Triad of torticollis, photophobia and epiphora in a child with a posterior fossa tumor
Michiel Buijsrogge 1Caroline Dauwe 1
Patricia Delbeke 1
1 Department of Ophthalmology, University Hospital Ghent, Belgium
Abstract
A 7-month-old Caucasian girl presented with an acquired, spasmodic torticollis to the right side with the head tilted downwards, photophobia and epiphora. Diagnostic work-out revealed a posterior fossa pilocytic astrocytoma. The symptoms improved after surgical resection. There is evidence of internuclear connections between cranial nerves II, V and VII acting as important mechanisms in this triad (Okamoto et al. 2010).
Keywords
torticollis, epiphora, photophobia, posterior fossa, low-grade glioma
Introduction
The posterior fossa is the part of the cranial cavity containing brainstem and cerebellum and is located between foramen magnum and tentorium cerebelli. Tumors of the posterior fossa account for 50–55% of the intracranial tumors in infants, children and adolescents [1]. Low-grade gliomas represent approximately 30–50% of all childhood brain tumors [2]. Treatment is complete surgical removal which usually results in cure [3]. The survival rate over 20 years is 90% [4].
Torticollis can be congenital or acquired. Congenital torticollis results mostly after birth trauma or intrauterine malpositioning with injury to the sternocleidomastoid muscle and subsequent soft tissue swelling over the muscle. Congenital torticollis is characterized by shortening and fibrosis of the sternocleidomastoid muscle detected at birth or shortly after birth. Most patients are successfully treated with physiotherapy [5]. On the other hand, acquired torticollis occurs later in childhood and can be caused by various underlying pathologies including ligamentous, muscular, osseous, ocular, psychiatric and neurologic disorders [1], [6].
There is strong evidence of internuclear connections between cranial nerves II, V and VII acting as important mechanisms in the association with epiphora and photophobia. A posterior fossa tumor can activate and irritate the trigeminal and/or facial cranial nerves [7], [8].
Case report
A 7-month-old Caucasian girl presented with severe photophobia and epiphora at the right eye since birth and from the age of 2 months, a progressive torticollis was seen. Despite physiotherapeutic treatment, the torticollis did not improve. Pregnancy and delivery were normal. Ocular, general and family history were unremarkable.
Physical examination revealed a torticollis with a head turn to the right and a chin tilt downwards. The degree of torticollis varied between 60° up to 90° (Figure 1 [Fig. 1]). There was a severe photophobia that was rated by the parents as 9 on a scale of 10. Epiphora was rated by the parents as 6 on a scale of 10. There was no nystagmus. Ocular alignment on light reflex was normal, there was no fixation movement on cover test and alternate prism cover test. Motility examination was normal in all directions of gaze. Bielschowsky’s head tilt test could not be performed because of limited cooperation and extreme torticollis. She sees card G with the preferential looking test of Cardiff, which is within normal limits for her age. Slit lamp examination showed a normal anterior segment with patency of the lacrimal punctum. Intraocular pressure, measured with Tonopen was 17 mmHg at the right eye and 18 mmHg at the left eye. Fundoscopy showed normal optic discs and a normal periphery.
Figure 1: Torticollis before, 6 months after and 42 months after resection
Neuro-pediatric examination showed a child with an alert behaviour and well-developed fine motor skills. However, there was an asymmetric development with reduced grasping with the right hand and a pronounced torticollis. She grasped objects, transfered toys from one hand to another and to her mouth. She already controlled mature pincer grip. She spontaneously rolled over fluently from supine to prone position over her left side but she needed extra stimulation to roll over the right side. She could stand with support. Patellar and Achilles tendon reflexes were normal and symmetrical. There was no foot clonus and plantar reflexes were indifferent. On RX full spine there was a sinistroconvex cervico-thoracic scoliosis, a dextroconvex thoraco-lumbar scoliosis and flattening of the thoracic kyphosis and lumbar lordosis. This scoliosis was secondary to the pronounced torticollis. There was no fusion of the vertebrae. Ultrasound of the neck showed a normal sternocleidomastoid muscle.
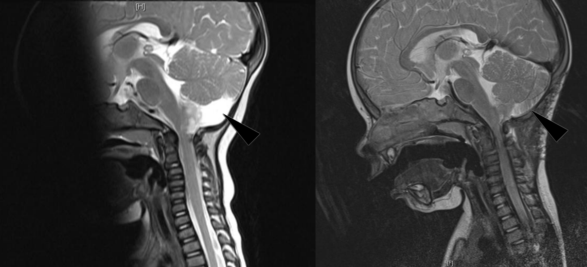
A magnetic resonance imaging (MRI) of the brain with and without gadolinium was performed. The MRI revealed a broad-based exophytic mass at the right posterolateral aspect of the medulla oblongata, obstructing the right foramen of Lushka and with a mass effect on the right cerebellar hemisphere (Figure 2 [Fig. 2]). Surgical resection of the tumor was performed (Figure 2 [Fig. 2]). Unfortunately, complete resection of the mass was impossible because of the risk of damaging adjacent structures. Histopathological examination on biopsy specimen revealed a pilocytic astrocytoma. No adjuvant chemotherapy or radiotherapy were given. Careful follow-up was done and post-operative physiotherapy was started. There was a good post-operative evolution with improvement of the right torticollis. At 6 and 42 months post-operatively, there was a residual torticollis of respectively 30° and 10° (Figure 1 [Fig. 1]). Photophobia was rated 7 and 2 on a scale of 10 respectively 6 and 42 months post-operatively.
Figure 2: MRI before and after resection
Epiphora improved much faster and was rated 2 and 0 at the follow-up visits respectively at 6 and 42 months.
Discussion
Diagnosis and treatment
Pediatric low-grade gliomas are a heterogeneous group of tumors. They comprise tumors of astrocytic, oligodendroglial and mixed glial-neuronal histology. Although their clinical behaviour may vary, the majority of low-grade gliomas are indolent and do not undergo malignant transformation. This is in contrast with low-grade gliomas in adults that have a more aggressive phenotype [2].
Tumors are classified according the WHO criteria, which provides a grading or ‘malignancy scale’. The most common histological subtypes in children are the pilocytic (grade 1) and the diffuse fibrillary astrocytoma (grade 2). Pilocytic astrocytomas predominate in the cerebellum, optic pathway and dorsal brain stem. The peak incidence is in the 5- to 9-year-old age range. In this case, the patient is exceptionally young to present with a low-grade glioma grade 1. Since torticollis was noticed shortly after birth, it could be interpreted as a congenital torticollis but the association with photophobia and epiphora indicated an underlying pathology. WHO grade 2 tumors are more commonly seen in younger children with a mean age of 18 months. However these are mostly located in the hypothalamic region [2].
An MRI is mandatory to reveal the tumor. Evaluation of tumor size and relation to other structures remain primary imaging endpoints in the evaluation for most pediatric patients with central nervous system (CNS) neoplasms [9], [10].
Surgery remains the cornerstone of treatment for pediatric low-grade gliomas. The primary goal is complete resection. In several series, complete resection was associated with a 10-year overall survival rate of more than 90%. There is no evidence that adjuvant chemotherapy or radiotherapy can increase survival rate [2].
Triad of torticollis, epiphora and photophobia
Correlation between posterior fossa and cervical spinal cord tumors and secondary torticollis is well known and described in literature [1]. Torticollis originating from the CNS, is most commonly associated with lesions of the corpus striatum, thalamus and brain stem/mesencephalon. The importance of the cerebellum, particularly the vermis and fastigial nucleus, in the control of head position suggests that the cerebellum may play a role in secondary torticollis. The patient in our case shows a clear mass effect of the tumor on the right hemisphere of the cerebellum, explaining the right-sided torticollis but also the asymmetric development of coordination.
Lesions in the cervical spinal cord may cause torticollis due to increased excitability of the spinal motor neuron, because of dysfunction of the inhibitory descending paths. However photophobia and epiphora are absent in these cases and coordination is symmetric [1].
The primary ophthalmologic signs in a posterior fossa tumor are extra-ocular muscle paresis, nystagmus and papilledema [7]. Our patient presented with epiphora and photophobia without other neuro-ophthalmologic signs. There is strong evidence of internuclear connections between cranial nerves II, V and VII acting as important mechanisms in this association. A posterior fossa tumor can activate and irritate the trigeminal and/or facial cranial nerves. Facial pain, itching or a decreased blink reflex have been reported in posterior fossa tumors. A decreased blink reflex has been seen in patients with trigeminal or facial cranial nerve dysfunction and cerebellopontine angle tumors. Central lesions of the thalamus with activation of the trigeminal system have also been associated with photophobia [7], [8]. Recent research shows a possible explanation about the mechanism of photophobia and epiphora [11].
Ocular sensory innervation is served by the first division of the trigeminal nerve (V1) through the subnucleus in the brain stem. Lacrimation is served by the lacrimal nerve, a branch of the facial nerve (VII). Fibres originate in the superior salivatory nucleus (SSN), which serves as a major parasympathetic flow to the eye. Recently, nociceptive neurons were identified in the superficial laminae of trigeminal nucleus caudalis (Vc/C1). These nociceptive neurons are activated by bright light through an intraocular mechanism driven by a luminance-responsive circuit and increased parasympathetic outflow. The SSN is a major source of parasympathetic outflow to the eye. Microinjection of lidocaine into the SSN diminished light-evoked Vc/V1 activity and lacrimation suggesting that increased parasympathetic outflow was critical for light-evoked responses.
The importance of trigeminal sensory nerves in the perception of photophobia was confirmed by the observation that intra-vitreal or intra-trigeminal ganglion (TRG) micro-injection of lidocaine completely blocked light evoked Vc/C1 neural activity [11].
The SSN is a major source of parasympathetic preganglionic neurons to the eye, especially to the choroidal blood vessels. Direct activation of the SSN increases blood flow to the anterior choroid more than 3-fold, whereas inhibition of SSN prevented light-evoked increase in tear volume, confirming a decrease in parasympathetic activity. Pathological increase in parasympathetic flow by pressure of a posterior fossa tumor on SSN for example, may lead to increased tearing and dilation of choroidal blood vessels. Subsequently, intraocular TRG neurons can be activated by transmitters released from parasympathetic postganglionic neurons or, for those fibers apposed to dilated choroidal blood vessels, by mechanical deformation of these blood vessels. Another finding supporting this theory was found by intravitreal microinjection of norepinephrine or phenylephrine. These potent vasoconstrictive agents prevented light-evoked Vc/C1 neural activation by inhibiting dilatation of choroidal blood vessels and release of neurotransmitters activating intraocular TRG neurons [11].
Furthermore, the olivary pretectal nucleus (OPN) also plays a role in these autonomic pathways. OPN receives a dense direct input from retinal ganglion cells and is involved in several photic-induced responses such as pupillary light reflex, eye blink and circadian rhythms. OPN has extensive efferent projections to hypothalamic and brain stem regions associated with autonomic control. Activation of Vc/C1 neurons also requires a relay of luminance information through accessory visual pathways since inhibition of OPN completely blocks light-evoked Vc/C1 neural activity and lacrimation [11] (Figure 3 [Fig. 3]).
Figure 3: The proposed model for light-induced activation of trigeminal neurons
Conclusion
Posterior fossa tumors may cause a triad of torticollis, epiphora and photophobia. The etiologies of acquired torticollis in children are numerous, but posterior fossa and cervical spine cord tumors should always be considered. Children with epiphora and photophobia may first present to the ophthalmologist’s office. This case report shows the importance of recognizing this clinical triad of torticollis, epiphora and photophobia and to perform neuro-imaging in order not to delay diagnosis and treatment of posterior fossa lesions in these patients.
There is strong evidence of internuclear connections between cranial nerves II, V and VII acting as important mechanisms in this association.
Furthermore, though pilocytic astrocytoma occurs mostly in children of 5–9 years old, it can occur in younger children, as illustrated in this case.
Notes
Competing interests
The authors declare that they have no competing interests.
References
[1] Kumandas S, Per H, Gümüs H, Tucer B, Yikilmaz A, Kontas O, Coskun A, Kurtsoy A. Torticollis secondary to posterior fossa and cervical spinal cord tumors: report of five cases and literature review. Neurosurg Rev. 2006 Oct;29(4):333-8. DOI: 10.1007/s10143-006-0034-8[2] Sievert AJ, Fisher MJ. Pediatric low-grade gliomas. J Child Neurol. 2009 Nov;24(11):1397-408. DOI: 10.1177/0883073809342005
[3] Massimino M, Spreafico F, Cefalo G, Riccardi R, Tesoro-Tess JD, Gandola L, Riva D, Ruggiero A, Valentini L, Mazza E, Genitori L, Di Rocco C, Navarria P, Casanova M, Ferrari A, Luksch R, Terenziani M, Balestrini MR, Colosimo C, Fossati-Bellani F. High response rate to cisplatin/etoposide regimen in childhood low-grade glioma. J Clin Oncol. 2002 Oct;20(20):4209-16. DOI: 10.1200/JCO.2002.08.087
[4] Printz C. Long-term survival high for patients with low-grade gliomas. Cancer. 2014 Jul 1;120(13):1913. DOI: 10.1002/cncr.28840
[5] Pombo Castro M, Luaces Rey R, Vázquez Mahía I, López-Cedrún Cembranos JL. Congenital muscular torticollis in adult patients: literature review and a case report using a harmonic scalpel. J Oral Maxillofac Surg. 2014 Feb;72(2):396-401. DOI: 10.1016/j.joms.2013.08.017
[6] Herman MJ. Torticollis in infants and children: common and unusual causes. Instr Course Lect. 2006;55:647-53.
[7] Marmor MA, Beauchamp GR, Maddox SF. Photophobia, epiphora, and torticollis: a masquerade syndrome. J Pediatr Ophthalmol Strabismus. 1990 Jul-Aug;27(4):202-4.
[8] Debenedictis CN, Allen JC, Kodsi SR. Brainstem tumor presenting with tearing, photophobia, and torticollis. J AAPOS. 2010 Aug;14(4):369-70. DOI: 10.1016/j.jaapos.2010.04.013
[9] Di Maio S, Gul SM, Cochrane DD, Hendson G, Sargent MA, Steinbok P. Clinical, radiologic and pathologic features and outcome following surgery for cervicomedullary gliomas in children. Childs Nerv Syst. 2009 Nov;25(11):1401-10. DOI: 10.1007/s00381-009-0956-x
[10] Vézina LG. Imaging of central nervous system tumors in children: advances and limitations. J Child Neurol. 2008 Oct;23(10):1128-35. DOI: 10.1177/0883073808320753
[11] Okamoto K, Tashiro A, Chang Z, Bereiter DA. Bright light activates a trigeminal nociceptive pathway. Pain. 2010 May;149(2):235-42. DOI: 10.1016/j.pain.2010.02.004



