GMS Interdisciplinary Plastic and Reconstructive Surgery DGPW__BAI_2

2193-8091__BAI_2


Case Report

Chondroid hamartoma of the liver

 Jan Scheele 1
Johannes Lemke 1
Thomas F. E. Barth 2
Markus Juchems 3
Mathias Wittau 1
Marko Kornmann 1
Doris Henne-Bruns 1

1 Clinic of General and Visceral Surgery, University of Ulm, Ulm, Germany
2 Institute of Pathology, University of Ulm, Ulm, Germany
3 Clinic of Diagnostic and Interventional Radiology, University of Ulm, Ulm, Germany

Abstract

A 60-year-old patient presented with a solitary mass within the right hepatic lobe. Diagnostic imaging revealed a solid tumor on the diameter of 3 cm. In absence of any extrahepatic manifestation and based on FNAC findings the lesion was classisfied a primary hepatic chondroid sarcoma. However, after right hemihepatectomy histologic assessment resulted the final diagnosis of a benign chondroid hamartoma. Our findings add another variant to the versatile phenotype of liver hamartoma.


Keywords

hamartoma, liver tumor, liver resection, FNAC

Introduction

Mesenchymal hamartoma of the liver (MHL) is a benign tumor entity constituing the second most common liver tumor in children <5 years. In adults, otherwise, less than 40 cases have been reported to the literature yet. Interestingly, about 70% were observed in females. Usually hamartomas comprise a mixture of mesodermal and endodermal elements embedded in connective tissue. Bile ducts, liver cells and vessels form well-differentiated structures. In 85% of cases the appearance of liver hamartoma is cystic due to ductal dialtation. However, recent reports of hamartoma with solid structure and myoid differentiation of the mesenchymal components indicate that heterogeneity is considerable.

Case report

A 60-year-old male (BMI: 26 kg/m2) was admitted to our surgical clinic with the diagnosis solitary tumor of the right hepatic lobe encountered on occasion by ultrasound during a routine medical checkup 7 months before. There were no concomitant diseases and the patient did not complain any symptoms.

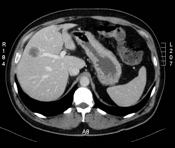
A CT scan of thorax, abdomen and pelvis confirmed a markedly enhancing mass in segment 6 of the liver, measuring about 3 cm (Figure 1 [Fig. 1]). Additional colonoscopy was without pathological findings. FNAC (fine needle aspiration cytology) was performed revealing a well-differentiated chondroid sarcoma with a proliferation index (Ki67) of 10%. Histology was confirmed by a pathology reference service. Based on the histological diagnosis a PET-CT scan and skeletal scintigraphy were undertaken revealing no pathological FDG uptake. Without evidence of any extrahepatic primary the tumor was classified as a sarcoma of hepatic origin. Comprehensive chemical and haematological laboratory did not reveal any pathologic finding. Values for AFP, CEA and CA 19-9 were within normal ranges as well. Since there were no signs of non-resectability the patient was admitted for surgery. Due to the preoperative histology of a chondroid sarcoma a right hemihepatectomy was performed in order to include the biopsy channel resulting in a 15 x 14 x 9.5 cm resection specimen. The tumor was completely resected with a distance of 1.2 cm to the resection margin and 0.9 cm to the liver surface, respectively. Macroscopically the tumor on the cut surface appeared grossly, grayish-white, measuring 3.5 x 2.7 x 2.6 cm. On (immuno-) histological examination the lesion was paucicellular revealing a substantial eosinophilic matrix (Alcian-positive) and a cartilaginous component (Figure 2 [Fig. 2]). Chondroid cells were positive for Vimentin and focally positive for S100 antigen (Figure 3 [Fig. 3]). Ki67 staining showed a proliferation index <1% (0/50 HPF), p53 was completely negative. At the margin the tumor showed remarkable proliferation of bile ducts (CK 7 positive) and interspearsed capillary vessels (CD 34 positive). Given these histologic findings molecular-cytogenetic investigations were performed to further characterise the tumor. Comparative genomic hybridisation revealed neither gain nor loss of chromosomal material. In absence of any signs of malignancy the final diagnosis of a chondroid hamartoma of the liver was made.

Figure 1: CT scan showing a solid liver tumor measuring ~3 cm

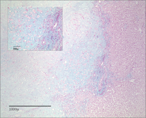
Figure 2: Alcian staining of the eosinophilic matrix of the tumor

Figure 3: Chondroid tumor cells were strongly positive for Vimentin (left) and focally positive for S100 (right) antigen.

Discussion

MHL in adults is believed to be the delayed clinical manifestation of an abnormality that is supposed to have developed in the prenatal period [1]. This one included there are only 12 cases reported in males. Adult MHL was either found left- or right-sided in an equal distribution; bilateral manifestation was found in 6 cases [2].

The exact pathogenesis of MHL is uncertain. The most common theory relates to synchronous aberrant mesodermal development pertaining to the bile ducts [3]. Alternatively, reactive changes to regional ischemia or toxic injury have been proposed [3], [4]. Founded on recent cytogenetic studies a subset of MHL may be neoplastic by sharing similar genetic profile of undifferentiated embryonal liver sarcoma (UELS) [5], [6]. A number of all-pediatric cases of MHL showed malignant transformation into UELS with characteristic genetic rearrangement involving chromosome 19 (band 19q13.4). In our case, an unbalanced genetic defect was excluded by comparative genomic hybridization, favouring the benign nature of the lesion.

In adults, MHL typically presents with unspecific abdominal symptoms like diffuse abdominal pain and, however, in most cases the lesion is found on occasion. The likelyhood of symptoms does not correlate with the size of the tumor, but may be linked to the site/relation to critical structures within the liver. MHL may vary greatly in size ranging from a few centimetres to 30 cm. Postnatal tumor enlargement is attributed mainly to cystic degeneration and fluid retention of the mesenchymal component [1]. With a diameter of 3 cm the tumor presented herewith is among the smallest reported so far and appeared completely solid.

MHL is often misdiagnosed as other pathological lesions because of its inconsistent imaging characteristics. Usually appearance is hypovascular on US, CT and MRT, but otherwise highly variable depending on the distribution of tissues included and the degree of cystic degeneration. Signal intensity is typically low on T1-weigthed MR sequences, but unequal on T2-weighted images. Nakajo et al. presented the first report of FDG PET/CT of MHL in an adult [7]. Examination of a 38-year-old male did not show pathologic FDG uptake in stromal (mesenchymal) portions of the tumor. Photon-deficient areas were corresponding to the cystic proportions of the mass on comparative histological examination. These findings are in line with our PET/CT results except for the lack of photon deficiency by absence of a cystic component.

Since FNAC was found non-diagnostic by the majority of authors, it has no major role in the diagnosis of MHL due to the high heterogeneity of the lesion [8]. Moreover, FNAC was the rationale in our case to perform radical resection in form of a right hemihepatectomy since a chondroid sarcoma is highly prone to tumor implantation along the needle tract.

All studies reported in adults yet put emphasis on the maturity of the mesenchymal component of MHL. Among other aspects a very low proliferation rate suggests that the maximum of proliferation has already taken place before or just after birth [1]. However, the time sequence for proliferation in adults is not known. Furthermore, a recent report of MHL with distinct myoid differentiation in a 17-year-old girl suggests diversity as to quality of maturation [9]. Mature tissue is derived from pluripotent stem cells capable to differentiate into various types. In mesenchymal precursor cells cells may differentiate into muscle, bone and cartilage tissue. With reference to the most striking component of predominantly chondroid cells other pathologies have to be taken into account. A low-grade chondrosarcoma as proposed by FNAC was ruled out by histology on the resection specimen. Comparative genomic hybridization excluded changings at the genomic level. Since chondrosarcomas are characterized by a complex karyotype this finding further favoured a benign lesion. Moreover, PET/CT did not show any extrahepatic tumor and the follow-up prior to surgery for >7 months documented no change in size and appearance.

Conclusion

We conclude that adult mesenchymal hamartoma of the liver (MHL) offers significant variability in terms of histological differentiation. As the mesenchymal component in this lesion was represented by chondroid cells we propose the term “chondroid hamartoma“ to denote the unique character of the tumor. Furthermore, we found that FNAC is not suitable to define this rare condition. In case of questionable dignity, symptomatic or enlarging lesions radical surgical resection is the choice to obtain both, definite treatment and diagnosis.

Notes

Competing interests

The authors declare that they have no competing interests.


References

[1] Stocker JT, Ishak KG. Mesenchymal hamartoma of the liver: report of 30 cases and review of the literature. Pediatr Pathol. 1983 Jul-Sep;1(3):245-67. DOI: 10.3109/15513818309040663
[2] Klaassen Z, Paragi PR, Chamberlain RS. Adult Mesenchymal Hamartoma of the Liver: Case Report and Literature Review. Case Rep Gastroenterol. 2010;4(1):84-92. DOI: 10.1159/000260183
[3] von Schweinitz D, Dammeier BG, Glüer S. Mesenchymal hamartoma of the liver – new insight into histogenesis. J Pediatr Surg. 1999 Aug;34(8):1269-71. DOI: 10.1016/S0022-3468(99)90166-5
[4] Lennington WJ, Gray GF Jr, Page DL. Mesenchymal hamartoma of liver. A regional ischemic lesion of a sequestered lobe. Am J Dis Child. 1993 Feb;147(2):193-6.
[5] O’Sullivan MJ, Swanson PE, Knoll J, Taboada EM, Dehner LP. Undifferentiated embryonal sarcoma with unusual features arising within mesenchymal hamartoma of the liver: report of a case and review of the literature. Pediatr Dev Pathol. 2001 Sep-Oct;4(5):482-9.
[6] Bove KE, Blough RI, Soukup S. Third report of t(19q)(13.4) in mesenchymal hamartoma of liver with comments on link to embryonal sarcoma. Pediatr Dev Pathol. 1998 Sep-Oct;1(5):438-42.
[7] Nakajo M, Jinnouchi S, Hamada N, Sueyoshi K, Matukita S, Tanabe H, Tateno R, Nakajo M. FDG PET/CT findings of mesenchymal hamartoma of the liver in an adult. Clin Nucl Med. 2009 May;34(5):327-9. DOI: 10.1097/RLU.0b013e31819e50dd
[8] Yamamoto M, Hagihara H, Mogaki M, Iimuro Y, Fujii H, Ainota T, Akahane Y, Matsumoto Y. Adult mesenchymal hamartoma of the liver mimicking bile duct cystadenoma. J Gastroenterol. 1994 Aug;29(4):518-24. DOI: 10.1007/BF02361254
[9] Górnicka B, Ziarkiewicz-Wróblewska B, Wróblewski T, Koperski Ł, Pawlak J, Nyckowski P, Krawczyk M, Zimmermann A, Wasiutyński A. Myoid hamartoma of the liver – a novel variant of hamartoma developing in the hilar region and imitating a malignant liver tumor. Med Sci Monit. 2004 Jun;10(6):CS23-6.