Skip to main content
Direkt zum Inhalt

Get in touch.


Contact PUBLISSO
Login
  • EN
  • DE
  • A+
  • A
  • A-
Toggle navigation
Publisso Gold Main Menu
  • PUBLISHING
    • PUBLISSO system
    • Books
      • Book Policy
      • Books Overview
    • Journals
      • Journals Overview
    • Meetings
    • Research Data
    • Repositories
      • Life Sciences Repository
      • Publishing in the Repository for Life Sciences
      • LeibnizOpen
  • ADVICE
    • Guides
    • Publishing Advice: FAQs
    • Workshops
    • Tutorials
    • Online seminars
    • Personal consultations
  • RESEARCH DATA MANAGEMENT
    • Planning
    • Documenting
    • Referencing and finding
    • Publishing
    • Archiving
    • Searching and reusing
  • DIGITAL PRESERVATION
    • Strategic DP at ZB MED
    • Preservation planning
    • DP Metadata
    • Partners
  • WORKING FOR YOU
    • About us
    • Networking and policy shaping
    • Lectures and workshops
    • For the Leibniz Association
    • DOI Service
    1. Journals Overview
    2. GMS Interdisciplinary Plastic and Reconstructive Surgery DGPW
    3. Volume 5
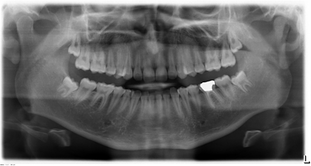
    4. Predictive values derived from lower wisdom teeth developmental stages on orthopantomograms to calculate the chronological age in adolescence and young adults as a prerequisite to obtain age-adjusted informed patient consent prior to elective surgical procedures in young patients with incomplete or mismatched personal data

Error message

This content has not yet been published

Predictive values derived from lower wisdom teeth developmental stages on orthopantomograms to calculate the chronological age in adolescence and young adults as a prerequisite to obtain age-adjusted informed patient consent prior to elective surgical procedures in young patients with incomplete or mismatched personal data

  • Abstract
  • Introduction
  • Material and methods
  • Results
  • Discussion
  • Conclusion
  • Notes
  • References
DataCite Logo

ZB MED is a member of DataCite

DataCite is an international not-for-profit organisation that offers services and know-how relating to the management, referencing and citation of research data.

Total E-Quality Logo

ZB MED advocates gender equality

ZB MED received the TOTAL E-QUALITY award in 2010 and 2013 for successfully implementing gender equality in its staffing structure and personnel policies.

Land Der Ideen - Logo

Award for German Medical Science

German Medical Science (GMS) was awarded the distinction of "Selected landmark 2011" in the "Germany - Land of Ideas" initiative.

OpenAccess - Logo

ZB MED advocates Open Access

ZB MED promotes and supports open access to scientific research through the PUBLISSO portal and other services.

  • Twitter
  • Youtube
Publisso Gold footer EN
  • Sitemap
  • Contact
  • Legal Notice
  • Disclaimer
  • Privacy Policy
  • Accessibility
to top