Skip to main content
Direkt zum Inhalt

Get in touch.


Contact PUBLISSO
Login
  • EN
  • DE
  • A+
  • A
  • A-
Toggle navigation
Publisso Gold Main Menu
  • PUBLISHING
    • PUBLISSO system
    • Books
      • Book Policy
      • Books Overview
    • Journals
      • Journals Overview
    • Meetings
    • Research Data
    • Repositories
      • Life Sciences Repository
      • Publishing in the Repository for Life Sciences
      • LeibnizOpen
  • ADVICE
    • Guides
    • Publishing Advice: FAQs
    • Workshops
    • Tutorials
    • Online seminars
    • Personal consultations
  • RESEARCH DATA MANAGEMENT
    • Planning
    • Documenting
    • Referencing and finding
    • Publishing
    • Archiving
    • Searching and reusing
  • DIGITAL PRESERVATION
    • Strategic DP at ZB MED
    • Preservation planning
    • DP Metadata
    • Partners
  • WORKING FOR YOU
    • About us
    • Networking and policy shaping
    • Lectures and workshops
    • For the Leibniz Association
    • DOI Service
    1. Journals Overview
    2. GMS Interdisciplinary Plastic and Reconstructive Surgery DGPW
    3. Volume 2
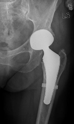
    4. The short stem GHEs in total hip replacement – experience after 380 implantations

Error message

This content has not yet been published

The short stem GHEs in total hip replacement – experience after 380 implantations

  • Abstract
  • Introduction
  • Pipino stem
  • Mayo short stem
  • C.F.P.® stem
  • Metha short stem
  • PROXIMA™
  • GHEs stem
  • Discussion
  • Conclusion for clinical practice
  • Notes
  • References
DataCite Logo

ZB MED is a member of DataCite

DataCite is an international not-for-profit organisation that offers services and know-how relating to the management, referencing and citation of research data.

Total E-Quality Logo

ZB MED advocates gender equality

ZB MED received the TOTAL E-QUALITY award in 2010 and 2013 for successfully implementing gender equality in its staffing structure and personnel policies.

Land Der Ideen - Logo

Award for German Medical Science

German Medical Science (GMS) was awarded the distinction of "Selected landmark 2011" in the "Germany - Land of Ideas" initiative.

OpenAccess - Logo

ZB MED advocates Open Access

ZB MED promotes and supports open access to scientific research through the PUBLISSO portal and other services.

  • Twitter
  • Youtube
Publisso Gold footer EN
  • Sitemap
  • Contact
  • Legal Notice
  • Disclaimer
  • Privacy Policy
  • Accessibility
to top