Flash photography-induced maculopathy
Tim Veugelen 1Carine Coutteel 2
Anita Leys 1
1 Department of Ophthalmology, University Hospitals Leuven, Leuven, Belgium
2 Department of Ophthalmology, Monica Ziekenhuis, Deurne, Antwerpen, Belgium
Abstract
Objective: To report a flash photography-induced maculopathy.
Methods: A professional photographer blinded himself accidentally and he consulted 3 days after the event with a scotoma in his dominant left eye. A unilateral acute light-induced maculopathy with hemorrhage was observed. The lesion was studied with colour photography, fluorescein and indocyanin angiography, autofluorescence imaging and repeated optical coherence tomography (OCT) imaging.
Results: At age 43, this professional photographer was blinded by the flash light of his camera and subsequently realized he had a scotoma in his dominant eye. Three days after the event visual acuity (VA) was 20/70 and an acute light-induced maculopathy was noted. Another three days later, VA was 20/50 and the lesions were less prominent. After one month, the photographer still had problems making sharp pictures, VA was 20/25 and a macular scar was observed. During further follow-up, he regained full vision and experienced no professional problems.
Conclusions: This case illustrates that the light of flash photography can accidentally hit an eye and induce a light-induced maculopathy.
Keywords
flash photography, professional photographer, acute light-induced maculopathy, hemorrhage, foveal atrophy
Introduction
Light-induced maculopathy has been reported in a wide range of settings. Best known are solar maculopathy after sun-gazing or watching a solar eclipse [1], [2], [3], [4], [5], operating microscope-induced maculopathy [6], [7], welders’ maculopathy [8] and laser-induced macular injury [9], [10], [11], [12], [13], [14], [15]. Poppers maculopathy apparently is light-induced [16], [17]. Recently, flood lamp-induced photic maculopathy has been reported [18]. To our knowledge, this is the first report of flash photography-induced maculopathy.
Case report
A 43-year-old photographer was changing the settings of his camera and accidentally was blinded by light from its Nikon SB900 professional flash lamp. Subsequently, he realized he had a scotoma in his dominant left eye (LE) and consulted an ophthalmologist 3 days after the event. In his past history, he had a vitreous floater and underwent in both eyes peripheral retinal lasercoagulation taking into account his familial history of retinal detachment. One year before the incident with the flash light, he underwent lasik correction of 3.5 diopters myopia in both eyes. When we asked for use of poppers, he admitted to have been an occasional user many years ago.
Three days after the event with the flash light, VA was 20/70 and an acute light-induced maculopathy was noted in the LE with a suprafoveal retinal hemorrhage and a yellow swollen aspect of the fovea (Figure 1 [Fig. 1]). Fluorescein angiography showed no retinal pigment epithelium (RPE) window defects and no leakage. The right posterior pole was normal. OCT imaging was normal for the right eye and showed in the left eye a macular lesion with increased reflectivity of the RPE and the overlying retina (Figure 2 [Fig. 2]). This lesion was reduced to half size 3 days later and at that time the retinal hemorrhage was also reduced to half size and VA was 20/50. The indocyanine green angiography (ICGA) showed early deep papillomacular and macular hypofluorescence compatible with a watershed zone, and there were no anomalies in the mid and late phase of the angiogram (Figure 3 [Fig. 3]).
Figure 1: Three days after the event, the left fovea is abnormal with yellowish swelling and a supramacular hemorrhage (top right). The early fluorescein angiogram shows normal perfusion and no window defects (top right). Midphase (bottom left) and late angiogram (bottom right) show no leakage and are normal.
Figure 2: OCT imaging with horizontal section of the left macula 3 days (top) and 6 days (bottom) after the event. Note the hyperreflective foveal lesion, initially prominent, and reduced 3 days later with at that time also regression of the hemorrhage to half size.
Figure 3: Six days after the event the ICG angiogram shows in the early phase (top right) focal choroidal non perfusion in the papillomacular and macular area, compatible with delayed filling in a watershed zone. In midphase and late phase ICG angiogram (bottom left and right) no anomalies are noted.
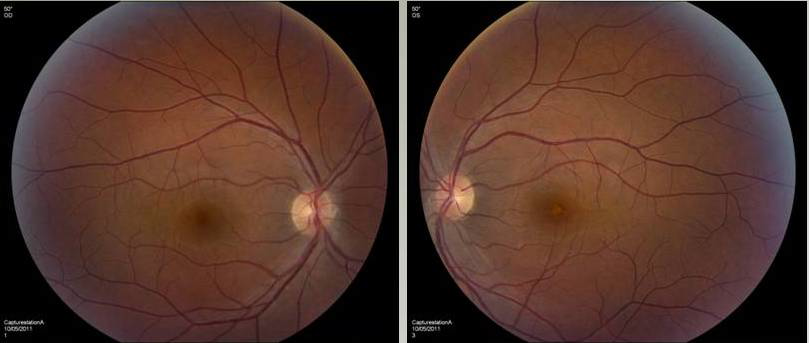
After one month, the photographer still had problems making sharp pictures. VA was 20/20 RE (right eye) and 20/25 LE. The right posterior pole was normal (Figure 4 [Fig. 4]) and a macular scar was observed in the left eye. OCT showed in the left eye a further reduction of the deep macular lesion and the central macular thickness was 236 micron (Figure 5 [Fig. 5]). The right macula was normal on OCT and central macular thickness (CMT) was 245 micron. Autofluorescence imaging of the right macula was normal and was different in the left eye with a less hypofluorescent macula compatible with loss of macular pigment and/or RPE damage (Figure 6 [Fig. 6]).
Figure 4: Four weeks after the event the left macula shows pigmentary changes, and is definitely different from the normal right macula.
Figure 5: The OCT imaging with a horizontal section of the macula is normal in the right eye and shows in the left eye a small deep foveal lesion. Moreover, the central macular thickness is mildly reduced in the left eye (245 micron RE, 236 micron LE).
Figure 6: The autofluorescence imaging shows in the right eye a normal hypofluorescent macula compatible with normal macular pigment and normal subfoveal RPE. The left macula is different with less hypofluorescent compatible with loss of macular pigment and/or RPE damage.
Another month later, the scotoma has disappeared nearly completely, and the patient had regained full vision and experienced no professional problems.
Discussion
Light-induced maculopathy can occur in the setting of sun-gazing and has been reported as solar maculopathy in psychiatric patients and after watching a sun eclipse [1], [2], [3], [4]. To protect eyes from solar retinopathy, commercially solar filters are available with good absolute visible light absorption and an equally good absorption of ultraviolet and infrared light, making them safe for eclipse observation [5].
Light-induced maculopathy resulting from ocular surgery is caused by intense light of the operating microscope and the event usually is seen in eyes that were kept immobile with retrobulbar anaesthesia. Cataract and retinal surgeons should realize that extended exposure of the retina to bright light, and more specific confocal light, is harmful. To reduce the risk of a retinal burn, confocal light should be dimmed as soon as possible [6], [7].
Welders’ maculopathy results from unprotected exposure of the eyes to welding arc light with photochemical damage to the outer retina [8]. The traditional welding rod emits ultraviolet, infrared and visible light, and also damages the anterior segment and causes pain. Metal inert gas (MIG) welding arc light emits more visible light and near infrared light. Their wavelengths are capable of burning the retina without the alert of pain as they are hardly absorbed by the anterior segment structures. Welders should be informed on the risk of retinal burns and on importance of using appropriate eye protection.
Accidental laser-induced macular injury can occur in medicine, industry, laboratory research, entertainment and in military activities [9], [10], [11], [12], [13], [14], [15]. Adherence to appropriate use of the laser and to safety practices effectively prevents accidental laser-induced ocular injuries.
Poppers-associated maculopathy due to inhalation of isopropyl nitrite has recently been identified in France, and has been reported as an acute retinal toxicity after single popper inhalation [16], and as foveal damage in habitual popper users. Poppers (slang for various forms of alkyl nitrite) are used as a popular recreational drug with legal tolerance. In France, approximately 5% of teenagers have used poppers at least once [17]. The reported patients experienced vision loss with central phosphenes after inhaling isopropyl nitrate containing poppers. Ocular examination revealed bilateral foveal lesions presenting in acute cases as a yellow foveal spot, and in chronic cases as a foveal scar. OCT findings were very similar to solar retinopathy and consistent with damage to the photoreceptor outer segments in the fovea of both eyes. Nitric oxide modulates photoreceptor metabolism and function, and interacts with the macular pigment zeaxanthin, which protects the fovea against light damage. The authors suggest that massive release of nitric oxide during popper inhalation is toxic to photoreceptors and causes macular damage. Moreover, the elective targeting of the fovea suggests that the damage is also light-induced. Consumers and ophthalmologists should be aware of the possible long-term retinal toxicity of isopropyl nitrite, and possibly of all brands of poppers [17].
In 2009, Huang et al. reported flood lamp-induced photic maculopathy in a Chinese fashion model [18]. She was modeling in a fashion show for 90 minutes and was instructed to look directly at the flood lamps while walking up and down the catwalk to minimize anxiety. The catwalk had 20 flood lamps of 1200 W each. Exposure to light from flash photography was reported by the patient to be minimal. After the fashion show she realized to have central scotomas in both eyes and consulted an ophthalmologist the same day. Visual acuity was 2/120 in each eye and an acute light-induced maculopathy was observed with a yellow foveal spot and a hyperreflective deep foveal lesion on OCT.
In this case report, we describe a macular burn in the dominant eye of a professional photographer. He was accidentally blinded with the flash of his own camera during adjustment of the settings and the intense blinding from a short distance caused the light-induced maculopathy. Photographers should realize that a flash at short distance can harm the eye and take precautions not to blind models nor themselves.
Notes
The authors have no notes/conflict of interest concerning the report of this case.
References
[1] Leys A, Swinnen T, Hannon L, Van Wing F. Solar retinopathy and foveal cysts. Bull Soc Belge Ophtalmol. 1978;182:74-81.[2] Stangos A, Petropoulos I, Pournaras JA, et al. Optical coherence tomography and multifocal elecroretinogram findings in chronic solar retinopthy. Am J Ophthalmol. 2007;144:131-4. DOI: 10.1016/j.ajo.2007.03.003
[3] Bechmann M, Ehrt O, Thiel MJ, et al. Optical coherence tomography findings in early solar retinopathy. Br J Ophthalmol. 2000;84:547-8. DOI: 10.1136/bjo.84.5.546b
[4] Hope-Ross MW, Mahon GJ, Gardiner TA, et al. Ultrastructural findings in solar retinopathy. Eye. 1993;7:29-33. DOI: 10.1038/eye.1993.7
[5] Stalmans P, Weckhuysen B, Schoonheydt R, et al. How to protect your eyes from solar retinopathy. Bull Soc Ophthalmol. 1999;272:93-100.
[6] Michels M, Sternberg P, Jr. Operatinig microscope-induced retinal phototoxicity: pathophysiology, clinical manifestations and prevention. Surv Ophthalmol. 1990;34:237-52. DOI: 10.1016/0039-6257(90)90025-Q
[7] Schoolmeesters B, Rosselle I, Leys A, et al. Light-induced maculopathy. Bull Soc belge Ophtalmol. 1995;259:115-22.
[8] Vedantham V. Optical coherence tomography findings in a case of chronic welder's maculopathy. Eye. 2006;20:269-71. DOI: 10.1038/sj.eye.6701846
[9] BakanaY, Belkin M. Laser eye injuries. Surv Ophthalmol. 2000;44:459-78. DOI: 10.1016/S0039-6257(00)00112-0
[10] Mainster MA, Stuck BE, Brown J. Assessment of alleged retinal laser injuries. Arch Ophthalmol. 2004;122:1210-7. DOI: 10.1001/archopht.122.8.1210
[11] Bernstein PS, Steffzensmeier A. Optical coherence tomography before and after repair of a macular hole induced by an unintensional argon laser burn. Arch Ophthalmol. 2005;123:404-5. DOI: 10.1001/archopht.123.3.404
[12] Yang X, Jiang F, Song Y, et al. Accidental macular injury from prolonged viewing of a plasma flash produced by a femtosecond laser. Ophthalmology. 2010;117:972-5. DOI: 10.1016/j.ophtha.2009.10.020
[13] Boosten K, Van Ginderdeuren R, Spileers W, Stalmans I, Wirix M, Van Calster J, Stalmans R. Laser-induced retinal injury following a recreational laser show: two case reports and a clinicopathological study. Bull Soc Belge Ophtalmol. 2011;(317):11-6
[14] Luttrull JK, Hallisey J. Laser pointer-induced macular injury. Am J Ophthalmol. 1999;127:95-6. DOI: 10.1016/S0002-9394(98)00254-2
[15] Roider J, Buesgen P, Hoerauf H, et al. Macular injury by a military range finder. Retina. 1999;19:531-5.
[16] Vignal-Clermont C, Aodo I, Sahel JA, et al. Popper-associated retinal toxicity. N Engl J Med. 2010;363:1583-5. DOI: 10.1056/NEJMc1005118
[17] Audo I, El Sanharawi M, Vignal-Clermont C, et al. Foveal damage in habitual popper users. Arch Ophthalmol. 2011;129:703-8. DOI: 10.1001/archophthalmol.2011.6
[18] Huang J, Liu X, Wu Z, et al. Flood lamp-induced photic maculopathy in a fashion model. Clin Experiment Ophthalmol. 2009;37:524-34. DOI: 10.1111/j.1442-9071.2009.02071.x



