Mucoepidermoid carcinoma of the bulbar conjunctiva – an interventional case report
Ana M. Quintas 1Ana C. Fonseca 1
Conceição Crujo 2
Leonor Almeida 1
Manuel Monteiro-Grillo 1
1 Ophthalmology Department, Centro Hospitalar Lisboa Norte/Hospital Santa Maria, Lisboa, Portugal
2 Pathology Department, Centro Hospitalar Lisboa Norte/Hospital Santa Maria, Lisboa, Portugal
Abstract
Purpose: Mucoepidermoid carcinoma is a rare variant of squamous cell carcinoma of the conjunctiva. It appears more frequently in the elderly, it is more aggressive than squamous cell carcinoma, and it has a higher recurrence rate and higher incidence of intraocular and orbital invasion.
Methods: We report a case of a 74-year-old man who presented to the Emergency Department with a one month history of painful red left eye.
Results: The patient presented with visual acuity was 10/10 in both eyes and a conjunctiva tumor on the bulbar conjunctiva of left eye. The UBM revealed a thickening of the conjunctiva-sclera complex with no signs of intraocular invasion. A biopsy was performed and the diagnosis was of mucoepidermoid carcinoma. Two local excisions with adjuvant cryotherapy and mitomycin C aplication were carried out in a period of 6 months. After 9 months of follow-up there has not been any sign of recurrence.
Conclusions: The early diagnosis and treatment of carcinoma is essential not only to prevent the intraocular spread and preserve visual function but also to prevent local or systemic recurrence and dissemination.
Keywords
carcinoma, mucoepidermoid, treatment, cryotherapy, mitomycin C
Introduction
Conjunctival mucoepidermoid carcinoma is a rare variant of squamous cell carcinoma of the conjunctiva. It appears more frequently in the elderly, it is more aggressive than squamous cell carcinoma, and it has a higher recurrence rate and higher incidence of intraocular and orbital invasion. Its histopathology is characterized by a variable proportion of cells with squamous differentiation intermixed with mucus-secreting cells and sometimes areas of differentiation to adenocarcinoma [1]. We report a case of mucoepidermoid carcinoma of bulbar conjunctiva and its treatment.
Case presentation
We report a case of a previously healthy 74-year-old man who presented to the Emergency Department with a one month history of painful red left eye. He had already been treated with topical corticoid and non-steroidal anti-inflammatory with no response.
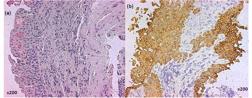
The patient presented with visual acuity of 10/10 in both eyes, and the anterior segment examination of left eye showed a large pink lesion with non defined borders, painful to palpation, with a nourishing thick central vessel in temporal bulbar conjunctiva (Figure 1 [Fig. 1]). The intraocular pressure was 10 mmHg both eyes and the fundoscopy was normal. The ultrasound biomicroscopy (UBM) revealed a thickening of the conjunctiva-sclera complex with no signs of intraocular invasion. A biopsy was performed and showed an invasive tumor with an admixture of squamous and mucus-secreting cells, highlighted by histochemical stain, mucicarmine (Figure 2 [Fig. 2]). The biopsy diagnosis was of mucoepidermoid carcinoma. Two months after the first observation the first intervention was carried out. It consisted of local excision of the tumor with ajuvant cryotherapy and topical mitomycin C (0.02%) aplication of the surronding conjunctiva. The same procedure was repeated 6 months later. After 12 months since the last surgery the lesion has disappeared (Figure 1 [Fig. 1]) and shows no sign of recurrence.
Figure 1: Mucoepidermoid carcinoma of the bulbar conjunctiva before and after the treatment
Figure 2: Histopathology of mucoepidermoid carcinoma of conjuntiva. (a) Mucus-secreting cells highlighted by histochemical stain, mucicarmine, intermixed with squamous cells. (b) Immunohistochemistry stain, cytokeratin 14, highlights the invasive nature of the tumor.
Discussion
Mucoepidermoid carcinoma of the conjunctiva is a rare variant of squamous cell carcinoma and it is clinically undistinguishable from the latter. The low number of cases described on the literature (21 cases described in the last published review [2]) may underestimate the true incidence of this disease as it can easily be misdiagnosed either clinically or histopathologically. The diagnosis can only be obtained with histopathology special stains (mucicarmine, PAS, alcian blue) and a high level of suspicion [3]. The rate of recurrence is very high (84% with mean recurrence time of 4 months) as well as the incidence of intraocular and orbital invasion [2]. In the case described above none of these aggressive features was detected. The early diagnose and rapid treatment may explain the less aggressive behavior of the tumor. Several kinds of treatment are described on the literature. The most recommended is the local wide excision, followed by adjuvant therapy with cryotherapy, topical quimiotherapy or radiotherapy [1], [2]. The main objective should be the total excision of the lesion with as minimal manipulation as possible with free margins of at least 3 mm. If not possible then the cryotherappy and intraoperatory biopsies of the margins of the resected lesion should be done. Although it is not mentioned as effective for conjunctival mucoepidermoid carcinoma, topical mitomycin C is effective for treatment of superficial or invasive squamous cell carcinoma of the conjunctiva [4] and we used it in our patient both times we intervened. One case of distant metastases 16 months after diagnosis has been described [5] but there is no case of a mucoepidermoid carcinoma presenting with regional or distant metastases. Therefore, the enucleation as first approach is not recommended [5] and a frequent follow up is always necessary to detect early recurrence. In conclusion, the early diagnosis and treatment of carcinoma is essential not only to prevent the intraocular spread and preserve visual function but also to prevent local recurrence or systemic dissemination.
Notes
Competing interests
The authors declare that they have no competing interests. No financial support was received for this submission.
Informed consent
The patient mentioned in the study gave his informed consent prior to the inclusion in the study.
Presentation at congress
The paper was presented at the Joint Congress SOE/AAO, June/2011, Genebra.
References
[1] Saornil MA, Becerra E, Méndez MC, Blanco G. Tumores de la conjuntiva [Conjunctival tumors]. Arch Soc Esp Oftalmol. 2009;84:7-22. DOI: 10.4321/S0365-66912009000100003[2] Robinson JW, Brownstein S, Jordan DR, Hodge WG. Conjunctival mucoepidermoid carcinoma in a patient with ocular cicatricial pemphigoid and a review of the literature. Surv Ophthalmol. 2006;51(5):513-9. DOI: 10.1016/j.survophthal.2006.06.012
[3] Panda A, Sharma N, Sen S, Ray M. Mucoepidermoid carcinoma of the conjunctiva managed by frozen section-guided excision and lamellar keratoplasty. Clin Experiment Ophthalmol. 2003;31(3):275-7. DOI: 10.1046/j.1442-9071.2003.00653.x
[4] Shields CL, Demirci H, Marr BP, Masheyekhi A, Materin M, Shields JA. Chemoreduction with topical mitomycin C prior to resection of extensive squamous cell carcinoma of the conjunctiva. Arch Ophthalmol. 2005;123(1):109-13. DOI: 10.1001/archopht.123.1.109
[5] Hwang IP, Jordan DR, Brownstein S, Gilberg SM, McEachren TM, Prokopetz R. Mucoepidermoid carcinoma of the conjunctiva: a series of three cases. Ophthalmology. 2000;107(4):801-5. DOI: 10.1016/S0161-6420(99)00177-3



