made to choose the most appropriate implant shape. The implant system we use has the particular advantage that through concerted instruments and implants we can easily change the intraoperative strategy when this is needed (Figure 5 [Fig. 5]). Additional long-term results are needed to prove, whether the undoubtedly encouraging interim results are justified.
Figure 5: Cementless implant system
Conclusion for clinical practice
The results presented here after our own experience with the GHEs of Orthodynamics are in accordance with the encouraging results of short stems in clinical use that are published in literature. The use of short stems is especially suited for younger patients with distally narrow tapering bone marrow spaces. Their implantation is not easier than that of the classic standard shafts. Further long term results are necessary.
Notes
Competing interests
Prof. Freiherr Georg von Salis-Soglio was a member of the scientific advisory board of the company ESKA until 2010. ESKA was then taken over by the company Orthodynamics (manufacturer of GHEs). No financial or other contributions were made within this context.
The other authors declare that they have no competing interests related to this article.
References
[1] Albanese CV, Rendine M, De Palma F, Impagliazzo A, Falez F, Postacchini F, Villani C, Passariello R, Santori FS. Bone remodelling in THA: A comparative DXA scan study between conventional implants and a new stemless femoral component. A preliminary report. Hip Int. 2006;16 Suppl 3:9-15.[2] Bücking PK, Feldmann P, Wittenberg RH. Metha-Modulare Kurzschaftprothese. Orthop Prax. 2006;42(8):474-7.
[3] Gulow J, Scholz R, Freiherr von Salis-Soglio G. Kurzschäfte in der Hüftendoprothetik [Short-stemmed endoprostheses in total hip arthroplasty]. Orthopäde. 2007 Apr;36(4):353-9. DOI: 10.1007/s00132-007-1071-x
[4] Hube R, Hein W. Die Mayo-Hüfte – eine neue Philosophie zur proximalen Femurverankerung. In: Perka C, Zippel H, eds. Trends und Kontroversen in der Endoprothetik des Hüftgelenkes. Reinbeck: Einhorn; 2002. p. 86-90.
[5] Hube R, Zaage M, Hein W, Reichel H. Frühfunktionelle Ergebnisse einer Kurzschaftprothese des Hüftgelenks mit metaphysär-intertrochantärer Verankerung [Early functional results with the Mayo-hip, a short stem system with metaphyseal-intertrochanteric fixation]. Orthopäde. 2004 Nov;33(11):1249-58. DOI: 10.1007/s00132-004-0711-7
[6] Morrey BF, Adams RA, Kessler M. A conservative femoral replacement for total hip arthroplasty. A prospective study. J Bone Joint Surg Br. 2000 Sep;82(7):952-8.
[7] Pipino F, Calderale PM. Biodynamic total hip prosthesis. Ital J Orthop Traumatol. 1987 Sep;13(3):289-97.
[8] Pipino F, Molfetta L, Grandizio M. Preservation of the femoral neck in hip arthroplasty: results of a 13- to 17-year follow-up. J Orthopaed Traumatol. 2000;1:31-9. DOI: http://dx.doi.org/10.1007/s101950070026
[9] Renkawitz T, Grifka J. Die PROXIMATm Kurzschaftprothese. In: Effenberger H, Zichner L, Richolt J, eds. Hüftschäfte. Grieskirchen: MCU-Vertrieb; 2006. p. 161-5.
[10] Röhrl SM, Li MG, Pedersen E, Ullmark G, Nivbrant B. Migration pattern of a short femoral neck preserving stem. Clin Orthop Relat Res. 2006 Jul;448:73-8. DOI: 10.1097/01.blo.0000224000.87517.4c
[11] Roth A, Richartz G, Sander K, Sachse A, Fuhrmann R, Wagner A, Venbrocks RA. Verlauf der periprothetischen Knochendichte nach Hüfttotalendoprothesenimplantation. Abhängigkeit von Prothesentyp und knöcherner Ausgangssituation [Periprosthetic bone loss after total hip endoprosthesis. Dependence on the type of prosthesis and preoperative bone configuration]. Orthopäde. 2005 Apr;34(4):334-44. DOI: 10.1007/s00132-005-0773-1
[12] Santori FS, Manili M, Fredella N, Tonci Ottieri M, Santori N. Ultra-short stems with proximal load transfer: Clinical and radiographic results at five-year follow-up. Hip Int. 2006;16 Suppl 3:31-9.
[13] Santori N, Albanese CV, Learmonth ID, Santori FS. Bone preservation with a conservative metaphyseal loading implant. Hip Int. 2006;16 Suppl 3:16-21.
[14] von Salis-Soglio G, Gulow J. Große Gelenke: Hüfte: Kurzstiel. In: Gradinger R, Gollwitzer H, eds. Ossäre Integration. Springer: Berlin Heidelberg New York Tokio; 2006. p. 116-9. DOI: 10.1007/978-3-540-35687-5_16
[15] Westphal FM, Bishop N, Honl M, Hille E, Püschel K, Morlock MM. Migration and cyclic motion of a new short-stemmed hip prosthesis--a biomechanical in vitro study. Clin Biomech (Bristol, Avon). 2006 Oct;21(8):834-40. DOI: 10.1016/j.clinbiomech.2006.04.004
[16] Westphal FM, Bishop N, Püschel K, Morlock MM. Biomechanics of a new short-stemmed uncemented hip prosthesis: An in-vitro study in human bone. Hip Int. 2006;16/1 (Suppl 3):22-30.



