Superior performance of cone beam tomography in detecting a calcaneus fracture
Christian Lohse 1Philip Catala-Lehnen 2
Marc Regier 3
Max Heiland 1
1 Department of Oral and Maxillofacial Surgery, University Medical Center Hamburg-Eppendorf, Hamburg, Germany
2 LANS Medicum Hamburg, Germany
3 Diagnostic and Interventional Radiology, University Medical Center Hamburg-Eppendorf, University of Hamburg, Germany
Abstract
Cone beam computed tomography is a state-of-the-art imaging tool, initially developed for dental and maxillofacial application. With its high resolution and low radiation dose, cone beam tomography has been expanding its application fields, for example, to diagnosis of traumata and fractures in the head and neck area. In this study, we demonstrate superior and satisfactory performance of cone beam tomography for the imaging of a calcaneus fracture in comparison to conventional X-ray and computed tomography.
Keywords
cone beam computed tomography, computed tomography, calcaneus fracture, trauma
Introduction
Radiological imaging is an established diagnostic tool for traumata and fractures. At the present, conventional X-ray and computed tomography (CT) are the major tools. However, because of associated radiation risk, the dose of radiation should be kept as low as reasonably achievable [1]. Consequently, the quality and resolution of the imaging can frequently be low.
In 1998, cone beam computed tomography (CBCT) has been developed for imaging the dental and maxillofacial structures. CBCT rotates three-dimensional (3D) radiation beams with corresponding detectors to generate large number of projections from which a 3D reconstruction and volume of the region are calculated in nearly real time. Because of the rotating 3D principle, CBCT demands much low dose of radiation than CT (221 ± 275 mSv vs. 847 ± 313 mSv) [2], [3], [4]. Despite the reduced radiation dose, local resolution of CBCT is substantially higher than that of conventional CT [5]. Furthermore, most CBCT devices are compact and can be operated directly by surgeons (Figure 1 [Fig. 1]). Because of these advantages, the application field of CBCT is being expanding since years. For example, CBCT is becoming a standard imaging tool for dental diagnostic and also traumas in lower jaw and the mid-face conducted by dentists, craniomaxillofacial surgeons and ENTs. Today, more than 47 different types of CBCT devices marketed by 20 companies are available for various applications [6].
Figure 1: Illustration of the Planmeca Verity CBCT (Planmed Oy, Helsinki)
Fractures of the tarsal bone are frequent, accounting approximately 2% of all skeletal fractures. Among the tarsal fractures, approximately 75% are calcaneus fractures [7]. Due to the complex anatomical structure, precise diagnosis of calcaneus fractures is challenging. Especially for discrete fracture lines without dislocation, a 2D X-ray imaging is often not sufficient and additional CT or magnetic resonance imaging (MRI) are frequently required [8]. Because CBCT has high local resolution, it may provide a superior alternative for detection of calcaneus fractures. Its speeding 3D-reconstruction is also an ideal feature for application in emergency surgery. However, so far, application of CBCT for extremity fractures has not been evaluated. In the present study, we compared CBCT with conventional X-ray and CT regarding their performance in diagnosis of a calcaneus fracture (Table 1 [Tab. 1]).
Table 1: Comparison of CBCT and CT
Case description
An accident during cart-ride led to a trauma in the right foot of a 42-year-old healthy male patient. He presented with swelling and pain, and restricted flexibility between talus and calcaneus.
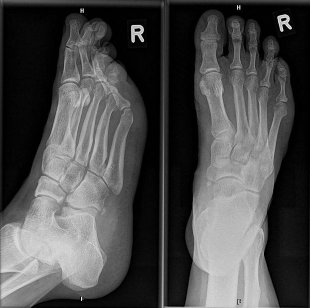
The foot with suspected fracture was imaged with conventional X-ray in two plains: axial and mediolateral (Figure 2 [Fig. 2]). However, no disruption of the bone continuity could be seen. Because of persistently pain a MRI scan was performed 10 days after trauma. There was no indication of a ligament rupture but a suspicion of a fracture of the right processus anterior calcanei. A CT scan was therefore conducted which revealed a calcaneus fracture line (Figure 3 [Fig. 3]).
Figure 2: Scan of the calcaneus with a discrete fracture without dislocation of the bone: Conventional X-ray taken at the initial examination
Figure 3: Scan of the calcaneus with a discrete fracture without dislocation of the bone: CT taken at the initial examination. Arrays indicate the fracture lines
Since the fracture did not cause dislocation of the calcaneus bone, the patient received a conservative therapy with analgetics (Ibuprofen 600 mg, Ratiopharm GmbH, Ulm, Germany) and a dynamic vacuum orthosis (VACOped). At this moment an immobilization for six weeks was recommended without surgical intervention.
Six weeks later, the patient received a control examination for the healing process. To reduce radiation dose, a CBCT was performed. A thin fracture line of the calcaneus was clearly visible (Figure 4 [Fig. 4]). Some sections indicated ossification signs as proof of a healing process (Figure 4 [Fig. 4]). Hence, there was no need for a surgical approach.
Figure 4: Scans of the calcaneus with a discrete fracture without dislocation of the bone: CBCT taken 6 weeks later at a follow-up examination
Discussion
CBCT easily detected a discrete fracture in the complex calcaneus. Comparing with CT, the thin fracture was more distinct in the CBCT scans although the fracture was readily in healing process and therefore should be less visible. Consequently, an even distinct imaging of the fracture could be expected by a CBCT scan at initial diagnosis.
Beside their high-resolution and low radiation dose, CBCT devices are generally compact and therefore can be installed in even small offices. To date, more than 47 different types of CBCT devices are available for various anatomical regions with varying positioning of the patients [6]. The Planmeca Verity CBCT (Planmed Oy, Helsinki) is especially suitable for imaging extremities. Another important feature is the mobility of this device. Furthermore, most CBCT devices can be operated by surgeons themselves [9]. By contrast, CT usually has to be performed by a radiologist and the scans have to be evaluated by them. Because a CBCT calculates a 3D reconstruction of the scanned region immediately and has an integrated navigation function, it enables intra-operative control and navigation if needed.
While CBCT delivers superior resolution of bone tissues, it is less suitable for imaging of soft tissues. Unlike CT, no contrast reagents can be used for CBCT. Another weakness of CBCT is the lack of normalized density scale [5]. By contrast, CT scans can be evaluated using normalized Hounsfield scale. However, development is in progress toward a standardized radiodensity scale even for CBCT [10].
Conclusion
Because of its high-resolution scans at low radiation dose, CBCT provides a highly recommended alternative tool also for detecting fractures of extremities.
Notes
Competing interests
This study was supported by SCS Systems Consulting Solutions GmbH, Aschaffenburg, Germany, providing the CBCT device.
References
[1] Farman AG. ALARA still applies. Oral Surg Oral Med Oral Pathol Oral Radiol Endod. 2005 Oct;100(4):395-7. DOI: 10.1016/j.tripleo.2005.05.055[2] Coppenrath E, Draenert F, Lechel U, Veit R, Meindl T, Reiser M, Mueller-Lisse U. Schnittbildverfahren zur dentomaxillofazialen Diagnostik: Dosisvergleich von Dental-MSCT und NewTom® 9000 DVT [Cross-sectional imaging in dentomaxillofacial diagnostics: dose comparison of dental MSCT and NewTom 9000 DVT]. Rofo. 2008 May;180(5):396-401. DOI: 10.1055/s-2008-1027142
[3] Ludlow JB, Ivanovic M. Comparative dosimetry of dental CBCT devices and 64-slice CT for oral and maxillofacial radiology. Oral Surg Oral Med Oral Pathol Oral Radiol Endod. 2008 Jul;106(1):106-14. DOI: 10.1016/j.tripleo.2008.03.018
[4] Chau AC, Fung K. Comparison of radiation dose for implant imaging using conventional spiral tomography, computed tomography, and cone-beam computed tomography. Oral Surg Oral Med Oral Pathol Oral Radiol Endod. 2009 Apr;107(4):559-65. DOI: 10.1016/j.tripleo.2008.11.009
[5] Suomalainen A, Kiljunen T, Käser Y, Peltola J, Kortesniemi M. Dosimetry and image quality of four dental cone beam computed tomography scanners compared with multislice computed tomography scanners. Dentomaxillofac Radiol. 2009 Sep;38(6):367-78. DOI: 10.1259/dmfr/15779208
[6] Nemtoi A, Czink C, Haba D, Gahleitner A. Cone beam CT: a current overview of devices. Dentomaxillofac Radiol. 2013;42(8):20120443. DOI: 10.1259/dmfr.20120443
[7] Mitchell MJ, McKinley JC, Robinson CM. The epidemiology of calcaneal fractures. Foot (Edinb). 2009 Dec;19(4):197-200. DOI: 10.1016/j.foot.2009.05.001
[8] Pegrum J, Dixit V, Padhiar N, Nugent I. The pathophysiology, diagnosis, and management of foot stress fractures. Phys Sportsmed. 2014 Nov;42(4):87-99. DOI: 10.3810/psm.2014.11.2095
[9] Dawood A, Patel S, Brown J. Cone beam CT in dental practice. Br Dent J. 2009 Jul;207(1):23-8. DOI: 10.1038/sj.bdj.2009.560
[10] Reeves TE, Mah P, McDavid WD. Deriving Hounsfield units using grey levels in cone beam CT: a clinical application. Dentomaxillofac Radiol. 2012 Sep;41(6):500-8. DOI: 10.1259/dmfr/31640433



